带“B”的MALToma -不是良性的,而是支气管相关的:一例罕见的支气管相关淋巴组织淋巴瘤

IF 0.8 Q3 MEDICINE, GENERAL & INTERNAL
Maneesh Gaddam, Dedeepya Gullapalli, Shyam Ganti, Sunil Badami, Kinnera Sahithi Urlapu
{"title":"带“B”的MALToma -不是良性的,而是支气管相关的:一例罕见的支气管相关淋巴组织淋巴瘤","authors":"Maneesh Gaddam, Dedeepya Gullapalli, Shyam Ganti, Sunil Badami, Kinnera Sahithi Urlapu","doi":"10.1177/23247096251366125","DOIUrl":null,"url":null,"abstract":"<p><p>Bronchus-associated lymphoid tissue (BALT) lymphoma is a rare subtype of extra-nodal marginal zone B-cell lymphomas, accounting for less than 5% of cases. It is typically indolent and often discovered incidentally through imaging studies performed for unrelated reasons. We present the case of a 72-year-old male with a known history of thoracic aortic dilatation, who was found to have a spiculated right upper lobe (RUL) pulmonary nodule on surveillance imaging. He remained asymptomatic, with no constitutional or respiratory symptoms. Positron emission tomography imaging demonstrated mildly increased uptake (standardized uptake value 2.4) of the RUL nodule, and no mediastinal or hilar lymphadenopathy. Bronchoscopic biopsy with histopathology and immunohistochemistry revealed a low-grade B-cell non-Hodgkin's lymphoma, with CD20 and BCL2 positivity. Flow cytometry confirmed monoclonal B-cell proliferation, and fluorescence in situ hybridization analysis identified the BIRC3-MALT1 translocation, consistent with BALT lymphoma. The patient was staged as IE, and a decision was made for conservative management with active surveillance, given the localized and asymptomatic nature of his disease. While treatment options may include surgery, radiotherapy, immunotherapy, or chemotherapy, there is no consensus on the optimal approach due to the rarity and heterogeneous presentation of this lymphoma. In many early-stage cases without symptoms, a \"watch and wait\" strategy is reasonable. This case underscores the importance of including BALT lymphoma in the differential diagnosis of incidental pulmonary nodules and highlights the need for greater awareness and research to establish standardized treatment protocols, with each case adding valuable insight to guide future management strategies.</p>","PeriodicalId":16198,"journal":{"name":"Journal of investigative medicine high impact case reports","volume":"13 ","pages":"23247096251366125"},"PeriodicalIF":0.8000,"publicationDate":"2025-01-01","publicationTypes":"Journal Article","fieldsOfStudy":null,"isOpenAccess":false,"openAccessPdf":"https://www.ncbi.nlm.nih.gov/pmc/articles/PMC12368405/pdf/","citationCount":"0","resultStr":"{\"title\":\"MALToma with a 'B'-Not for Benign, but for Bronchus-Associated: A Rare Case of Bronchus-Associated Lymphoid Tissue Lymphoma.\",\"authors\":\"Maneesh Gaddam, Dedeepya Gullapalli, Shyam Ganti, Sunil Badami, Kinnera Sahithi Urlapu\",\"doi\":\"10.1177/23247096251366125\",\"DOIUrl\":null,\"url\":null,\"abstract\":\"<p><p>Bronchus-associated lymphoid tissue (BALT) lymphoma is a rare subtype of extra-nodal marginal zone B-cell lymphomas, accounting for less than 5% of cases. It is typically indolent and often discovered incidentally through imaging studies performed for unrelated reasons. We present the case of a 72-year-old male with a known history of thoracic aortic dilatation, who was found to have a spiculated right upper lobe (RUL) pulmonary nodule on surveillance imaging. He remained asymptomatic, with no constitutional or respiratory symptoms. Positron emission tomography imaging demonstrated mildly increased uptake (standardized uptake value 2.4) of the RUL nodule, and no mediastinal or hilar lymphadenopathy. Bronchoscopic biopsy with histopathology and immunohistochemistry revealed a low-grade B-cell non-Hodgkin's lymphoma, with CD20 and BCL2 positivity. Flow cytometry confirmed monoclonal B-cell proliferation, and fluorescence in situ hybridization analysis identified the BIRC3-MALT1 translocation, consistent with BALT lymphoma. The patient was staged as IE, and a decision was made for conservative management with active surveillance, given the localized and asymptomatic nature of his disease. While treatment options may include surgery, radiotherapy, immunotherapy, or chemotherapy, there is no consensus on the optimal approach due to the rarity and heterogeneous presentation of this lymphoma. In many early-stage cases without symptoms, a \\\"watch and wait\\\" strategy is reasonable. This case underscores the importance of including BALT lymphoma in the differential diagnosis of incidental pulmonary nodules and highlights the need for greater awareness and research to establish standardized treatment protocols, with each case adding valuable insight to guide future management strategies.</p>\",\"PeriodicalId\":16198,\"journal\":{\"name\":\"Journal of investigative medicine high impact case reports\",\"volume\":\"13 \",\"pages\":\"23247096251366125\"},\"PeriodicalIF\":0.8000,\"publicationDate\":\"2025-01-01\",\"publicationTypes\":\"Journal Article\",\"fieldsOfStudy\":null,\"isOpenAccess\":false,\"openAccessPdf\":\"https://www.ncbi.nlm.nih.gov/pmc/articles/PMC12368405/pdf/\",\"citationCount\":\"0\",\"resultStr\":null,\"platform\":\"Semanticscholar\",\"paperid\":null,\"PeriodicalName\":\"Journal of investigative medicine high impact case reports\",\"FirstCategoryId\":\"1085\",\"ListUrlMain\":\"https://doi.org/10.1177/23247096251366125\",\"RegionNum\":0,\"RegionCategory\":null,\"ArticlePicture\":[],\"TitleCN\":null,\"AbstractTextCN\":null,\"PMCID\":null,\"EPubDate\":\"2025/8/20 0:00:00\",\"PubModel\":\"Epub\",\"JCR\":\"Q3\",\"JCRName\":\"MEDICINE, GENERAL & INTERNAL\",\"Score\":null,\"Total\":0}","platform":"Semanticscholar","paperid":null,"PeriodicalName":"Journal of investigative medicine high impact case reports","FirstCategoryId":"1085","ListUrlMain":"https://doi.org/10.1177/23247096251366125","RegionNum":0,"RegionCategory":null,"ArticlePicture":[],"TitleCN":null,"AbstractTextCN":null,"PMCID":null,"EPubDate":"2025/8/20 0:00:00","PubModel":"Epub","JCR":"Q3","JCRName":"MEDICINE, GENERAL & INTERNAL","Score":null,"Total":0}
引用次数: 0

