臀部大骨外黏液软骨肉瘤的诊断和治疗:1例报告。

IF 0.7 Q3 MEDICINE, GENERAL & INTERNAL
Qing Hong Lai, Chun Mei Zhong, Xue Qi Sun, Hua Ye, Yan Zhang, Jia Jing Tu, Jun Feng Sun
{"title":"臀部大骨外黏液软骨肉瘤的诊断和治疗:1例报告。","authors":"Qing Hong Lai, Chun Mei Zhong, Xue Qi Sun, Hua Ye, Yan Zhang, Jia Jing Tu, Jun Feng Sun","doi":"10.12659/AJCR.947135","DOIUrl":null,"url":null,"abstract":"<p><p>BACKGROUND Extraskeletal chondrosarcoma is a rare soft tissue sarcoma with no characteristic imaging and clinical manifestations. Therefore, early preoperative diagnosis is difficult and ultimately depends on postoperative pathology and genetic diagnosis. CASE REPORT A 67-year-old man presented with a huge buttock tumor. The maximum transverse section length of the tumor was 40 cm. Due to the large size and long duration of the tumor, the tumor ruptured and invaded part of the sacrum. The preoperative diagnosis was not clear, the tumor was completely removed by surgery, and the wound was repaired. Adjuvant radiotherapy was given after surgery, and the prognosis was good. CONCLUSIONS This case report demonstrates the importance of radical surgical resection and postoperative adjuvant chemotherapy for the prognosis of extraosseous chondrosarcoma. It also suggests that sometimes the early diagnosis of this type of tumor is difficult, depending on postoperative pathology and genetic diagnosis.</p>","PeriodicalId":39064,"journal":{"name":"American Journal of Case Reports","volume":"26 ","pages":"e947135"},"PeriodicalIF":0.7000,"publicationDate":"2025-08-20","publicationTypes":"Journal Article","fieldsOfStudy":null,"isOpenAccess":false,"openAccessPdf":"https://www.ncbi.nlm.nih.gov/pmc/articles/PMC12376927/pdf/","citationCount":"0","resultStr":"{\"title\":\"Diagnosis and Management of Large Extraosseous Myxoid Chondrosarcoma of the Buttocks: A Case Report.\",\"authors\":\"Qing Hong Lai, Chun Mei Zhong, Xue Qi Sun, Hua Ye, Yan Zhang, Jia Jing Tu, Jun Feng Sun\",\"doi\":\"10.12659/AJCR.947135\",\"DOIUrl\":null,\"url\":null,\"abstract\":\"<p><p>BACKGROUND Extraskeletal chondrosarcoma is a rare soft tissue sarcoma with no characteristic imaging and clinical manifestations. Therefore, early preoperative diagnosis is difficult and ultimately depends on postoperative pathology and genetic diagnosis. CASE REPORT A 67-year-old man presented with a huge buttock tumor. The maximum transverse section length of the tumor was 40 cm. Due to the large size and long duration of the tumor, the tumor ruptured and invaded part of the sacrum. The preoperative diagnosis was not clear, the tumor was completely removed by surgery, and the wound was repaired. Adjuvant radiotherapy was given after surgery, and the prognosis was good. CONCLUSIONS This case report demonstrates the importance of radical surgical resection and postoperative adjuvant chemotherapy for the prognosis of extraosseous chondrosarcoma. It also suggests that sometimes the early diagnosis of this type of tumor is difficult, depending on postoperative pathology and genetic diagnosis.</p>\",\"PeriodicalId\":39064,\"journal\":{\"name\":\"American Journal of Case Reports\",\"volume\":\"26 \",\"pages\":\"e947135\"},\"PeriodicalIF\":0.7000,\"publicationDate\":\"2025-08-20\",\"publicationTypes\":\"Journal Article\",\"fieldsOfStudy\":null,\"isOpenAccess\":false,\"openAccessPdf\":\"https://www.ncbi.nlm.nih.gov/pmc/articles/PMC12376927/pdf/\",\"citationCount\":\"0\",\"resultStr\":null,\"platform\":\"Semanticscholar\",\"paperid\":null,\"PeriodicalName\":\"American Journal of Case Reports\",\"FirstCategoryId\":\"1085\",\"ListUrlMain\":\"https://doi.org/10.12659/AJCR.947135\",\"RegionNum\":0,\"RegionCategory\":null,\"ArticlePicture\":[],\"TitleCN\":null,\"AbstractTextCN\":null,\"PMCID\":null,\"EPubDate\":\"\",\"PubModel\":\"\",\"JCR\":\"Q3\",\"JCRName\":\"MEDICINE, GENERAL & INTERNAL\",\"Score\":null,\"Total\":0}","platform":"Semanticscholar","paperid":null,"PeriodicalName":"American Journal of Case Reports","FirstCategoryId":"1085","ListUrlMain":"https://doi.org/10.12659/AJCR.947135","RegionNum":0,"RegionCategory":null,"ArticlePicture":[],"TitleCN":null,"AbstractTextCN":null,"PMCID":null,"EPubDate":"","PubModel":"","JCR":"Q3","JCRName":"MEDICINE, GENERAL & INTERNAL","Score":null,"Total":0}
引用次数: 0

