“脑桥巧克力片征”在杂合型htra1相关脑血管病中的诊断价值

IF 2.2 3区 医学 Q3 CLINICAL NEUROLOGY
Yu Guo, Qing Peng, Yishuang Yang, Zhe Wang, Yong Shan, HaoTian Yan, Haiqiang Jin, Li Bai, Wei Sun, Zhaoxia Wang, Zihao Zhang, Yun Yuan, Chen Ling
{"title":"“脑桥巧克力片征”在杂合型htra1相关脑血管病中的诊断价值","authors":"Yu Guo, Qing Peng, Yishuang Yang, Zhe Wang, Yong Shan, HaoTian Yan, Haiqiang Jin, Li Bai, Wei Sun, Zhaoxia Wang, Zihao Zhang, Yun Yuan, Chen Ling","doi":"10.1186/s12883-025-04374-3","DOIUrl":null,"url":null,"abstract":"<p><strong>Background and purpose: </strong>Heterozygous HTRA1-related cerebral small vessel disease (hHTRA1-CSVD) presents diagnostic challenges due to its clinical and imaging similarities with cerebral autosomal dominant arteriopathy with subcortical infarcts and leukoencephalopathy (CADASIL) and sporadic cerebral small vessel disease (CSVD). Recently, the \"chocolate chip sign\" around the midbrain has been proposed as a potential imaging marker for hHTRA1-CSVD. However, the diagnostic value of similar findings around the pons remains unclear. This study aims to assess the diagnostic performance of the \"pons chocolate chip sign\" in distinguishing hHTRA1-CSVD from CADASIL and sporadic CSVD.</p><p><strong>Materials and methods: </strong>This cross-sectional study included seven patients with hHTRA1-CSVD, twenty-seven patients with CADASIL and twelve patients with sporadic CSVD. All participants underwent 7.0T magnetic resonance imaging (MRI). The \"pons chocolate chip sign\" was defined as round or ovoid hypointense dots (≥ 2 mm in diameter) surrounding the pons on T2*-weighted gradient echo images. The number of chocolate chips was independently assessed by two blinded neurologists. Diagnostic performance was evaluated using receiver operating characteristic (ROC) curve analysis, with genetic diagnosis as the gold standard.</p><p><strong>Results: </strong>The \"pons chocolate chip sign\" was found in 5/7 patients with hHTRA1-CSVD, compared to 2/27 in CADASIL and 0/12 in sporadic CSVD. ROC analysis revealed that it exhibited good discriminatory capability for hHTRA1-CSVD (area under the curve [AUC] = 0.84, 95% confidence interval [CI]: 0.63-1.00, P = 0.004). At an optimal cutoff of chocolate chips ≥ 1, the sensitivity, specificity, positive predictive value (PPV), negative predictive value (NPV), and Youden index were 71.42%, 94.87%, 71.42%, 94.87%, and 0.66, respectively. When the cutoff was increased to ≥ 3 chocolate chips, the specificity improved further, reaching 100%.</p><p><strong>Conclusions: </strong>The \"pons chocolate chip sign\" demonstrates high specificity for hHTRA1-CSVD and good discriminatory performance in differentiating hHTRA1-CSVD from CADASIL and sporadic CSVD.</p>","PeriodicalId":9170,"journal":{"name":"BMC Neurology","volume":"25 1","pages":"360"},"PeriodicalIF":2.2000,"publicationDate":"2025-08-27","publicationTypes":"Journal Article","fieldsOfStudy":null,"isOpenAccess":false,"openAccessPdf":"https://www.ncbi.nlm.nih.gov/pmc/articles/PMC12382193/pdf/","citationCount":"0","resultStr":"{\"title\":\"Diagnostic performance of \\\"pons chocolate chip sign\\\" in heterozygous HTRA1-related cerebral small vessel disease.