婴儿误食纽扣电池后颈-食管瘘修复后假性动脉瘤的处理。

IF 0.5 Q4 GASTROENTEROLOGY & HEPATOLOGY
ACG Case Reports Journal Pub Date : 2025-08-22 eCollection Date: 2025-08-01 DOI:10.14309/crj.0000000000001811
Michal T Ruprecht, Vanesa Carlota Andreu Arasa, Luisa Fernanda Atunes Ortega, Alcy R Torres
{"title":"婴儿误食纽扣电池后颈-食管瘘修复后假性动脉瘤的处理。","authors":"Michal T Ruprecht, Vanesa Carlota Andreu Arasa, Luisa Fernanda Atunes Ortega, Alcy R Torres","doi":"10.14309/crj.0000000000001811","DOIUrl":null,"url":null,"abstract":"<p><p>Button battery ingestion is a significant cause of pediatric foreign body emergencies, often leading to severe complications. We present the case of an infant who developed a left common carotid-esophageal fistula after button battery ingestion, which was further complicated by the formation of a pseudoaneurysm. The diagnosis was confirmed through follow-up imaging, and the pseudoaneurysm was successfully treated using a flow diversion stent. The patient remained clinically stable without neurological deficits. This case underscores the critical importance of early diagnosis and intervention to prevent life-threatening complications such as hemorrhage and stroke. In addition, it highlights the necessity of follow-up imaging studies, even in asymptomatic patients, to monitor for delayed complications and inform ongoing management.</p>","PeriodicalId":7394,"journal":{"name":"ACG Case Reports Journal","volume":"12 8","pages":"e01811"},"PeriodicalIF":0.5000,"publicationDate":"2025-08-22","publicationTypes":"Journal Article","fieldsOfStudy":null,"isOpenAccess":false,"openAccessPdf":"https://www.ncbi.nlm.nih.gov/pmc/articles/PMC12373100/pdf/","citationCount":"0","resultStr":"{\"title\":\"Management of a Pseudoaneurysm After Carotid-Esophageal Fistula Repair Secondary to Button Battery Ingestion in an Infant.\",\"authors\":\"Michal T Ruprecht, Vanesa Carlota Andreu Arasa, Luisa Fernanda Atunes Ortega, Alcy R Torres\",\"doi\":\"10.14309/crj.0000000000001811\",\"DOIUrl\":null,\"url\":null,\"abstract\":\"<p><p>Button battery ingestion is a significant cause of pediatric foreign body emergencies, often leading to severe complications. We present the case of an infant who developed a left common carotid-esophageal fistula after button battery ingestion, which was further complicated by the formation of a pseudoaneurysm. The diagnosis was confirmed through follow-up imaging, and the pseudoaneurysm was successfully treated using a flow diversion stent. The patient remained clinically stable without neurological deficits. This case underscores the critical importance of early diagnosis and intervention to prevent life-threatening complications such as hemorrhage and stroke. In addition, it highlights the necessity of follow-up imaging studies, even in asymptomatic patients, to monitor for delayed complications and inform ongoing management.</p>\",\"PeriodicalId\":7394,\"journal\":{\"name\":\"ACG Case Reports Journal\",\"volume\":\"12 8\",\"pages\":\"e01811\"},\"PeriodicalIF\":0.5000,\"publicationDate\":\"2025-08-22\",\"publicationTypes\":\"Journal Article\",\"fieldsOfStudy\":null,\"isOpenAccess\":false,\"openAccessPdf\":\"https://www.ncbi.nlm.nih.gov/pmc/articles/PMC12373100/pdf/\",\"citationCount\":\"0\",\"resultStr\":null,\"platform\":\"Semanticscholar\",\"paperid\":null,\"PeriodicalName\":\"ACG Case Reports Journal\",\"FirstCategoryId\":\"1085\",\"ListUrlMain\":\"https://doi.org/10.14309/crj.0000000000001811\",\"RegionNum\":0,\"RegionCategory\":null,\"ArticlePicture\":[],\"TitleCN\":null,\"AbstractTextCN\":null,\"PMCID\":null,\"EPubDate\":\"2025/8/1 0:00:00\",\"PubModel\":\"eCollection\",\"JCR\":\"Q4\",\"JCRName\":\"GASTROENTEROLOGY & HEPATOLOGY\",\"Score\":null,\"Total\":0}","platform":"Semanticscholar","paperid":null,"PeriodicalName":"ACG Case Reports Journal","FirstCategoryId":"1085","ListUrlMain":"https://doi.org/10.14309/crj.0000000000001811","RegionNum":0,"RegionCategory":null,"ArticlePicture":[],"TitleCN":null,"AbstractTextCN":null,"PMCID":null,"EPubDate":"2025/8/1 0:00:00","PubModel":"eCollection","JCR":"Q4","JCRName":"GASTROENTEROLOGY & HEPATOLOGY","Score":null,"Total":0}
引用次数: 0

