dpl1 +亚群naïve CD8 T细胞富集记忆谱系前体

IF 12.5 1区 综合性期刊 Q1 MULTIDISCIPLINARY SCIENCES
Adam C. Lynch, Kaito A. Hioki, Xueting Liang, Iris Thesmar, Julia Cernjul, Xinjian Doris He, Jesse Mager, Wei Cui, Dominique Alfandari, Elena L. Pobezinskaya, Leonid A. Pobezinsky
{"title":"dpl1 +亚群naïve CD8 T细胞富集记忆谱系前体","authors":"Adam C. Lynch,&nbsp;Kaito A. Hioki,&nbsp;Xueting Liang,&nbsp;Iris Thesmar,&nbsp;Julia Cernjul,&nbsp;Xinjian Doris He,&nbsp;Jesse Mager,&nbsp;Wei Cui,&nbsp;Dominique Alfandari,&nbsp;Elena L. Pobezinskaya,&nbsp;Leonid A. Pobezinsky","doi":"10.1126/sciadv.adx5687","DOIUrl":null,"url":null,"abstract":"<div >Memory CD8 T cells provide long-lasting immunity, but their developmental origins remain incompletely defined. Growing evidence suggests that functional heterogeneity exists within the naïve T cell pool, shaping lineage potential before antigen stimulation. Here, we identify a subpopulation of naïve CD8 T cells expressing death-associated protein-like 1 (Dapl1) that contains preprogrammed precursors biased toward memory differentiation. The differentiation of these precursors is independent of Dapl1 but relies on the transcription factor B-cell lymphoma/leukaemia 11b (Bcl11b), resulting in the generation of Dapl1<sup>+</sup> central memory–like CD8 T cells after infection and stem-like memory cells in cancer. Dapl1<sup>+</sup> naïve T cells originate among mature thymocytes and gradually appear in the periphery postnatally. Peripheral Dapl1<sup>+</sup> and Dapl1<sup>−</sup> populations show limited plasticity, supporting a thymic-imprinting model. These findings reveal a developmentally imprinted subset of naïve CD8 T cells committed to memory fate, uncovering an alternative pathway for memory T cell generation offering new avenues for therapeutic application.</div>","PeriodicalId":21609,"journal":{"name":"Science Advances","volume":"11 34","pages":""},"PeriodicalIF":12.5000,"publicationDate":"2025-08-22","publicationTypes":"Journal Article","fieldsOfStudy":null,"isOpenAccess":false,"openAccessPdf":"https://www.science.org/doi/reader/10.1126/sciadv.adx5687","citationCount":"0","resultStr":"{\"title\":\"A Dapl1+ subpopulation of naïve CD8 T cells is enriched for memory-lineage precursors\",\"authors\":\"Adam C. Lynch,&nbsp;Kaito A. Hioki,&nbsp;Xueting Liang,&nbsp;Iris Thesmar,&nbsp;Julia Cernjul,&nbsp;Xinjian Doris He,&nbsp;Jesse Mager,&nbsp;Wei Cui,&nbsp;Dominique Alfandari,&nbsp;Elena L. Pobezinskaya,&nbsp;Leonid A. Pobezinsky\",\"doi\":\"10.1126/sciadv.adx5687\",\"DOIUrl\":null,\"url\":null,\"abstract\":\"<div >Memory CD8 T cells provide long-lasting immunity, but their developmental origins remain incompletely defined. Growing evidence suggests that functional heterogeneity exists within the naïve T cell pool, shaping lineage potential before antigen stimulation. Here, we identify a subpopulation of naïve CD8 T cells expressing death-associated protein-like 1 (Dapl1) that contains preprogrammed precursors biased toward memory differentiation. The differentiation of these precursors is independent of Dapl1 but relies on the transcription factor B-cell lymphoma/leukaemia 11b (Bcl11b), resulting in the generation of Dapl1<sup>+</sup> central memory–like CD8 T cells after infection and stem-like memory cells in cancer. Dapl1<sup>+</sup> naïve T cells originate among mature thymocytes and gradually appear in the periphery postnatally. Peripheral Dapl1<sup>+</sup> and Dapl1<sup>−</sup> populations show limited plasticity, supporting a thymic-imprinting model. These findings reveal a developmentally imprinted subset of naïve CD8 T cells committed to memory fate, uncovering an alternative pathway for memory T cell generation offering new avenues for therapeutic application.</div>\",\"PeriodicalId\":21609,\"journal\":{\"name\":\"Science Advances\",\"volume\":\"11 34\",\"pages\":\"\"},\"PeriodicalIF\":12.5000,\"publicationDate\":\"2025-08-22\",\"publicationTypes\":\"Journal Article\",\"fieldsOfStudy\":null,\"isOpenAccess\":false,\"openAccessPdf\":\"https://www.science.org/doi/reader/10.1126/sciadv.adx5687\",\"citationCount\":\"0\",\"resultStr\":null,\"platform\":\"Semanticscholar\",\"paperid\":null,\"PeriodicalName\":\"Science Advances\",\"FirstCategoryId\":\"103\",\"ListUrlMain\":\"https://www.science.org/doi/10.1126/sciadv.adx5687\",\"RegionNum\":1,\"RegionCategory\":\"综合性期刊\",\"ArticlePicture\":[],\"TitleCN\":null,\"AbstractTextCN\":null,\"PMCID\":null,\"EPubDate\":\"\",\"PubModel\":\"\",\"JCR\":\"Q1\",\"JCRName\":\"MULTIDISCIPLINARY SCIENCES\",\"Score\":null,\"Total\":0}","platform":"Semanticscholar","paperid":null,"PeriodicalName":"Science Advances","FirstCategoryId":"103","ListUrlMain":"https://www.science.org/doi/10.1126/sciadv.adx5687","RegionNum":1,"RegionCategory":"综合性期刊","ArticlePicture":[],"TitleCN":null,"AbstractTextCN":null,"PMCID":null,"EPubDate":"","PubModel":"","JCR":"Q1","JCRName":"MULTIDISCIPLINARY SCIENCES","Score":null,"Total":0}
引用次数: 0