摘要

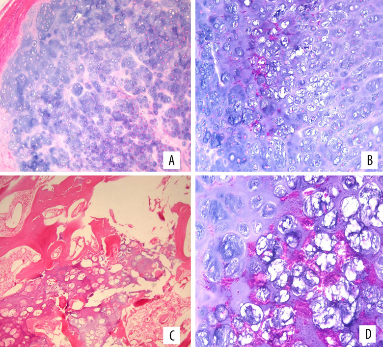
背景:骨外软骨肉瘤是一种罕见的软组织肉瘤,没有特征性的影像学和临床表现。因此,术前早期诊断是困难的,最终取决于术后病理和遗传诊断。病例报告:一名67岁男性,臀部出现巨大肿瘤。肿瘤横切面最大长度为40 cm。由于肿瘤体积大,持续时间长,肿瘤破裂并侵袭部分骶骨。术前诊断不明确,手术完全切除肿瘤,修复伤口。术后给予辅助放疗,预后良好。结论本病例报告表明根治性手术切除和术后辅助化疗对骨外软骨肉瘤预后的重要性。这也表明,有时早期诊断这种类型的肿瘤是困难的,取决于术后病理和遗传诊断。
本文章由计算机程序翻译,如有差异,请以英文原文为准。

Diagnosis and Management of Large Extraosseous Myxoid Chondrosarcoma of the Buttocks: A Case Report.

Diagnosis and Management of Large Extraosseous Myxoid Chondrosarcoma of the Buttocks: A Case Report.

Diagnosis and Management of Large Extraosseous Myxoid Chondrosarcoma of the Buttocks: A Case Report.

Diagnosis and Management of Large Extraosseous Myxoid Chondrosarcoma of the Buttocks: A Case Report.

BACKGROUND Extraskeletal chondrosarcoma is a rare soft tissue sarcoma with no characteristic imaging and clinical manifestations. Therefore, early preoperative diagnosis is difficult and ultimately depends on postoperative pathology and genetic diagnosis. CASE REPORT A 67-year-old man presented with a huge buttock tumor. The maximum transverse section length of the tumor was 40 cm. Due to the large size and long duration of the tumor, the tumor ruptured and invaded part of the sacrum. The preoperative diagnosis was not clear, the tumor was completely removed by surgery, and the wound was repaired. Adjuvant radiotherapy was given after surgery, and the prognosis was good. CONCLUSIONS This case report demonstrates the importance of radical surgical resection and postoperative adjuvant chemotherapy for the prognosis of extraosseous chondrosarcoma. It also suggests that sometimes the early diagnosis of this type of tumor is difficult, depending on postoperative pathology and genetic diagnosis.

求助全文
通过发布文献求助,成功后即可免费获取论文全文。 去求助
来源期刊
American Journal of Case Reports
American Journal of Case Reports Medicine-Medicine (all)
CiteScore
1.80
自引率
0.00%
发文量
599
期刊介绍: American Journal of Case Reports is an international, peer-reviewed scientific journal that publishes single and series case reports in all medical fields. American Journal of Case Reports is issued on a continuous basis as a primary electronic journal. Print copies of a single article or a set of articles can be ordered on demand.
×
引用
GB/T 7714-2015
复制
MLA
复制
APA
复制
导出至
BibTeX EndNote RefMan NoteFirst NoteExpress
×
提示
您的信息不完整,为了账户安全,请先补充。
现在去补充
×
提示
您因"违规操作"
具体请查看互助需知
我知道了
×
提示
确定
请完成安全验证×
copy
已复制链接
快去分享给好友吧!
我知道了
右上角分享
点击右上角分享
0
联系我们:info@booksci.cn Book学术提供免费学术资源搜索服务,方便国内外学者检索中英文文献。致力于提供最便捷和优质的服务体验。 Copyright © 2023 布克学术 All rights reserved.
京ICP备2023020795号-1
ghs 京公网安备 11010802042870号
Book学术文献互助
Book学术文献互助群
群 号:604180095
Book学术官方微信