成人Pancreatoblastoma。

IF 0.5 Q4 GASTROENTEROLOGY & HEPATOLOGY
ACG Case Reports Journal Pub Date : 2025-08-25 eCollection Date: 2025-08-01 DOI:10.14309/crj.0000000000001814
Thomas Gonzales, Sultan Mahmood, Saifur R Khan, Aatur Singhi
{"title":"成人Pancreatoblastoma。","authors":"Thomas Gonzales, Sultan Mahmood, Saifur R Khan, Aatur Singhi","doi":"10.14309/crj.0000000000001814","DOIUrl":null,"url":null,"abstract":"<p><p>Pancreatoblastoma (PB), an extremely rare malignancy of the pancreatic tissue, comprises less than 1% of all pancreatic tumors. Owing to the rarity of the malignancy and the potential for multiple differential diagnoses, adult-onset PB can be challenging to diagnose. The hallmark characteristic in diagnosing adult PB is found histologically. In approximately 90% of cases, squamous corpuscles are observed. We present the case of a patient diagnosed with adult-onset PB, who presented with key clinical and pathological features, as well as rarer characteristics, associated with the malignancy.</p>","PeriodicalId":7394,"journal":{"name":"ACG Case Reports Journal","volume":"12 8","pages":"e01814"},"PeriodicalIF":0.5000,"publicationDate":"2025-08-25","publicationTypes":"Journal Article","fieldsOfStudy":null,"isOpenAccess":false,"openAccessPdf":"https://www.ncbi.nlm.nih.gov/pmc/articles/PMC12377294/pdf/","citationCount":"0","resultStr":"{\"title\":\"Adult-Onset Pancreatoblastoma.\",\"authors\":\"Thomas Gonzales, Sultan Mahmood, Saifur R Khan, Aatur Singhi\",\"doi\":\"10.14309/crj.0000000000001814\",\"DOIUrl\":null,\"url\":null,\"abstract\":\"<p><p>Pancreatoblastoma (PB), an extremely rare malignancy of the pancreatic tissue, comprises less than 1% of all pancreatic tumors. Owing to the rarity of the malignancy and the potential for multiple differential diagnoses, adult-onset PB can be challenging to diagnose. The hallmark characteristic in diagnosing adult PB is found histologically. In approximately 90% of cases, squamous corpuscles are observed. We present the case of a patient diagnosed with adult-onset PB, who presented with key clinical and pathological features, as well as rarer characteristics, associated with the malignancy.</p>\",\"PeriodicalId\":7394,\"journal\":{\"name\":\"ACG Case Reports Journal\",\"volume\":\"12 8\",\"pages\":\"e01814\"},\"PeriodicalIF\":0.5000,\"publicationDate\":\"2025-08-25\",\"publicationTypes\":\"Journal Article\",\"fieldsOfStudy\":null,\"isOpenAccess\":false,\"openAccessPdf\":\"https://www.ncbi.nlm.nih.gov/pmc/articles/PMC12377294/pdf/\",\"citationCount\":\"0\",\"resultStr\":null,\"platform\":\"Semanticscholar\",\"paperid\":null,\"PeriodicalName\":\"ACG Case Reports Journal\",\"FirstCategoryId\":\"1085\",\"ListUrlMain\":\"https://doi.org/10.14309/crj.0000000000001814\",\"RegionNum\":0,\"RegionCategory\":null,\"ArticlePicture\":[],\"TitleCN\":null,\"AbstractTextCN\":null,\"PMCID\":null,\"EPubDate\":\"2025/8/1 0:00:00\",\"PubModel\":\"eCollection\",\"JCR\":\"Q4\",\"JCRName\":\"GASTROENTEROLOGY & HEPATOLOGY\",\"Score\":null,\"Total\":0}","platform":"Semanticscholar","paperid":null,"PeriodicalName":"ACG Case Reports Journal","FirstCategoryId":"1085","ListUrlMain":"https://doi.org/10.14309/crj.0000000000001814","RegionNum":0,"RegionCategory":null,"ArticlePicture":[],"TitleCN":null,"AbstractTextCN":null,"PMCID":null,"EPubDate":"2025/8/1 0:00:00","PubModel":"eCollection","JCR":"Q4","JCRName":"GASTROENTEROLOGY & HEPATOLOGY","Score":null,"Total":0}
引用次数: 0

