无低钠血症的酒精使用障碍患者脑桥中央髓鞘溶解1例

IF 0.7 Q3 MEDICINE, GENERAL & INTERNAL
Anastasia Demina, Simon Amaral, Benjamin Petit, Vincent Meille, Yannick Béjot, Benoit Trojak
{"title":"无低钠血症的酒精使用障碍患者脑桥中央髓鞘溶解1例","authors":"Anastasia Demina, Simon Amaral, Benjamin Petit, Vincent Meille, Yannick Béjot, Benoit Trojak","doi":"10.12659/AJCR.947709","DOIUrl":null,"url":null,"abstract":"<p><p>BACKGROUND Central pontine myelinolysis (CPM) is an osmotic demyelination syndrome most commonly observed in patients with chronic hyponatremia who undergo rapid serum sodium correction. Risk factors for CPM include malnutrition, hypokalemia, advanced liver disease, hyperemesis gravidarum, and alcohol use disorder. In this case report, we present an unusual case of CPM in a 30-year-old man with alcohol use disorder who did not have hyponatremia during hospitalization and had no history of chronic hyponatremia. CASE REPORT A 30-year-old man was admitted to the hospital for alcohol detoxification. He presented with symptoms of alcohol withdrawal and distal lower-limb pain, accompanied by bilateral edema. After his withdrawal symptoms were controlled, persistent neurological abnormalities prompted an MRI, which revealed lesions suggestive of central pontine myelinolysis (CPM). The patient did not exhibit hyponatremia during his hospital stay. However, he had multiple previously identified risk factors for CPM, including significant alcohol consumption leading to malnutrition and refeeding syndrome-associated hypokalemia. The neurological exam performed 1 month after the onset of symptoms showed a favorable outcome without signs of dystonia or cerebellar syndrome, but with persistent left-wrist extrapyramidal rigidity. CONCLUSIONS This case report highlights the importance of a thorough neurological examination in patients with alcohol use disorder, to prevent falsely attributing neurological symptoms to alcohol intoxication. Clinicians should remain vigilant about the risk of CPM in patients with alcohol use disorder, even in the absence of hyponatremia, considering that other metabolic disturbances can contribute to its pathogenesis.</p>","PeriodicalId":39064,"journal":{"name":"American Journal of Case Reports","volume":"26 ","pages":"e947709"},"PeriodicalIF":0.7000,"publicationDate":"2025-08-19","publicationTypes":"Journal Article","fieldsOfStudy":null,"isOpenAccess":false,"openAccessPdf":"https://www.ncbi.nlm.nih.gov/pmc/articles/PMC12374554/pdf/","citationCount":"0","resultStr":"{\"title\":\"Central Pontine Myelinolysis in a Patient with Alcohol Use Disorder without Hyponatremia: A Case Report.\",\"authors\":\"Anastasia Demina, Simon Amaral, Benjamin Petit, Vincent Meille, Yannick Béjot, Benoit Trojak\",\"doi\":\"10.12659/AJCR.947709\",\"DOIUrl\":null,\"url\":null,\"abstract\":\"<p><p>BACKGROUND Central pontine myelinolysis (CPM) is an osmotic demyelination syndrome most commonly observed in patients with chronic hyponatremia who undergo rapid serum sodium correction. Risk factors for CPM include malnutrition, hypokalemia, advanced liver disease, hyperemesis gravidarum, and alcohol use disorder. In this case report, we present an unusual case of CPM in a 30-year-old man with alcohol use disorder who did not have hyponatremia during hospitalization and had no history of chronic hyponatremia. CASE REPORT A 30-year-old man was admitted to the hospital for alcohol detoxification. He presented with symptoms of alcohol withdrawal and distal lower-limb pain, accompanied by bilateral edema. After his withdrawal symptoms were controlled, persistent neurological abnormalities prompted an MRI, which revealed lesions suggestive of central pontine myelinolysis (CPM). The patient did not exhibit hyponatremia during his hospital stay. However, he had multiple previously identified risk factors for CPM, including significant alcohol consumption leading to malnutrition and refeeding syndrome-associated hypokalemia. The neurological exam performed 1 month after the onset of symptoms showed a favorable outcome without signs of dystonia or cerebellar syndrome, but with persistent left-wrist extrapyramidal rigidity. CONCLUSIONS This case report highlights the importance of a thorough neurological examination in patients with alcohol use disorder, to prevent falsely attributing neurological symptoms to alcohol intoxication. Clinicians should remain vigilant about the risk of CPM in patients with alcohol use disorder, even in the absence of hyponatremia, considering that other metabolic disturbances can contribute to its pathogenesis.</p>\",\"PeriodicalId\":39064,\"journal\":{\"name\":\"American Journal of Case Reports\",\"volume\":\"26 \",\"pages\":\"e947709\"},\"PeriodicalIF\":0.7000,\"publicationDate\":\"2025-08-19\",\"publicationTypes\":\"Journal Article\",\"fieldsOfStudy\":null,\"isOpenAccess\":false,\"openAccessPdf\":\"https://www.ncbi.nlm.nih.gov/pmc/articles/PMC12374554/pdf/\",\"citationCount\":\"0\",\"resultStr\":null,\"platform\":\"Semanticscholar\",\"paperid\":null,\"PeriodicalName\":\"American Journal of Case Reports\",\"FirstCategoryId\":\"1085\",\"ListUrlMain\":\"https://doi.org/10.12659/AJCR.947709\",\"RegionNum\":0,\"RegionCategory\":null,\"ArticlePicture\":[],\"TitleCN\":null,\"AbstractTextCN\":null,\"PMCID\":null,\"EPubDate\":\"\",\"PubModel\":\"\",\"JCR\":\"Q3\",\"JCRName\":\"MEDICINE, GENERAL & INTERNAL\",\"Score\":null,\"Total\":0}","platform":"Semanticscholar","paperid":null,"PeriodicalName":"American Journal of Case Reports","FirstCategoryId":"1085","ListUrlMain":"https://doi.org/10.12659/AJCR.947709","RegionNum":0,"RegionCategory":null,"ArticlePicture":[],"TitleCN":null,"AbstractTextCN":null,"PMCID":null,"EPubDate":"","PubModel":"","JCR":"Q3","JCRName":"MEDICINE, GENERAL & INTERNAL","Score":null,"Total":0}
引用次数: 0

