COVID-19灭活疫苗在免疫功能正常的成人中引发噬血细胞淋巴组织细胞症-1例报告

Journal of clinical and translational research Pub Date : 2022-03-31 eCollection Date: 2022-04-29
Saad Nasir, Saqib Raza Khan, Rodaba Iqbal, Alizah Pervaiz Hashmi, Munira Moosajee, Noreen Nasir
{"title":"COVID-19灭活疫苗在免疫功能正常的成人中引发噬血细胞淋巴组织细胞症-1例报告","authors":"Saad Nasir, Saqib Raza Khan, Rodaba Iqbal, Alizah Pervaiz Hashmi, Munira Moosajee, Noreen Nasir","doi":"","DOIUrl":null,"url":null,"abstract":"<p><strong>Background and aim: </strong>Hemophagocytic lymphohistiocytosis (HLH) is a severe hyperinflammatory syndrome that is induced by hyper-activated macrophages, cytotoxic T cells, and reduced natural killer cell activity. A 46-year-old gentleman presented to us with complaints of intermittent fever for the past 2 weeks associated with fatigue along with oral ulcers and skin rashes which resolved spontaneously. These symptoms started after he received the second dose of the BBIP-CorV COVID-19 vaccine. His complete blood picture showed pancytopenia. A detailed infectious disease workup was unrevealing; however, his bone marrow biopsy revealed increased histiocyte activity, with some showing hemophagocytosis and dysplasia. Immunohistochemistry profile demonstrated strong CD 68 positivity. Further investigations showed raised serum ferritin and fasting triglyceride levels. He was immediately started on dexamethasone acetate at a dose of 10 mg/m<sup>2</sup>, after which his clinical symptoms, as well as his blood parameters, improved remarkably. This is the first documented case in Pakistan.</p><p><strong>Conclusion: </strong>The data from clinical trials support the general safety profile of inactivated COVID-19 vaccines. We endorse its mass implementation. However, we believe that robust data need to be generated to evidence any adverse events, especially those with serious outcomes. Physicians should be aware of inactivated COVID-19 vaccine as a possible trigger for HLH and start prompt treatment, resulting in favorable outcomes.</p><p><strong>Relevance for patients: </strong>The presentation of HLH may vary and can present in an immunocompetent patient with no underlying risk factor. HLH should be kept in differentials when a patient presents with pancytopenia with a recent history of receiving COVID-19 vaccination. Steroids play a major role in the treatment of HLH, and definitive diagnosis and early treatment improve clinical outcomes.</p>","PeriodicalId":94073,"journal":{"name":"Journal of clinical and translational research","volume":"8 2","pages":"152-155"},"PeriodicalIF":0.0000,"publicationDate":"2022-03-31","publicationTypes":"Journal Article","fieldsOfStudy":null,"isOpenAccess":false,"openAccessPdf":"https://www.ncbi.nlm.nih.gov/pmc/articles/PMC9035139/pdf/","citationCount":"0","resultStr":"{\"title\":\"Inactivated COVID-19 vaccine triggering hemophagocytic lymphohistiocytosis in an immunocompetent adult - A case report.\",\"authors\":\"Saad Nasir, Saqib Raza Khan, Rodaba Iqbal, Alizah Pervaiz Hashmi, Munira Moosajee, Noreen Nasir\",\"doi\":\"\",\"DOIUrl\":null,\"url\":null,\"abstract\":\"<p><strong>Background and aim: </strong>Hemophagocytic lymphohistiocytosis (HLH) is a severe hyperinflammatory syndrome that is induced by hyper-activated macrophages, cytotoxic T cells, and reduced natural killer cell activity. A 46-year-old gentleman presented to us with complaints of intermittent fever for the past 2 weeks associated with fatigue along with oral ulcers and skin rashes which resolved spontaneously. These symptoms started after he received the second dose of the BBIP-CorV COVID-19 vaccine. His complete blood picture showed pancytopenia. A detailed infectious disease workup was unrevealing; however, his bone marrow biopsy revealed increased histiocyte activity, with some showing hemophagocytosis and dysplasia. Immunohistochemistry profile demonstrated strong CD 68 positivity. Further investigations showed raised serum ferritin and fasting triglyceride levels. He was immediately started on dexamethasone acetate at a dose of 10 mg/m<sup>2</sup>, after which his clinical symptoms, as well as his blood parameters, improved remarkably. This is the first documented case in Pakistan.</p><p><strong>Conclusion: </strong>The data from clinical trials support the general safety profile of inactivated COVID-19 vaccines. We endorse its mass implementation. However, we believe that robust data need to be generated to evidence any adverse events, especially those with serious outcomes. Physicians should be aware of inactivated COVID-19 vaccine as a possible trigger for HLH and start prompt treatment, resulting in favorable outcomes.</p><p><strong>Relevance for patients: </strong>The presentation of HLH may vary and can present in an immunocompetent patient with no underlying risk factor. HLH should be kept in differentials when a patient presents with pancytopenia with a recent history of receiving COVID-19 vaccination. Steroids play a major role in the treatment of HLH, and definitive diagnosis and early treatment improve clinical outcomes.</p>\",\"PeriodicalId\":94073,\"journal\":{\"name\":\"Journal of clinical and translational research\",\"volume\":\"8 2\",\"pages\":\"152-155\"},\"PeriodicalIF\":0.0000,\"publicationDate\":\"2022-03-31\",\"publicationTypes\":\"Journal Article\",\"fieldsOfStudy\":null,\"isOpenAccess\":false,\"openAccessPdf\":\"https://www.ncbi.nlm.nih.gov/pmc/articles/PMC9035139/pdf/\",\"citationCount\":\"0\",\"resultStr\":null,\"platform\":\"Semanticscholar\",\"paperid\":null,\"PeriodicalName\":\"Journal of clinical and translational research\",\"FirstCategoryId\":\"1085\",\"ListUrlMain\":\"\",\"RegionNum\":0,\"RegionCategory\":null,\"ArticlePicture\":[],\"TitleCN\":null,\"AbstractTextCN\":null,\"PMCID\":null,\"EPubDate\":\"2022/4/29 0:00:00\",\"PubModel\":\"eCollection\",\"JCR\":\"\",\"JCRName\":\"\",\"Score\":null,\"Total\":0}","platform":"Semanticscholar","paperid":null,"PeriodicalName":"Journal of clinical and translational research","FirstCategoryId":"1085","ListUrlMain":"","RegionNum":0,"RegionCategory":null,"ArticlePicture":[],"TitleCN":null,"AbstractTextCN":null,"PMCID":null,"EPubDate":"2022/4/29 0:00:00","PubModel":"eCollection","JCR":"","JCRName":"","Score":null,"Total":0}
引用次数: 0