摘要

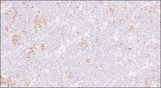
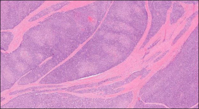
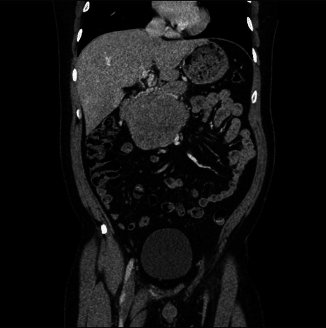
胰腺母细胞瘤(PB)是一种极其罕见的胰腺组织恶性肿瘤,占所有胰腺肿瘤的不到1%。由于罕见的恶性肿瘤和潜在的多种鉴别诊断,成人发病的PB可能是具有挑战性的诊断。诊断成人PB的主要特征是组织学。约90%的病例可见鳞状小体。我们提出一个病例的患者诊断为成人发病的PB,谁提出了关键的临床和病理特征,以及罕见的特征,与恶性肿瘤相关。
本文章由计算机程序翻译,如有差异,请以英文原文为准。

Adult-Onset Pancreatoblastoma.

Adult-Onset Pancreatoblastoma.

Adult-Onset Pancreatoblastoma.

Adult-Onset Pancreatoblastoma.

Pancreatoblastoma (PB), an extremely rare malignancy of the pancreatic tissue, comprises less than 1% of all pancreatic tumors. Owing to the rarity of the malignancy and the potential for multiple differential diagnoses, adult-onset PB can be challenging to diagnose. The hallmark characteristic in diagnosing adult PB is found histologically. In approximately 90% of cases, squamous corpuscles are observed. We present the case of a patient diagnosed with adult-onset PB, who presented with key clinical and pathological features, as well as rarer characteristics, associated with the malignancy.

求助全文
通过发布文献求助,成功后即可免费获取论文全文。 去求助
来源期刊
ACG Case Reports Journal
ACG Case Reports Journal GASTROENTEROLOGY & HEPATOLOGY-
自引率
14.30%
发文量
170
审稿时长
12 weeks
期刊介绍: ACG Case Reports Journal is a peer-reviewed, open-access publication that provides GI and hepatology fellows, private practice clinicians, and other healthcare providers an opportunity to share interesting case reports with their peers and with leaders in the field. ACG Case Reports Journal publishes case reports, images, videos and letters to the editor in all topics of gastroenterology and hepatology, including: Biliary Colon Endoscopy Esophagus Functional Bowel Disorders Inflammatory Bowel Disease Liver Nutrition and Obesity Pancreas Pathology Pediatric Small Bowel Stomach.
×
引用
GB/T 7714-2015
复制
MLA
复制
APA
复制
导出至
BibTeX EndNote RefMan NoteFirst NoteExpress
×
提示
您的信息不完整,为了账户安全,请先补充。
现在去补充
×
提示
您因"违规操作"
具体请查看互助需知
我知道了
×
提示
确定
请完成安全验证×
copy
已复制链接
快去分享给好友吧!
我知道了
右上角分享
点击右上角分享
0
联系我们:info@booksci.cn Book学术提供免费学术资源搜索服务,方便国内外学者检索中英文文献。致力于提供最便捷和优质的服务体验。 Copyright © 2023 布克学术 All rights reserved.
京ICP备2023020795号-1
ghs 京公网安备 11010802042870号
Book学术文献互助
Book学术文献互助群
群 号:604180095
Book学术官方微信