类视黄醇X受体γ与过氧化物酶体增殖物激活受体γ相互作用,促进脂肪组织分化过程中的褐变。

IF 3.1 4区 生物学 Q2 ENDOCRINOLOGY & METABOLISM
Adipocyte Pub Date : 2025-12-01 Epub Date: 2025-08-25 DOI:10.1080/21623945.2025.2548780
Defei Chen, Saed Woraikat, Xiong Guo, Fuyu Yang, Chenglin Tang, Fan He, Kun Qian
{"title":"类视黄醇X受体γ与过氧化物酶体增殖物激活受体γ相互作用,促进脂肪组织分化过程中的褐变。","authors":"Defei Chen, Saed Woraikat, Xiong Guo, Fuyu Yang, Chenglin Tang, Fan He, Kun Qian","doi":"10.1080/21623945.2025.2548780","DOIUrl":null,"url":null,"abstract":"<p><p>Obesity and type 2 diabetes mellitus are global public health challenges. Activating thermogenic adipose tissues, such as brown adipose tissue and beige adipose tissue, could be a promising strategy to combat obesity and consequently obesity-related diabetes. Both peroxisome proliferator-activated receptor-γ (PPARγ) and retinoid X receptor γ (RXRγ) play significant roles in the regulation of adipogenic differentiation. However, the underlying mechanisms and interactions between these receptors during adipogenic differentiation remain unclear. In this study, we conducted a comprehensive analysis of a transcriptome sequencing dataset sourced from the GEO database, encompassing samples of white and brown adipose tissues from 15 healthy individuals. Our findings reveal that RXRγ expression is significantly elevated in brown adipose tissue relative to white adipose tissue (<i>p</i> = 0.041). Furthermore, co-immunoprecipitation assays validated that RXRγ can be co-precipitated with PPARγ. Subsequent luciferase assays demonstrated that the interaction between RXRγ and PPARγ significantly enhances the transcriptional activity of uncoupling protein 1 (UCP1) compared to the overexpression of PPARγ alone (3.4-fold vs. 1.5-fold, <i>p</i> < 0.001). Notably, in human preadipocytes, the co-overexpression of RXRγ with PPARγ resulted in a significant increase in UCP1 transcriptional activity compared to the overexpression of PPARγ alone (3.4-fold vs. 2.0-fold, <i>p</i> < 0.05). In summary, our findings suggest that RXRγ serves as a novel cofactor for PPARγ, promoting the browning of adipose tissue through the upregulation of UCP1 transcription.</p>","PeriodicalId":7226,"journal":{"name":"Adipocyte","volume":"14 1","pages":"2548780"},"PeriodicalIF":3.1000,"publicationDate":"2025-12-01","publicationTypes":"Journal Article","fieldsOfStudy":null,"isOpenAccess":false,"openAccessPdf":"https://www.ncbi.nlm.nih.gov/pmc/articles/PMC12382473/pdf/","citationCount":"0","resultStr":"{\"title\":\"Retinoid X receptor γ interacts with peroxisome proliferator-activated receptor-γ to promote browning during adipose tissue differentiation.\",\"authors\":\"Defei Chen, Saed Woraikat, Xiong Guo, Fuyu Yang, Chenglin Tang, Fan He, Kun Qian\",\"doi\":\"10.1080/21623945.2025.2548780\",\"DOIUrl\":null,\"url\":null,\"abstract\":\"<p><p>Obesity and type 2 diabetes mellitus are global public health challenges. Activating thermogenic adipose tissues, such as brown adipose tissue and beige adipose tissue, could be a promising strategy to combat obesity and consequently obesity-related diabetes. Both peroxisome proliferator-activated receptor-γ (PPARγ) and retinoid X receptor γ (RXRγ) play significant roles in the regulation of adipogenic differentiation. However, the underlying mechanisms and interactions between these receptors during adipogenic differentiation remain unclear. In this study, we conducted a comprehensive analysis of a transcriptome sequencing dataset sourced from the GEO database, encompassing samples of white and brown adipose tissues from 15 healthy individuals. Our findings reveal that RXRγ expression is significantly elevated in brown adipose tissue relative to white adipose tissue (<i>p</i> = 0.041). Furthermore, co-immunoprecipitation assays validated that RXRγ can be co-precipitated with PPARγ. Subsequent luciferase assays demonstrated that the interaction between RXRγ and PPARγ significantly enhances the transcriptional activity of uncoupling protein 1 (UCP1) compared to the overexpression of PPARγ alone (3.4-fold vs. 1.5-fold, <i>p</i> < 0.001). Notably, in human preadipocytes, the co-overexpression of RXRγ with PPARγ resulted in a significant increase in UCP1 transcriptional activity compared to the overexpression of PPARγ alone (3.4-fold vs. 2.0-fold, <i>p</i> < 0.05). In summary, our findings suggest that RXRγ serves as a novel cofactor for PPARγ, promoting the browning of adipose tissue through the upregulation of UCP1 transcription.</p>\",\"PeriodicalId\":7226,\"journal\":{\"name\":\"Adipocyte\",\"volume\":\"14 1\",\"pages\":\"2548780\"},\"PeriodicalIF\":3.1000,\"publicationDate\":\"2025-12-01\",\"publicationTypes\":\"Journal Article\",\"fieldsOfStudy\":null,\"isOpenAccess\":false,\"openAccessPdf\":\"https://www.ncbi.nlm.nih.gov/pmc/articles/PMC12382473/pdf/\",\"citationCount\":\"0\",\"resultStr\":null,\"platform\":\"Semanticscholar\",\"paperid\":null,\"PeriodicalName\":\"Adipocyte\",\"FirstCategoryId\":\"99\",\"ListUrlMain\":\"https://doi.org/10.1080/21623945.2025.2548780\",\"RegionNum\":4,\"RegionCategory\":\"生物学\",\"ArticlePicture\":[],\"TitleCN\":null,\"AbstractTextCN\":null,\"PMCID\":null,\"EPubDate\":\"2025/8/25 0:00:00\",\"PubModel\":\"Epub\",\"JCR\":\"Q2\",\"JCRName\":\"ENDOCRINOLOGY & METABOLISM\",\"Score\":null,\"Total\":0}","platform":"Semanticscholar","paperid":null,"PeriodicalName":"Adipocyte","FirstCategoryId":"99","ListUrlMain":"https://doi.org/10.1080/21623945.2025.2548780","RegionNum":4,"RegionCategory":"生物学","ArticlePicture":[],"TitleCN":null,"AbstractTextCN":null,"PMCID":null,"EPubDate":"2025/8/25 0:00:00","PubModel":"Epub","JCR":"Q2","JCRName":"ENDOCRINOLOGY & METABOLISM","Score":null,"Total":0}
引用次数: 0