摘要

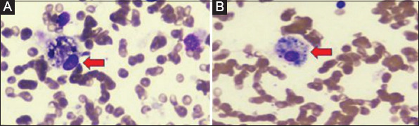
背景和目的:噬血细胞性淋巴组织细胞增多症(HLH)是一种严重的高炎症综合征,由过度活化的巨噬细胞、细胞毒性T细胞和自然杀伤细胞活性降低引起。一位46岁的男士向我们提出了过去两周的间歇性发烧,并伴有疲劳,口腔溃疡和皮疹,这些症状自发消退。这些症状是在他接受第二剂BBIP-CorV COVID-19疫苗后开始的。他的全血图显示全血细胞减少。详细的传染病检查并没有揭示问题;然而,他的骨髓活检显示组织细胞活性增加,一些显示噬血细胞增多和发育不良。免疫组化示cd68阳性。进一步的调查显示血清铁蛋白和空腹甘油三酯水平升高。患者立即开始服用剂量为10mg /m2的醋酸地塞米松,此后他的临床症状和血液参数显著改善。这是巴基斯坦首次记录在案的病例。结论:临床试验数据支持COVID-19灭活疫苗的总体安全性。我们赞同它的大规模执行。然而,我们认为需要生成可靠的数据来证明任何不良事件,特别是那些严重后果的不良事件。医生应该意识到灭活的COVID-19疫苗可能引发HLH,并及时开始治疗,从而获得良好的结果。与患者的相关性:HLH的表现可能各不相同,并且可能出现在没有潜在危险因素的免疫功能正常的患者中。当患者出现全血细胞减少症且近期接种过COVID-19疫苗时,应保持HLH的差异。类固醇在治疗HLH中起主要作用,明确的诊断和早期治疗可改善临床结果。
本文章由计算机程序翻译,如有差异,请以英文原文为准。

