ct引导下对舌骨上深部头颈部病变的经皮穿刺活检:诊断表现和诊断失败相关因素的研究。

IF 3.2 3区 医学 Q2 RADIOLOGY, NUCLEAR MEDICINE & MEDICAL IMAGING
Yingyu Pan, Zhe Ren, Hongbo Zhao, Weiqing Tang
{"title":"ct引导下对舌骨上深部头颈部病变的经皮穿刺活检:诊断表现和诊断失败相关因素的研究。","authors":"Yingyu Pan, Zhe Ren, Hongbo Zhao, Weiqing Tang","doi":"10.1186/s12880-025-01899-4","DOIUrl":null,"url":null,"abstract":"<p><strong>Purpose: </strong>Pathological diagnosis is important for the treatment of deep suprahyoid head and neck lesions, and tissue sampling needs to balance minimal invasiveness and accuracy. The purpose of this study was to evaluate diagnostic accuracy and factors associated with diagnostic failure of core needle biopsy (CNB) with CT-guided in deep suprahyoid head and neck lesions.</p><p><strong>Methods: </strong>The records of 204 patients who underwent CT-guided CNB were retrospectively reviewed. CT-guided CNB was conducted for pathological diagnosis with the use of 18-G coaxial biopsy needles. Diagnostic accuracy for the diagnosis of lesions were calculated by comparing the biopsy results with the operative specimen or based on treatment response and clinical follow-up more than 6 months. Factors associated with biopsy failure was identified by chi-square test and logistics regression of procedure characteristics and lesion features.</p><p><strong>Result: </strong>All 204 specimens were deemed adequate for histological diagnosis, with no immediate or delayed severe complications encountered. The diagnostic performance showed a sensitivity of 89.2% (141/158), specificity of 97.8% (45/46), and overall accuracy of 91.2% (186/204). Respectively, lesions with poorly defined margins or pre-procedural diagnostic imaging were the potential factor for diagnostic failure.</p><p><strong>Conclusion: </strong>CNB with CT-guidance is an effective procedure for tissue diagnosis of patient with primary deep suprahyoid head and neck lesions and skull base lesions. Notably, lesions with poorly defined margins and suboptimal pre-procedural imaging emerged as potential factors contributing to diagnostic failure. Specifically, for lesions with indistinct boundaries-wherein the extent of the lesion is difficult to delineate-pre-procedural assessment using magnetic resonance imaging is recommended to enhance the clarity of lesion margins, thereby potentially improving diagnostic accuracy.</p>","PeriodicalId":9020,"journal":{"name":"BMC Medical Imaging","volume":"25 1","pages":"352"},"PeriodicalIF":3.2000,"publicationDate":"2025-08-27","publicationTypes":"Journal Article","fieldsOfStudy":null,"isOpenAccess":false,"openAccessPdf":"https://www.ncbi.nlm.nih.gov/pmc/articles/PMC12382221/pdf/","citationCount":"0","resultStr":"{\"title\":\"A percutaneous core needle biopsy of deep suprahyoid head and neck lesions with CT-guided: study of diagnostic performance and factors associated with diagnostic failure.\",\"authors\":\"Yingyu Pan, Zhe Ren, Hongbo Zhao, Weiqing Tang\",\"doi\":\"10.1186/s12880-025-01899-4\",\"DOIUrl\":null,\"url\":null,\"abstract\":\"<p><strong>Purpose: </strong>Pathological diagnosis is important for the treatment of deep suprahyoid head and neck lesions, and tissue sampling needs to balance minimal invasiveness and accuracy. The purpose of this study was to evaluate diagnostic accuracy and factors associated with diagnostic failure of core needle biopsy (CNB) with CT-guided in deep suprahyoid head and neck lesions.</p><p><strong>Methods: </strong>The records of 204 patients who underwent CT-guided CNB were retrospectively reviewed. CT-guided CNB was conducted for pathological diagnosis with the use of 18-G coaxial biopsy needles. Diagnostic accuracy for the diagnosis of lesions were calculated by comparing the biopsy results with the operative specimen or based on treatment response and clinical follow-up more than 6 months. Factors associated with biopsy failure was identified by chi-square test and logistics regression of procedure characteristics and lesion features.</p><p><strong>Result: </strong>All 204 specimens were deemed adequate for histological diagnosis, with no immediate or delayed severe complications encountered. The diagnostic performance showed a sensitivity of 89.2% (141/158), specificity of 97.8% (45/46), and overall accuracy of 91.2% (186/204). Respectively, lesions with poorly defined margins or pre-procedural diagnostic imaging were the potential factor for diagnostic failure.</p><p><strong>Conclusion: </strong>CNB with CT-guidance is an effective procedure for tissue diagnosis of patient with primary deep suprahyoid head and neck lesions and skull base lesions. Notably, lesions with poorly defined margins and suboptimal pre-procedural imaging emerged as potential factors contributing to diagnostic failure. Specifically, for lesions with indistinct boundaries-wherein the extent of the lesion is difficult to delineate-pre-procedural assessment using magnetic resonance imaging is recommended to enhance the clarity of lesion margins, thereby potentially improving diagnostic accuracy.</p>\",\"PeriodicalId\":9020,\"journal\":{\"name\":\"BMC Medical Imaging\",\"volume\":\"25 1\",\"pages\":\"352\"},\"PeriodicalIF\":3.2000,\"publicationDate\":\"2025-08-27\",\"publicationTypes\":\"Journal Article\",\"fieldsOfStudy\":null,\"isOpenAccess\":false,\"openAccessPdf\":\"https://www.ncbi.nlm.nih.gov/pmc/articles/PMC12382221/pdf/\",\"citationCount\":\"0\",\"resultStr\":null,\"platform\":\"Semanticscholar\",\"paperid\":null,\"PeriodicalName\":\"BMC Medical Imaging\",\"FirstCategoryId\":\"3\",\"ListUrlMain\":\"https://doi.org/10.1186/s12880-025-01899-4\",\"RegionNum\":3,\"RegionCategory\":\"医学\",\"ArticlePicture\":[],\"TitleCN\":null,\"AbstractTextCN\":null,\"PMCID\":null,\"EPubDate\":\"\",\"PubModel\":\"\",\"JCR\":\"Q2\",\"JCRName\":\"RADIOLOGY, NUCLEAR MEDICINE & MEDICAL IMAGING\",\"Score\":null,\"Total\":0}","platform":"Semanticscholar","paperid":null,"PeriodicalName":"BMC Medical Imaging","FirstCategoryId":"3","ListUrlMain":"https://doi.org/10.1186/s12880-025-01899-4","RegionNum":3,"RegionCategory":"医学","ArticlePicture":[],"TitleCN":null,"AbstractTextCN":null,"PMCID":null,"EPubDate":"","PubModel":"","JCR":"Q2","JCRName":"RADIOLOGY, NUCLEAR MEDICINE & MEDICAL IMAGING","Score":null,"Total":0}
引用次数: 0

