长期观察肌内注射合成醇引起高钙血症:一例报告研究。

IF 2.4 4区 医学 Q2 UROLOGY & NEPHROLOGY
Magdalena Markowska, Katarzyna Romejko, Zuzanna Moszyńska, Stanisław Niemczyk
{"title":"长期观察肌内注射合成醇引起高钙血症:一例报告研究。","authors":"Magdalena Markowska, Katarzyna Romejko, Zuzanna Moszyńska, Stanisław Niemczyk","doi":"10.1186/s12882-025-04397-5","DOIUrl":null,"url":null,"abstract":"<p><strong>Background: </strong>Hypercalcemia is one of the most common ionic disorders. It is diagnosed when the serum calcium concentration is greater than 10.5 mg/dL. While mainly associated with primary hyperparathyroidism and malignancy, it can also be caused by multiple derangements. Almost every part of the body can be affected by excess calcium. Hypercalcemia might be very dangerous and even lethal.</p><p><strong>Case presentation: </strong>We report a rare trigger of increased serum calcium level - synthol intramuscular injections. A 60-year-old man who suffered from general weakness, weight loss and acute kidney injury, which were associated with unidentified hypercalcemia, was under review for proper diagnosis. We excluded endocrine disorders, malignancies, sarcoidosis, iatrogenic causes, which were defined as medication- related. Patient history, physical examination, blood chemistry, 24-hour urine collection, computed tomography and endoscopy were performed. Finally, the biopsy of muscle explained the source of the increased serum calcium concentrations.</p><p><strong>Conclusions: </strong>Hypercalcemia is a common disorder that has a wide range of triggers. Synthol intramuscular injections are among the causes of elevated serum calcium levels. It is important to make proper and quick diagnoses and begin therapy. Unfortunately, surgical resection of the synthol seems to be the only reasonable option for hypercalcemia treatment.</p>","PeriodicalId":9089,"journal":{"name":"BMC Nephrology","volume":"26 1","pages":"476"},"PeriodicalIF":2.4000,"publicationDate":"2025-08-20","publicationTypes":"Journal Article","fieldsOfStudy":null,"isOpenAccess":false,"openAccessPdf":"https://www.ncbi.nlm.nih.gov/pmc/articles/PMC12366343/pdf/","citationCount":"0","resultStr":"{\"title\":\"Intramuscular synthol injections cause hypercalcemia in long-term observation: a case report study.\",\"authors\":\"Magdalena Markowska, Katarzyna Romejko, Zuzanna Moszyńska, Stanisław Niemczyk\",\"doi\":\"10.1186/s12882-025-04397-5\",\"DOIUrl\":null,\"url\":null,\"abstract\":\"<p><strong>Background: </strong>Hypercalcemia is one of the most common ionic disorders. It is diagnosed when the serum calcium concentration is greater than 10.5 mg/dL. While mainly associated with primary hyperparathyroidism and malignancy, it can also be caused by multiple derangements. Almost every part of the body can be affected by excess calcium. Hypercalcemia might be very dangerous and even lethal.</p><p><strong>Case presentation: </strong>We report a rare trigger of increased serum calcium level - synthol intramuscular injections. A 60-year-old man who suffered from general weakness, weight loss and acute kidney injury, which were associated with unidentified hypercalcemia, was under review for proper diagnosis. We excluded endocrine disorders, malignancies, sarcoidosis, iatrogenic causes, which were defined as medication- related. Patient history, physical examination, blood chemistry, 24-hour urine collection, computed tomography and endoscopy were performed. Finally, the biopsy of muscle explained the source of the increased serum calcium concentrations.</p><p><strong>Conclusions: </strong>Hypercalcemia is a common disorder that has a wide range of triggers. Synthol intramuscular injections are among the causes of elevated serum calcium levels. It is important to make proper and quick diagnoses and begin therapy. Unfortunately, surgical resection of the synthol seems to be the only reasonable option for hypercalcemia treatment.</p>\",\"PeriodicalId\":9089,\"journal\":{\"name\":\"BMC Nephrology\",\"volume\":\"26 1\",\"pages\":\"476\"},\"PeriodicalIF\":2.4000,\"publicationDate\":\"2025-08-20\",\"publicationTypes\":\"Journal Article\",\"fieldsOfStudy\":null,\"isOpenAccess\":false,\"openAccessPdf\":\"https://www.ncbi.nlm.nih.gov/pmc/articles/PMC12366343/pdf/\",\"citationCount\":\"0\",\"resultStr\":null,\"platform\":\"Semanticscholar\",\"paperid\":null,\"PeriodicalName\":\"BMC Nephrology\",\"FirstCategoryId\":\"3\",\"ListUrlMain\":\"https://doi.org/10.1186/s12882-025-04397-5\",\"RegionNum\":4,\"RegionCategory\":\"医学\",\"ArticlePicture\":[],\"TitleCN\":null,\"AbstractTextCN\":null,\"PMCID\":null,\"EPubDate\":\"\",\"PubModel\":\"\",\"JCR\":\"Q2\",\"JCRName\":\"UROLOGY & NEPHROLOGY\",\"Score\":null,\"Total\":0}","platform":"Semanticscholar","paperid":null,"PeriodicalName":"BMC Nephrology","FirstCategoryId":"3","ListUrlMain":"https://doi.org/10.1186/s12882-025-04397-5","RegionNum":4,"RegionCategory":"医学","ArticlePicture":[],"TitleCN":null,"AbstractTextCN":null,"PMCID":null,"EPubDate":"","PubModel":"","JCR":"Q2","JCRName":"UROLOGY & NEPHROLOGY","Score":null,"Total":0}
引用次数: 0

