三氯化铵(AS101)对化疗药物阿霉素致大鼠卵巢损伤的保护作用。

IF 4.2 3区 医学 Q1 REPRODUCTIVE BIOLOGY
Yumeng Zhai, Yaoyang Zhang, Yachai Li, Min Geng, Gaoyuan Liu, Liwei Yan, Jinfang Hu, Yuanmei Deng, Jiming Chen, Zhihui Cai
{"title":"三氯化铵(AS101)对化疗药物阿霉素致大鼠卵巢损伤的保护作用。","authors":"Yumeng Zhai, Yaoyang Zhang, Yachai Li, Min Geng, Gaoyuan Liu, Liwei Yan, Jinfang Hu, Yuanmei Deng, Jiming Chen, Zhihui Cai","doi":"10.1186/s13048-025-01709-z","DOIUrl":null,"url":null,"abstract":"<p><strong>Objective: </strong>To investigate the protective effect of ammonium trichloride tellurate (AS101) on doxorubicin induced ovarian function damage in rats.</p><p><strong>Methods: </strong>Eighteen female SD rats were randomly divided into three groups with 6 rats in each group: group A blank control group (0.9% normal saline 0.1 ml intraperitoneally for 21 consecutive days), group B (0.9% normal saline 0.1 ml intraperitoneally for 5 days, doxorubicin 10 mg / kg intraperitoneally on day 6, and continued to be injected with normal saline for 15 days), group C (0.9% normal saline 0.1 ml intraperitoneally for 5 days, doxorubicin 10 mg / kg intraperitoneally on day 6, and continued to be injected with AS101 twice every other day). The contents to be recorded by the operator team include: (1) before operation: ① observe the general state of rats in each group and record the weight of rats. ② Vaginal smears of rats in each group were observed at the same time every day to observe the estrous cycle of rats. (2) After operation: ① observe the general state of rats in each group, read the weight of rats, and record the data Vaginal smears of rats in each group were observed at the same time every day after operation to observe the estrous cycle of rats. ③ At the end of the postoperative observation period, blood samples were taken from the tail of rats to measure the serum levels of estrogen 2 (E2), follicle stimulating hormone (FSH), and anti-M ü llerian hormone (AMH). ④ At the end of the observation period, the animals were sacrificed to observe the development of bilateral ovarian follicles. ⑤ At the end of the observation period, blood was taken from the abdominal aorta of rats after anesthesia, and the upper serum was separated after centrifugation at 3000 rpm. The levels of malondialdehyde (MDA), superoxide dismutase (SOD) and reactive oxygen species (ROS) were measured according to the operation methods of the kit instructions.</p><p><strong>Result: </strong>The body weight of rats in group B was significantly lower than that in group A, while that in group C was significantly higher than that in group B (P < 0.05). The estrous cycle of rats in group B was disordered, and the estrous cycle of rats in group C was restored regularly (P < 0.05). The serum estradiol(E2) and AMH levels in group C were significantly higher than those in group B, and the FSH level was significantly lower than that in group B. Compared with group B, the number of primary follicles increased and the number of atretic follicles decreased in group C (P < 0.05). The SOD level in group B was lower than that in group A, and that in group C was higher than that in group B (P < 0.05). The levels of MDA and ROS in group B were higher than those in group A (P < 0.05), while those in group C were lower than those in group B (P < 0.05).</p><p><strong>Conclusion: </strong>AS101 can protect the damage of doxorubicin on ovarian function in rats, and its mechanism is related to its antioxidant effect.</p><p><strong>Clinical trial number: </strong>Not applicable.</p>","PeriodicalId":16610,"journal":{"name":"Journal of Ovarian Research","volume":"18 1","pages":"190"},"PeriodicalIF":4.2000,"publicationDate":"2025-08-19","publicationTypes":"Journal Article","fieldsOfStudy":null,"isOpenAccess":false,"openAccessPdf":"https://www.ncbi.nlm.nih.gov/pmc/articles/PMC12363043/pdf/","citationCount":"0","resultStr":"{\"title\":\"Protective effect of ammonium trichloride tellurate (AS101) on ovarian injury induced by chemotherapy drug doxorubicin in rats.\",\"authors\":\"Yumeng Zhai, Yaoyang Zhang, Yachai Li, Min Geng, Gaoyuan Liu, Liwei Yan, Jinfang Hu, Yuanmei Deng, Jiming Chen, Zhihui Cai\",\"doi\":\"10.1186/s13048-025-01709-z\",\"DOIUrl\":null,\"url\":null,\"abstract\":\"<p><strong>Objective: </strong>To investigate the protective effect of ammonium trichloride tellurate (AS101) on doxorubicin induced ovarian function damage in rats.