简化的MS2噬菌体样颗粒生产,包括一种新的成熟蛋白内部融合亲和力标签。

IF 1.4 4区 生物学 Q4 BIOTECHNOLOGY & APPLIED MICROBIOLOGY
Enos C Kline, Rose Duong, Qin Wang, Barry R Lutz
{"title":"简化的MS2噬菌体样颗粒生产,包括一种新的成熟蛋白内部融合亲和力标签。","authors":"Enos C Kline, Rose Duong, Qin Wang, Barry R Lutz","doi":"10.1080/13102818.2025.2457691","DOIUrl":null,"url":null,"abstract":"<p><p>Phage-like particles (PLPs) are fabricated self-assembling nanoparticles derived from the structural elements of bacteriophages. These particles have biotechnological utility because of the ability to easily modify surface chemistry and compartmentalize nucleic acids or other materials. A consequential implementation of PLPs in diagnostics is as process controls in nucleic acid amplification tests, where control RNAs are packaged within the protein capsid and protected from degradation by RNases in the sample matrix. Key developments in PLP controls have enhanced the packing efficiency of RNAs into particles, reduced the complexity of their plasmid expression systems, and shifted purification from ultracentrifugation to affinity chromatography, producing progressively greater yields with higher purity. Expanding on prior improvements, this study establishes a revised set of plasmid vectors for <i>Emesvirus zinderi</i> (MS2) derived PLPs that streamline vector manipulations for rapid prototyping of new particles, provide validation of an alternative affinity tag for purification, and contributes a high-throughput low-volume spin column purification strategy. These advancements are combined with a novel internal fusion site in MS2 maturation protein A, a passive element of the MS2 capsid in prior PLP designs, that is capable of displaying polypeptides on the particles' surface. The functionality of the chimeric maturation protein's surface display is verified with an affinity tag fusion and subsequent purification. This advancement increases the number of available peptide display sites for the MS2 PLP platform with wide-ranging implications for future applications.</p>","PeriodicalId":9076,"journal":{"name":"Biotechnology & Biotechnological Equipment","volume":"39 1","pages":""},"PeriodicalIF":1.4000,"publicationDate":"2025-01-01","publicationTypes":"Journal Article","fieldsOfStudy":null,"isOpenAccess":false,"openAccessPdf":"https://www.ncbi.nlm.nih.gov/pmc/articles/PMC12393069/pdf/","citationCount":"0","resultStr":"{\"title\":\"Simplified MS2 phage-like particle production including a novel maturation protein internal fusion affinity tag.\",\"authors\":\"Enos C Kline, Rose Duong, Qin Wang, Barry R Lutz\",\"doi\":\"10.1080/13102818.2025.2457691\",\"DOIUrl\":null,\"url\":null,\"abstract\":\"<p><p>Phage-like particles (PLPs) are fabricated self-assembling nanoparticles derived from the structural elements of bacteriophages. These particles have biotechnological utility because of the ability to easily modify surface chemistry and compartmentalize nucleic acids or other materials. A consequential implementation of PLPs in diagnostics is as process controls in nucleic acid amplification tests, where control RNAs are packaged within the protein capsid and protected from degradation by RNases in the sample matrix. Key developments in PLP controls have enhanced the packing efficiency of RNAs into particles, reduced the complexity of their plasmid expression systems, and shifted purification from ultracentrifugation to affinity chromatography, producing progressively greater yields with higher purity. Expanding on prior improvements, this study establishes a revised set of plasmid vectors for <i>Emesvirus zinderi</i> (MS2) derived PLPs that streamline vector manipulations for rapid prototyping of new particles, provide validation of an alternative affinity tag for purification, and contributes a high-throughput low-volume spin column purification strategy. These advancements are combined with a novel internal fusion site in MS2 maturation protein A, a passive element of the MS2 capsid in prior PLP designs, that is capable of displaying polypeptides on the particles' surface. The functionality of the chimeric maturation protein's surface display is verified with an affinity tag fusion and subsequent purification. This advancement increases the number of available peptide display sites for the MS2 PLP platform with wide-ranging implications for future applications.</p>\",\"PeriodicalId\":9076,\"journal\":{\"name\":\"Biotechnology & Biotechnological Equipment\",\"volume\":\"39 1\",\"pages\":\"\"},\"PeriodicalIF\":1.4000,\"publicationDate\":\"2025-01-01\",\"publicationTypes\":\"Journal Article\",\"fieldsOfStudy\":null,\"isOpenAccess\":false,\"openAccessPdf\":\"https://www.ncbi.nlm.nih.gov/pmc/articles/PMC12393069/pdf/\",\"citationCount\":\"0\",\"resultStr\":null,\"platform\":\"Semanticscholar\",\"paperid\":null,\"PeriodicalName\":\"Biotechnology & Biotechnological Equipment\",\"FirstCategoryId\":\"5\",\"ListUrlMain\":\"https://doi.org/10.1080/13102818.2025.2457691\",\"RegionNum\":4,\"RegionCategory\":\"生物学\",\"ArticlePicture\":[],\"TitleCN\":null,\"AbstractTextCN\":null,\"PMCID\":null,\"EPubDate\":\"2025/2/2 0:00:00\",\"PubModel\":\"Epub\",\"JCR\":\"Q4\",\"JCRName\":\"BIOTECHNOLOGY & APPLIED MICROBIOLOGY\",\"Score\":null,\"Total\":0}","platform":"Semanticscholar","paperid":null,"PeriodicalName":"Biotechnology & Biotechnological Equipment","FirstCategoryId":"5","ListUrlMain":"https://doi.org/10.1080/13102818.2025.2457691","RegionNum":4,"RegionCategory":"生物学","ArticlePicture":[],"TitleCN":null,"AbstractTextCN":null,"PMCID":null,"EPubDate":"2025/2/2 0:00:00","PubModel":"Epub","JCR":"Q4","JCRName":"BIOTECHNOLOGY & APPLIED MICROBIOLOGY","Score":null,"Total":0}
引用次数: 0