摘要

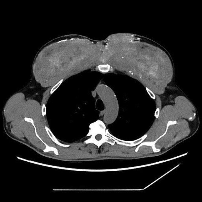
背景:高钙血症是最常见的离子性疾病之一。当血钙浓度大于10.5 mg/dL时诊断。虽然主要与原发性甲状旁腺功能亢进和恶性肿瘤有关,但也可由多种紊乱引起。几乎身体的每个部位都会受到钙过量的影响。高钙血症可能非常危险,甚至致命。病例介绍:我们报告一个罕见的触发血钙水平升高-肌内注射合成醇。一名60岁男性,患有全身无力、体重减轻和急性肾损伤,与不明原因的高钙血症有关,正在接受检查以进行适当的诊断。我们排除了内分泌失调、恶性肿瘤、结节病、医源性原因,这些被定义为与药物相关。对患者进行病史、体格检查、血液化学、24小时尿液采集、计算机断层扫描和内镜检查。最后,肌肉活检解释了血钙浓度升高的来源。结论:高钙血症是一种常见的疾病,具有广泛的触发因素。肌内注射合成醇是引起血钙水平升高的原因之一。重要的是做出正确和快速的诊断并开始治疗。不幸的是,手术切除合成醇似乎是治疗高钙血症的唯一合理选择。
本文章由计算机程序翻译,如有差异,请以英文原文为准。

Intramuscular synthol injections cause hypercalcemia in long-term observation: a case report study.

Intramuscular synthol injections cause hypercalcemia in long-term observation: a case report study.

Intramuscular synthol injections cause hypercalcemia in long-term observation: a case report study.

Intramuscular synthol injections cause hypercalcemia in long-term observation: a case report study.

Background: Hypercalcemia is one of the most common ionic disorders. It is diagnosed when the serum calcium concentration is greater than 10.5 mg/dL. While mainly associated with primary hyperparathyroidism and malignancy, it can also be caused by multiple derangements. Almost every part of the body can be affected by excess calcium. Hypercalcemia might be very dangerous and even lethal.

Case presentation: We report a rare trigger of increased serum calcium level - synthol intramuscular injections. A 60-year-old man who suffered from general weakness, weight loss and acute kidney injury, which were associated with unidentified hypercalcemia, was under review for proper diagnosis. We excluded endocrine disorders, malignancies, sarcoidosis, iatrogenic causes, which were defined as medication- related. Patient history, physical examination, blood chemistry, 24-hour urine collection, computed tomography and endoscopy were performed. Finally, the biopsy of muscle explained the source of the increased serum calcium concentrations.

Conclusions: Hypercalcemia is a common disorder that has a wide range of triggers. Synthol intramuscular injections are among the causes of elevated serum calcium levels. It is important to make proper and quick diagnoses and begin therapy. Unfortunately, surgical resection of the synthol seems to be the only reasonable option for hypercalcemia treatment.

求助全文
通过发布文献求助,成功后即可免费获取论文全文。 去求助
来源期刊
BMC Nephrology
BMC Nephrology UROLOGY & NEPHROLOGY-
CiteScore
4.30
自引率
0.00%
发文量
375
审稿时长
3-8 weeks
期刊介绍: BMC Nephrology is an open access journal publishing original peer-reviewed research articles in all aspects of the prevention, diagnosis and management of kidney and associated disorders, as well as related molecular genetics, pathophysiology, and epidemiology.
×
引用
GB/T 7714-2015
复制
MLA
复制
APA
复制
导出至
BibTeX EndNote RefMan NoteFirst NoteExpress
×
提示
您的信息不完整,为了账户安全,请先补充。
现在去补充
×
提示
您因"违规操作"
具体请查看互助需知
我知道了
×
提示
确定
请完成安全验证×
copy
已复制链接
快去分享给好友吧!
我知道了
右上角分享
点击右上角分享
0
联系我们:info@booksci.cn Book学术提供免费学术资源搜索服务,方便国内外学者检索中英文文献。致力于提供最便捷和优质的服务体验。 Copyright © 2023 布克学术 All rights reserved.
京ICP备2023020795号-1
ghs 京公网安备 11010802042870号
Book学术文献互助
Book学术文献互助群
群 号:604180095
Book学术官方微信