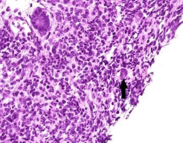
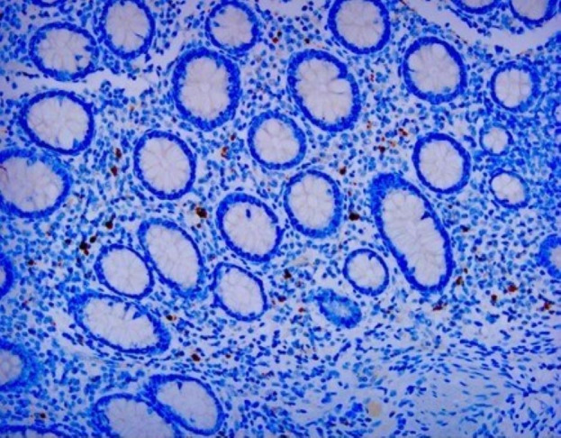
病理证实了腺病毒感染与肠套叠的关系。

IF 2 4区 医学 Q2 PATHOLOGY
Lung-Huang Lin, Chi-Jung Huang, Cheng-Yu Lo, Yu-Hsien Lee, Yung-Chuan Chen
{"title":"病理证实了腺病毒感染与肠套叠的关系。","authors":"Lung-Huang Lin, Chi-Jung Huang, Cheng-Yu Lo, Yu-Hsien Lee, Yung-Chuan Chen","doi":"10.1136/jcp-2025-210194","DOIUrl":null,"url":null,"abstract":"<p><strong>Aims: </strong>Although some cases of intussusception in older children are associated with pathological changes such as lymphoma or polyps, the cause of most cases in infants is unknown. Several reports have identified an association between adenovirus infection and intussusception in children. However, much of the evidence is indirect, such as stool samples or throat swab data. Our study analysed intestinal tissue, which may be more direct evidence of the relationship between adenovirus infection and intussusception.</p><p><strong>Methods: </strong>We retrospectively reviewed children<6 years of age with intussusception who underwent surgery for failed reduction. The pathological tissue was processed into formalin-fixed paraffin-embedded (FFPE) sections. Adenovirus immunohistochemistry (IHC) and PCR testing were performed to obtain direct evidence of the relationship between adenovirus infection and intussusception.</p><p><strong>Results: </strong>Our study included 29 patients, 27 appendiceal and 8 intestinal tissues. Only eight appendix specimens were successfully processed into FFPE tissue. IHC testing was positive in three cases (37.5%), and PCR testing was positive for adenovirus type C in four cases (50%). The control group consisted of eight children <6 years who underwent incidental appendectomies, and all control subjects had negative IHC and PCR analyses. PCR is as useful and reliable as IHC in diagnosing adenovirus in intussusception and has greater sensitivity than IHC.</p><p><strong>Conclusion: </strong>We directly confirmed the relationship between adenovirus infection and intussusception through IHC analysis and PCR detection of pathological evidence. PCR is more sensitive than IHC for diagnosing adenovirus in intussusception.</p>","PeriodicalId":15391,"journal":{"name":"Journal of Clinical Pathology","volume":" ","pages":"678-683"},"PeriodicalIF":2.0000,"publicationDate":"2025-09-18","publicationTypes":"Journal Article","fieldsOfStudy":null,"isOpenAccess":false,"openAccessPdf":"https://www.ncbi.nlm.nih.gov/pmc/articles/PMC12505099/pdf/","citationCount":"0","resultStr":"{\"title\":\"Relationship between adenovirus infection and intussusception via pathological evidence confirms.\",\"authors\":\"Lung-Huang Lin, Chi-Jung Huang, Cheng-Yu Lo, Yu-Hsien Lee, Yung-Chuan Chen\",\"doi\":\"10.1136/jcp-2025-210194\",\"DOIUrl\":null,\"url\":null,\"abstract\":\"<p><strong>Aims: </strong>Although some cases of intussusception in older children are associated with pathological changes such as lymphoma or polyps, the cause of most cases in infants is unknown. Several reports have identified an association between adenovirus infection and intussusception in children. However, much of the evidence is indirect, such as stool samples or throat swab data. Our study analysed intestinal tissue, which may be more direct evidence of the relationship between adenovirus infection and intussusception.</p><p><strong>Methods: </strong>We retrospectively reviewed children<6 years of age with intussusception who underwent surgery for failed reduction. The pathological tissue was processed into formalin-fixed paraffin-embedded (FFPE) sections. Adenovirus immunohistochemistry (IHC) and PCR testing were performed to obtain direct evidence of the relationship between adenovirus infection and intussusception.</p><p><strong>Results: </strong>Our study included 29 patients, 27 appendiceal and 8 intestinal tissues. Only eight appendix specimens were successfully processed into FFPE tissue. IHC testing was positive in three cases (37.5%), and PCR testing was positive for adenovirus type C in four cases (50%). The control group consisted of eight children <6 years who underwent incidental appendectomies, and all control subjects had negative IHC and PCR analyses. PCR is as useful and reliable as IHC in diagnosing adenovirus in intussusception and has greater sensitivity than IHC.</p><p><strong>Conclusion: </strong>We directly confirmed the relationship between adenovirus infection and intussusception through IHC analysis and PCR detection of pathological evidence. PCR is more sensitive than IHC for diagnosing adenovirus in intussusception.</p>\",\"PeriodicalId\":15391,\"journal\":{\"name\":\"Journal of Clinical Pathology\",\"volume\":\" \",\"pages\":\"678-683\"},\"PeriodicalIF\":2.0000,\"publicationDate\":\"2025-09-18\",\"publicationTypes\":\"Journal Article\",\"fieldsOfStudy\":null,\"isOpenAccess\":false,\"openAccessPdf\":\"https://www.ncbi.nlm.nih.gov/pmc/articles/PMC12505099/pdf/\",\"citationCount\":\"0\",\"resultStr\":null,\"platform\":\"Semanticscholar\",\"paperid\":null,\"PeriodicalName\":\"Journal of Clinical Pathology\",\"FirstCategoryId\":\"3\",\"ListUrlMain\":\"https://doi.org/10.1136/jcp-2025-210194\",\"RegionNum\":4,\"RegionCategory\":\"医学\",\"ArticlePicture\":[],\"TitleCN\":null,\"AbstractTextCN\":null,\"PMCID\":null,\"EPubDate\":\"\",\"PubModel\":\"\",\"JCR\":\"Q2\",\"JCRName\":\"PATHOLOGY\",\"Score\":null,\"Total\":0}","platform":"Semanticscholar","paperid":null,"PeriodicalName":"Journal of Clinical Pathology","FirstCategoryId":"3","ListUrlMain":"https://doi.org/10.1136/jcp-2025-210194","RegionNum":4,"RegionCategory":"医学","ArticlePicture":[],"TitleCN":null,"AbstractTextCN":null,"PMCID":null,"EPubDate":"","PubModel":"","JCR":"Q2","JCRName":"PATHOLOGY","Score":null,"Total":0}
引用次数: 0

