静脉溶栓和血管内桥注射替罗非班治疗小儿急性缺血性脑卒中1例。

IF 2.2 3区 医学 Q3 CLINICAL NEUROLOGY
Ying Zhang, Chang-Xing Jiang, Hong-Gang Wang, Hao-Ran Gao, Dan Li, Lei Zhao, Li-Hong Gao
{"title":"静脉溶栓和血管内桥注射替罗非班治疗小儿急性缺血性脑卒中1例。","authors":"Ying Zhang, Chang-Xing Jiang, Hong-Gang Wang, Hao-Ran Gao, Dan Li, Lei Zhao, Li-Hong Gao","doi":"10.1186/s12883-025-04358-3","DOIUrl":null,"url":null,"abstract":"<p><strong>Background: </strong>Acute ischemic stroke (AIS) in pediatric patients is a significant contributor to neurological impairment and long-term disability. Due to the absence of specific pediatric treatment guidelines, management strategies are frequently adapted from adult protocols. This report details the application of intravenous tenecteplase thrombolysis, endovascular bridging therapy, and tirofiban in treating a pediatric case of AIS.</p><p><strong>Case description: </strong>A pediatric patient presented with AIS involving the left limb, lasting 2.5 h. The stroke occurred during physical activity without loss of consciousness or seizures. Head magnetic resonance imaging (MRI) combined with clinical manifestations confirmed the diagnosis of acute cerebral infarction. Intravenous thrombolytic therapy using tenecteplase was initiated in the ultra-early phase of infarction. Subsequent cerebral angiography revealed occlusion of the superior trunk of the right middle cerebral artery. Three-dimensional rotational imaging identified multiple aneurysms at its bifurcation. A targeted intra-arterial injection of tirofiban (6 mL) was administered to stabilize plaque and enhance blood flow. The patient underwent 11 days of antiplatelet therapy and supportive care. At the 90-day postoperative follow-up, notable recovery of limb function was observed.</p><p><strong>Conclusions: </strong>Pediatric AIS exhibits variable clinical manifestations, requiring head MRI for definitive diagnosis. Early initiation of intravenous thrombolysis with tenecteplase, combined with targeted intra-arterial tirofiban injection, demonstrates potential as a safe and effective therapeutic approach in pediatric ischemic stroke management.</p>","PeriodicalId":9170,"journal":{"name":"BMC Neurology","volume":"25 1","pages":"348"},"PeriodicalIF":2.2000,"publicationDate":"2025-08-25","publicationTypes":"Journal Article","fieldsOfStudy":null,"isOpenAccess":false,"openAccessPdf":"https://www.ncbi.nlm.nih.gov/pmc/articles/PMC12376366/pdf/","citationCount":"0","resultStr":"{\"title\":\"Intravenous tenecteplase thrombolysis and endovascular bridging intra-arterial tirofiban injection therapy in a pediatric case of acute ischemic stroke.\",\"authors\":\"Ying Zhang, Chang-Xing Jiang, Hong-Gang Wang, Hao-Ran Gao, Dan Li, Lei Zhao, Li-Hong Gao\",\"doi\":\"10.1186/s12883-025-04358-3\",\"DOIUrl\":null,\"url\":null,\"abstract\":\"<p><strong>Background: </strong>Acute ischemic stroke (AIS) in pediatric patients is a significant contributor to neurological impairment and long-term disability. Due to the absence of specific pediatric treatment guidelines, management strategies are frequently adapted from adult protocols. This report details the application of intravenous tenecteplase thrombolysis, endovascular bridging therapy, and tirofiban in treating a pediatric case of AIS.</p><p><strong>Case description: </strong>A pediatric patient presented with AIS involving the left limb, lasting 2.5 h. The stroke occurred during physical activity without loss of consciousness or seizures. Head magnetic resonance imaging (MRI) combined with clinical manifestations confirmed the diagnosis of acute cerebral infarction. Intravenous thrombolytic therapy using tenecteplase was initiated in the ultra-early phase of infarction. Subsequent cerebral angiography revealed occlusion of the superior trunk of the right middle cerebral artery. Three-dimensional rotational imaging identified multiple aneurysms at its bifurcation. A targeted intra-arterial injection of tirofiban (6 mL) was administered to stabilize plaque and enhance blood flow. The patient underwent 11 days of antiplatelet therapy and supportive care. At the 90-day postoperative follow-up, notable recovery of limb function was observed.</p><p><strong>Conclusions: </strong>Pediatric AIS exhibits variable clinical manifestations, requiring head MRI for definitive diagnosis. Early initiation of intravenous thrombolysis with tenecteplase, combined with targeted intra-arterial tirofiban injection, demonstrates potential as a safe and effective therapeutic approach in pediatric ischemic stroke management.</p>\",\"PeriodicalId\":9170,\"journal\":{\"name\":\"BMC Neurology\",\"volume\":\"25 1\",\"pages\":\"348\"},\"PeriodicalIF\":2.2000,\"publicationDate\":\"2025-08-25\",\"publicationTypes\":\"Journal Article\",\"fieldsOfStudy\":null,\"isOpenAccess\":false,\"openAccessPdf\":\"https://www.ncbi.nlm.nih.gov/pmc/articles/PMC12376366/pdf/\",\"citationCount\":\"0\",\"resultStr\":null,\"platform\":\"Semanticscholar\",\"paperid\":null,\"PeriodicalName\":\"BMC Neurology\",\"FirstCategoryId\":\"3\",\"ListUrlMain\":\"https://doi.org/10.1186/s12883-025-04358-3\",\"RegionNum\":3,\"RegionCategory\":\"医学\",\"ArticlePicture\":[],\"TitleCN\":null,\"AbstractTextCN\":null,\"PMCID\":null,\"EPubDate\":\"\",\"PubModel\":\"\",\"JCR\":\"Q3\",\"JCRName\":\"CLINICAL NEUROLOGY\",\"Score\":null,\"Total\":0}","platform":"Semanticscholar","paperid":null,"PeriodicalName":"BMC Neurology","FirstCategoryId":"3","ListUrlMain":"https://doi.org/10.1186/s12883-025-04358-3","RegionNum":3,"RegionCategory":"医学","ArticlePicture":[],"TitleCN":null,"AbstractTextCN":null,"PMCID":null,"EPubDate":"","PubModel":"","JCR":"Q3","JCRName":"CLINICAL NEUROLOGY","Score":null,"Total":0}
引用次数: 0