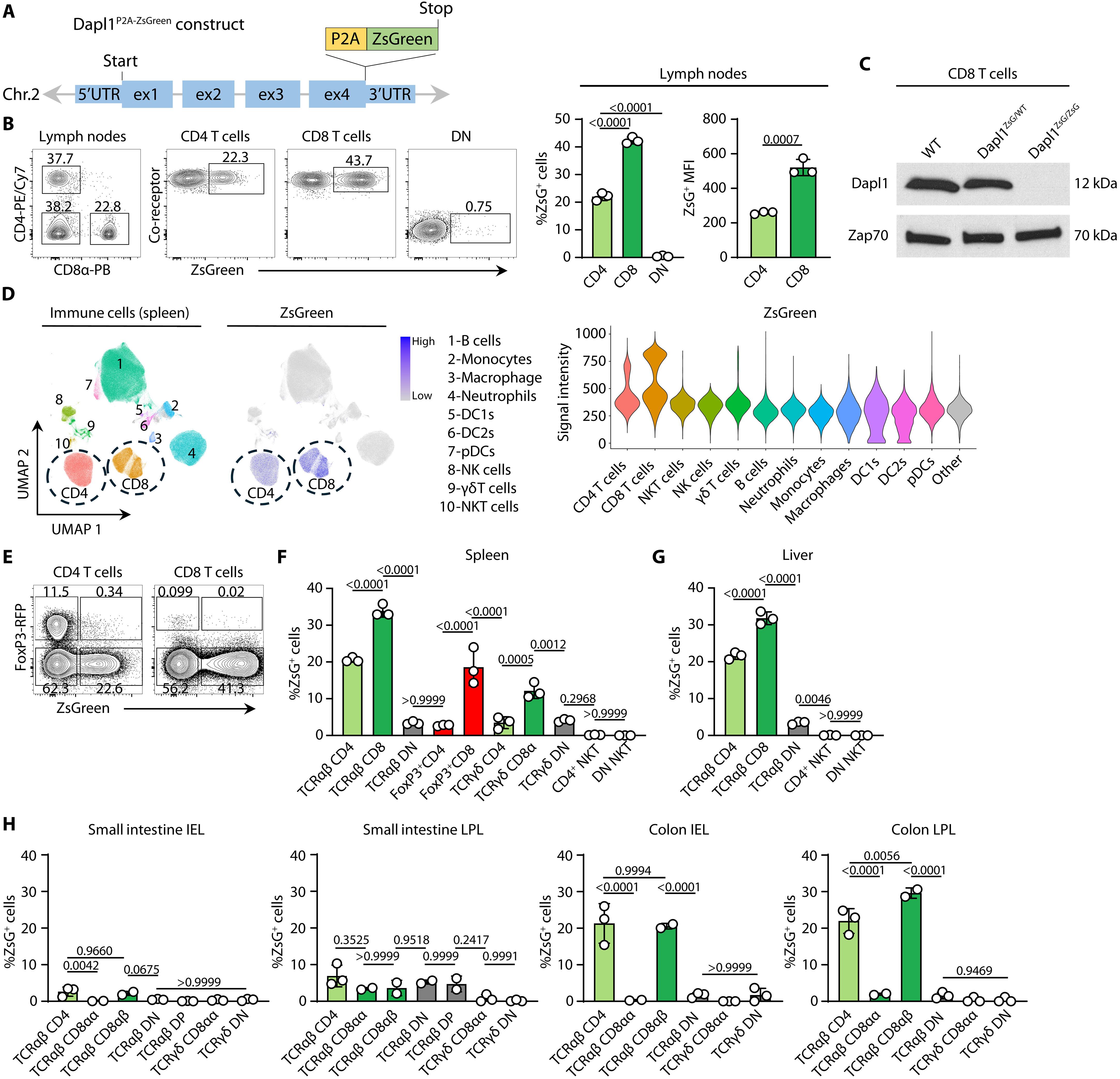
摘要

记忆性CD8 T细胞提供持久的免疫,但其发育起源仍不完全确定。越来越多的证据表明,naïve T细胞池中存在功能异质性,在抗原刺激之前形成谱系潜力。在这里,我们确定了一个表达死亡相关蛋白样1 (dpl1)的naïve CD8 T细胞亚群,其中包含偏向于记忆分化的预编程前体。这些前体的分化不依赖于Dapl1,但依赖于转录因子b细胞淋巴瘤/白血病11b (Bcl11b),导致感染后产生Dapl1+中枢记忆样CD8 T细胞和癌症中的干细胞样记忆细胞。dpl1 + naïve T细胞起源于成熟胸腺细胞,并在出生后逐渐出现在外周。外周Dapl1+和Dapl1−种群表现出有限的可塑性,支持胸腺印迹模型。这些发现揭示了naïve CD8 T细胞的发育印记亚群致力于记忆命运,揭示了记忆T细胞生成的另一种途径,为治疗应用提供了新的途径。
本文章由计算机程序翻译,如有差异,请以英文原文为准。

A Dapl1+ subpopulation of naïve CD8 T cells is enriched for memory-lineage precursors

A Dapl1+ subpopulation of naïve CD8 T cells is enriched for memory-lineage precursors
Memory CD8 T cells provide long-lasting immunity, but their developmental origins remain incompletely defined. Growing evidence suggests that functional heterogeneity exists within the naïve T cell pool, shaping lineage potential before antigen stimulation. Here, we identify a subpopulation of naïve CD8 T cells expressing death-associated protein-like 1 (Dapl1) that contains preprogrammed precursors biased toward memory differentiation. The differentiation of these precursors is independent of Dapl1 but relies on the transcription factor B-cell lymphoma/leukaemia 11b (Bcl11b), resulting in the generation of Dapl1+ central memory–like CD8 T cells after infection and stem-like memory cells in cancer. Dapl1+ naïve T cells originate among mature thymocytes and gradually appear in the