超声造影在波士尼亚克肾囊性病变随访中的价值。

IF 3.2 3区 医学 Q2 RADIOLOGY, NUCLEAR MEDICINE & MEDICAL IMAGING
Ákos Járay, Péter István Farkas, Dávid Semjén, Bálint Botz
{"title":"超声造影在波士尼亚克肾囊性病变随访中的价值。","authors":"Ákos Járay, Péter István Farkas, Dávid Semjén, Bálint Botz","doi":"10.1186/s12880-025-01905-9","DOIUrl":null,"url":null,"abstract":"<p><strong>Background: </strong>Contrast-enhanced ultrasound (CEUS) is increasingly used in the characterization of cystic renal lesions. Bosniak IIF lesions warrant follow-up, and their reported progression rate remains variable.</p><p><strong>Methods: </strong>In this single-center retrospective study we assessed renal CEUS exams (SonoVue<sup>®</sup>) with a diagnosis of Bosniak IIF lesion, conducted between 2015 and 2020. 56 patients (59 lesions) met inclusion criteria. Patient demographics, lesion morphology, follow-up adherence, and outcomes were evaluated.</p><p><strong>Results: </strong>Significant (p = 0.037) positive correlation was found between patient age and lesion size. 33.9% of patients were immediately lost to follow-up, and they tended to be younger, albeit not significantly (p = 0.09). Recommendation for follow-up imaging was indicated in 66.1% of the initial radiological reports. Follow-up adherence was not significantly lower for lesions with absent recommendation (55% vs. 70.27%, p = 0.26). Fewer (52%) female vs. male (74.19%) patients had a follow-up recommendation (p = 0.1, not significant). 10.8% of the followed lesions demonstrated progression within 5 years. Lesion reevaluation according to the 2020 European Federation of Societies for Ultrasound in Medicine and Biology (EFSUMB) criteria resulted in 77.36% agreement with 22.2% of lesions being downgraded, and a single lesion being upgraded (p = 0.0015, significant).</p><p><strong>Conclusions: </strong>Follow-up adherence of Bosniak IIF cystic renal lesions was found to be suboptimal, with potential gender disparities. Standardization of follow-up recommendation in the report is an unmet need. Progression rate remains low, but is expected to change with the adoption of novel CEUS-specific criteria. The EFSUMB criteria in particular can improve selection of truly indeterminate lesions.</p><p><strong>Trial registration: </strong>Retrospectively registered.</p>","PeriodicalId":9020,"journal":{"name":"BMC Medical Imaging","volume":"25 1","pages":"358"},"PeriodicalIF":3.2000,"publicationDate":"2025-08-29","publicationTypes":"Journal Article","fieldsOfStudy":null,"isOpenAccess":false,"openAccessPdf":"https://www.ncbi.nlm.nih.gov/pmc/articles/PMC12395875/pdf/","citationCount":"0","resultStr":"{\"title\":\"The value of contrast-enhanced ultrasound in the follow-up of Bosniak IIF cystic renal lesions.\",\"authors\":\"Ákos Járay, Péter István Farkas, Dávid Semjén, Bálint Botz\",\"doi\":\"10.1186/s12880-025-01905-9\",\"DOIUrl\":null,\"url\":null,\"abstract\":\"<p><strong>Background: </strong>Contrast-enhanced ultrasound (CEUS) is increasingly used in the characterization of cystic renal lesions. Bosniak IIF lesions warrant follow-up, and their reported progression rate remains variable.</p><p><strong>Methods: </strong>In this single-center retrospective study we assessed renal CEUS exams (SonoVue<sup>®</sup>) with a diagnosis of Bosniak IIF lesion, conducted between 2015 and 2020. 56 patients (59 lesions) met inclusion criteria. Patient demographics, lesion morphology, follow-up adherence, and outcomes were evaluated.</p><p><strong>Results: </strong>Significant (p = 0.037) positive correlation was found between patient age and lesion size. 33.9% of patients were immediately lost to follow-up, and they tended to be younger, albeit not significantly (p = 0.09). Recommendation for follow-up imaging was indicated in 66.1% of the initial radiological reports. Follow-up adherence was not significantly lower for lesions with absent recommendation (55% vs. 70.27%, p = 0.26). Fewer (52%) female vs. male (74.19%) patients had a follow-up recommendation (p = 0.1, not significant). 10.8% of the followed lesions demonstrated progression within 5 years. Lesion reevaluation according to the 2020 European Federation of Societies for Ultrasound in Medicine and Biology (EFSUMB) criteria resulted in 77.36% agreement with 22.2% of lesions being downgraded, and a single lesion being upgraded (p = 0.0015, significant).</p><p><strong>Conclusions: </strong>Follow-up adherence of Bosniak IIF cystic renal lesions was found to be suboptimal, with potential gender disparities. Standardization of follow-up recommendation in the report is an unmet need. Progression rate remains low, but is expected to change with the adoption of novel CEUS-specific criteria. The EFSUMB criteria in particular can improve selection of truly indeterminate lesions.</p><p><strong>Trial registration: </strong>Retrospectively registered.</p>\",\"PeriodicalId\":9020,\"journal\":{\"name\":\"BMC Medical Imaging\",\"volume\":\"25 1\",\"pages\":\"358\"},\"PeriodicalIF\":3.2000,\"publicationDate\":\"2025-08-29\",\"publicationTypes\":\"Journal Article\",\"fieldsOfStudy\":null,\"isOpenAccess\":false,\"openAccessPdf\":\"https://www.ncbi.nlm.nih.gov/pmc/articles/PMC12395875/pdf/\",\"citationCount\":\"0\",\"resultStr\":null,\"platform\":\"Semanticscholar\",\"paperid\":null,\"PeriodicalName\":\"BMC Medical Imaging\",\"FirstCategoryId\":\"3\",\"ListUrlMain\":\"https://doi.org/10.1186/s12880-025-01905-9\",\"RegionNum\":3,\"RegionCategory\":\"医学\",\"ArticlePicture\":[],\"TitleCN\":null,\"AbstractTextCN\":null,\"PMCID\":null,\"EPubDate\":\"\",\"PubModel\":\"\",\"JCR\":\"Q2\",\"JCRName\":\"RADIOLOGY, NUCLEAR MEDICINE & MEDICAL IMAGING\",\"Score\":null,\"Total\":0}","platform":"Semanticscholar","paperid":null,"PeriodicalName":"BMC Medical Imaging","FirstCategoryId":"3","ListUrlMain":"https://doi.org/10.1186/s12880-025-01905-9","RegionNum":3,"RegionCategory":"医学","ArticlePicture":[],"TitleCN":null,"AbstractTextCN":null,"PMCID":null,"EPubDate":"","PubModel":"","JCR":"Q2","JCRName":"RADIOLOGY, NUCLEAR MEDICINE & MEDICAL IMAGING","Score":null,"Total":0}
引用次数: 0