摘要

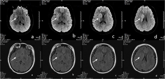
背景:急性缺血性脑卒中(AIS)在儿科患者中是神经功能损伤和长期残疾的重要因素。由于缺乏具体的儿科治疗指南,管理策略经常改编自成人协议。本报告详细介绍静脉内替奈普酶溶栓、血管内桥治疗和替罗非班在治疗儿童AIS中的应用。病例描述:一名儿童患者表现为累及左肢体的AIS,持续2.5小时。中风发生在体力活动期间,无意识丧失或癫痫发作。头部磁共振成像(MRI)结合临床表现证实了急性脑梗死的诊断。静脉溶栓治疗在梗死超早期开始使用替奈普酶。随后的脑血管造影显示右侧大脑中动脉上干闭塞。三维旋转成像在其分叉处发现多个动脉瘤。动脉内定向注射替罗非班(6ml)以稳定斑块和增强血流量。患者接受了11天的抗血小板治疗和支持性护理。术后90天随访,肢体功能明显恢复。结论:儿童AIS表现出不同的临床表现,需要头部MRI确诊。早期应用替奈普酶静脉溶栓,联合靶向动脉内注射替罗非班,证明了在儿童缺血性卒中管理中作为一种安全有效的治疗方法的潜力。
本文章由计算机程序翻译,如有差异,请以英文原文为准。

Intravenous tenecteplase thrombolysis and endovascular bridging intra-arterial tirofiban injection therapy in a pediatric case of acute ischemic stroke.

Intravenous tenecteplase thrombolysis and endovascular bridging intra-arterial tirofiban injection therapy in a pediatric case of acute ischemic stroke.

Intravenous tenecteplase thrombolysis and endovascular bridging intra-arterial tirofiban injection therapy in a pediatric case of acute ischemic stroke.

Intravenous tenecteplase thrombolysis and endovascular bridging intra-arterial tirofiban injection therapy in a pediatric case of acute ischemic stroke.

Background: Acute ischemic stroke (AIS) in pediatric patients is a significant contributor to neurological impairment and long-term disability. Due to the absence of specific pediatric treatment guidelines, management strategies are frequently adapted from adult protocols. This report details the application of intravenous tenecteplase thrombolysis, endovascular bridging therapy, and tirofiban in treating a pediatric case of AIS.

Case description: A pediatric patient presented with AIS involving the left limb, lasting 2.5 h. The stroke occurred during physical activity without loss of consciousness or seizures. Head magnetic resonance imaging (MRI) combined with clinical manifestations confirmed the diagnosis of acute cerebral infarction. Intravenous thrombolytic therapy using tenecteplase was initiated in the ultra-early phase of infarction. Subsequent cerebral angiography revealed occlusion of the superior trunk of the right middle cerebral artery. Three-dimensional rotational imaging identified multiple aneurysms at its bifurcation. A targeted intra-arterial injection of tirofiban (6 mL) was administered to stabilize plaque and enhance blood flow. The patient underwent 11 days of antiplatelet therapy and supportive care. At the 90-day postoperative follow-up, notable recovery of limb function was observed.

Conclusions: Pediatric AIS exhibits variable clinical manifestations, requiring head MRI for definitive diagnosis. Early initiation of intravenous thrombolysis with tenecteplase, combined with targeted intra-arterial tirofiban injection, demonstrates potential as a safe and effective therapeutic approach in pediatric ischemic stroke management.

求助全文
通过发布文献求助,成功后即可免费获取论文全文。 去求助
来源期刊
BMC Neurology
BMC Neurology 医学-临床神经学
CiteScore
4.20
自引率
0.00%
发文量
428
审稿时长
3-8 weeks
期刊介绍: BMC Neurology is an open access, peer-reviewed journal that considers articles on all aspects of the prevention, diagnosis and management of neurological disorders, as well as related molecular genetics, pathophysiology, and epidemiology.
×
引用
GB/T 7714-2015
复制
MLA
复制
APA
复制
导出至
BibTeX EndNote RefMan NoteFirst NoteExpress
×
提示
您的信息不完整,为了账户安全,请先补充。
现在去补充
×
提示
您因"违规操作"
具体请查看互助需知
我知道了
×
提示
确定
请完成安全验证×
copy
已复制链接
快去分享给好友吧!
我知道了
右上角分享
点击右上角分享
0
联系我们:info@booksci.cn Book学术提供免费学术资源搜索服务,方便国内外学者检索中英文文献。致力于提供最便捷和优质的服务体验。 Copyright © 2023 布克学术 All rights reserved.
京ICP备2023020795号-1
ghs 京公网安备 11010802042870号
Book学术文献互助
Book学术文献互助群
群 号:604180095
Book学术官方微信