分级放疗后白化大鼠腮腺中间丝的再生潜能:免疫组织化学分析。

IF 1.9 4区 医学 Q3 DENTISTRY, ORAL SURGERY & MEDICINE
Sherif S Hassan, Ehab T Azab, Alaa W Alqutub, Mashael S Alqahtani, Abrar K Demyati, Abdullah A Holdar, Fatma M Alkassimi, Mahmoud A Attia, Reda A Nofal
{"title":"分级放疗后白化大鼠腮腺中间丝的再生潜能:免疫组织化学分析。","authors":"Sherif S Hassan, Ehab T Azab, Alaa W Alqutub, Mashael S Alqahtani, Abrar K Demyati, Abdullah A Holdar, Fatma M Alkassimi, Mahmoud A Attia, Reda A Nofal","doi":"10.2340/aos.v84.44182","DOIUrl":null,"url":null,"abstract":"<p><strong>Objectives: </strong>Radiotherapy is a common treatment for head and neck malignancies; however, it frequently affects salivary glands, leading to xerostomia. This study evaluated the effects of radiotherapy on cytokeratin localization in the parotid gland, examining whether changes indicate recovery or progressive damage over a year.</p><p><strong>Methods: </strong>The study included eight control rats and 16 irradiated rats exposed to 30 Gy of radiation over 6 days. The experiment was conducted from January 2023 to April 2024. Subgroup IIa rats were sacrificed 1 month after radiation exposure, while subgroup IIb rats were sacrificed after 1 year. The parotid gland was prepared for histological and immunohistochemical analysis of intermediate filaments.</p><p><strong>Results: </strong>In the control parotid gland, immunohistochemical analysis revealed mild cytokeratin in ductal and serous cells. Subgroup IIa exhibited strong cytokeratin expression in the acini and duct cells, which was significantly different from the control group. One year after radiation, the cytokeratin of subgroup IIb was comparable to that of the control, with no significant difference.</p><p><strong>Conclusion: </strong>In subgroup IIa, cytokeratin staining was notably stronger in ductal and acinar cells, leading to disrupted distribution that impaired saliva production and transport. In subgroup IIb, the redistribution of cytokeratin exhibited distinct recovery patterns in ductal and acinar cells.</p>","PeriodicalId":7313,"journal":{"name":"Acta Odontologica Scandinavica","volume":"84 ","pages":"472-478"},"PeriodicalIF":1.9000,"publicationDate":"2025-08-21","publicationTypes":"Journal Article","fieldsOfStudy":null,"isOpenAccess":false,"openAccessPdf":"https://www.ncbi.nlm.nih.gov/pmc/articles/PMC12382380/pdf/","citationCount":"0","resultStr":"{\"title\":\"Regenerative potential of the intermediate filaments of albino rat parotid glands subjected to fractionated radiotherapy: an immunohistochemical analysis.\",\"authors\":\"Sherif S Hassan, Ehab T Azab, Alaa W Alqutub, Mashael S Alqahtani, Abrar K Demyati, Abdullah A Holdar, Fatma M Alkassimi, Mahmoud A Attia, Reda A Nofal\",\"doi\":\"10.2340/aos.v84.44182\",\"DOIUrl\":null,\"url\":null,\"abstract\":\"<p><strong>Objectives: </strong>Radiotherapy is a common treatment for head and neck malignancies; however, it frequently affects salivary glands, leading to xerostomia. This study evaluated the effects of radiotherapy on cytokeratin localization in the parotid gland, examining whether changes indicate recovery or progressive damage over a year.</p><p><strong>Methods: </strong>The study included eight control rats and 16 irradiated rats exposed to 30 Gy of radiation over 6 days. The experiment was conducted from January 2023 to April 2024. Subgroup IIa rats were sacrificed 1 month after radiation exposure, while subgroup IIb rats were sacrificed after 1 year. The parotid gland was prepared for histological and immunohistochemical analysis of intermediate filaments.</p><p><strong>Results: </strong>In the control parotid gland, immunohistochemical analysis revealed mild cytokeratin in ductal and serous cells. Subgroup IIa exhibited strong cytokeratin expression in the acini and duct cells, which was significantly different from the control group. One year after radiation, the cytokeratin of subgroup IIb was comparable to that of the control, with no significant difference.</p><p><strong>Conclusion: </strong>In subgroup IIa, cytokeratin staining was notably stronger in ductal and acinar cells, leading to disrupted distribution that impaired saliva production and transport. In subgroup IIb, the redistribution of cytokeratin exhibited distinct recovery patterns in ductal and acinar cells.</p>\",\"PeriodicalId\":7313,\"journal\":{\"name\":\"Acta Odontologica Scandinavica\",\"volume\":\"84 \",\"pages\":\"472-478\"},\"PeriodicalIF\":1.9000,\"publicationDate\":\"2025-08-21\",\"publicationTypes\":\"Journal Article\",\"fieldsOfStudy\":null,\"isOpenAccess\":false,\"openAccessPdf\":\"https://www.ncbi.nlm.nih.gov/pmc/articles/PMC12382380/pdf/\",\"citationCount\":\"0\",\"resultStr\":null,\"platform\":\"Semanticscholar\",\"paperid\":null,\"PeriodicalName\":\"Acta Odontologica Scandinavica\",\"FirstCategoryId\":\"3\",\"ListUrlMain\":\"https://doi.org/10.2340/aos.v84.44182\",\"RegionNum\":4,\"RegionCategory\":\"医学\",\"ArticlePicture\":[],\"TitleCN\":null,\"AbstractTextCN\":null,\"PMCID\":null,\"EPubDate\":\"\",\"PubModel\":\"\",\"JCR\":\"Q3\",\"JCRName\":\"DENTISTRY, ORAL SURGERY & MEDICINE\",\"Score\":null,\"Total\":0}","platform":"Semanticscholar","paperid":null,"PeriodicalName":"Acta Odontologica Scandinavica","FirstCategoryId":"3","ListUrlMain":"https://doi.org/10.2340/aos.v84.44182","RegionNum":4,"RegionCategory":"医学","ArticlePicture":[],"TitleCN":null,"AbstractTextCN":null,"PMCID":null,"EPubDate":"","PubModel":"","JCR":"Q3","JCRName":"DENTISTRY, ORAL SURGERY & MEDICINE","Score":null,"Total":0}
引用次数: 0

