仔猪脐炎的组织病理学特征。

IF 1.7 2区 农林科学 Q2 VETERINARY SCIENCES
Sophie Amalie Blirup-Plum, Henrik Elvang Jensen, Søren Saxmose Nielsen, Katrine Top Hartmann, Mette Sif Hansen, Ken Steen Pedersen, Inge Larsen, Jens Peter Nielsen, John Elmerdahl Olsen, Egle Kudirkiene, Kristiane Barington
{"title":"仔猪脐炎的组织病理学特征。","authors":"Sophie Amalie Blirup-Plum, Henrik Elvang Jensen, Søren Saxmose Nielsen, Katrine Top Hartmann, Mette Sif Hansen, Ken Steen Pedersen, Inge Larsen, Jens Peter Nielsen, John Elmerdahl Olsen, Egle Kudirkiene, Kristiane Barington","doi":"10.1186/s13028-025-00826-5","DOIUrl":null,"url":null,"abstract":"<p><strong>Background: </strong>Antibiotic treatment of piglets after birth is commonly carried out due to concern for development of omphalitis leading to umbilical outpouchings and/or systemic infections. Among others, the portal of entry for bacterial infections includes the umbilical cord at birth. The aim was to characterise the histological and bacteriological pattern of manifestations in the umbilicus of piglets with omphalitis that died during the suckling period in a Danish herd.</p><p><strong>Results: </strong>A total of 37 piglets found dead or euthanised due to sickness before weaning were included. Histopathological omphalitis was diagnosed in 13 of these piglets, and umbilical lesions and bacteria were most often observed in association with the umbilical blood vessels. Neutrophilic granulocyte infiltrations were observed in association with both umbilical arteries and the vein, occurring most frequently in the arteries. Escherichia coli and Trueperella pyogenes were the most commonly isolated bacteria from piglets with histopathological omphalitis.</p><p><strong>Conclusions: </strong>Omphalitis in piglets was characterized by inflammation and presence of bacteria in the umbilical arteries and to a lesser extent the umbilical vein. Inflammation in urachus was not present.</p>","PeriodicalId":7181,"journal":{"name":"Acta Veterinaria Scandinavica","volume":"67 1","pages":"42"},"PeriodicalIF":1.7000,"publicationDate":"2025-08-28","publicationTypes":"Journal Article","fieldsOfStudy":null,"isOpenAccess":false,"openAccessPdf":"https://www.ncbi.nlm.nih.gov/pmc/articles/PMC12395918/pdf/","citationCount":"0","resultStr":"{\"title\":\"Histopathological characterisation of omphalitis in piglets.\",\"authors\":\"Sophie Amalie Blirup-Plum, Henrik Elvang Jensen, Søren Saxmose Nielsen, Katrine Top Hartmann, Mette Sif Hansen, Ken Steen Pedersen, Inge Larsen, Jens Peter Nielsen, John Elmerdahl Olsen, Egle Kudirkiene, Kristiane Barington\",\"doi\":\"10.1186/s13028-025-00826-5\",\"DOIUrl\":null,\"url\":null,\"abstract\":\"<p><strong>Background: </strong>Antibiotic treatment of piglets after birth is commonly carried out due to concern for development of omphalitis leading to umbilical outpouchings and/or systemic infections. Among others, the portal of entry for bacterial infections includes the umbilical cord at birth. The aim was to characterise the histological and bacteriological pattern of manifestations in the umbilicus of piglets with omphalitis that died during the suckling period in a Danish herd.</p><p><strong>Results: </strong>A total of 37 piglets found dead or euthanised due to sickness before weaning were included. Histopathological omphalitis was diagnosed in 13 of these piglets, and umbilical lesions and bacteria were most often observed in association with the umbilical blood vessels. Neutrophilic granulocyte infiltrations were observed in association with both umbilical arteries and the vein, occurring most frequently in the arteries. Escherichia coli and Trueperella pyogenes were the most commonly isolated bacteria from piglets with histopathological omphalitis.</p><p><strong>Conclusions: </strong>Omphalitis in piglets was characterized by inflammation and presence of bacteria in the umbilical arteries and to a lesser extent the umbilical vein. Inflammation in urachus was not present.</p>\",\"PeriodicalId\":7181,\"journal\":{\"name\":\"Acta Veterinaria Scandinavica\",\"volume\":\"67 1\",\"pages\":\"42\"},\"PeriodicalIF\":1.7000,\"publicationDate\":\"2025-08-28\",\"publicationTypes\":\"Journal Article\",\"fieldsOfStudy\":null,\"isOpenAccess\":false,\"openAccessPdf\":\"https://www.ncbi.nlm.nih.gov/pmc/articles/PMC12395918/pdf/\",\"citationCount\":\"0\",\"resultStr\":null,\"platform\":\"Semanticscholar\",\"paperid\":null,\"PeriodicalName\":\"Acta Veterinaria Scandinavica\",\"FirstCategoryId\":\"97\",\"ListUrlMain\":\"https://doi.org/10.1186/s13028-025-00826-5\",\"RegionNum\":2,\"RegionCategory\":\"农林科学\",\"ArticlePicture\":[],\"TitleCN\":null,\"AbstractTextCN\":null,\"PMCID\":null,\"EPubDate\":\"\",\"PubModel\":\"\",\"JCR\":\"Q2\",\"JCRName\":\"VETERINARY SCIENCES\",\"Score\":null,\"Total\":0}","platform":"Semanticscholar","paperid":null,"PeriodicalName":"Acta Veterinaria Scandinavica","FirstCategoryId":"97","ListUrlMain":"https://doi.org/10.1186/s13028-025-00826-5","RegionNum":2,"RegionCategory":"农林科学","ArticlePicture":[],"TitleCN":null,"AbstractTextCN":null,"PMCID":null,"EPubDate":"","PubModel":"","JCR":"Q2","JCRName":"VETERINARY SCIENCES","Score":null,"Total":0}
引用次数: 0

