生物二尖瓣切除术后复发性非细菌性血栓性心内膜炎。

0 CARDIAC & CARDIOVASCULAR SYSTEMS
Taro Nakazato, Matsuda Yasuhiro, Tatsuya Ozaki, Mutsunori Kitahara
{"title":"生物二尖瓣切除术后复发性非细菌性血栓性心内膜炎。","authors":"Taro Nakazato, Matsuda Yasuhiro, Tatsuya Ozaki, Mutsunori Kitahara","doi":"10.1093/icvts/ivaf192","DOIUrl":null,"url":null,"abstract":"<p><p>We report a case of recurrent nonbacterial thrombotic endocarditis (NBTE) following vegetectomy of bioprosthesis without malignancy or autoimmune disorders. A 76-year-old woman underwent mitral valve replacement with a bioprosthesis for mitral regurgitation. Six years later, an outpatient echocardiography revealed a mobile vegetation incidentally. No signs of infection were observed, and various tests ruled out malignancy or autoimmune disorders. Pathological findings after an urgent vegetectomy also showed no signs of infection, and the diagnosis was NBTE. Anticoagulation therapy with warfarin was continued, but 1 year after surgery, an outpatient echocardiography revealed NBTE recurrence. After the patient underwent anticoagulation therapy with heparin and resection of the papilloma of the maxillary sinus, the vegetation disappeared, and there has been no recurrence. Since NBTE can recur, strict lifelong follow-up with anticoagulation therapy might be required.</p>","PeriodicalId":73406,"journal":{"name":"Interdisciplinary cardiovascular and thoracic surgery","volume":" ","pages":""},"PeriodicalIF":0.0000,"publicationDate":"2025-08-05","publicationTypes":"Journal Article","fieldsOfStudy":null,"isOpenAccess":false,"openAccessPdf":"https://www.ncbi.nlm.nih.gov/pmc/articles/PMC12451686/pdf/","citationCount":"0","resultStr":"{\"title\":\"Recurrent Nonbacterial Thrombotic Endocarditis after Vegetectomy of Bioprosthetic Mitral Valve.\",\"authors\":\"Taro Nakazato, Matsuda Yasuhiro, Tatsuya Ozaki, Mutsunori Kitahara\",\"doi\":\"10.1093/icvts/ivaf192\",\"DOIUrl\":null,\"url\":null,\"abstract\":\"<p><p>We report a case of recurrent nonbacterial thrombotic endocarditis (NBTE) following vegetectomy of bioprosthesis without malignancy or autoimmune disorders. A 76-year-old woman underwent mitral valve replacement with a bioprosthesis for mitral regurgitation. Six years later, an outpatient echocardiography revealed a mobile vegetation incidentally. No signs of infection were observed, and various tests ruled out malignancy or autoimmune disorders. Pathological findings after an urgent vegetectomy also showed no signs of infection, and the diagnosis was NBTE. Anticoagulation therapy with warfarin was continued, but 1 year after surgery, an outpatient echocardiography revealed NBTE recurrence. After the patient underwent anticoagulation therapy with heparin and resection of the papilloma of the maxillary sinus, the vegetation disappeared, and there has been no recurrence. Since NBTE can recur, strict lifelong follow-up with anticoagulation therapy might be required.</p>\",\"PeriodicalId\":73406,\"journal\":{\"name\":\"Interdisciplinary cardiovascular and thoracic surgery\",\"volume\":\" \",\"pages\":\"\"},\"PeriodicalIF\":0.0000,\"publicationDate\":\"2025-08-05\",\"publicationTypes\":\"Journal Article\",\"fieldsOfStudy\":null,\"isOpenAccess\":false,\"openAccessPdf\":\"https://www.ncbi.nlm.nih.gov/pmc/articles/PMC12451686/pdf/\",\"citationCount\":\"0\",\"resultStr\":null,\"platform\":\"Semanticscholar\",\"paperid\":null,\"PeriodicalName\":\"Interdisciplinary cardiovascular and thoracic surgery\",\"FirstCategoryId\":\"1085\",\"ListUrlMain\":\"https://doi.org/10.1093/icvts/ivaf192\",\"RegionNum\":0,\"RegionCategory\":null,\"ArticlePicture\":[],\"TitleCN\":null,\"AbstractTextCN\":null,\"PMCID\":null,\"EPubDate\":\"\",\"PubModel\":\"\",\"JCR\":\"0\",\"JCRName\":\"CARDIAC & CARDIOVASCULAR SYSTEMS\",\"Score\":null,\"Total\":0}","platform":"Semanticscholar","paperid":null,"PeriodicalName":"Interdisciplinary cardiovascular and thoracic surgery","FirstCategoryId":"1085","ListUrlMain":"https://doi.org/10.1093/icvts/ivaf192","RegionNum":0,"RegionCategory":null,"ArticlePicture":[],"TitleCN":null,"AbstractTextCN":null,"PMCID":null,"EPubDate":"","PubModel":"","JCR":"0","JCRName":"CARDIAC & CARDIOVASCULAR SYSTEMS","Score":null,"Total":0}
引用次数: 0