摘要

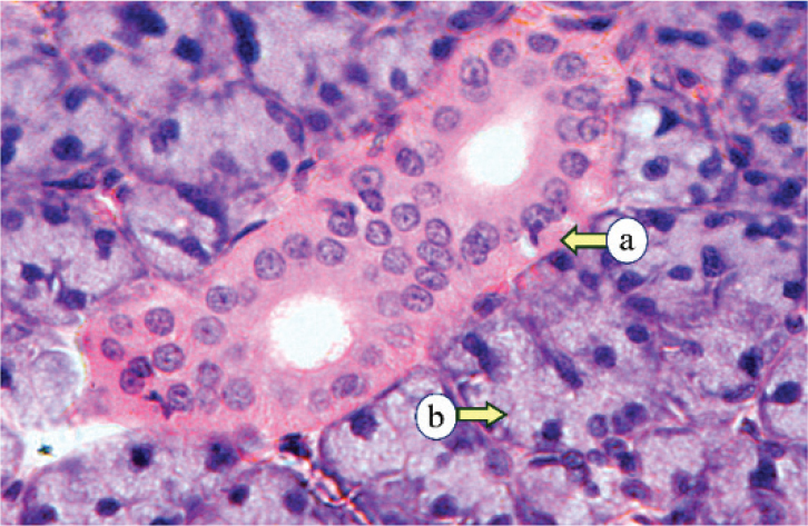
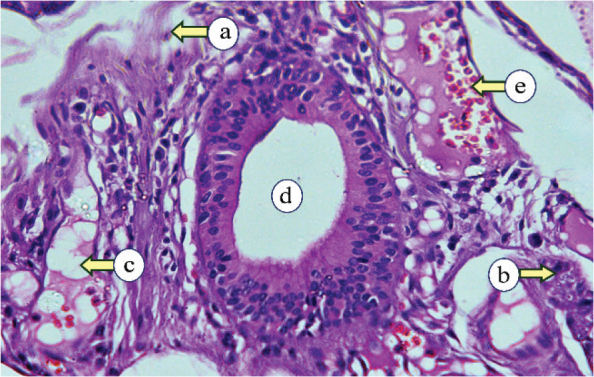
目的:放疗是头颈部恶性肿瘤的常用治疗方法;然而,它经常影响唾液腺,导致口干症。本研究评估了放疗对腮腺细胞角蛋白定位的影响,检查了一年以上的变化是否表明恢复或进行性损伤。方法:选取8只对照大鼠和16只受30 Gy辐照6 d的大鼠作为实验对象。该实验于2023年1月至2024年4月进行。IIa亚组大鼠于照射后1个月处死,IIb亚组大鼠于照射后1年处死。制备腮腺,对中间纤维进行组织学和免疫组化分析。结果:在对照腮腺中,免疫组化分析显示导管细胞和浆液细胞中存在轻度细胞角蛋白。亚组IIa在腺泡细胞和导管细胞中表现出较强的细胞角蛋白表达,与对照组有显著差异。放疗后1年,IIb亚组细胞角蛋白与对照组相当,无显著差异。结论:在IIa亚组中,细胞角蛋白染色在导管细胞和腺泡细胞中明显增强,导致分布紊乱,唾液产生和运输受损。在IIb亚组中,细胞角蛋白的重新分布在导管细胞和腺泡细胞中表现出明显的恢复模式。
本文章由计算机程序翻译,如有差异,请以英文原文为准。

