超声内镜引导下细针活检诊断外阴黑色素瘤胰腺转移。

IF 0.5 Q4 GASTROENTEROLOGY & HEPATOLOGY
ACG Case Reports Journal Pub Date : 2025-08-21 eCollection Date: 2025-08-01 DOI:10.14309/crj.0000000000001784
Ricardo Almeida, Luiza Bicudo, Leika Felipe, Gustavo Andrade de Paulo, Fauze Maluf-Filho, Luciano Lenz
{"title":"超声内镜引导下细针活检诊断外阴黑色素瘤胰腺转移。","authors":"Ricardo Almeida, Luiza Bicudo, Leika Felipe, Gustavo Andrade de Paulo, Fauze Maluf-Filho, Luciano Lenz","doi":"10.14309/crj.0000000000001784","DOIUrl":null,"url":null,"abstract":"<p><p>Vulvar melanoma (VM) is a rare and aggressive malignancy with a high metastatic potential. We present the case of an 82-year-old woman who initially presented with vaginal bleeding and was diagnosed with VM with lymph node involvement. Despite surgical and palliative interventions, she later developed brain, nodal, and pancreatic metastases. Endoscopic ultrasound-guided fine-needle biopsy (EUS-FNB) confirmed pancreatic metastasis through immunohistochemistry. To our knowledge, this is the first reported case of pancreatic metastasis from VM diagnosed by EUS-FNB. This case highlights the importance of EUS-FNB in diagnosing metastatic lesions in unusual locations.</p>","PeriodicalId":7394,"journal":{"name":"ACG Case Reports Journal","volume":"12 8","pages":"e01784"},"PeriodicalIF":0.5000,"publicationDate":"2025-08-21","publicationTypes":"Journal Article","fieldsOfStudy":null,"isOpenAccess":false,"openAccessPdf":"https://www.ncbi.nlm.nih.gov/pmc/articles/PMC12369837/pdf/","citationCount":"0","resultStr":"{\"title\":\"Pancreatic Metastasis From a Vulvar Melanoma Diagnosed by Endoscopic Ultrasound-Guided Fine-Needle Biopsy.\",\"authors\":\"Ricardo Almeida, Luiza Bicudo, Leika Felipe, Gustavo Andrade de Paulo, Fauze Maluf-Filho, Luciano Lenz\",\"doi\":\"10.14309/crj.0000000000001784\",\"DOIUrl\":null,\"url\":null,\"abstract\":\"<p><p>Vulvar melanoma (VM) is a rare and aggressive malignancy with a high metastatic potential. We present the case of an 82-year-old woman who initially presented with vaginal bleeding and was diagnosed with VM with lymph node involvement. Despite surgical and palliative interventions, she later developed brain, nodal, and pancreatic metastases. Endoscopic ultrasound-guided fine-needle biopsy (EUS-FNB) confirmed pancreatic metastasis through immunohistochemistry. To our knowledge, this is the first reported case of pancreatic metastasis from VM diagnosed by EUS-FNB. This case highlights the importance of EUS-FNB in diagnosing metastatic lesions in unusual locations.</p>\",\"PeriodicalId\":7394,\"journal\":{\"name\":\"ACG Case Reports Journal\",\"volume\":\"12 8\",\"pages\":\"e01784\"},\"PeriodicalIF\":0.5000,\"publicationDate\":\"2025-08-21\",\"publicationTypes\":\"Journal Article\",\"fieldsOfStudy\":null,\"isOpenAccess\":false,\"openAccessPdf\":\"https://www.ncbi.nlm.nih.gov/pmc/articles/PMC12369837/pdf/\",\"citationCount\":\"0\",\"resultStr\":null,\"platform\":\"Semanticscholar\",\"paperid\":null,\"PeriodicalName\":\"ACG Case Reports Journal\",\"FirstCategoryId\":\"1085\",\"ListUrlMain\":\"https://doi.org/10.14309/crj.0000000000001784\",\"RegionNum\":0,\"RegionCategory\":null,\"ArticlePicture\":[],\"TitleCN\":null,\"AbstractTextCN\":null,\"PMCID\":null,\"EPubDate\":\"2025/8/1 0:00:00\",\"PubModel\":\"eCollection\",\"JCR\":\"Q4\",\"JCRName\":\"GASTROENTEROLOGY & HEPATOLOGY\",\"Score\":null,\"Total\":0}","platform":"Semanticscholar","paperid":null,"PeriodicalName":"ACG Case Reports Journal","FirstCategoryId":"1085","ListUrlMain":"https://doi.org/10.14309/crj.0000000000001784","RegionNum":0,"RegionCategory":null,"ArticlePicture":[],"TitleCN":null,"AbstractTextCN":null,"PMCID":null,"EPubDate":"2025/8/1 0:00:00","PubModel":"eCollection","JCR":"Q4","JCRName":"GASTROENTEROLOGY & HEPATOLOGY","Score":null,"Total":0}
引用次数: 0

