胆囊淤泥和胆道假性结石是头孢曲松治疗成人患者的罕见并发症——附超声检查1例报告。

European journal of microbiology & immunology Pub Date : 2025-08-19 Print Date: 2025-10-07 DOI:10.1556/1886.2025.00041
Sven Jungblut, Sebastian Aland, Jens-Uwe Erk, Julia Aland, Hagen Frickmann
{"title":"胆囊淤泥和胆道假性结石是头孢曲松治疗成人患者的罕见并发症——附超声检查1例报告。","authors":"Sven Jungblut, Sebastian Aland, Jens-Uwe Erk, Julia Aland, Hagen Frickmann","doi":"10.1556/1886.2025.00041","DOIUrl":null,"url":null,"abstract":"<p><strong>Background: </strong>Ceftriaxone-induced biliary pseudolithiasis is a disease entity frequently observed in children, while it is rarely seen in adult patients. We provide a thorough sonographic workup of the case to guide sonographers confronted with it.</p><p><strong>Case report: </strong>A 41-years-old male patient with sonographically confirmed, culture-negative endocarditis accompanied by repeated fever episodes received 4g ceftriaxone per day next to ampicillin and gentamicin as an element of his antibiotic therapy. At day 4 of treatment, signs of gall bladder sludge and biliary pseudolithiasis were first seen in sonography. At day 17, abdominal pain over 30 min and increased liver and pancreatic enzymes pointed towards temporal duct obstruction as a complication and ceftriaxone therapy had to be preterm cancelled. A sonographic work-up of the stepwise improvement of the sonographic findings after the end of the ceftriaxone therapy is provided, a reemergence of endocarditis was not observed.</p><p><strong>Discussion: </strong>The case reminds of a rarely recognized, usually reversible side effect of high-dose ceftriaxone therapy and its complications. The sonographic work-up may serve as guidance for clinicians during follow-up assessments.</p><p><strong>Conclusions: </strong>Although ceftriaxone allows usually well-tolerated antimicrobial therapies, biliary pseudolithiasis should be kept in mind as a rare but sometimes non-ignorable side effect.</p>","PeriodicalId":93998,"journal":{"name":"European journal of microbiology & immunology","volume":" ","pages":"150-156"},"PeriodicalIF":0.0000,"publicationDate":"2025-08-19","publicationTypes":"Journal Article","fieldsOfStudy":null,"isOpenAccess":false,"openAccessPdf":"https://www.ncbi.nlm.nih.gov/pmc/articles/PMC12505144/pdf/","citationCount":"0","resultStr":"{\"title\":\"Gall bladder sludge and biliary pseudolithiasis as rare complications of ceftriaxone therapy in adult patients - A case report including sonographic workup.\",\"authors\":\"Sven Jungblut, Sebastian Aland, Jens-Uwe Erk, Julia Aland, Hagen Frickmann\",\"doi\":\"10.1556/1886.2025.00041\",\"DOIUrl\":null,\"url\":null,\"abstract\":\"<p><strong>Background: </strong>Ceftriaxone-induced biliary pseudolithiasis is a disease entity frequently observed in children, while it is rarely seen in adult patients. We provide a thorough sonographic workup of the case to guide sonographers confronted with it.</p><p><strong>Case report: </strong>A 41-years-old male patient with sonographically confirmed, culture-negative endocarditis accompanied by repeated fever episodes received 4g ceftriaxone per day next to ampicillin and gentamicin as an element of his antibiotic therapy. At day 4 of treatment, signs of gall bladder sludge and biliary pseudolithiasis were first seen in sonography. At day 17, abdominal pain over 30 min and increased liver and pancreatic enzymes pointed towards temporal duct obstruction as a complication and ceftriaxone therapy had to be preterm cancelled. A sonographic work-up of the stepwise improvement of the sonographic findings after the end of the ceftriaxone therapy is provided, a reemergence of endocarditis was not observed.</p><p><strong>Discussion: </strong>The case reminds of a rarely recognized, usually reversible side effect of high-dose ceftriaxone therapy and its complications. The sonographic work-up may serve as guidance for clinicians during follow-up assessments.</p><p><strong>Conclusions: </strong>Although ceftriaxone allows usually well-tolerated antimicrobial therapies, biliary pseudolithiasis should be kept in mind as a rare but sometimes non-ignorable side effect.</p>\",\"PeriodicalId\":93998,\"journal\":{\"name\":\"European journal of microbiology & immunology\",\"volume\":\" \",\"pages\":\"150-156\"},\"PeriodicalIF\":0.0000,\"publicationDate\":\"2025-08-19\",\"publicationTypes\":\"Journal Article\",\"fieldsOfStudy\":null,\"isOpenAccess\":false,\"openAccessPdf\":\"https://www.ncbi.nlm.nih.gov/pmc/articles/PMC12505144/pdf/\",\"citationCount\":\"0\",\"resultStr\":null,\"platform\":\"Semanticscholar\",\"paperid\":null,\"PeriodicalName\":\"European journal of microbiology & immunology\",\"FirstCategoryId\":\"1085\",\"ListUrlMain\":\"https://doi.org/10.1556/1886.2025.00041\",\"RegionNum\":0,\"RegionCategory\":null,\"ArticlePicture\":[],\"TitleCN\":null,\"AbstractTextCN\":null,\"PMCID\":null,\"EPubDate\":\"2025/10/7 0:00:00\",\"PubModel\":\"Print\",\"JCR\":\"\",\"JCRName\":\"\",\"Score\":null,\"Total\":0}","platform":"Semanticscholar","paperid":null,"PeriodicalName":"European journal of microbiology & immunology","FirstCategoryId":"1085","ListUrlMain":"https://doi.org/10.1556/1886.2025.00041","RegionNum":0,"RegionCategory":null,"ArticlePicture":[],"TitleCN":null,"AbstractTextCN":null,"PMCID":null,"EPubDate":"2025/10/7 0:00:00","PubModel":"Print","JCR":"","JCRName":"","Score":null,"Total":0}
引用次数: 0