摘要

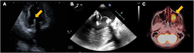
我们报告一例复发性非细菌性血栓性心内膜炎(NBTE)后生物假体切除术无恶性肿瘤或自身免疫性疾病。一位76岁的女性接受了二尖瓣置换生物假体治疗二尖瓣反流。六年后,门诊超声心动图偶然发现一个可移动的植物。没有观察到感染的迹象,各种检查排除了恶性肿瘤或自身免疫性疾病。紧急植物切除术后的病理结果也未显示感染迹象,诊断为NBTE。继续使用华法林抗凝治疗,但手术后1年,门诊超声心动图显示NBTE复发。患者经肝素抗凝治疗并切除上颌窦乳头状瘤后,植被消失,无复发。由于NBTE可能复发,可能需要严格的终身随访和抗凝治疗。
本文章由计算机程序翻译,如有差异,请以英文原文为准。

Recurrent Nonbacterial Thrombotic Endocarditis after Vegetectomy of Bioprosthetic Mitral Valve.

Recurrent Nonbacterial Thrombotic Endocarditis after Vegetectomy of Bioprosthetic Mitral Valve.

Recurrent Nonbacterial Thrombotic Endocarditis after Vegetectomy of Bioprosthetic Mitral Valve.

We report a case of recurrent nonbacterial thrombotic endocarditis (NBTE) following vegetectomy of bioprosthesis without malignancy or autoimmune disorders. A 76-year-old woman underwent mitral valve replacement with a bioprosthesis for mitral regurgitation. Six years later, an outpatient echocardiography revealed a mobile vegetation incidentally. No signs of infection were observed, and various tests ruled out malignancy or autoimmune disorders. Pathological findings after an urgent vegetectomy also showed no signs of infection, and the diagnosis was NBTE. Anticoagulation therapy with warfarin was continued, but 1 year after surgery, an outpatient echocardiography revealed NBTE recurrence. After the patient underwent anticoagulation therapy with heparin and resection of the papilloma of the maxillary sinus, the vegetation disappeared, and there has been no recurrence. Since NBTE can recur, strict lifelong follow-up with anticoagulation therapy might be required.

求助全文
通过发布文献求助,成功后即可免费获取论文全文。 去求助
来源期刊
自引率
0.00%
发文量
0
×
引用
GB/T 7714-2015
复制
MLA
复制
APA
复制
导出至
BibTeX EndNote RefMan NoteFirst NoteExpress
×
提示
您的信息不完整,为了账户安全,请先补充。
现在去补充
×
提示
您因"违规操作"
具体请查看互助需知
我知道了
×
提示
确定
请完成安全验证×
copy
已复制链接
快去分享给好友吧!
我知道了
右上角分享
点击右上角分享
0
联系我们:info@booksci.cn Book学术提供免费学术资源搜索服务,方便国内外学者检索中英文文献。致力于提供最便捷和优质的服务体验。 Copyright © 2023 布克学术 All rights reserved.
京ICP备2023020795号-1
ghs 京公网安备 11010802042870号
Book学术文献互助
Book学术文献互助群
群 号:604180095
Book学术官方微信