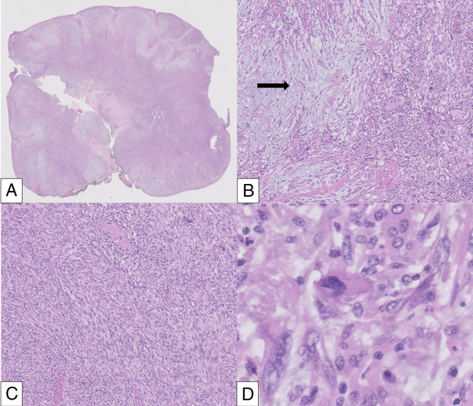
假性息肉:回肠结肠吻合处的梭形细胞肉瘤。

IF 0.5 Q4 GASTROENTEROLOGY & HEPATOLOGY
ACG Case Reports Journal Pub Date : 2025-08-22 eCollection Date: 2025-08-01 DOI:10.14309/crj.0000000000001817
Ines Varela Knorr, James Marion, Jennifer Claytor
{"title":"假性息肉:回肠结肠吻合处的梭形细胞肉瘤。","authors":"Ines Varela Knorr, James Marion, Jennifer Claytor","doi":"10.14309/crj.0000000000001817","DOIUrl":null,"url":null,"abstract":"<p><p>Anastomotic inflammatory polyps are a known source of gastrointestinal bleeding in patients who have undergone bowel resection, but an anastomotic spindle cell sarcoma with myogenic differentiation has never been reported. We present the case of a patient with occult gastrointestinal bleeding 6 years after an ileocolic resection for an incarcerated hernia and discuss surveillance in patients with these rare polyps.</p>","PeriodicalId":7394,"journal":{"name":"ACG Case Reports Journal","volume":"12 8","pages":"e01817"},"PeriodicalIF":0.5000,"publicationDate":"2025-08-22","publicationTypes":"Journal Article","fieldsOfStudy":null,"isOpenAccess":false,"openAccessPdf":"https://www.ncbi.nlm.nih.gov/pmc/articles/PMC12373086/pdf/","citationCount":"0","resultStr":"{\"title\":\"Pseudo-Pseudo Polyp: Spindle Cell Sarcoma at an Ileocolonic Anastomosis.\",\"authors\":\"Ines Varela Knorr, James Marion, Jennifer Claytor\",\"doi\":\"10.14309/crj.0000000000001817\",\"DOIUrl\":null,\"url\":null,\"abstract\":\"<p><p>Anastomotic inflammatory polyps are a known source of gastrointestinal bleeding in patients who have undergone bowel resection, but an anastomotic spindle cell sarcoma with myogenic differentiation has never been reported. We present the case of a patient with occult gastrointestinal bleeding 6 years after an ileocolic resection for an incarcerated hernia and discuss surveillance in patients with these rare polyps.</p>\",\"PeriodicalId\":7394,\"journal\":{\"name\":\"ACG Case Reports Journal\",\"volume\":\"12 8\",\"pages\":\"e01817\"},\"PeriodicalIF\":0.5000,\"publicationDate\":\"2025-08-22\",\"publicationTypes\":\"Journal Article\",\"fieldsOfStudy\":null,\"isOpenAccess\":false,\"openAccessPdf\":\"https://www.ncbi.nlm.nih.gov/pmc/articles/PMC12373086/pdf/\",\"citationCount\":\"0\",\"resultStr\":null,\"platform\":\"Semanticscholar\",\"paperid\":null,\"PeriodicalName\":\"ACG Case Reports Journal\",\"FirstCategoryId\":\"1085\",\"ListUrlMain\":\"https://doi.org/10.14309/crj.0000000000001817\",\"RegionNum\":0,\"RegionCategory\":null,\"ArticlePicture\":[],\"TitleCN\":null,\"AbstractTextCN\":null,\"PMCID\":null,\"EPubDate\":\"2025/8/1 0:00:00\",\"PubModel\":\"eCollection\",\"JCR\":\"Q4\",\"JCRName\":\"GASTROENTEROLOGY & HEPATOLOGY\",\"Score\":null,\"Total\":0}","platform":"Semanticscholar","paperid":null,"PeriodicalName":"ACG Case Reports Journal","FirstCategoryId":"1085","ListUrlMain":"https://doi.org/10.14309/crj.0000000000001817","RegionNum":0,"RegionCategory":null,"ArticlePicture":[],"TitleCN":null,"AbstractTextCN":null,"PMCID":null,"EPubDate":"2025/8/1 0:00:00","PubModel":"eCollection","JCR":"Q4","JCRName":"GASTROENTEROLOGY & HEPATOLOGY","Score":null,"Total":0}
引用次数: 0

摘要

吻合口炎性息肉是肠切除术患者消化道出血的已知来源,但吻合口梭形细胞肉瘤伴肌源性分化从未报道过。我们报告一位因嵌顿疝而行回肠结肠切除术6年后出现隐蔽性胃肠道出血的患者,并讨论对这些罕见息肉患者的监测。
本文章由计算机程序翻译,如有差异,请以英文原文为准。

Pseudo-Pseudo Polyp: Spindle Cell Sarcoma at an Ileocolonic Anastomosis.

Pseudo-Pseudo Polyp: Spindle Cell Sarcoma at an Ileocolonic Anastomosis.

Pseudo-Pseudo Polyp: Spindle Cell Sarcoma at an Ileocolonic Anastomosis.

Anastomotic inflammatory polyps are a known source of gastrointestinal bleeding in patients who have undergone bowel resection, but an anastomotic spindle cell sarcoma with myogenic differentiation has never been reported. We present the case of a patient with occult gastrointestinal bleeding 6 years after an ileocolic resection for an incarcerated hernia and discuss surveillance in patients with these rare polyps.

求助全文
通过发布文献求助,成功后即可免费获取论文全文。 去求助
来源期刊
ACG Case Reports Journal
ACG Case Reports Journal GASTROENTEROLOGY & HEPATOLOGY-
自引率
14.30%
发文量
170
审稿时长
12 weeks
期刊介绍: ACG Case Reports Journal is a peer-reviewed, open-access publication that provides GI and hepatology fellows, private practice clinicians, and other healthcare providers an opportunity to share interesting case reports with their peers and with leaders in the field. ACG Case Reports Journal publishes case reports, images, videos and letters to the editor in all topics of gastroenterology and hepatology, including: Biliary Colon Endoscopy Esophagus Functional Bowel Disorders Inflammatory Bowel Disease Liver Nutrition and Obesity Pancreas Pathology Pediatric Small Bowel Stomach.
×
引用
GB/T 7714-2015
复制
MLA
复制
APA
复制
导出至
BibTeX EndNote RefMan NoteFirst NoteExpress
×
提示
您的信息不完整,为了账户安全,请先补充。
现在去补充
×
提示
您因"违规操作"
具体请查看互助需知
我知道了
×
提示
确定
请完成安全验证×
copy
已复制链接
快去分享给好友吧!
我知道了
右上角分享
点击右上角分享
0
联系我们:info@booksci.cn Book学术提供免费学术资源搜索服务,方便国内外学者检索中英文文献。致力于提供最便捷和优质的服务体验。 Copyright © 2023 布克学术 All rights reserved.
京ICP备2023020795号-1
ghs 京公网安备 11010802042870号
Book学术文献互助
Book学术文献互助群
群 号:604180095
Book学术官方微信