流体剪切应力激活可靶向的机械转移级联,促进成神经管细胞瘤转移

IF 26.8 1区 医学 Q1 ENGINEERING, BIOMEDICAL
Hyun-Kee Min, Hongyu Zhao, Alexander Bahcheli, Peng Pan, Jade Chan, Junsheng Chen, Esther Low, Yuxiao Zhou, Xian Wang, Savo Bajic, Ran Peng, Siyi Wanggou, Qi Yang, Robert Du Yang Zhang, Leiming Wang, Xiufang Ren, Haoyue Qi, Yu Shi, Madeline N. Hayes, Brian Ciruna, Jüri Reimand, Xinyu Liu, Xi Huang
{"title":"流体剪切应力激活可靶向的机械转移级联,促进成神经管细胞瘤转移","authors":"Hyun-Kee Min, Hongyu Zhao, Alexander Bahcheli, Peng Pan, Jade Chan, Junsheng Chen, Esther Low, Yuxiao Zhou, Xian Wang, Savo Bajic, Ran Peng, Siyi Wanggou, Qi Yang, Robert Du Yang Zhang, Leiming Wang, Xiufang Ren, Haoyue Qi, Yu Shi, Madeline N. Hayes, Brian Ciruna, Jüri Reimand, Xinyu Liu, Xi Huang","doi":"10.1038/s41551-025-01487-5","DOIUrl":null,"url":null,"abstract":"<p>Biofluid flow generates fluid shear stress (FSS), a mechanical force widely present in the tissue microenvironment. How brain tumour growth alters the conduit of biofluid and impacts FSS-regulated cancer progression is unknown. Dissemination of medulloblastoma (MB) cells into the cerebrospinal fluid initiates metastasis within the central nervous system. Here, by simulating cerebrospinal fluid dynamics based on magnetic resonance imaging of patients with MB, we discover that FSS is elevated at the cervicomedullary junction. MB-relevant FSS promotes metastasis along the mouse spinal cord. Mechanistically, FSS induces metastatic cell behaviours, including weakened cell-substrate adhesion, increased motility, cell clustering and plasma membrane localization of glucose transporter 1 (GLUT1) to enhance glucose uptake. FSS is perceived by the mechanosensitive ion channel PIEZO2, which drives actomyosin contractility-dependent GLUT1 recruitment at the plasma membrane. Genetic targeting of PIEZO2 or pharmacologic inhibition of GLUT1 mitigates metastasis. Collectively, these findings define a targetable FSS-activated mechano-metastatic cascade for the treatment of MB metastasis.</p>","PeriodicalId":19063,"journal":{"name":"Nature Biomedical Engineering","volume":"23 1","pages":""},"PeriodicalIF":26.8000,"publicationDate":"2025-09-02","publicationTypes":"Journal Article","fieldsOfStudy":null,"isOpenAccess":false,"openAccessPdf":"","citationCount":"0","resultStr":"{\"title\":\"Fluid shear stress activates a targetable mechano-metastatic cascade to promote medulloblastoma metastasis\",\"authors\":\"Hyun-Kee Min, Hongyu Zhao, Alexander Bahcheli, Peng Pan, Jade Chan, Junsheng Chen, Esther Low, Yuxiao Zhou, Xian Wang, Savo Bajic, Ran Peng, Siyi Wanggou, Qi Yang, Robert Du Yang Zhang, Leiming Wang, Xiufang Ren, Haoyue Qi, Yu Shi, Madeline N. Hayes, Brian Ciruna, Jüri Reimand, Xinyu Liu, Xi Huang\",\"doi\":\"10.1038/s41551-025-01487-5\",\"DOIUrl\":null,\"url\":null,\"abstract\":\"<p>Biofluid flow generates fluid shear stress (FSS), a mechanical force widely present in the tissue microenvironment. How brain tumour growth alters the conduit of biofluid and impacts FSS-regulated cancer progression is unknown. Dissemination of medulloblastoma (MB) cells into the cerebrospinal fluid initiates metastasis within the central nervous system. Here, by simulating cerebrospinal fluid dynamics based on magnetic resonance imaging of patients with MB, we discover that FSS is elevated at the cervicomedullary junction. MB-relevant FSS promotes metastasis along the mouse spinal cord. Mechanistically, FSS induces metastatic cell behaviours, including weakened cell-substrate adhesion, increased motility, cell clustering and plasma membrane localization of glucose transporter 1 (GLUT1) to enhance glucose uptake. FSS is perceived by the mechanosensitive ion channel PIEZO2, which drives actomyosin contractility-dependent GLUT1 recruitment at the plasma membrane. Genetic targeting of PIEZO2 or pharmacologic inhibition of GLUT1 mitigates metastasis. Collectively, these findings define a targetable FSS-activated mechano-metastatic cascade for the treatment of MB metastasis.</p>\",\"PeriodicalId\":19063,\"journal\":{\"name\":\"Nature Biomedical Engineering\",\"volume\":\"23 1\",\"pages\":\"\"},\"PeriodicalIF\":26.8000,\"publicationDate\":\"2025-09-02\",\"publicationTypes\":\"Journal Article\",\"fieldsOfStudy\":null,\"isOpenAccess\":false,\"openAccessPdf\":\"\",\"citationCount\":\"0\",\"resultStr\":null,\"platform\":\"Semanticscholar\",\"paperid\":null,\"PeriodicalName\":\"Nature Biomedical Engineering\",\"FirstCategoryId\":\"5\",\"ListUrlMain\":\"https://doi.org/10.1038/s41551-025-01487-5\",\"RegionNum\":1,\"RegionCategory\":\"医学\",\"ArticlePicture\":[],\"TitleCN\":null,\"AbstractTextCN\":null,\"PMCID\":null,\"EPubDate\":\"\",\"PubModel\":\"\",\"JCR\":\"Q1\",\"JCRName\":\"ENGINEERING, BIOMEDICAL\",\"Score\":null,\"Total\":0}","platform":"Semanticscholar","paperid":null,"PeriodicalName":"Nature Biomedical Engineering","FirstCategoryId":"5","ListUrlMain":"https://doi.org/10.1038/s41551-025-01487-5","RegionNum":1,"RegionCategory":"医学","ArticlePicture":[],"TitleCN":null,"AbstractTextCN":null,"PMCID":null,"EPubDate":"","PubModel":"","JCR":"Q1","JCRName":"ENGINEERING, BIOMEDICAL","Score":null,"Total":0}
引用次数: 0

