逆行静脉性脑空气栓塞性梗死的影像学表现:1例报告并文献复习。

IF 2.8 Q2 PERIPHERAL VASCULAR DISEASE
Vascular Health and Risk Management Pub Date : 2025-08-12 eCollection Date: 2025-01-01 DOI:10.2147/VHRM.S537865
Sabīne Teifurova, Kārlis Rācenis, Ģirts Freijs, Sigita Skrastina, Arturs Balodis
{"title":"逆行静脉性脑空气栓塞性梗死的影像学表现:1例报告并文献复习。","authors":"Sabīne Teifurova, Kārlis Rācenis, Ģirts Freijs, Sigita Skrastina, Arturs Balodis","doi":"10.2147/VHRM.S537865","DOIUrl":null,"url":null,"abstract":"<p><strong>Background: </strong>Cerebral air embolism infarction (CAEI) is a rare but life-threatening condition that can affect the venous or arterial blood supply to the brain. Its aetiology is mostly iatrogenic, often resulting from complications of cardiothoracic or neurosurgical procedures, as well as manipulations with peripheral or central catheters. If undiagnosed and untreated, cerebral air embolism infarction can lead to long-term neurological consequences or even death. Diagnosis relies on clinical presentation and neuroimaging findings from CT and MRI, which are time-sensitive and not well described in the current literature.</p><p><strong>Case presentation: </strong>We present a rare case of cerebral infarction as a complication of retrograde cerebral venous air embolism following haemodialysis catheter removal in a young patient, with management leading to a favourable outcome. The diagnosis was confirmed based on clinical manifestations and neuroimaging findings, with air emboli identified in the subarachnoid space on the CT scan, followed by characteristic MRI changes defined for cerebral air embolism infarcts. Timely diagnosis allowed for the rapid initiation of hyperbaric oxygen therapy and the rehabilitation process, resulting in positive outcomes.</p><p><strong>Conclusion: </strong>Timely neuroimaging-particularly CT within the first 2 hours-is critical for diagnosing CAEI. MRI findings, including cytotoxic and vasogenic oedema in a distal vascular distribution and leptomeningeal enhancement, further support diagnosis. Early identification and treatment initiation are essential for improving patient outcomes.</p>","PeriodicalId":23597,"journal":{"name":"Vascular Health and Risk Management","volume":"21 ","pages":"617-631"},"PeriodicalIF":2.8000,"publicationDate":"2025-08-12","publicationTypes":"Journal Article","fieldsOfStudy":null,"isOpenAccess":false,"openAccessPdf":"https://www.ncbi.nlm.nih.gov/pmc/articles/PMC12358500/pdf/","citationCount":"0","resultStr":"{\"title\":\"Radiological Findings of Retrograde Venous Cerebral Air Embolism Infarcts: A Case Report and Literature Review.\",\"authors\":\"Sabīne Teifurova, Kārlis Rācenis, Ģirts Freijs, Sigita Skrastina, Arturs Balodis\",\"doi\":\"10.2147/VHRM.S537865\",\"DOIUrl\":null,\"url\":null,\"abstract\":\"<p><strong>Background: </strong>Cerebral air embolism infarction (CAEI) is a rare but life-threatening condition that can affect the venous or arterial blood supply to the brain. Its aetiology is mostly iatrogenic, often resulting from complications of cardiothoracic or neurosurgical procedures, as well as manipulations with peripheral or central catheters. If undiagnosed and untreated, cerebral air embolism infarction can lead to long-term neurological consequences or even death. Diagnosis relies on clinical presentation and neuroimaging findings from CT and MRI, which are time-sensitive and not well described in the current literature.</p><p><strong>Case presentation: </strong>We present a rare case of cerebral infarction as a complication of retrograde cerebral venous air embolism following haemodialysis catheter removal in a young patient, with management leading to a favourable outcome. The diagnosis was confirmed based on clinical manifestations and neuroimaging findings, with air emboli identified in the subarachnoid space on the CT scan, followed by characteristic MRI changes defined for cerebral air embolism infarcts. Timely diagnosis allowed for the rapid initiation of hyperbaric oxygen therapy and the rehabilitation process, resulting in positive outcomes.</p><p><strong>Conclusion: </strong>Timely neuroimaging-particularly CT within the first 2 hours-is critical for diagnosing CAEI. MRI findings, including cytotoxic and vasogenic oedema in a distal vascular distribution and leptomeningeal enhancement, further support diagnosis. Early identification and treatment initiation are essential for improving patient outcomes.</p>\",\"PeriodicalId\":23597,\"journal\":{\"name\":\"Vascular Health and Risk Management\",\"volume\":\"21 \",\"pages\":\"617-631\"},\"PeriodicalIF\":2.8000,\"publicationDate\":\"2025-08-12\",\"publicationTypes\":\"Journal Article\",\"fieldsOfStudy\":null,\"isOpenAccess\":false,\"openAccessPdf\":\"https://www.ncbi.nlm.nih.gov/pmc/articles/PMC12358500/pdf/\",\"citationCount\":\"0\",\"resultStr\":null,\"platform\":\"Semanticscholar\",\"paperid\":null,\"PeriodicalName\":\"Vascular Health and Risk Management\",\"FirstCategoryId\":\"1085\",\"ListUrlMain\":\"https://doi.org/10.2147/VHRM.S537865\",\"RegionNum\":0,\"RegionCategory\":null,\"ArticlePicture\":[],\"TitleCN\":null,\"AbstractTextCN\":null,\"PMCID\":null,\"EPubDate\":\"2025/1/1 0:00:00\",\"PubModel\":\"eCollection\",\"JCR\":\"Q2\",\"JCRName\":\"PERIPHERAL VASCULAR DISEASE\",\"Score\":null,\"Total\":0}","platform":"Semanticscholar","paperid":null,"PeriodicalName":"Vascular Health and Risk Management","FirstCategoryId":"1085","ListUrlMain":"https://doi.org/10.2147/VHRM.S537865","RegionNum":0,"RegionCategory":null,"ArticlePicture":[],"TitleCN":null,"AbstractTextCN":null,"PMCID":null,"EPubDate":"2025/1/1 0:00:00","PubModel":"eCollection","JCR":"Q2","JCRName":"PERIPHERAL VASCULAR DISEASE","Score":null,"Total":0}
引用次数: 0