</p><p><strong>Methods: </strong>Eighteen female SD rats were randomly divided into three groups with 6 rats in each group: group A blank control group (0.9% normal saline 0.1 ml intraperitoneally for 21 consecutive days), group B (0.9% normal saline 0.1 ml intraperitoneally for 5 days, doxorubicin 10 mg / kg intraperitoneally on day 6, and continued to be injected with normal saline for 15 days), group C (0.9% normal saline 0.1 ml intraperitoneally for 5 days, doxorubicin 10 mg / kg intraperitoneally on day 6, and continued to be injected with AS101 twice every other day). The contents to be recorded by the operator team include: (1) before operation: ① observe the general state of rats in each group and record the weight of rats. ② Vaginal smears of rats in each group were observed at the same time every day to observe the estrous cycle of rats. (2) After operation: ① observe the general state of rats in each group, read the weight of rats, and record the data Vaginal smears of rats in each group were observed at the same time every day after operation to observe the estrous cycle of rats. ③ At the end of the postoperative observation period, blood samples were taken from the tail of rats to measure the serum levels of estrogen 2 (E2), follicle stimulating hormone (FSH), and anti-M ü llerian hormone (AMH). ④ At the end of the observation period, the animals were sacrificed to observe the development of bilateral ovarian follicles. ⑤ At the end of the observation period, blood was taken from the abdominal aorta of rats after anesthesia, and the upper serum was separated after centrifugation at 3000 rpm. The levels of malondialdehyde (MDA), superoxide dismutase (SOD) and reactive oxygen species (ROS) were measured according to the operation methods of the kit instructions.</p><p><strong>Result: </strong>The body weight of rats in group B was significantly lower than that in group A, while that in group C was significantly higher than that in group B (P < 0.05). The estrous cycle of rats in group B was disordered, and the estrous cycle of rats in group C was restored regularly (P < 0.05). The serum estradiol(E2) and AMH levels in group C were significantly higher than those in group B, and the FSH level was significantly lower than that in group B. Compared with group B, the number of primary follicles increased and the number of atretic follicles decreased in group C (P < 0.05). The SOD level in group B was lower than that in group A, and that in group C was higher than that in group B (P < 0.05). The levels of MDA and ROS in group B were higher than those in group A (P < 0.05), while those in group C were lower than those in group B (P < 0.05).</p><p><strong>Conclusion: </strong>AS101 can protect the damage of doxorubicin on ovarian function in rats, and its mechanism is related to its antioxidant effect.</p><p><strong>Clinical trial number: </strong>Not applicable.</p>\",\"PeriodicalId\":16610,\"journal\":{\"name\":\"Journal of Ovarian Research\",\"volume\":\"18 1\",\"pages\":\"190\"},\"PeriodicalIF\":4.2000,\"publicationDate\":\"2025-08-19\",\"publicationTypes\":\"Journal Article\",\"fieldsOfStudy\":null,\"isOpenAccess\":false,\"openAccessPdf\":\"https://www.ncbi.nlm.nih.gov/pmc/articles/PMC12363043/pdf/\",\"citationCount\":\"0\",\"resultStr\":null,\"platform\":\"Semanticscholar\",\"paperid\":null,\"PeriodicalName\":\"Journal of Ovarian Research\",\"FirstCategoryId\":\"3\",\"ListUrlMain\":\"https://doi.org/10.1186/s13048-025-01709-z\",\"RegionNum\":3,\"RegionCategory\":\"医学\",\"ArticlePicture\":[],\"TitleCN\":null,\"AbstractTextCN\":null,\"PMCID\":null,\"EPubDate\":\"\",\"PubModel\":\"\",\"JCR\":\"Q1\",\"JCRName\":\"REPRODUCTIVE BIOLOGY\",\"Score\":null,\"Total\":0}","platform":"Semanticscholar","paperid":null,"PeriodicalName":"Journal of Ovarian Research","FirstCategoryId":"3","ListUrlMain":"https://doi.org/10.1186/s13048-025-01709-z","RegionNum":3,"RegionCategory":"医学","ArticlePicture":[],"TitleCN":null,"AbstractTextCN":null,"PMCID":null,"EPubDate":"","PubModel":"","JCR":"Q1","JCRName":"REPRODUCTIVE BIOLOGY","Score":null,"Total":0}
引用次数: 0