\",\"authors\":\"Yu Guo, Qing Peng, Yishuang Yang, Zhe Wang, Yong Shan, HaoTian Yan, Haiqiang Jin, Li Bai, Wei Sun, Zhaoxia Wang, Zihao Zhang, Yun Yuan, Chen Ling\",\"doi\":\"10.1186/s12883-025-04374-3\",\"DOIUrl\":null,\"url\":null,\"abstract\":\"<p><strong>Background and purpose: </strong>Heterozygous HTRA1-related cerebral small vessel disease (hHTRA1-CSVD) presents diagnostic challenges due to its clinical and imaging similarities with cerebral autosomal dominant arteriopathy with subcortical infarcts and leukoencephalopathy (CADASIL) and sporadic cerebral small vessel disease (CSVD). Recently, the \\\"chocolate chip sign\\\" around the midbrain has been proposed as a potential imaging marker for hHTRA1-CSVD. However, the diagnostic value of similar findings around the pons remains unclear. This study aims to assess the diagnostic performance of the \\\"pons chocolate chip sign\\\" in distinguishing hHTRA1-CSVD from CADASIL and sporadic CSVD.</p><p><strong>Materials and methods: </strong>This cross-sectional study included seven patients with hHTRA1-CSVD, twenty-seven patients with CADASIL and twelve patients with sporadic CSVD. All participants underwent 7.0T magnetic resonance imaging (MRI). The \\\"pons chocolate chip sign\\\" was defined as round or ovoid hypointense dots (≥ 2 mm in diameter) surrounding the pons on T2*-weighted gradient echo images. The number of chocolate chips was independently assessed by two blinded neurologists. Diagnostic performance was evaluated using receiver operating characteristic (ROC) curve analysis, with genetic diagnosis as the gold standard.</p><p><strong>Results: </strong>The \\\"pons chocolate chip sign\\\" was found in 5/7 patients with hHTRA1-CSVD, compared to 2/27 in CADASIL and 0/12 in sporadic CSVD. ROC analysis revealed that it exhibited good discriminatory capability for hHTRA1-CSVD (area under the curve [AUC] = 0.84, 95% confidence interval [CI]: 0.63-1.00, P = 0.004). At an optimal cutoff of chocolate chips ≥ 1, the sensitivity, specificity, positive predictive value (PPV), negative predictive value (NPV), and Youden index were 71.42%, 94.87%, 71.42%, 94.87%, and 0.66, respectively. When the cutoff was increased to ≥ 3 chocolate chips, the specificity improved further, reaching 100%.</p><p><strong>Conclusions: </strong>The \\\"pons chocolate chip sign\\\" demonstrates high specificity for hHTRA1-CSVD and good discriminatory performance in differentiating hHTRA1-CSVD from CADASIL and sporadic CSVD.</p>\",\"PeriodicalId\":9170,\"journal\":{\"name\":\"BMC Neurology\",\"volume\":\"25 1\",\"pages\":\"360\"},\"PeriodicalIF\":2.2000,\"publicationDate\":\"2025-08-27\",\"publicationTypes\":\"Journal Article\",\"fieldsOfStudy\":null,\"isOpenAccess\":false,\"openAccessPdf\":\"https://www.ncbi.nlm.nih.gov/pmc/articles/PMC12382193/pdf/\",\"citationCount\":\"0\",\"resultStr\":null,\"platform\":\"Semanticscholar\",\"paperid\":null,\"PeriodicalName\":\"BMC Neurology\",\"FirstCategoryId\":\"3\",\"ListUrlMain\":\"https://doi.org/10.1186/s12883-025-04374-3\",\"RegionNum\":3,\"RegionCategory\":\"医学\",\"ArticlePicture\":[],\"TitleCN\":null,\"AbstractTextCN\":null,\"PMCID\":null,\"EPubDate\":\"\",\"PubModel\":\"\",\"JCR\":\"Q3\",\"JCRName\":\"CLINICAL NEUROLOGY\",\"Score\":null,\"Total\":0}","platform":"Semanticscholar","paperid":null,"PeriodicalName":"BMC Neurology","FirstCategoryId":"3","ListUrlMain":"https://doi.org/10.1186/s12883-025-04374-3","RegionNum":3,"RegionCategory":"医学","ArticlePicture":[],"TitleCN":null,"AbstractTextCN":null,"PMCID":null,"EPubDate":"","PubModel":"","JCR":"Q3","JCRName":"CLINICAL NEUROLOGY","Score":null,"Total":0}
引用次数: 0