摘要

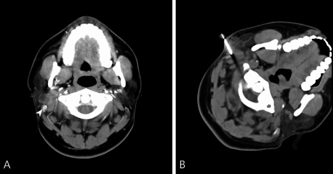
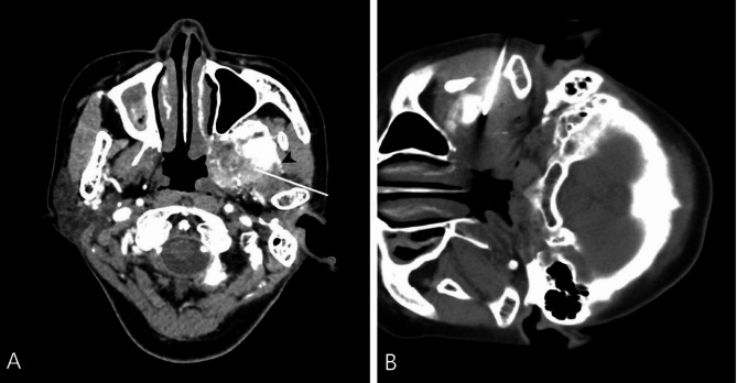
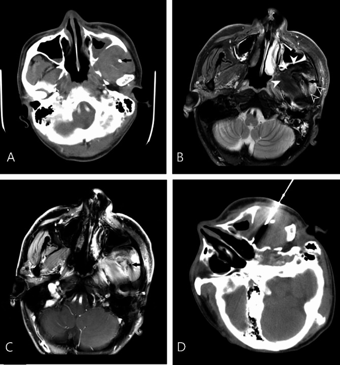
目的:舌骨上深部头颈部病变的病理诊断是重要的,组织取样需要平衡最小的侵入性和准确性。本研究的目的是评估ct引导下核心针活检(CNB)对舌骨上深部头颈部病变的诊断准确性和诊断失败相关因素。方法:回顾性分析204例ct引导下CNB患者的临床资料。ct引导下CNB采用18g同轴活检针进行病理诊断。病变诊断的准确性通过活检结果与手术标本的比较或根据治疗效果和6个月以上的临床随访来计算。通过卡方检验和程序特征和病变特征的logistic回归来确定与活检失败相关的因素。结果:所有204例标本均可用于组织学诊断,未发生立即或延迟的严重并发症。诊断敏感性为89.2%(141/158),特异性为97.8%(45/46),总体准确率为91.2%(186/204)。病变边界不清或术前诊断成像是诊断失败的潜在因素。结论:ct引导下的CNB是原发性舌骨上深部头颈部病变及颅底病变的有效组织诊断方法。值得注意的是,边缘不明确的病变和不理想的术前成像是导致诊断失败的潜在因素。具体来说,对于边界不清的病变,病变的范围难以划定,建议术前使用磁共振成像进行评估,以提高病变边缘的清晰度,从而有可能提高诊断的准确性。
本文章由计算机程序翻译,如有差异,请以英文原文为准。