摘要

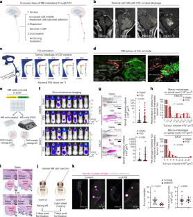
生物流体流动产生流体剪切应力(FSS),这是一种在组织微环境中广泛存在的机械力。脑肿瘤生长如何改变生物流体的管道并影响fss调节的癌症进展尚不清楚。髓母细胞瘤(MB)细胞播散进入脑脊液引发中枢神经系统内的转移。在此,我们基于MB患者的磁共振成像模拟脑脊液动力学,发现颈髓交界处FSS升高。mb相关FSS促进小鼠脊髓转移。从机制上讲,FSS诱导转移细胞行为,包括减弱细胞-底物粘附,增加运动性,细胞聚集和葡萄糖转运蛋白1 (GLUT1)的质膜定位,以增强葡萄糖摄取。FSS由机械敏感离子通道PIEZO2感知,其驱动肌动球蛋白收缩性依赖的GLUT1在质膜上募集。基因靶向PIEZO2或药理学抑制GLUT1减轻转移。总的来说,这些发现定义了一个可靶向的fss激活的机制转移级联治疗MB转移。
本文章由计算机程序翻译,如有差异,请以英文原文为准。

Fluid shear stress activates a targetable mechano-metastatic cascade to promote medulloblastoma metastasis

Fluid shear stress activates a targetable mechano-metastatic cascade to promote medulloblastoma metastasis

Biofluid flow generates fluid shear stress (FSS), a mechanical force widely present in the tissue microenvironment. How brain tumour growth alters the conduit of biofluid and impacts FSS-regulated cancer progression is unknown. Dissemination of medulloblastoma (MB) cells into the cerebrospinal fluid initiates metastasis within the central nervous system. Here, by simulating cerebrospinal fluid dynamics based on magnetic resonance imaging of patients with MB, we discover that FSS is elevated at the cervicomedullary junction. MB-relevant FSS promotes metastasis along the mouse spinal cord. Mechanistically, FSS induces metastatic cell behaviours, including weakened cell-substrate adhesion, increased motility, cell clustering and plasma membrane localization of glucose transporter 1 (GLUT1) to enhance glucose uptake. FSS is perceived by the mechanosensitive ion channel PIEZO2, which drives actomyosin contractility-dependent GLUT1 recruitment at the plasma membrane. Genetic targeting of PIEZO2 or pharmacologic inhibition of GLUT1 mitigates metastasis. Collectively, these findings define a targetable FSS-activated mechano-metastatic cascade for the treatment of MB metastasis.

求助全文
通过发布文献求助,成功后即可免费获取论文全文。 去求助
来源期刊
Nature Biomedical Engineering
Nature Biomedical Engineering Medicine-Medicine (miscellaneous)
CiteScore
45.30
自引率
1.10%
发文量
138
期刊介绍: Nature Biomedical Engineering is an online-only monthly journal that was launched in January 2017. It aims to publish original research, reviews, and commentary focusing on applied biomedicine and health technology. The journal targets a diverse audience, including life scientists who are involved in developing experimental or computational systems and methods to enhance our understanding of human physiology. It also covers biomedical researchers and engineers who are engaged in designing or optimizing therapies, assays, devices, or procedures for diagnosing or treating diseases. Additionally, clinicians, who make use of research outputs to evaluate patient health or administer therapy in various clinical settings and healthcare contexts, are also part of the target audience.
×
引用
GB/T 7714-2015
复制
MLA
复制
APA
复制
导出至
BibTeX EndNote RefMan NoteFirst NoteExpress
×
提示
您的信息不完整,为了账户安全,请先补充。
现在去补充
×
提示
您因"违规操作"
具体请查看互助需知
我知道了
×
提示
确定
请完成安全验证×
copy
已复制链接
快去分享给好友吧!
我知道了
右上角分享
点击右上角分享
0
联系我们:info@booksci.cn Book学术提供免费学术资源搜索服务,方便国内外学者检索中英文文献。致力于提供最便捷和优质的服务体验。 Copyright © 2023 布克学术 All rights reserved.
京ICP备2023020795号-1
ghs 京公网安备 11010802042870号
Book学术文献互助
Book学术文献互助群
群 号:604180095
Book学术官方微信