periphery postnatally. Peripheral Dapl1+ and Dapl1 populations show limited plasticity, supporting a thymic-imprinting model. These findings reveal a developmentally imprinted subset of naïve CD8 T cells committed to memory fate, uncovering an alternative pathway for memory T cell generation offering new avenues for therapeutic application.
求助全文
通过发布文献求助,成功后即可免费获取论文全文。 去求助
来源期刊
Science Advances
Science Advances 综合性期刊-综合性期刊
CiteScore
21.40
自引率
1.50%
发文量
1937
审稿时长
29 weeks
期刊介绍: Science Advances, an open-access journal by AAAS, publishes impactful research in diverse scientific areas. It aims for fair, fast, and expert peer review, providing freely accessible research to readers. Led by distinguished scientists, the journal supports AAAS's mission by extending Science magazine's capacity to identify and promote significant advances. Evolving digital publishing technologies play a crucial role in advancing AAAS's global mission for science communication and benefitting humankind.
×
引用
GB/T 7714-2015
复制
MLA
复制
APA
复制
导出至
BibTeX EndNote RefMan NoteFirst NoteExpress
×
提示
您的信息不完整,为了账户安全,请先补充。
现在去补充
×
提示
您因"违规操作"
具体请查看互助需知
我知道了
×
提示
确定
请完成安全验证×
copy
已复制链接
快去分享给好友吧!
我知道了
右上角分享
点击右上角分享
0
联系我们:info@booksci.cn Book学术提供免费学术资源搜索服务,方便国内外学者检索中英文文献。致力于提供最便捷和优质的服务体验。 Copyright © 2023 布克学术 All rights reserved.
京ICP备2023020795号-1
ghs 京公网安备 11010802042870号
Book学术文献互助
Book学术文献互助群
群 号:604180095
Book学术官方微信