Inactivated COVID-19 vaccine triggering hemophagocytic lymphohistiocytosis in an immunocompetent adult - A case report.

Inactivated COVID-19 vaccine triggering hemophagocytic lymphohistiocytosis in an immunocompetent adult - A case report.

Inactivated COVID-19 vaccine triggering hemophagocytic lymphohistiocytosis in an immunocompetent adult - A case report.

Background and aim: Hemophagocytic lymphohistiocytosis (HLH) is a severe hyperinflammatory syndrome that is induced by hyper-activated macrophages, cytotoxic T cells, and reduced natural killer cell activity. A 46-year-old gentleman presented to us with complaints of intermittent fever for the past 2 weeks associated with fatigue along with oral ulcers and skin rashes which resolved spontaneously. These symptoms started after he received the second dose of the BBIP-CorV COVID-19 vaccine. His complete blood picture showed pancytopenia. A detailed infectious disease workup was unrevealing; however, his bone marrow biopsy revealed increased histiocyte activity, with some showing hemophagocytosis and dysplasia. Immunohistochemistry profile demonstrated strong CD 68 positivity. Further investigations showed raised serum ferritin and fasting triglyceride levels. He was immediately started on dexamethasone acetate at a dose of 10 mg/m2, after which his clinical symptoms, as well as his blood parameters, improved remarkably. This is the first documented case in Pakistan.

Conclusion: The data from clinical trials support the general safety profile of inactivated COVID-19 vaccines. We endorse its mass implementation. However, we believe that robust data need to be generated to evidence any adverse events, especially those with serious outcomes. Physicians should be aware of inactivated COVID-19 vaccine as a possible trigger for HLH and start prompt treatment, resulting in favorable outcomes.

Relevance for patients: The presentation of HLH may vary and can present in an immunocompetent patient with no underlying risk factor. HLH should be kept in differentials when a patient presents with pancytopenia with a recent history of receiving COVID-19 vaccination. Steroids play a major role in the treatment of HLH, and definitive diagnosis and early treatment improve clinical outcomes.

求助全文
通过发布文献求助,成功后即可免费获取论文全文。 去求助
来源期刊
自引率
0.00%
发文量
0
×
引用
GB/T 7714-2015
复制
MLA
复制
APA
复制
导出至
BibTeX EndNote RefMan NoteFirst NoteExpress
×
提示
您的信息不完整,为了账户安全,请先补充。
现在去补充
×
提示
您因"违规操作"
具体请查看互助需知
我知道了
×
提示
确定
请完成安全验证×
copy
已复制链接
快去分享给好友吧!
我知道了
右上角分享
点击右上角分享
0
联系我们:info@booksci.cn Book学术提供免费学术资源搜索服务,方便国内外学者检索中英文文献。致力于提供最便捷和优质的服务体验。 Copyright © 2023 布克学术 All rights reserved.
京ICP备2023020795号-1
ghs 京公网安备 11010802042870号
Book学术文献互助
Book学术文献互助群
群 号:604180095
Book学术官方微信