原发性空肠血管肉瘤。

IF 0.5 Q4 GASTROENTEROLOGY & HEPATOLOGY
ACG Case Reports Journal Pub Date : 2025-08-27 eCollection Date: 2025-08-01 DOI:10.14309/crj.0000000000001818
Michelle Mai, Sapana Gupta, Kanhai Farrakhan, Shaolei Lu, Paul Akerman, May Min
{"title":"原发性空肠血管肉瘤。","authors":"Michelle Mai, Sapana Gupta, Kanhai Farrakhan, Shaolei Lu, Paul Akerman, May Min","doi":"10.14309/crj.0000000000001818","DOIUrl":null,"url":null,"abstract":"<p><p>Primary jejunal angiosarcoma is an aggressive and rare soft-tissue neoplasm with a poor prognosis. Multiple modalities such as endoscopic intervention, radiographic imaging, and immunohistochemistry are often used to confirm the diagnosis. Only 62 cases have been reported in the literature of primary jejunal angiosarcoma, and the majority of these patients had distant metastases at initial staging. This is a case of a 51-year-old man who presented with melena found to have a jejunal mass and diagnosed with angiosarcoma with no metastases detected on initial staging. The diagnosis of angiosarcoma was confirmed with histomorphology and immunohistochemistry. Despite early tumor staging and successful small bowel resection, 6 months postsurgical resection patient later presented with metastatic. This case report highlights the importance of a comprehensive diagnostic strategy and raises consideration for earlier systemic therapy in localized neoadjuvant therapy in early-stage small bowel angiosarcoma.</p>","PeriodicalId":7394,"journal":{"name":"ACG Case Reports Journal","volume":"12 8","pages":"e01818"},"PeriodicalIF":0.5000,"publicationDate":"2025-08-27","publicationTypes":"Journal Article","fieldsOfStudy":null,"isOpenAccess":false,"openAccessPdf":"https://www.ncbi.nlm.nih.gov/pmc/articles/PMC12384992/pdf/","citationCount":"0","resultStr":"{\"title\":\"Primary Jejunal Angiosarcoma.\",\"authors\":\"Michelle Mai, Sapana Gupta, Kanhai Farrakhan, Shaolei Lu, Paul Akerman, May Min\",\"doi\":\"10.14309/crj.0000000000001818\",\"DOIUrl\":null,\"url\":null,\"abstract\":\"<p><p>Primary jejunal angiosarcoma is an aggressive and rare soft-tissue neoplasm with a poor prognosis. Multiple modalities such as endoscopic intervention, radiographic imaging, and immunohistochemistry are often used to confirm the diagnosis. Only 62 cases have been reported in the literature of primary jejunal angiosarcoma, and the majority of these patients had distant metastases at initial staging. This is a case of a 51-year-old man who presented with melena found to have a jejunal mass and diagnosed with angiosarcoma with no metastases detected on initial staging. The diagnosis of angiosarcoma was confirmed with histomorphology and immunohistochemistry. Despite early tumor staging and successful small bowel resection, 6 months postsurgical resection patient later presented with metastatic. This case report highlights the importance of a comprehensive diagnostic strategy and raises consideration for earlier systemic therapy in localized neoadjuvant therapy in early-stage small bowel angiosarcoma.</p>\",\"PeriodicalId\":7394,\"journal\":{\"name\":\"ACG Case Reports Journal\",\"volume\":\"12 8\",\"pages\":\"e01818\"},\"PeriodicalIF\":0.5000,\"publicationDate\":\"2025-08-27\",\"publicationTypes\":\"Journal Article\",\"fieldsOfStudy\":null,\"isOpenAccess\":false,\"openAccessPdf\":\"https://www.ncbi.nlm.nih.gov/pmc/articles/PMC12384992/pdf/\",\"citationCount\":\"0\",\"resultStr\":null,\"platform\":\"Semanticscholar\",\"paperid\":null,\"PeriodicalName\":\"ACG Case Reports Journal\",\"FirstCategoryId\":\"1085\",\"ListUrlMain\":\"https://doi.org/10.14309/crj.0000000000001818\",\"RegionNum\":0,\"RegionCategory\":null,\"ArticlePicture\":[],\"TitleCN\":null,\"AbstractTextCN\":null,\"PMCID\":null,\"EPubDate\":\"2025/8/1 0:00:00\",\"PubModel\":\"eCollection\",\"JCR\":\"Q4\",\"JCRName\":\"GASTROENTEROLOGY & HEPATOLOGY\",\"Score\":null,\"Total\":0}","platform":"Semanticscholar","paperid":null,"PeriodicalName":"ACG Case Reports Journal","FirstCategoryId":"1085","ListUrlMain":"https://doi.org/10.14309/crj.0000000000001818","RegionNum":0,"RegionCategory":null,"ArticlePicture":[],"TitleCN":null,"AbstractTextCN":null,"PMCID":null,"EPubDate":"2025/8/1 0:00:00","PubModel":"eCollection","JCR":"Q4","JCRName":"GASTROENTEROLOGY & HEPATOLOGY","Score":null,"Total":0}
引用次数: 0