摘要

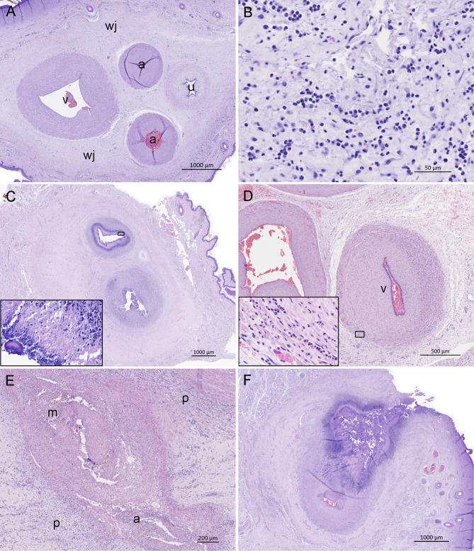
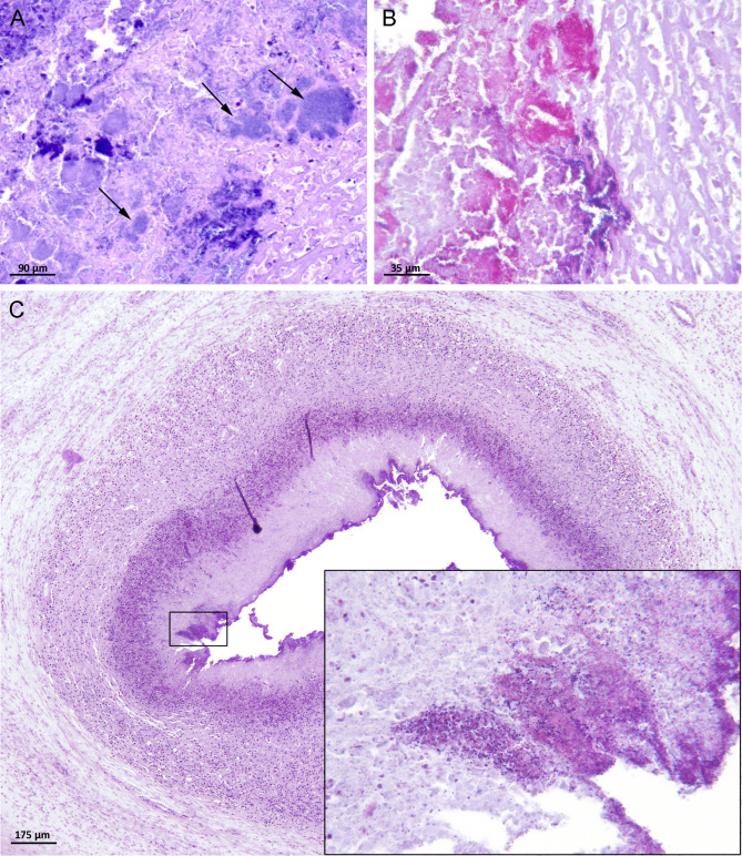
背景:仔猪出生后通常进行抗生素治疗,因为担心发展成脐炎导致脐外露和/或全身感染。其中,细菌感染的入口包括出生时的脐带。目的是描述丹麦一群哺乳期间死亡的脐炎仔猪脐部表现的组织学和细菌学模式。结果:共纳入37头断奶前因病死亡或被安乐死的仔猪。其中13头仔猪被诊断为组织病理学上的脐炎,脐带病变和细菌最常与脐带血管相关。中性粒细胞浸润可见于脐动脉和静脉,最常见于动脉。大肠杆菌和化脓性真佩尔菌是最常见的分离细菌。结论:仔猪的脐炎以脐动脉和脐静脉的炎症和细菌存在为特征。腹腔未见炎症。
本文章由计算机程序翻译,如有差异,请以英文原文为准。