摘要

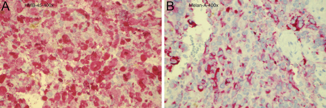
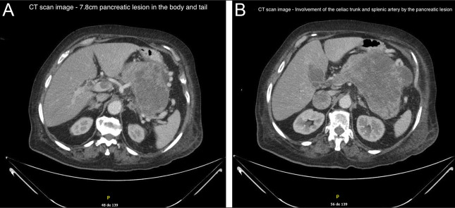
外阴黑色素瘤(VM)是一种罕见的侵袭性恶性肿瘤,具有很高的转移潜力。我们提出一个82岁的妇女谁最初提出阴道出血,并被诊断为VM与淋巴结累及的情况下。尽管进行了手术和姑息治疗,她后来还是出现了脑、淋巴结和胰腺转移。内镜超声引导下细针活检(EUS-FNB)经免疫组化证实胰腺转移。据我们所知,这是第一例用EUS-FNB诊断的VM胰腺转移病例。本病例强调了EUS-FNB在诊断异常部位转移性病变中的重要性。
本文章由计算机程序翻译,如有差异,请以英文原文为准。

Pancreatic Metastasis From a Vulvar Melanoma Diagnosed by Endoscopic Ultrasound-Guided Fine-Needle Biopsy.

Pancreatic Metastasis From a Vulvar Melanoma Diagnosed by Endoscopic Ultrasound-Guided Fine-Needle Biopsy.

Pancreatic Metastasis From a Vulvar Melanoma Diagnosed by Endoscopic Ultrasound-Guided Fine-Needle Biopsy.

Pancreatic Metastasis From a Vulvar Melanoma Diagnosed by Endoscopic Ultrasound-Guided Fine-Needle Biopsy.

Vulvar melanoma (VM) is a rare and aggressive malignancy with a high metastatic potential. We present the case of an 82-year-old woman who initially presented with vaginal bleeding and was diagnosed with VM with lymph node involvement. Despite surgical and palliative interventions, she later developed brain, nodal, and pancreatic metastases. Endoscopic ultrasound-guided fine-needle biopsy (EUS-FNB) confirmed pancreatic metastasis through immunohistochemistry. To our knowledge, this is the first reported case of pancreatic metastasis from VM diagnosed by EUS-FNB. This case highlights the importance of EUS-FNB in diagnosing metastatic lesions in unusual locations.

求助全文
通过发布文献求助,成功后即可免费获取论文全文。 去求助
来源期刊
ACG Case Reports Journal
ACG Case Reports Journal GASTROENTEROLOGY & HEPATOLOGY-
自引率
14.30%
发文量
170
审稿时长
12 weeks
期刊介绍: ACG Case Reports Journal is a peer-reviewed, open-access publication that provides GI and hepatology fellows, private practice clinicians, and other healthcare providers an opportunity to share interesting case reports with their peers and with leaders in the field. ACG Case Reports Journal publishes case reports, images, videos and letters to the editor in all topics of gastroenterology and hepatology, including: Biliary Colon Endoscopy Esophagus Functional Bowel Disorders Inflammatory Bowel Disease Liver Nutrition and Obesity Pancreas Pathology Pediatric Small Bowel Stomach.
×
引用
GB/T 7714-2015
复制
MLA
复制
APA
复制
导出至
BibTeX EndNote RefMan NoteFirst NoteExpress
×
提示
您的信息不完整,为了账户安全,请先补充。
现在去补充
×
提示
您因"违规操作"
具体请查看互助需知
我知道了
×
提示
确定
请完成安全验证×
copy
已复制链接
快去分享给好友吧!
我知道了
右上角分享
点击右上角分享
0
联系我们:info@booksci.cn Book学术提供免费学术资源搜索服务,方便国内外学者检索中英文文献。致力于提供最便捷和优质的服务体验。 Copyright © 2023 布克学术 All rights reserved.
京ICP备2023020795号-1
ghs 京公网安备 11010802042870号
Book学术文献互助
Book学术文献互助群
群 号:604180095
Book学术官方微信