摘要

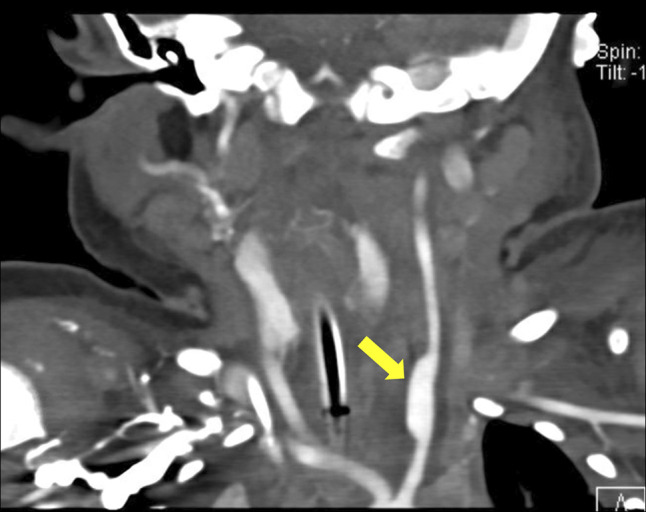
纽扣电池误食是小儿异物急诊的重要原因,往往会导致严重的并发症。我们提出的情况下,一个婴儿谁发展左总颈动脉食管瘘后纽扣电池摄入,这是进一步复杂的假性动脉瘤的形成。通过随访影像确诊,假性动脉瘤成功使用分流支架治疗。患者保持临床稳定,无神经功能障碍。这一病例强调了早期诊断和干预对预防出血和中风等危及生命的并发症至关重要。此外,它强调了随访影像学研究的必要性,即使在无症状的患者中,也可以监测延迟并发症并告知正在进行的治疗。
本文章由计算机程序翻译,如有差异,请以英文原文为准。

Management of a Pseudoaneurysm After Carotid-Esophageal Fistula Repair Secondary to Button Battery Ingestion in an Infant.

Management of a Pseudoaneurysm After Carotid-Esophageal Fistula Repair Secondary to Button Battery Ingestion in an Infant.

Management of a Pseudoaneurysm After Carotid-Esophageal Fistula Repair Secondary to Button Battery Ingestion in an Infant.

Management of a Pseudoaneurysm After Carotid-Esophageal Fistula Repair Secondary to Button Battery Ingestion in an Infant.

Button battery ingestion is a significant cause of pediatric foreign body emergencies, often leading to severe complications. We present the case of an infant who developed a left common carotid-esophageal fistula after button battery ingestion, which was further complicated by the formation of a pseudoaneurysm. The diagnosis was confirmed through follow-up imaging, and the pseudoaneurysm was successfully treated using a flow diversion stent. The patient remained clinically stable without neurological deficits. This case underscores the critical importance of early diagnosis and intervention to prevent life-threatening complications such as hemorrhage and stroke. In addition, it highlights the necessity of follow-up imaging studies, even in asymptomatic patients, to monitor for delayed complications and inform ongoing management.

求助全文
通过发布文献求助,成功后即可免费获取论文全文。 去求助
来源期刊
ACG Case Reports Journal
ACG Case Reports Journal GASTROENTEROLOGY & HEPATOLOGY-
自引率
14.30%
发文量
170
审稿时长
12 weeks
期刊介绍: ACG Case Reports Journal is a peer-reviewed, open-access publication that provides GI and hepatology fellows, private practice clinicians, and other healthcare providers an opportunity to share interesting case reports with their peers and with leaders in the field. ACG Case Reports Journal publishes case reports, images, videos and letters to the editor in all topics of gastroenterology and hepatology, including: Biliary Colon Endoscopy Esophagus Functional Bowel Disorders Inflammatory Bowel Disease Liver Nutrition and Obesity Pancreas Pathology Pediatric Small Bowel Stomach.
×
引用
GB/T 7714-2015
复制
MLA
复制
APA
复制
导出至
BibTeX EndNote RefMan NoteFirst NoteExpress
×
提示
您的信息不完整,为了账户安全,请先补充。
现在去补充
×
提示
您因"违规操作"
具体请查看互助需知
我知道了
×
提示
确定
请完成安全验证×
copy
已复制链接
快去分享给好友吧!
我知道了
右上角分享
点击右上角分享
0
联系我们:info@booksci.cn Book学术提供免费学术资源搜索服务,方便国内外学者检索中英文文献。致力于提供最便捷和优质的服务体验。 Copyright © 2023 布克学术 All rights reserved.
京ICP备2023020795号-1
ghs 京公网安备 11010802042870号
Book学术文献互助
Book学术文献互助群
群 号:604180095
Book学术官方微信