摘要

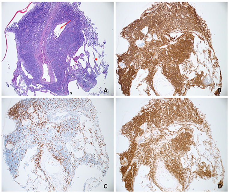
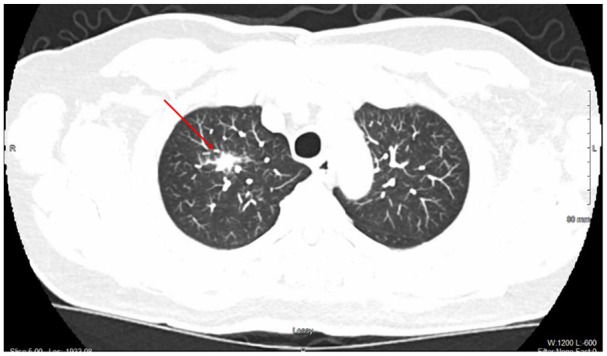
支气管相关淋巴组织(BALT)淋巴瘤是结外边缘区b细胞淋巴瘤的一种罕见亚型,占不到5%的病例。它通常是惰性的,通常是由于不相关的原因通过影像学检查偶然发现的。我们提出的情况下,一个72岁的男性胸主动脉扩张史已知,谁被发现有一个针状右上叶(RUL)肺结节的监测成像。他仍然无症状,没有体质或呼吸道症状。正电子发射断层成像显示RUL结节摄取轻度增加(标准化摄取值2.4),未见纵隔或肝门淋巴结病变。支气管镜活检,组织病理学和免疫组织化学显示低级别b细胞非霍奇金淋巴瘤,CD20和BCL2阳性。流式细胞术证实单克隆b细胞增生,荧光原位杂交分析证实BIRC3-MALT1易位,与BALT淋巴瘤一致。患者分期为IE,考虑到其疾病的局限性和无症状性,决定采取保守治疗和主动监测。虽然治疗方案可能包括手术、放疗、免疫治疗或化疗,但由于这种淋巴瘤的罕见性和异质性,对最佳方法尚无共识。在许多没有症状的早期病例中,“观察和等待”策略是合理的。该病例强调了将BALT淋巴瘤纳入偶发性肺结节鉴别诊断的重要性,并强调了提高认识和研究以建立标准化治疗方案的必要性,每个病例都为指导未来的管理策略提供了有价值的见解。
本文章由计算机程序翻译,如有差异,请以英文原文为准。