Regenerative potential of the intermediate filaments of albino rat parotid glands subjected to fractionated radiotherapy: an immunohistochemical analysis.

Regenerative potential of the intermediate filaments of albino rat parotid glands subjected to fractionated radiotherapy: an immunohistochemical analysis.

Regenerative potential of the intermediate filaments of albino rat parotid glands subjected to fractionated radiotherapy: an immunohistochemical analysis.

Regenerative potential of the intermediate filaments of albino rat parotid glands subjected to fractionated radiotherapy: an immunohistochemical analysis.

Objectives: Radiotherapy is a common treatment for head and neck malignancies; however, it frequently affects salivary glands, leading to xerostomia. This study evaluated the effects of radiotherapy on cytokeratin localization in the parotid gland, examining whether changes indicate recovery or progressive damage over a year.

Methods: The study included eight control rats and 16 irradiated rats exposed to 30 Gy of radiation over 6 days. The experiment was conducted from January 2023 to April 2024. Subgroup IIa rats were sacrificed 1 month after radiation exposure, while subgroup IIb rats were sacrificed after 1 year. The parotid gland was prepared for histological and immunohistochemical analysis of intermediate filaments.

Results: In the control parotid gland, immunohistochemical analysis revealed mild cytokeratin in ductal and serous cells. Subgroup IIa exhibited strong cytokeratin expression in the acini and duct cells, which was significantly different from the control group. One year after radiation, the cytokeratin of subgroup IIb was comparable to that of the control, with no significant difference.

Conclusion: In subgroup IIa, cytokeratin staining was notably stronger in ductal and acinar cells, leading to disrupted distribution that impaired saliva production and transport. In subgroup IIb, the redistribution of cytokeratin exhibited distinct recovery patterns in ductal and acinar cells.

求助全文
通过发布文献求助,成功后即可免费获取论文全文。 去求助
来源期刊
Acta Odontologica Scandinavica
Acta Odontologica Scandinavica 医学-牙科与口腔外科
CiteScore
4.00
自引率
5.00%
发文量
69
审稿时长
6-12 weeks
期刊介绍: Acta Odontologica Scandinavica publishes papers conveying new knowledge within all areas of oral health and disease sciences.
×
引用
GB/T 7714-2015
复制
MLA
复制
APA
复制
导出至
BibTeX EndNote RefMan NoteFirst NoteExpress
×
提示
您的信息不完整,为了账户安全,请先补充。
现在去补充
×
提示
您因"违规操作"
具体请查看互助需知
我知道了
×
提示
确定
请完成安全验证×
copy
已复制链接
快去分享给好友吧!
我知道了
右上角分享
点击右上角分享
0
联系我们:info@booksci.cn Book学术提供免费学术资源搜索服务,方便国内外学者检索中英文文献。致力于提供最便捷和优质的服务体验。 Copyright © 2023 布克学术 All rights reserved.
京ICP备2023020795号-1
ghs 京公网安备 11010802042870号
Book学术文献互助
Book学术文献互助群
群 号:604180095
Book学术官方微信