摘要

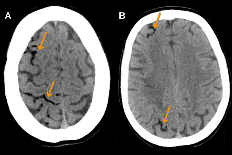
背景:脑空气栓塞性梗死(CAEI)是一种罕见但危及生命的疾病,可影响大脑的静脉或动脉血液供应。其病因主要是医源性的,通常由心胸或神经外科手术的并发症以及外周或中心导管的操作引起。如果未经诊断和治疗,脑空气栓塞梗塞可导致长期神经系统后果甚至死亡。诊断依赖于临床表现和CT和MRI的神经影像学结果,这是时间敏感的,目前文献中没有很好的描述。病例介绍:我们报告了一例罕见的脑梗死病例,作为血液透析导管移除后逆行脑静脉空气栓塞的并发症,治疗导致了良好的结果。根据临床表现和神经影像学发现,CT扫描发现蛛网膜下腔空气栓塞,随后MRI特征性改变确定为脑空气栓塞性梗死。及时诊断允许快速启动高压氧治疗和康复过程,产生积极的结果。结论:及时的神经影像学检查,尤其是前2小时内的CT检查,对诊断CAEI至关重要。MRI发现,包括远端血管分布的细胞毒性和血管源性水肿,以及脑膜薄增强,进一步支持诊断。早期识别和开始治疗对于改善患者预后至关重要。
本文章由计算机程序翻译,如有差异,请以英文原文为准。

Radiological Findings of Retrograde Venous Cerebral Air Embolism Infarcts: A Case Report and Literature Review.

Radiological Findings of Retrograde Venous Cerebral Air Embolism Infarcts: A Case Report and Literature Review.

Radiological Findings of Retrograde Venous Cerebral Air Embolism Infarcts: A Case Report and Literature Review.

Radiological Findings of Retrograde Venous Cerebral Air Embolism Infarcts: A Case Report and Literature Review.

Background: Cerebral air embolism infarction (CAEI) is a rare but life-threatening condition that can affect the venous or arterial blood supply to the brain. Its aetiology is mostly iatrogenic, often resulting from complications of cardiothoracic or neurosurgical procedures, as well as manipulations with peripheral or central catheters. If undiagnosed and untreated, cerebral air embolism infarction can lead to long-term neurological consequences or even death. Diagnosis relies on clinical presentation and neuroimaging findings from CT and MRI, which are time-sensitive and not well described in the current literature.

Case presentation: We present a rare case of cerebral infarction as a complication of retrograde cerebral venous air embolism following haemodialysis catheter removal in a young patient, with management leading to a favourable outcome. The diagnosis was confirmed based on clinical manifestations and neuroimaging findings, with air emboli identified in the subarachnoid space on the CT scan, followed by characteristic MRI changes defined for cerebral air embolism infarcts. Timely diagnosis allowed for the rapid initiation of hyperbaric oxygen therapy and the rehabilitation process, resulting in positive outcomes.

Conclusion: Timely neuroimaging-particularly CT within the first 2 hours-is critical for diagnosing CAEI. MRI findings, including cytotoxic and vasogenic oedema in a distal vascular distribution and leptomeningeal enhancement, further support diagnosis. Early identification and treatment initiation are essential for improving patient outcomes.

求助全文
通过发布文献求助,成功后即可免费获取论文全文。 去求助
来源期刊
Vascular Health and Risk Management
Vascular Health and Risk Management PERIPHERAL VASCULAR DISEASE-
CiteScore
4.20
自引率
3.40%
发文量
109
审稿时长
16 weeks
期刊介绍: An international, peer-reviewed journal of therapeutics and risk management, focusing on concise rapid reporting of clinical studies on the processes involved in the maintenance of vascular health; the monitoring, prevention, and treatment of vascular disease and its sequelae; and the involvement of metabolic disorders, particularly diabetes. In addition, the journal will also seek to define drug usage in terms of ultimate uptake and acceptance by the patient and healthcare professional.
×
引用
GB/T 7714-2015
复制
MLA
复制
APA
复制
导出至
BibTeX EndNote RefMan NoteFirst NoteExpress
×
提示
您的信息不完整,为了账户安全,请先补充。
现在去补充
×
提示
您因"违规操作"
具体请查看互助需知
我知道了
×
提示
确定
请完成安全验证×
copy
已复制链接
快去分享给好友吧!
我知道了
右上角分享
点击右上角分享
0
联系我们:info@booksci.cn Book学术提供免费学术资源搜索服务,方便国内外学者检索中英文文献。致力于提供最便捷和优质的服务体验。 Copyright © 2023 布克学术 All rights reserved.
京ICP备2023020795号-1
ghs 京公网安备 11010802042870号
Book学术文献互助
Book学术文献互助群
群 号:604180095
Book学术官方微信