摘要

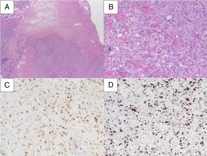
摘要原发性空肠血管肉瘤是一种侵袭性且罕见的软组织肿瘤,预后较差。内镜介入、放射成像和免疫组织化学等多种方法常被用于确诊。文献中仅报道了62例原发性空肠血管肉瘤,其中大多数患者在初始阶段有远处转移。这是一个51岁的男性病例,他表现为黑黑,发现有空肠肿块,诊断为血管肉瘤,初始分期未发现转移。经组织形态学和免疫组织化学检查证实为血管肉瘤。尽管肿瘤早期分期并成功切除小肠,但术后6个月患者出现转移。本病例报告强调了综合诊断策略的重要性,并提出了在早期小肠血管肉瘤局部新辅助治疗中早期全身治疗的考虑。
本文章由计算机程序翻译,如有差异,请以英文原文为准。

Primary Jejunal Angiosarcoma.

Primary Jejunal Angiosarcoma.

Primary Jejunal Angiosarcoma.

Primary Jejunal Angiosarcoma.

Primary jejunal angiosarcoma is an aggressive and rare soft-tissue neoplasm with a poor prognosis. Multiple modalities such as endoscopic intervention, radiographic imaging, and immunohistochemistry are often used to confirm the diagnosis. Only 62 cases have been reported in the literature of primary jejunal angiosarcoma, and the majority of these patients had distant metastases at initial staging. This is a case of a 51-year-old man who presented with melena found to have a jejunal mass and diagnosed with angiosarcoma with no metastases detected on initial staging. The diagnosis of angiosarcoma was confirmed with histomorphology and immunohistochemistry. Despite early tumor staging and successful small bowel resection, 6 months postsurgical resection patient later presented with metastatic. This case report highlights the importance of a comprehensive diagnostic strategy and raises consideration for earlier systemic therapy in localized neoadjuvant therapy in early-stage small bowel angiosarcoma.

求助全文
通过发布文献求助,成功后即可免费获取论文全文。 去求助
来源期刊
ACG Case Reports Journal
ACG Case Reports Journal GASTROENTEROLOGY & HEPATOLOGY-
自引率
14.30%
发文量
170
审稿时长
12 weeks
期刊介绍: ACG Case Reports Journal is a peer-reviewed, open-access publication that provides GI and hepatology fellows, private practice clinicians, and other healthcare providers an opportunity to share interesting case reports with their peers and with leaders in the field. ACG Case Reports Journal publishes case reports, images, videos and letters to the editor in all topics of gastroenterology and hepatology, including: Biliary Colon Endoscopy Esophagus Functional Bowel Disorders Inflammatory Bowel Disease Liver Nutrition and Obesity Pancreas Pathology Pediatric Small Bowel Stomach.
×
引用
GB/T 7714-2015
复制
MLA
复制
APA
复制
导出至
BibTeX EndNote RefMan NoteFirst NoteExpress
×
提示
您的信息不完整,为了账户安全,请先补充。
现在去补充
×
提示
您因"违规操作"
具体请查看互助需知
我知道了
×
提示
确定
请完成安全验证×
copy
已复制链接
快去分享给好友吧!
我知道了
右上角分享
点击右上角分享
0
联系我们:info@booksci.cn Book学术提供免费学术资源搜索服务,方便国内外学者检索中英文文献。致力于提供最便捷和优质的服务体验。 Copyright © 2023 布克学术 All rights reserved.
京ICP备2023020795号-1
ghs 京公网安备 11010802042870号
Book学术文献互助
Book学术文献互助群
群 号:604180095
Book学术官方微信