弥漫性大b细胞淋巴瘤伴多处骨损伤的严重高钙症需要紧急血液透析和多药物治疗。

IF 2.4 4区 医学 Q2 UROLOGY & NEPHROLOGY
Yusaku Watanabe, Shohei Kaneko, Rinka Yamamoto, Toshiaki Ogishi, Sachika Okamoto, Kosuke Yuyama, Akari Matsuoka, Yuhei Nakamura, Shiori Ando, Kiyonori Ito, Keiji Hirai, Susumu Ookawara, Yoshiyuki Morishita
{"title":"弥漫性大b细胞淋巴瘤伴多处骨损伤的严重高钙症需要紧急血液透析和多药物治疗。","authors":"Yusaku Watanabe, Shohei Kaneko, Rinka Yamamoto, Toshiaki Ogishi, Sachika Okamoto, Kosuke Yuyama, Akari Matsuoka, Yuhei Nakamura, Shiori Ando, Kiyonori Ito, Keiji Hirai, Susumu Ookawara, Yoshiyuki Morishita","doi":"10.1186/s12882-025-04422-7","DOIUrl":null,"url":null,"abstract":"<p><strong>Background: </strong>Severe hypercalcemia is a rare but serious complication observed in patients with diffuse large B-cell lymphoma (DLBCL) with multiple bone lesions. Currently, no standard therapy has been established for this life-threatening condition.</p><p><strong>Case presentation: </strong>A 54-year-old Japanese woman with severe hypercalcemia (serum total calcium concentration of 23.0 mg/dL) was referred to our hospital. Initial management included multiple sessions of emergency hemodialysis, aggressive hydration, and administration of calcitonin. Although these interventions temporarily improved her condition, her serum calcium levels soon rebounded. The addition of bisphosphonates did not induce a prompt or sufficient reduction in serum calcium levels. Computed tomography revealed osteolytic lesions, strongly suggestive of malignancy. Given that the pathological condition was attributed to bone lesions, denosumab was administered, leading to a marked reduction in serum calcium levels and sustained control. A definitive diagnosis of DLBCL was established through bone biopsy and bone marrow aspiration. Based on these findings, severe hypercalcemia was determined to be secondary to DLBCL with multiple bone lesions. Following the initiation of chemotherapy, her serum calcium levels remained stable during follow-up.</p><p><strong>Conclusions: </strong>Severe hypercalcemia in this case was caused by DLBCL with multiple bone lesions. Successful management was achieved through a combination of emergency hemodialysis, aggressive hydration, and a multi-drug regimen, including calcitonin, bisphosphonates, and denosumab.</p>","PeriodicalId":9089,"journal":{"name":"BMC Nephrology","volume":"26 1","pages":"488"},"PeriodicalIF":2.4000,"publicationDate":"2025-08-25","publicationTypes":"Journal Article","fieldsOfStudy":null,"isOpenAccess":false,"openAccessPdf":"https://www.ncbi.nlm.nih.gov/pmc/articles/PMC12376524/pdf/","citationCount":"0","resultStr":"{\"title\":\"Severe hypercalcemia requiring emergency hemodialysis and multidrug therapy in a case of diffuse large B-cell lymphoma with multiple bone lesions.\",\"authors\":\"Yusaku Watanabe, Shohei Kaneko, Rinka Yamamoto, Toshiaki Ogishi, Sachika Okamoto, Kosuke Yuyama, Akari Matsuoka, Yuhei Nakamura, Shiori Ando, Kiyonori Ito, Keiji Hirai, Susumu Ookawara, Yoshiyuki Morishita\",\"doi\":\"10.1186/s12882-025-04422-7\",\"DOIUrl\":null,\"url\":null,\"abstract\":\"<p><strong>Background: </strong>Severe hypercalcemia is a rare but serious complication observed in patients with diffuse large B-cell lymphoma (DLBCL) with multiple bone lesions. Currently, no standard therapy has been established for this life-threatening condition.</p><p><strong>Case presentation: </strong>A 54-year-old Japanese woman with severe hypercalcemia (serum total calcium concentration of 23.0 mg/dL) was referred to our hospital. Initial management included multiple sessions of emergency hemodialysis, aggressive hydration, and administration of calcitonin. Although these interventions temporarily improved her condition, her serum calcium levels soon rebounded. The addition of bisphosphonates did not induce a prompt or sufficient reduction in serum calcium levels. Computed tomography revealed osteolytic lesions, strongly suggestive of malignancy. Given that the pathological condition was attributed to bone lesions, denosumab was administered, leading to a marked reduction in serum calcium levels and sustained control. A definitive diagnosis of DLBCL was established through bone biopsy and bone marrow aspiration. Based on these findings, severe hypercalcemia was determined to be secondary to DLBCL with multiple bone lesions. Following the initiation of chemotherapy, her serum calcium levels remained stable during follow-up.</p><p><strong>Conclusions: </strong>Severe hypercalcemia in this case was caused by DLBCL with multiple bone lesions. Successful management was achieved through a combination of emergency hemodialysis, aggressive hydration, and a multi-drug regimen, including calcitonin, bisphosphonates, and denosumab.</p>\",\"PeriodicalId\":9089,\"journal\":{\"name\":\"BMC Nephrology\",\"volume\":\"26 1\",\"pages\":\"488\"},\"PeriodicalIF\":2.4000,\"publicationDate\":\"2025-08-25\",\"publicationTypes\":\"Journal Article\",\"fieldsOfStudy\":null,\"isOpenAccess\":false,\"openAccessPdf\":\"https://www.ncbi.nlm.nih.gov/pmc/articles/PMC12376524/pdf/\",\"citationCount\":\"0\",\"resultStr\":null,\"platform\":\"Semanticscholar\",\"paperid\":null,\"PeriodicalName\":\"BMC Nephrology\",\"FirstCategoryId\":\"3\",\"ListUrlMain\":\"https://doi.org/10.1186/s12882-025-04422-7\",\"RegionNum\":4,\"RegionCategory\":\"医学\",\"ArticlePicture\":[],\"TitleCN\":null,\"AbstractTextCN\":null,\"PMCID\":null,\"EPubDate\":\"\",\"PubModel\":\"\",\"JCR\":\"Q2\",\"JCRName\":\"UROLOGY & NEPHROLOGY\",\"Score\":null,\"Total\":0}","platform":"Semanticscholar","paperid":null,"PeriodicalName":"BMC Nephrology","FirstCategoryId":"3","ListUrlMain":"https://doi.org/10.1186/s12882-025-04422-7","RegionNum":4,"RegionCategory":"医学","ArticlePicture":[],"TitleCN":null,"AbstractTextCN":null,"PMCID":null,"EPubDate":"","PubModel":"","JCR":"Q2","JCRName":"UROLOGY & NEPHROLOGY","Score":null,"Total":0}
引用次数: 0