摘要

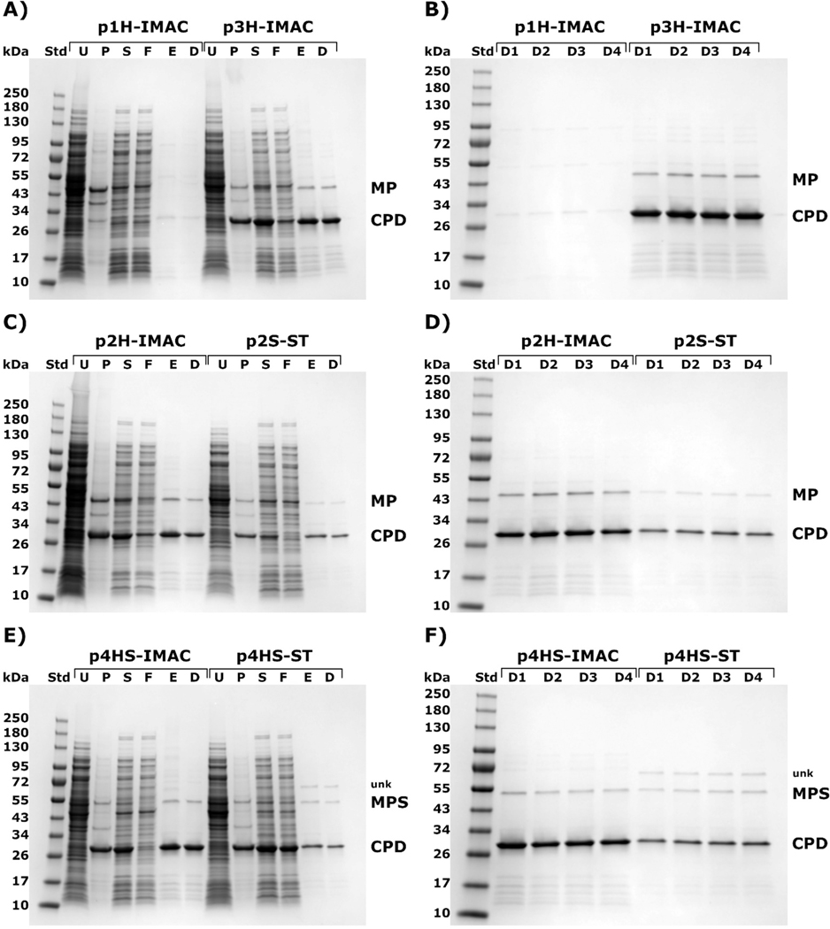
噬菌体样颗粒(PLPs)是由噬菌体的结构元素制成的自组装纳米颗粒。这些颗粒具有生物技术用途,因为它们能够很容易地改变表面化学性质,并将核酸或其他物质区隔。PLPs在诊断中的相应实施是作为核酸扩增试验中的过程控制,其中对照rna被包装在蛋白质衣壳内,并保护其不被样品基质中的rna酶降解。PLP控制的关键发展提高了rna进入颗粒的包装效率,降低了其质粒表达系统的复杂性,并将纯化从超离心转移到亲和层析,以更高的纯度产生更高的产量。在先前改进的基础上,本研究为Emesvirus zinderi (MS2)衍生PLPs建立了一套改进的质粒载体,简化了新颗粒快速原型制作的载体操作,为纯化提供了一种替代亲和标签的验证,并提供了一种高通量小体积自旋柱纯化策略。这些进展与MS2成熟蛋白a的一个新的内部融合位点相结合,MS2成熟蛋白a是先前PLP设计中MS2衣壳的一个被动元件,能够在颗粒表面显示多肽。嵌合成熟蛋白的表面展示功能通过亲和标签融合和随后的纯化得到验证。这一进展增加了MS2 PLP平台可用肽显示位点的数量,对未来的应用具有广泛的影响。
本文章由计算机程序翻译,如有差异,请以英文原文为准。