摘要

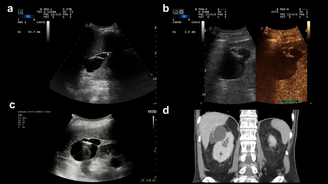
背景:超声造影(CEUS)越来越多地用于诊断囊性肾病变。波什尼亚克IIF病变需要随访,其报告的进展率仍然不同。方法:在这项单中心回顾性研究中,我们评估了2015年至2020年间进行的诊断为Bosniak IIF病变的肾脏超声造影检查(SonoVue®)。56例患者(59个病灶)符合纳入标准。评估患者人口统计学、病变形态、随访依从性和结果。结果:患者年龄与病变大小呈正相关(p = 0.037)。33.9%的患者立即失去随访,而且他们往往更年轻,尽管没有显著性差异(p = 0.09)。66.1%的初步放射学报告建议随访影像学检查。对于没有推荐的病变,随访依从性没有显著降低(55%比70.27%,p = 0.26)。有随访建议的女性患者(52%)少于男性(74.19%)(p = 0.1,无统计学意义)。10.8%的随访病变在5年内出现进展。根据2020年欧洲超声医学和生物学协会联合会(EFSUMB)标准,病变重新评估结果77.36%一致,22.2%病变降级,单个病变升级(p = 0.0015,显著)。结论:Bosniak IIF囊性肾病变的随访依从性不理想,存在潜在的性别差异。报告中后续建议的标准化是一项未得到满足的需求。进展率仍然很低,但随着新型超声造影特异性标准的采用,预计会有所改变。EFSUMB标准尤其可以改善对真正不确定病变的选择。试验注册:回顾性注册。
本文章由计算机程序翻译,如有差异,请以英文原文为准。