A percutaneous core needle biopsy of deep suprahyoid head and neck lesions with CT-guided: study of diagnostic performance and factors associated with diagnostic failure.

A percutaneous core needle biopsy of deep suprahyoid head and neck lesions with CT-guided: study of diagnostic performance and factors associated with diagnostic failure.

A percutaneous core needle biopsy of deep suprahyoid head and neck lesions with CT-guided: study of diagnostic performance and factors associated with diagnostic failure.

A percutaneous core needle biopsy of deep suprahyoid head and neck lesions with CT-guided: study of diagnostic performance and factors associated with diagnostic failure.

Purpose: Pathological diagnosis is important for the treatment of deep suprahyoid head and neck lesions, and tissue sampling needs to balance minimal invasiveness and accuracy. The purpose of this study was to evaluate diagnostic accuracy and factors associated with diagnostic failure of core needle biopsy (CNB) with CT-guided in deep suprahyoid head and neck lesions.

Methods: The records of 204 patients who underwent CT-guided CNB were retrospectively reviewed. CT-guided CNB was conducted for pathological diagnosis with the use of 18-G coaxial biopsy needles. Diagnostic accuracy for the diagnosis of lesions were calculated by comparing the biopsy results with the operative specimen or based on treatment response and clinical follow-up more than 6 months. Factors associated with biopsy failure was identified by chi-square test and logistics regression of procedure characteristics and lesion features.

Result: All 204 specimens were deemed adequate for histological diagnosis, with no immediate or delayed severe complications encountered. The diagnostic performance showed a sensitivity of 89.2% (141/158), specificity of 97.8% (45/46), and overall accuracy of 91.2% (186/204). Respectively, lesions with poorly defined margins or pre-procedural diagnostic imaging were the potential factor for diagnostic failure.

Conclusion: CNB with CT-guidance is an effective procedure for tissue diagnosis of patient with primary deep suprahyoid head and neck lesions and skull base lesions. Notably, lesions with poorly defined margins and suboptimal pre-procedural imaging emerged as potential factors contributing to diagnostic failure. Specifically, for lesions with indistinct boundaries-wherein the extent of the lesion is difficult to delineate-pre-procedural assessment using magnetic resonance imaging is recommended to enhance the clarity of lesion margins, thereby potentially improving diagnostic accuracy.

求助全文
通过发布文献求助,成功后即可免费获取论文全文。 去求助
来源期刊
BMC Medical Imaging
BMC Medical Imaging RADIOLOGY, NUCLEAR MEDICINE & MEDICAL IMAGING-
CiteScore
4.60
自引率
3.70%
发文量
198
审稿时长
27 weeks
期刊介绍: BMC Medical Imaging is an open access journal publishing original peer-reviewed research articles in the development, evaluation, and use of imaging techniques and image processing tools to diagnose and manage disease.
×
引用
GB/T 7714-2015
复制
MLA
复制
APA
复制
导出至
BibTeX EndNote RefMan NoteFirst NoteExpress
×
提示
您的信息不完整,为了账户安全,请先补充。
现在去补充
×
提示
您因"违规操作"
具体请查看互助需知
我知道了
×
提示
确定
请完成安全验证×
copy
已复制链接
快去分享给好友吧!
我知道了
右上角分享
点击右上角分享
0
联系我们:info@booksci.cn Book学术提供免费学术资源搜索服务,方便国内外学者检索中英文文献。致力于提供最便捷和优质的服务体验。 Copyright © 2023 布克学术 All rights reserved.
京ICP备2023020795号-1
ghs 京公网安备 11010802042870号
Book学术文献互助
Book学术文献互助群
群 号:604180095
Book学术官方微信