摘要

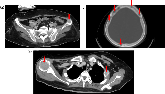
背景:严重高钙血症是弥漫性大b细胞淋巴瘤(DLBCL)合并多发性骨病变的一种罕见但严重的并发症。目前,还没有针对这种危及生命的疾病的标准治疗方法。病例介绍:一名54岁日本女性因严重高钙血症(血清总钙浓度23.0 mg/dL)转诊至我院。最初的治疗包括多次紧急血液透析、积极的水合作用和降钙素的使用。虽然这些干预措施暂时改善了她的病情,但她的血钙水平很快就反弹了。双膦酸盐的加入并没有引起血清钙水平的迅速或充分的降低。计算机断层扫描显示溶骨性病变,强烈提示恶性肿瘤。鉴于病理状况归因于骨病变,给予denosumab,导致血清钙水平显着降低并持续控制。通过骨活检和骨髓穿刺确定了DLBCL的明确诊断。基于这些发现,严重的高钙血症被确定为继发于DLBCL并多发性骨病变。化疗开始后,随访期间血钙水平保持稳定。结论:该病例的严重高钙血症是由DLBCL合并多发性骨病变引起的。通过紧急血液透析、积极水化和多药物治疗方案(包括降钙素、双膦酸盐和地诺单抗)的联合治疗取得了成功。
本文章由计算机程序翻译,如有差异,请以英文原文为准。

Severe hypercalcemia requiring emergency hemodialysis and multidrug therapy in a case of diffuse large B-cell lymphoma with multiple bone lesions.

Severe hypercalcemia requiring emergency hemodialysis and multidrug therapy in a case of diffuse large B-cell lymphoma with multiple bone lesions.

Severe hypercalcemia requiring emergency hemodialysis and multidrug therapy in a case of diffuse large B-cell lymphoma with multiple bone lesions.

Severe hypercalcemia requiring emergency hemodialysis and multidrug therapy in a case of diffuse large B-cell lymphoma with multiple bone lesions.

Background: Severe hypercalcemia is a rare but serious complication observed in patients with diffuse large B-cell lymphoma (DLBCL) with multiple bone lesions. Currently, no standard therapy has been established for this life-threatening condition.

Case presentation: A 54-year-old Japanese woman with severe hypercalcemia (serum total calcium concentration of 23.0 mg/dL) was referred to our hospital. Initial management included multiple sessions of emergency hemodialysis, aggressive hydration, and administration of calcitonin. Although these interventions temporarily improved her condition, her serum calcium levels soon rebounded. The addition of bisphosphonates did not induce a prompt or sufficient reduction in serum calcium levels. Computed tomography revealed osteolytic lesions, strongly suggestive of malignancy. Given that the pathological condition was attributed to bone lesions, denosumab was administered, leading to a marked reduction in serum calcium levels and sustained control. A definitive diagnosis of DLBCL was established through bone biopsy and bone marrow aspiration. Based on these findings, severe hypercalcemia was determined to be secondary to DLBCL with multiple bone lesions. Following the initiation of chemotherapy, her serum calcium levels remained stable during follow-up.

Conclusions: Severe hypercalcemia in this case was caused by DLBCL with multiple bone lesions. Successful management was achieved through a combination of emergency hemodialysis, aggressive hydration, and a multi-drug regimen, including calcitonin, bisphosphonates, and denosumab.

求助全文
通过发布文献求助,成功后即可免费获取论文全文。 去求助
来源期刊
BMC Nephrology
BMC Nephrology UROLOGY & NEPHROLOGY-
CiteScore
4.30
自引率
0.00%
发文量
375
审稿时长
3-8 weeks
期刊介绍: BMC Nephrology is an open access journal publishing original peer-reviewed research articles in all aspects of the prevention, diagnosis and management of kidney and associated disorders, as well as related molecular genetics, pathophysiology, and epidemiology.
×
引用
GB/T 7714-2015
复制
MLA
复制
APA
复制
导出至
BibTeX EndNote RefMan NoteFirst NoteExpress
×
提示
您的信息不完整,为了账户安全,请先补充。
现在去补充
×
提示
您因"违规操作"
具体请查看互助需知
我知道了
×
提示
确定
请完成安全验证×
copy
已复制链接
快去分享给好友吧!
我知道了
右上角分享
点击右上角分享
0
联系我们:info@booksci.cn Book学术提供免费学术资源搜索服务,方便国内外学者检索中英文文献。致力于提供最便捷和优质的服务体验。 Copyright © 2023 布克学术 All rights reserved.
京ICP备2023020795号-1
ghs 京公网安备 11010802042870号
Book学术文献互助
Book学术文献互助群
群 号:604180095
Book学术官方微信