The value of contrast-enhanced ultrasound in the follow-up of Bosniak IIF cystic renal lesions.

The value of contrast-enhanced ultrasound in the follow-up of Bosniak IIF cystic renal lesions.

The value of contrast-enhanced ultrasound in the follow-up of Bosniak IIF cystic renal lesions.

The value of contrast-enhanced ultrasound in the follow-up of Bosniak IIF cystic renal lesions.

Background: Contrast-enhanced ultrasound (CEUS) is increasingly used in the characterization of cystic renal lesions. Bosniak IIF lesions warrant follow-up, and their reported progression rate remains variable.

Methods: In this single-center retrospective study we assessed renal CEUS exams (SonoVue®) with a diagnosis of Bosniak IIF lesion, conducted between 2015 and 2020. 56 patients (59 lesions) met inclusion criteria. Patient demographics, lesion morphology, follow-up adherence, and outcomes were evaluated.

Results: Significant (p = 0.037) positive correlation was found between patient age and lesion size. 33.9% of patients were immediately lost to follow-up, and they tended to be younger, albeit not significantly (p = 0.09). Recommendation for follow-up imaging was indicated in 66.1% of the initial radiological reports. Follow-up adherence was not significantly lower for lesions with absent recommendation (55% vs. 70.27%, p = 0.26). Fewer (52%) female vs. male (74.19%) patients had a follow-up recommendation (p = 0.1, not significant). 10.8% of the followed lesions demonstrated progression within 5 years. Lesion reevaluation according to the 2020 European Federation of Societies for Ultrasound in Medicine and Biology (EFSUMB) criteria resulted in 77.36% agreement with 22.2% of lesions being downgraded, and a single lesion being upgraded (p = 0.0015, significant).

Conclusions: Follow-up adherence of Bosniak IIF cystic renal lesions was found to be suboptimal, with potential gender disparities. Standardization of follow-up recommendation in the report is an unmet need. Progression rate remains low, but is expected to change with the adoption of novel CEUS-specific criteria. The EFSUMB criteria in particular can improve selection of truly indeterminate lesions.

Trial registration: Retrospectively registered.

求助全文
通过发布文献求助,成功后即可免费获取论文全文。 去求助
来源期刊
BMC Medical Imaging
BMC Medical Imaging RADIOLOGY, NUCLEAR MEDICINE & MEDICAL IMAGING-
CiteScore
4.60
自引率
3.70%
发文量
198
审稿时长
27 weeks
期刊介绍: BMC Medical Imaging is an open access journal publishing original peer-reviewed research articles in the development, evaluation, and use of imaging techniques and image processing tools to diagnose and manage disease.
×
引用
GB/T 7714-2015
复制
MLA
复制
APA
复制
导出至
BibTeX EndNote RefMan NoteFirst NoteExpress
×
提示
您的信息不完整,为了账户安全,请先补充。
现在去补充
×
提示
您因"违规操作"
具体请查看互助需知
我知道了
×
提示
确定
请完成安全验证×
copy
已复制链接
快去分享给好友吧!
我知道了
右上角分享
点击右上角分享
0
联系我们:info@booksci.cn Book学术提供免费学术资源搜索服务,方便国内外学者检索中英文文献。致力于提供最便捷和优质的服务体验。 Copyright © 2023 布克学术 All rights reserved.
京ICP备2023020795号-1
ghs 京公网安备 11010802042870号
Book学术文献互助
Book学术文献互助群
群 号:604180095
Book学术官方微信