摘要

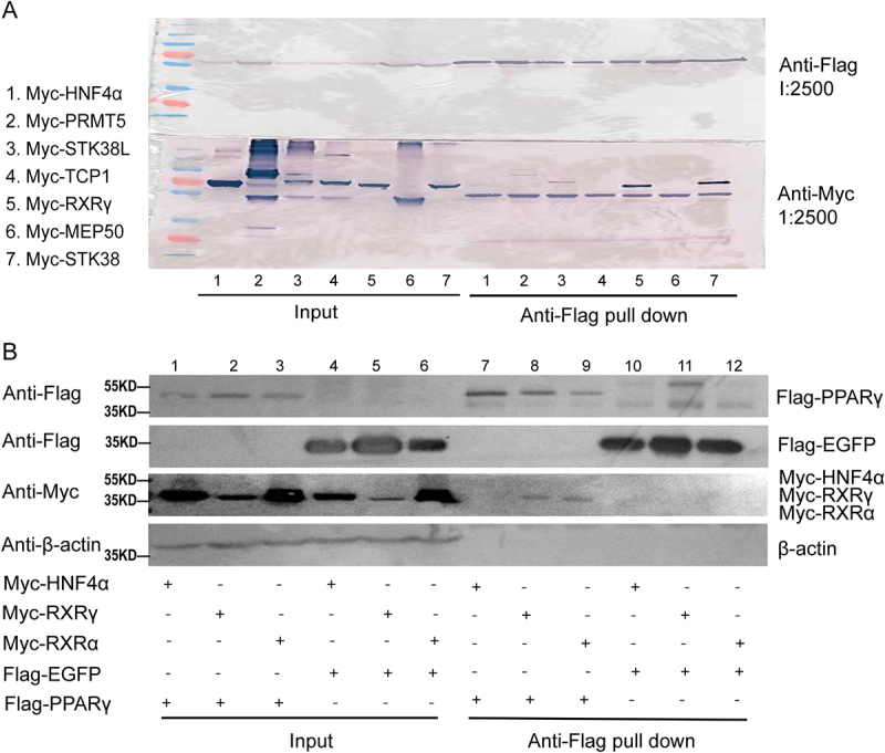
肥胖和2型糖尿病是全球性的公共卫生挑战。激活产热脂肪组织,如棕色脂肪组织和米色脂肪组织,可能是对抗肥胖和肥胖相关糖尿病的一种有希望的策略。过氧化物酶体增殖物激活受体-γ (PPARγ)和类视黄醇X受体γ (RXRγ)在脂肪形成分化的调控中发挥重要作用。然而,在脂肪形成分化过程中,这些受体之间的潜在机制和相互作用尚不清楚。在这项研究中,我们对来自GEO数据库的转录组测序数据集进行了全面分析,其中包括来自15名健康个体的白色和棕色脂肪组织样本。我们的研究结果显示,相对于白色脂肪组织,RXRγ在棕色脂肪组织中的表达显著升高(p = 0.041)。此外,共免疫沉淀实验证实RXRγ可以与PPARγ共沉淀。随后的荧光素酶分析表明,与单独过表达PPARγ相比,RXRγ和PPARγ之间的相互作用显著增强了解偶联蛋白1 (UCP1)的转录活性(3.4倍vs. 1.5倍,p . p .)
本文章由计算机程序翻译,如有差异,请以英文原文为准。