Histopathological characterisation of omphalitis in piglets.

Histopathological characterisation of omphalitis in piglets.

Histopathological characterisation of omphalitis in piglets.

Histopathological characterisation of omphalitis in piglets.

Background: Antibiotic treatment of piglets after birth is commonly carried out due to concern for development of omphalitis leading to umbilical outpouchings and/or systemic infections. Among others, the portal of entry for bacterial infections includes the umbilical cord at birth. The aim was to characterise the histological and bacteriological pattern of manifestations in the umbilicus of piglets with omphalitis that died during the suckling period in a Danish herd.

Results: A total of 37 piglets found dead or euthanised due to sickness before weaning were included. Histopathological omphalitis was diagnosed in 13 of these piglets, and umbilical lesions and bacteria were most often observed in association with the umbilical blood vessels. Neutrophilic granulocyte infiltrations were observed in association with both umbilical arteries and the vein, occurring most frequently in the arteries. Escherichia coli and Trueperella pyogenes were the most commonly isolated bacteria from piglets with histopathological omphalitis.

Conclusions: Omphalitis in piglets was characterized by inflammation and presence of bacteria in the umbilical arteries and to a lesser extent the umbilical vein. Inflammation in urachus was not present.

求助全文
通过发布文献求助,成功后即可免费获取论文全文。 去求助
来源期刊
Acta Veterinaria Scandinavica
Acta Veterinaria Scandinavica 农林科学-兽医学
CiteScore
3.60
自引率
0.00%
发文量
28
审稿时长
18-36 weeks
期刊介绍: Acta Veterinaria Scandinavica is an open access journal encompassing all aspects of veterinary research and medicine of domestic and wild animals.
×
引用
GB/T 7714-2015
复制
MLA
复制
APA
复制
导出至
BibTeX EndNote RefMan NoteFirst NoteExpress
×
提示
您的信息不完整,为了账户安全,请先补充。
现在去补充
×
提示
您因"违规操作"
具体请查看互助需知
我知道了
×
提示
确定
请完成安全验证×
copy
已复制链接
快去分享给好友吧!
我知道了
右上角分享
点击右上角分享
0
联系我们:info@booksci.cn Book学术提供免费学术资源搜索服务,方便国内外学者检索中英文文献。致力于提供最便捷和优质的服务体验。 Copyright © 2023 布克学术 All rights reserved.
京ICP备2023020795号-1
ghs 京公网安备 11010802042870号
Book学术文献互助
Book学术文献互助群
群 号:604180095
Book学术官方微信