摘要

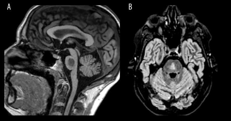
背景:桥脑中央髓鞘溶解(CPM)是一种渗透性脱髓鞘综合征,最常见于接受快速血清钠校正的慢性低钠血症患者。CPM的危险因素包括营养不良、低钾血症、晚期肝病、妊娠剧吐和酒精使用障碍。在这个病例报告中,我们提出了一个不寻常的CPM病例,在住院期间没有低钠血症,也没有慢性低钠血症史的30岁男性酒精使用障碍。病例报告一名30岁男子因酒精解毒入院。他表现出酒精戒断和下肢远端疼痛的症状,并伴有双侧水肿。在他的戒断症状得到控制后,持续的神经系统异常提示MRI,显示提示脑桥中央髓鞘溶解(CPM)的病变。患者住院期间未出现低钠血症。然而,他有多个先前确定的CPM危险因素,包括大量饮酒导致营养不良和再喂养综合征相关的低钾血症。出现症状1个月后进行神经学检查,结果良好,无肌张力障碍或小脑综合征的迹象,但有持续的左腕锥体外系僵硬。结论:本病例报告强调了对酒精使用障碍患者进行彻底的神经系统检查的重要性,以防止将神经系统症状错误地归因于酒精中毒。临床医生应该对酒精使用障碍患者发生CPM的风险保持警惕,即使在没有低钠血症的情况下,考虑到其他代谢紊乱也可能导致其发病机制。
本文章由计算机程序翻译,如有差异,请以英文原文为准。

Central Pontine Myelinolysis in a Patient with Alcohol Use Disorder without Hyponatremia: A Case Report.

Central Pontine Myelinolysis in a Patient with Alcohol Use Disorder without Hyponatremia: A Case Report.

BACKGROUND Central pontine myelinolysis (CPM) is an osmotic demyelination syndrome most commonly observed in patients with chronic hyponatremia who undergo rapid serum sodium correction. Risk factors for CPM include malnutrition, hypokalemia, advanced liver disease, hyperemesis gravidarum, and alcohol use disorder. In this case report, we present an unusual case of CPM in a 30-year-old man with alcohol use disorder who did not have hyponatremia during hospitalization and had no history of chronic hyponatremia. CASE REPORT A 30-year-old man was admitted to the hospital for alcohol detoxification. He presented with symptoms of alcohol withdrawal and distal lower-limb pain, accompanied by bilateral edema. After his withdrawal symptoms were controlled, persistent neurological abnormalities prompted an MRI, which revealed lesions suggestive of central pontine myelinolysis (CPM). The patient did not exhibit hyponatremia during his hospital stay. However, he had multiple previously identified risk factors for CPM, including significant alcohol consumption leading to malnutrition and refeeding syndrome-associated hypokalemia. The neurological exam performed 1 month after the onset of symptoms showed a favorable outcome without signs of dystonia or cerebellar syndrome, but with persistent left-wrist extrapyramidal rigidity. CONCLUSIONS This case report highlights the importance of a thorough neurological examination in patients with alcohol use disorder, to prevent falsely attributing neurological symptoms to alcohol intoxication. Clinicians should remain vigilant about the risk of CPM in patients with alcohol use disorder, even in the absence of hyponatremia, considering that other metabolic disturbances can contribute to its pathogenesis.

求助全文
通过发布文献求助,成功后即可免费获取论文全文。 去求助
来源期刊
American Journal of Case Reports
American Journal of Case Reports Medicine-Medicine (all)
CiteScore
1.80
自引率
0.00%
发文量
599
期刊介绍: American Journal of Case Reports is an international, peer-reviewed scientific journal that publishes single and series case reports in all medical fields. American Journal of Case Reports is issued on a continuous basis as a primary electronic journal. Print copies of a single article or a set of articles can be ordered on demand.
×
引用
GB/T 7714-2015
复制
MLA
复制
APA
复制
导出至
BibTeX EndNote RefMan NoteFirst NoteExpress
×
提示
您的信息不完整,为了账户安全,请先补充。
现在去补充
×
提示
您因"违规操作"
具体请查看互助需知
我知道了
×
提示
确定
请完成安全验证×
copy
已复制链接
快去分享给好友吧!
我知道了
右上角分享
点击右上角分享
0
联系我们:info@booksci.cn Book学术提供免费学术资源搜索服务,方便国内外学者检索中英文文献。致力于提供最便捷和优质的服务体验。 Copyright © 2023 布克学术 All rights reserved.
京ICP备2023020795号-1
ghs 京公网安备 11010802042870号
Book学术文献互助
Book学术文献互助群
群 号:604180095
Book学术官方微信