摘要

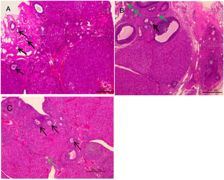
目的:探讨盐酸三氯化铵(AS101)对阿霉素致大鼠卵巢功能损伤的保护作用。方法:雌性SD大鼠18只,随机分为3组,每组6只;组一个空白对照组(0.9%生理盐水0.1毫升腹腔连续21天),B组(0.9%生理盐水腹腔内5天0.1毫升、阿霉素10毫克/公斤腹腔内6天,并继续注射生理盐水15天),C组(0.9%生理盐水腹腔内5天0.1毫升、阿霉素10毫克/公斤腹腔内6天,并继续注射AS101每隔一天两次)。操作者组记录的内容包括:(1)术前:①观察各组大鼠一般状态,记录大鼠体重。②每天同一时间观察各组大鼠阴道涂片,观察大鼠的发情周期。(2)术后:①观察各组大鼠一般状态,读取大鼠体重,记录数据术后每天同一时间观察各组大鼠阴道涂片,观察大鼠发情周期。③术后观察期结束时,取大鼠尾部血样,测定血清雌激素2 (E2)、促卵泡激素(FSH)、抗m ü勒氏激素(AMH)水平。④观察期结束后处死,观察双侧卵泡发育情况。⑤观察期结束时,麻醉后大鼠腹主动脉取血,3000rpm离心后分离上血清。根据试剂盒说明书操作方法测定丙二醛(MDA)、超氧化物歧化酶(SOD)、活性氧(ROS)水平。结果:B组大鼠体重显著低于A组,C组大鼠体重显著高于B组(P)结论:AS101可保护阿霉素对大鼠卵巢功能的损害,其机制与其抗氧化作用有关。临床试验号:不适用。
本文章由计算机程序翻译,如有差异,请以英文原文为准。

Protective effect of ammonium trichloride tellurate (AS101) on ovarian injury induced by chemotherapy drug doxorubicin in rats.

Protective effect of ammonium trichloride tellurate (AS101) on ovarian injury induced by chemotherapy drug doxorubicin in rats.

Protective effect of ammonium trichloride tellurate (AS101) on ovarian injury induced by chemotherapy drug doxorubicin in rats.

Protective effect of ammonium trichloride tellurate (AS101) on ovarian injury induced by chemotherapy drug doxorubicin in rats.

Objective: To investigate the protective effect of ammonium trichloride tellurate (AS101) on doxorubicin induced ovarian function damage in rats.