摘要

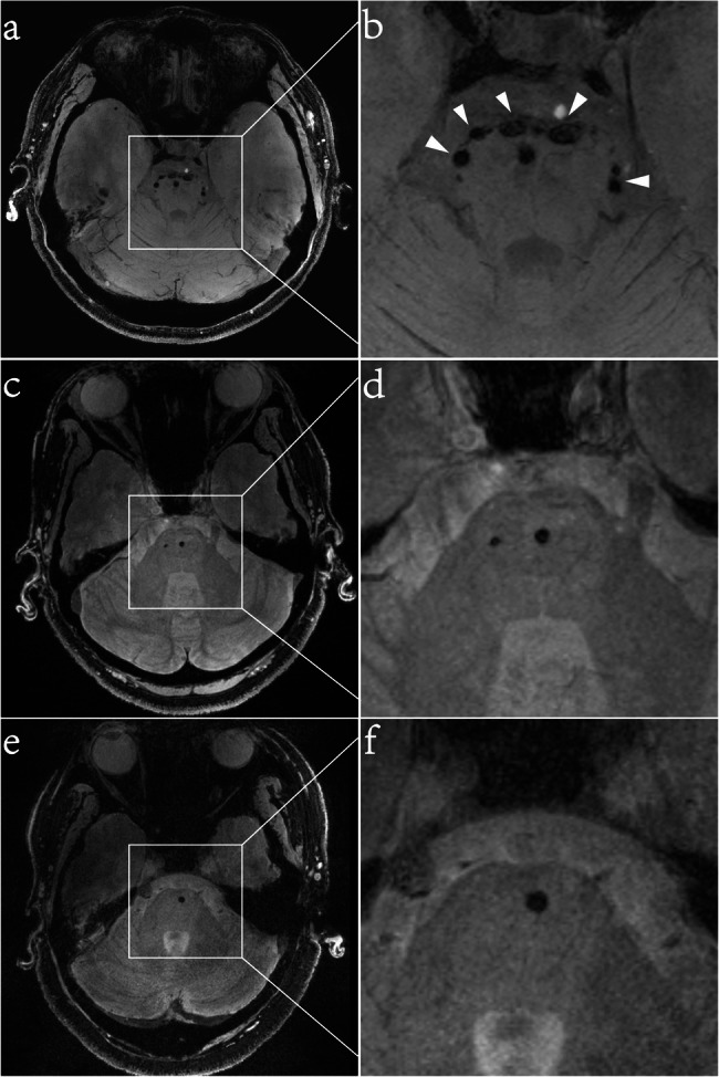
背景和目的:杂合性htra1相关的脑血管病(hHTRA1-CSVD)由于其临床和影像学与大脑常染色体显性动脉病伴皮层下梗死和脑白质病(CADASIL)和散发性脑小血管病(CSVD)相似,给诊断带来了挑战。最近,中脑周围的“巧克力片标志”被认为是hHTRA1-CSVD的潜在成像标志物。然而,脑桥周围类似发现的诊断价值尚不清楚。本研究旨在评估“脑桥巧克力片征”在区分hHTRA1-CSVD与CADASIL和散发性CSVD中的诊断作用。材料和方法:本横断面研究包括7例hHTRA1-CSVD患者,27例CADASIL患者和12例散发性CSVD患者。所有参与者进行7.0T磁共振成像(MRI)。“脑桥巧克力片征”定义为T2*加权梯度回波图像上脑桥周围圆形或卵形(直径≥2mm)的低信号点。巧克力片的数量由两位盲眼神经学家独立评估。以遗传诊断为金标准,采用受试者工作特征(ROC)曲线分析评价诊断效果。结果:hHTRA1-CSVD患者中有5/7出现“脑桥巧克力片征”,而CADASIL患者为2/27,散发性CSVD患者为0/12。ROC分析显示,该方法对hHTRA1-CSVD具有良好的鉴别能力(曲线下面积[AUC] = 0.84, 95%可信区间[CI]: 0.63-1.00, P = 0.004)。在巧克力片≥1的最佳截止值下,敏感性为71.42%,特异性为94.87%,阳性预测值为71.42%,阴性预测值为94.87%,约登指数为0.66。当临界值增加到≥3块巧克力片时,特异性进一步提高,达到100%。结论:“脑桥巧克力片征”对hHTRA1-CSVD具有较高的特异性,对hHTRA1-CSVD与CADASIL和散发性CSVD具有良好的鉴别作用。
本文章由计算机程序翻译,如有差异,请以英文原文为准。

Diagnostic performance of "pons chocolate chip sign" in heterozygous HTRA1-related cerebral small vessel disease.