MALToma with a 'B'-Not for Benign, but for Bronchus-Associated: A Rare Case of Bronchus-Associated Lymphoid Tissue Lymphoma.

MALToma with a 'B'-Not for Benign, but for Bronchus-Associated: A Rare Case of Bronchus-Associated Lymphoid Tissue Lymphoma.

MALToma with a 'B'-Not for Benign, but for Bronchus-Associated: A Rare Case of Bronchus-Associated Lymphoid Tissue Lymphoma.

MALToma with a 'B'-Not for Benign, but for Bronchus-Associated: A Rare Case of Bronchus-Associated Lymphoid Tissue Lymphoma.

Bronchus-associated lymphoid tissue (BALT) lymphoma is a rare subtype of extra-nodal marginal zone B-cell lymphomas, accounting for less than 5% of cases. It is typically indolent and often discovered incidentally through imaging studies performed for unrelated reasons. We present the case of a 72-year-old male with a known history of thoracic aortic dilatation, who was found to have a spiculated right upper lobe (RUL) pulmonary nodule on surveillance imaging. He remained asymptomatic, with no constitutional or respiratory symptoms. Positron emission tomography imaging demonstrated mildly increased uptake (standardized uptake value 2.4) of the RUL nodule, and no mediastinal or hilar lymphadenopathy. Bronchoscopic biopsy with histopathology and immunohistochemistry revealed a low-grade B-cell non-Hodgkin's lymphoma, with CD20 and BCL2 positivity. Flow cytometry confirmed monoclonal B-cell proliferation, and fluorescence in situ hybridization analysis identified the BIRC3-MALT1 translocation, consistent with BALT lymphoma. The patient was staged as IE, and a decision was made for conservative management with active surveillance, given the localized and asymptomatic nature of his disease. While treatment options may include surgery, radiotherapy, immunotherapy, or chemotherapy, there is no consensus on the optimal approach due to the rarity and heterogeneous presentation of this lymphoma. In many early-stage cases without symptoms, a "watch and wait" strategy is reasonable. This case underscores the importance of including BALT lymphoma in the differential diagnosis of incidental pulmonary nodules and highlights the need for greater awareness and research to establish standardized treatment protocols, with each case adding valuable insight to guide future management strategies.

求助全文
通过发布文献求助,成功后即可免费获取论文全文。 去求助
来源期刊
CiteScore
1.90
自引率
0.00%
发文量
165
审稿时长
12 weeks
期刊介绍: The AFMR is committed to enhancing the training and career development of our members and to furthering its mission to facilitate the conduct of research to improve medical care. Case reports represent an important avenue for trainees (interns, residents, and fellows) and early-stage faculty to demonstrate productive, scholarly activity.
×
引用
GB/T 7714-2015
复制
MLA
复制
APA
复制
导出至
BibTeX EndNote RefMan NoteFirst NoteExpress
×
提示
您的信息不完整,为了账户安全,请先补充。
现在去补充
×
提示
您因"违规操作"
具体请查看互助需知
我知道了
×
提示
确定
请完成安全验证×
copy
已复制链接
快去分享给好友吧!
我知道了
右上角分享
点击右上角分享
0
联系我们:info@booksci.cn Book学术提供免费学术资源搜索服务,方便国内外学者检索中英文文献。致力于提供最便捷和优质的服务体验。 Copyright © 2023 布克学术 All rights reserved.
京ICP备2023020795号-1
ghs 京公网安备 11010802042870号
Book学术文献互助
Book学术文献互助群
群 号:604180095
Book学术官方微信