Retinoid X receptor γ interacts with peroxisome proliferator-activated receptor-γ to promote browning during adipose tissue differentiation.

Retinoid X receptor γ interacts with peroxisome proliferator-activated receptor-γ to promote browning during adipose tissue differentiation.

Retinoid X receptor γ interacts with peroxisome proliferator-activated receptor-γ to promote browning during adipose tissue differentiation.

Retinoid X receptor γ interacts with peroxisome proliferator-activated receptor-γ to promote browning during adipose tissue differentiation.

Obesity and type 2 diabetes mellitus are global public health challenges. Activating thermogenic adipose tissues, such as brown adipose tissue and beige adipose tissue, could be a promising strategy to combat obesity and consequently obesity-related diabetes. Both peroxisome proliferator-activated receptor-γ (PPARγ) and retinoid X receptor γ (RXRγ) play significant roles in the regulation of adipogenic differentiation. However, the underlying mechanisms and interactions between these receptors during adipogenic differentiation remain unclear. In this study, we conducted a comprehensive analysis of a transcriptome sequencing dataset sourced from the GEO database, encompassing samples of white and brown adipose tissues from 15 healthy individuals. Our findings reveal that RXRγ expression is significantly elevated in brown adipose tissue relative to white adipose tissue (p = 0.041). Furthermore, co-immunoprecipitation assays validated that RXRγ can be co-precipitated with PPARγ. Subsequent luciferase assays demonstrated that the interaction between RXRγ and PPARγ significantly enhances the transcriptional activity of uncoupling protein 1 (UCP1) compared to the overexpression of PPARγ alone (3.4-fold vs. 1.5-fold, p < 0.001). Notably, in human preadipocytes, the co-overexpression of RXRγ with PPARγ resulted in a significant increase in UCP1 transcriptional activity compared to the overexpression of PPARγ alone (3.4-fold vs. 2.0-fold, p < 0.05). In summary, our findings suggest that RXRγ serves as a novel cofactor for PPARγ, promoting the browning of adipose tissue through the upregulation of UCP1 transcription.

求助全文
通过发布文献求助,成功后即可免费获取论文全文。 去求助
来源期刊
Adipocyte
Adipocyte Medicine-Histology
CiteScore
6.50
自引率
3.00%
发文量
46
审稿时长
32 weeks
期刊介绍: Adipocyte recognizes that the adipose tissue is the largest endocrine organ in the body, and explores the link between dysfunctional adipose tissue and the growing number of chronic diseases including diabetes, hypertension, cardiovascular disease and cancer. Historically, the primary function of the adipose tissue was limited to energy storage and thermoregulation. However, a plethora of research over the past 3 decades has recognized the dynamic role of the adipose tissue and its contribution to a variety of physiological processes including reproduction, angiogenesis, apoptosis, inflammation, blood pressure, coagulation, fibrinolysis, immunity and general metabolic homeostasis. The field of Adipose Tissue research has grown tremendously, and Adipocyte is the first international peer-reviewed journal of its kind providing a multi-disciplinary forum for research focusing exclusively on all aspects of adipose tissue physiology and pathophysiology. Adipocyte accepts high-profile submissions in basic, translational and clinical research.
×
引用
GB/T 7714-2015
复制
MLA
复制
APA
复制
导出至
BibTeX EndNote RefMan NoteFirst NoteExpress
×
提示
您的信息不完整,为了账户安全,请先补充。
现在去补充
×
提示
您因"违规操作"
具体请查看互助需知
我知道了
×
提示
确定
请完成安全验证×
copy
已复制链接
快去分享给好友吧!
我知道了
右上角分享
点击右上角分享
0
联系我们:info@booksci.cn Book学术提供免费学术资源搜索服务,方便国内外学者检索中英文文献。致力于提供最便捷和优质的服务体验。 Copyright © 2023 布克学术 All rights reserved.
京ICP备2023020795号-1
ghs 京公网安备 11010802042870号
Book学术文献互助
Book学术文献互助群
群 号:604180095
Book学术官方微信