摘要

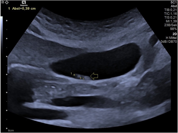
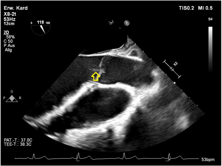
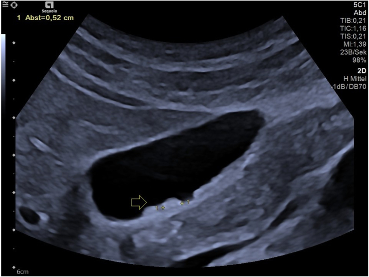
背景:头孢曲松诱发的胆道假性结石是一种常见于儿童的疾病,而在成人患者中罕见。我们提供了一个彻底的超声检查的情况下,指导超声医师面对它。病例报告:41岁男性患者超声确诊,培养阴性心内膜炎伴反复发热发作,每天接受4g头孢曲松,氨苄西林和庆大霉素作为抗生素治疗的一个元素。治疗第4天,超声检查首次发现胆囊淤泥和胆道假性结石的征象。第17天,腹痛超过30分钟,肝脏和胰腺酶升高,提示颞管阻塞是并发症,头孢曲松治疗必须提前取消。在头孢曲松治疗结束后,超声检查结果逐步改善,没有观察到心内膜炎的再次出现。讨论:该病例提醒了高剂量头孢曲松治疗的一个很少被认识到的、通常可逆的副作用及其并发症。超声检查可作为临床医生随访评估的指导。结论:尽管头孢曲松允许通常耐受良好的抗菌治疗,胆道假性结石应牢记为罕见但有时不可忽视的副作用。
本文章由计算机程序翻译,如有差异,请以英文原文为准。

Gall bladder sludge and biliary pseudolithiasis as rare complications of ceftriaxone therapy in adult patients - A case report including sonographic workup.

Gall bladder sludge and biliary pseudolithiasis as rare complications of ceftriaxone therapy in adult patients - A case report including sonographic workup.

Gall bladder sludge and biliary pseudolithiasis as rare complications of ceftriaxone therapy in adult patients - A case report including sonographic workup.

Gall bladder sludge and biliary pseudolithiasis as rare complications of ceftriaxone therapy in adult patients - A case report including sonographic workup.

Background: Ceftriaxone-induced biliary pseudolithiasis is a disease entity frequently observed in children, while it is rarely seen in adult patients. We provide a thorough sonographic workup of the case to guide sonographers confronted with it.

Case report: A 41-years-old male patient with sonographically confirmed, culture-negative endocarditis accompanied by repeated fever episodes received 4g ceftriaxone per day next to ampicillin and gentamicin as an element of his antibiotic therapy. At day 4 of treatment, signs of gall bladder sludge and biliary pseudolithiasis were first seen in sonography. At day 17, abdominal pain over 30 min and increased liver and pancreatic enzymes pointed towards temporal duct obstruction as a complication and ceftriaxone therapy had to be preterm cancelled. A sonographic work-up of the stepwise improvement of the sonographic findings after the end of the ceftriaxone therapy is provided, a reemergence of endocarditis was not observed.

Discussion: The case reminds of a rarely recognized, usually reversible side effect of high-dose ceftriaxone therapy and its complications. The sonographic work-up may serve as guidance for clinicians during follow-up assessments.

Conclusions: Although ceftriaxone allows usually well-tolerated antimicrobial therapies, biliary pseudolithiasis should be kept in mind as a rare but sometimes non-ignorable side effect.

求助全文
通过发布文献求助,成功后即可免费获取论文全文。 去求助
来源期刊
自引率
0.00%
发文量
0
×
引用
GB/T 7714-2015
复制
MLA
复制
APA
复制
导出至
BibTeX EndNote RefMan NoteFirst NoteExpress
×
提示
您的信息不完整,为了账户安全,请先补充。
现在去补充
×
提示
您因"违规操作"
具体请查看互助需知
我知道了
×
提示
确定
请完成安全验证×
copy
已复制链接
快去分享给好友吧!
我知道了
右上角分享
点击右上角分享
0
联系我们:info@booksci.cn Book学术提供免费学术资源搜索服务,方便国内外学者检索中英文文献。致力于提供最便捷和优质的服务体验。 Copyright © 2023 布克学术 All rights reserved.
京ICP备2023020795号-1
ghs 京公网安备 11010802042870号
Book学术文献互助
Book学术文献互助群
群 号:604180095
Book学术官方微信