Methods: Eighteen female SD rats were randomly divided into three groups with 6 rats in each group: group A blank control group (0.9% normal saline 0.1 ml intraperitoneally for 21 consecutive days), group B (0.9% normal saline 0.1 ml intraperitoneally for 5 days, doxorubicin 10 mg / kg intraperitoneally on day 6, and continued to be injected with normal saline for 15 days), group C (0.9% normal saline 0.1 ml intraperitoneally for 5 days, doxorubicin 10 mg / kg intraperitoneally on day 6, and continued to be injected with AS101 twice every other day). The contents to be recorded by the operator team include: (1) before operation: ① observe the general state of rats in each group and record the weight of rats. ② Vaginal smears of rats in each group were observed at the same time every day to observe the estrous cycle of rats. (2) After operation: ① observe the general state of rats in each group, read the weight of rats, and record the data Vaginal smears of rats in each group were observed at the same time every day after operation to observe the estrous cycle of rats. ③ At the end of the postoperative observation period, blood samples were taken from the tail of rats to measure the serum levels of estrogen 2 (E2), follicle stimulating hormone (FSH), and anti-M ü llerian hormone (AMH). ④ At the end of the observation period, the animals were sacrificed to observe the development of bilateral ovarian follicles. ⑤ At the end of the observation period, blood was taken from the abdominal aorta of rats after anesthesia, and the upper serum was separated after centrifugation at 3000 rpm. The levels of malondialdehyde (MDA), superoxide dismutase (SOD) and reactive oxygen species (ROS) were measured according to the operation methods of the kit instructions.

Result: The body weight of rats in group B was significantly lower than that in group A, while that in group C was significantly higher than that in group B (P < 0.05). The estrous cycle of rats in group B was disordered, and the estrous cycle of rats in group C was restored regularly (P < 0.05). The serum estradiol(E2) and AMH levels in group C were significantly higher than those in group B, and the FSH level was significantly lower than that in group B. Compared with group B, the number of primary follicles increased and the number of atretic follicles decreased in group C (P < 0.05). The SOD level in group B was lower than that in group A, and that in group C was higher than that in group B (P < 0.05). The levels of MDA and ROS in group B were higher than those in group A (P < 0.05), while those in group C were lower than those in group B (P < 0.05).

Conclusion: AS101 can protect the damage of doxorubicin on ovarian function in rats, and its mechanism is related to its antioxidant effect.

Clinical trial number: Not applicable.

求助全文
通过发布文献求助,成功后即可免费获取论文全文。 去求助
来源期刊
Journal of Ovarian Research
Journal of Ovarian Research REPRODUCTIVE BIOLOGY-
CiteScore
6.20
自引率
2.50%
发文量
125
审稿时长
>12 weeks
期刊介绍: Journal of Ovarian Research is an open access, peer reviewed, online journal that aims to provide a forum for high-quality basic and clinical research on ovarian function, abnormalities, and cancer. The journal focuses on research that provides new insights into ovarian functions as well as prevention and treatment of diseases afflicting the organ. Topical areas include, but are not restricted to: Ovary development, hormone secretion and regulation Follicle growth and ovulation Infertility and Polycystic ovarian syndrome Regulation of pituitary and other biological functions by ovarian hormones Ovarian cancer, its prevention, diagnosis and treatment Drug development and screening Role of stem cells in ovary development and function.
×
引用
GB/T 7714-2015
复制
MLA
复制
APA
复制
导出至
BibTeX EndNote RefMan NoteFirst NoteExpress
×
提示
您的信息不完整,为了账户安全,请先补充。
现在去补充
×
提示
您因"违规操作"
具体请查看互助需知
我知道了
×
提示
确定
请完成安全验证×
copy
已复制链接
快去分享给好友吧!
我知道了
右上角分享
点击右上角分享
0
联系我们:info@booksci.cn Book学术提供免费学术资源搜索服务,方便国内外学者检索中英文文献。致力于提供最便捷和优质的服务体验。 Copyright © 2023 布克学术 All rights reserved.
京ICP备2023020795号-1
ghs 京公网安备 11010802042870号
Book学术文献互助
Book学术文献互助群
群 号:604180095
Book学术官方微信