Diagnostic performance of "pons chocolate chip sign" in heterozygous HTRA1-related cerebral small vessel disease.

Diagnostic performance of "pons chocolate chip sign" in heterozygous HTRA1-related cerebral small vessel disease.

Diagnostic performance of "pons chocolate chip sign" in heterozygous HTRA1-related cerebral small vessel disease.

Background and purpose: Heterozygous HTRA1-related cerebral small vessel disease (hHTRA1-CSVD) presents diagnostic challenges due to its clinical and imaging similarities with cerebral autosomal dominant arteriopathy with subcortical infarcts and leukoencephalopathy (CADASIL) and sporadic cerebral small vessel disease (CSVD). Recently, the "chocolate chip sign" around the midbrain has been proposed as a potential imaging marker for hHTRA1-CSVD. However, the diagnostic value of similar findings around the pons remains unclear. This study aims to assess the diagnostic performance of the "pons chocolate chip sign" in distinguishing hHTRA1-CSVD from CADASIL and sporadic CSVD.

Materials and methods: This cross-sectional study included seven patients with hHTRA1-CSVD, twenty-seven patients with CADASIL and twelve patients with sporadic CSVD. All participants underwent 7.0T magnetic resonance imaging (MRI). The "pons chocolate chip sign" was defined as round or ovoid hypointense dots (≥ 2 mm in diameter) surrounding the pons on T2*-weighted gradient echo images. The number of chocolate chips was independently assessed by two blinded neurologists. Diagnostic performance was evaluated using receiver operating characteristic (ROC) curve analysis, with genetic diagnosis as the gold standard.

Results: The "pons chocolate chip sign" was found in 5/7 patients with hHTRA1-CSVD, compared to 2/27 in CADASIL and 0/12 in sporadic CSVD. ROC analysis revealed that it exhibited good discriminatory capability for hHTRA1-CSVD (area under the curve [AUC] = 0.84, 95% confidence interval [CI]: 0.63-1.00, P = 0.004). At an optimal cutoff of chocolate chips ≥ 1, the sensitivity, specificity, positive predictive value (PPV), negative predictive value (NPV), and Youden index were 71.42%, 94.87%, 71.42%, 94.87%, and 0.66, respectively. When the cutoff was increased to ≥ 3 chocolate chips, the specificity improved further, reaching 100%.

Conclusions: The "pons chocolate chip sign" demonstrates high specificity for hHTRA1-CSVD and good discriminatory performance in differentiating hHTRA1-CSVD from CADASIL and sporadic CSVD.

求助全文
通过发布文献求助,成功后即可免费获取论文全文。 去求助
来源期刊
BMC Neurology
BMC Neurology 医学-临床神经学
CiteScore
4.20
自引率
0.00%
发文量
428
审稿时长
3-8 weeks
期刊介绍: BMC Neurology is an open access, peer-reviewed journal that considers articles on all aspects of the prevention, diagnosis and management of neurological disorders, as well as related molecular genetics, pathophysiology, and epidemiology.
×
引用
GB/T 7714-2015
复制
MLA
复制
APA
复制
导出至
BibTeX EndNote RefMan NoteFirst NoteExpress
×
提示
您的信息不完整,为了账户安全,请先补充。
现在去补充
×
提示
您因"违规操作"
具体请查看互助需知
我知道了
×
提示
确定
请完成安全验证×
copy
已复制链接
快去分享给好友吧!
我知道了
右上角分享
点击右上角分享
0
联系我们:info@booksci.cn Book学术提供免费学术资源搜索服务,方便国内外学者检索中英文文献。致力于提供最便捷和优质的服务体验。 Copyright © 2023 布克学术 All rights reserved.
京ICP备2023020795号-1
ghs 京公网安备 11010802042870号
Book学术文献互助
Book学术文献互助群
群 号:604180095
Book学术官方微信