Simplified MS2 phage-like particle production including a novel maturation protein internal fusion affinity tag.

Simplified MS2 phage-like particle production including a novel maturation protein internal fusion affinity tag.

Simplified MS2 phage-like particle production including a novel maturation protein internal fusion affinity tag.

Simplified MS2 phage-like particle production including a novel maturation protein internal fusion affinity tag.

Phage-like particles (PLPs) are fabricated self-assembling nanoparticles derived from the structural elements of bacteriophages. These particles have biotechnological utility because of the ability to easily modify surface chemistry and compartmentalize nucleic acids or other materials. A consequential implementation of PLPs in diagnostics is as process controls in nucleic acid amplification tests, where control RNAs are packaged within the protein capsid and protected from degradation by RNases in the sample matrix. Key developments in PLP controls have enhanced the packing efficiency of RNAs into particles, reduced the complexity of their plasmid expression systems, and shifted purification from ultracentrifugation to affinity chromatography, producing progressively greater yields with higher purity. Expanding on prior improvements, this study establishes a revised set of plasmid vectors for Emesvirus zinderi (MS2) derived PLPs that streamline vector manipulations for rapid prototyping of new particles, provide validation of an alternative affinity tag for purification, and contributes a high-throughput low-volume spin column purification strategy. These advancements are combined with a novel internal fusion site in MS2 maturation protein A, a passive element of the MS2 capsid in prior PLP designs, that is capable of displaying polypeptides on the particles' surface. The functionality of the chimeric maturation protein's surface display is verified with an affinity tag fusion and subsequent purification. This advancement increases the number of available peptide display sites for the MS2 PLP platform with wide-ranging implications for future applications.

求助全文
通过发布文献求助,成功后即可免费获取论文全文。 去求助
来源期刊
Biotechnology & Biotechnological Equipment
Biotechnology & Biotechnological Equipment 工程技术-生物工程与应用微生物
CiteScore
3.10
自引率
0.00%
发文量
90
审稿时长
1 months
期刊介绍: Biotechnology & Biotechnological Equipment (B&BE) is an international open access journal publishing cutting-edge research. A modern world requires modern biotechnology and nanobiology. The journal is a forum that provides society with valuable information for a healthy and better life and promotes “the Science and Culture of Nature”. The journal publishes original research and reviews with a multidisciplinary perspective; expanded case reports with a focus on molecular medical research and advanced practice in evidence-based medicine are also considered.
×
引用
GB/T 7714-2015
复制
MLA
复制
APA
复制
导出至
BibTeX EndNote RefMan NoteFirst NoteExpress
×
提示
您的信息不完整,为了账户安全,请先补充。
现在去补充
×
提示
您因"违规操作"
具体请查看互助需知
我知道了
×
提示
确定
请完成安全验证×
copy
已复制链接
快去分享给好友吧!
我知道了
右上角分享
点击右上角分享
0
联系我们:info@booksci.cn Book学术提供免费学术资源搜索服务,方便国内外学者检索中英文文献。致力于提供最便捷和优质的服务体验。 Copyright © 2023 布克学术 All rights reserved.
京ICP备2023020795号-1
ghs 京公网安备 11010802042870号
Book学术文献互助
Book学术文献互助群
群 号:604180095
Book学术官方微信