摘要

目的:虽然一些大龄儿童的肠套叠病例与病理改变有关,如淋巴瘤或息肉,但大多数婴儿病例的病因尚不清楚。一些报告已经确定了儿童腺病毒感染和肠套叠之间的联系。然而,很多证据都是间接的,比如粪便样本或咽拭子数据。我们的研究分析了肠道组织,这可能是腺病毒感染与肠套叠之间关系的更直接证据。结果:本研究纳入29例患儿,27例阑尾和8例肠道组织。只有8个阑尾标本成功加工成FFPE组织。免疫组化检测3例(37.5%),PCR检测C型腺病毒4例(50%)。结论:通过免疫组化分析和病理证据PCR检测,直接证实了腺病毒感染与肠套叠的关系。PCR诊断肠套叠腺病毒的敏感性高于免疫组化。
本文章由计算机程序翻译,如有差异,请以英文原文为准。

Relationship between adenovirus infection and intussusception via pathological evidence confirms.

Relationship between adenovirus infection and intussusception via pathological evidence confirms.

Relationship between adenovirus infection and intussusception via pathological evidence confirms.

Relationship between adenovirus infection and intussusception via pathological evidence confirms.

Aims: Although some cases of intussusception in older children are associated with pathological changes such as lymphoma or polyps, the cause of most cases in infants is unknown. Several reports have identified an association between adenovirus infection and intussusception in children. However, much of the evidence is indirect, such as stool samples or throat swab data. Our study analysed intestinal tissue, which may be more direct evidence of the relationship between adenovirus infection and intussusception.

Methods: We retrospectively reviewed children<6 years of age with intussusception who underwent surgery for failed reduction. The pathological tissue was processed into formalin-fixed paraffin-embedded (FFPE) sections. Adenovirus immunohistochemistry (IHC) and PCR testing were performed to obtain direct evidence of the relationship between adenovirus infection and intussusception.

Results: Our study included 29 patients, 27 appendiceal and 8 intestinal tissues. Only eight appendix specimens were successfully processed into FFPE tissue. IHC testing was positive in three cases (37.5%), and PCR testing was positive for adenovirus type C in four cases (50%). The control group consisted of eight children <6 years who underwent incidental appendectomies, and all control subjects had negative IHC and PCR analyses. PCR is as useful and reliable as IHC in diagnosing adenovirus in intussusception and has greater sensitivity than IHC.

Conclusion: We directly confirmed the relationship between adenovirus infection and intussusception through IHC analysis and PCR detection of pathological evidence. PCR is more sensitive than IHC for diagnosing adenovirus in intussusception.

求助全文
通过发布文献求助,成功后即可免费获取论文全文。 去求助
来源期刊
CiteScore
7.80
自引率
2.90%
发文量
113
审稿时长
3-8 weeks
期刊介绍: Journal of Clinical Pathology is a leading international journal covering all aspects of pathology. Diagnostic and research areas covered include histopathology, virology, haematology, microbiology, cytopathology, chemical pathology, molecular pathology, forensic pathology, dermatopathology, neuropathology and immunopathology. Each issue contains Reviews, Original articles, Short reports, Correspondence and more.
×
引用
GB/T 7714-2015
复制
MLA
复制
APA
复制
导出至
BibTeX EndNote RefMan NoteFirst NoteExpress
×
提示
您的信息不完整,为了账户安全,请先补充。
现在去补充
×
提示
您因"违规操作"
具体请查看互助需知
我知道了
×
提示
确定
请完成安全验证×
copy
已复制链接
快去分享给好友吧!
我知道了
右上角分享
点击右上角分享
0
联系我们:info@booksci.cn Book学术提供免费学术资源搜索服务,方便国内外学者检索中英文文献。致力于提供最便捷和优质的服务体验。 Copyright © 2023 布克学术 All rights reserved.
京ICP备2023020795号-1
ghs 京公网安备 11010802042870号
Book学术文献互助
Book学术文献互助群
群 号:604180095
Book学术官方微信