GeneX®经皮椎体成形术治疗骨质疏松性椎体压缩性骨折1例报告。

IF 0.7 Q3 MEDICINE, GENERAL & INTERNAL
International Medical Case Reports Journal Pub Date : 2025-08-14 eCollection Date: 2025-01-01 DOI:10.2147/IMCRJ.S505160
Taibang Chen, Lei Cui, Di Du
{"title":"GeneX®经皮椎体成形术治疗骨质疏松性椎体压缩性骨折1例报告。","authors":"Taibang Chen, Lei Cui, Di Du","doi":"10.2147/IMCRJ.S505160","DOIUrl":null,"url":null,"abstract":"<p><strong>Background: </strong>GeneX<sup>®</sup> allows adsorption and aggregation of molecules and proteins to promote bone formation. According to reports in the literature, it is used in bone defect reconstruction and percutaneous vertebroplasty to promote bone formation.</p><p><strong>Case report: </strong>We designed a prospective cohort study to evaluate the outcomes following of percutaneous vertebroplasty using GeneX in patients with osteoporotic vertebral compression fractures. Vertebroplasty was performed at seven vertebrae in the first seven patients. Overall, there were four leaks in four (57%) of the seven patients. Asymptomatic leak of the GeneX material into the intradiscal and paravertebral structures at the treated vertebral level was observed in three patients (43%). However, the material leaked into the intradural and epidural space in the seventh patient (14%), causing severe neurological deficits. Primary diagnosis was bone cement implantation syndrome. The patient's neurological status improved gradually during the month after surgery. She was able to resume her activities of daily living and had regained her urinary function by 3 months after surgery.</p><p><strong>Conclusion: </strong>Owing to its physicochemical characteristics, even with sophisticated surgical techniques, GeneX cannot be recommended for use in percutaneous vertebroplasty for OVCF. The long-term safety and efficacy of GeneX need to be further validated through Phase II clinical trials. Lumbar cistern drainage can significantly improve neurological deficits in patients caused by GeneX implantation syndrome.</p>","PeriodicalId":14337,"journal":{"name":"International Medical Case Reports Journal","volume":"18 ","pages":"1041-1046"},"PeriodicalIF":0.7000,"publicationDate":"2025-08-14","publicationTypes":"Journal Article","fieldsOfStudy":null,"isOpenAccess":false,"openAccessPdf":"https://www.ncbi.nlm.nih.gov/pmc/articles/PMC12360376/pdf/","citationCount":"0","resultStr":"{\"title\":\"Percutaneous Vertebroplasty Using GeneX<sup>®</sup> in Osteoporotic Vertebral Compression Fractures: A Case Report.\",\"authors\":\"Taibang Chen, Lei Cui, Di Du\",\"doi\":\"10.2147/IMCRJ.S505160\",\"DOIUrl\":null,\"url\":null,\"abstract\":\"<p><strong>Background: </strong>GeneX<sup>®</sup> allows adsorption and aggregation of molecules and proteins to promote bone formation. According to reports in the literature, it is used in bone defect reconstruction and percutaneous vertebroplasty to promote bone formation.</p><p><strong>Case report: </strong>We designed a prospective cohort study to evaluate the outcomes following of percutaneous vertebroplasty using GeneX in patients with osteoporotic vertebral compression fractures. Vertebroplasty was performed at seven vertebrae in the first seven patients. Overall, there were four leaks in four (57%) of the seven patients. Asymptomatic leak of the GeneX material into the intradiscal and paravertebral structures at the treated vertebral level was observed in three patients (43%). However, the material leaked into the intradural and epidural space in the seventh patient (14%), causing severe neurological deficits. Primary diagnosis was bone cement implantation syndrome. The patient's neurological status improved gradually during the month after surgery. She was able to resume her activities of daily living and had regained her urinary function by 3 months after surgery.</p><p><strong>Conclusion: </strong>Owing to its physicochemical characteristics, even with sophisticated surgical techniques, GeneX cannot be recommended for use in percutaneous vertebroplasty for OVCF. The long-term safety and efficacy of GeneX need to be further validated through Phase II clinical trials. Lumbar cistern drainage can significantly improve neurological deficits in patients caused by GeneX implantation syndrome.</p>\",\"PeriodicalId\":14337,\"journal\":{\"name\":\"International Medical Case Reports Journal\",\"volume\":\"18 \",\"pages\":\"1041-1046\"},\"PeriodicalIF\":0.7000,\"publicationDate\":\"2025-08-14\",\"publicationTypes\":\"Journal Article\",\"fieldsOfStudy\":null,\"isOpenAccess\":false,\"openAccessPdf\":\"https://www.ncbi.nlm.nih.gov/pmc/articles/PMC12360376/pdf/\",\"citationCount\":\"0\",\"resultStr\":null,\"platform\":\"Semanticscholar\",\"paperid\":null,\"PeriodicalName\":\"International Medical Case Reports Journal\",\"FirstCategoryId\":\"1085\",\"ListUrlMain\":\"https://doi.org/10.2147/IMCRJ.S505160\",\"RegionNum\":0,\"RegionCategory\":null,\"ArticlePicture\":[],\"TitleCN\":null,\"AbstractTextCN\":null,\"PMCID\":null,\"EPubDate\":\"2025/1/1 0:00:00\",\"PubModel\":\"eCollection\",\"JCR\":\"Q3\",\"JCRName\":\"MEDICINE, GENERAL & INTERNAL\",\"Score\":null,\"Total\":0}","platform":"Semanticscholar","paperid":null,"PeriodicalName":"International Medical Case Reports Journal","FirstCategoryId":"1085","ListUrlMain":"https://doi.org/10.2147/IMCRJ.S505160","RegionNum":0,"RegionCategory":null,"ArticlePicture":[],"TitleCN":null,"AbstractTextCN":null,"PMCID":null,"EPubDate":"2025/1/1 0:00:00","PubModel":"eCollection","JCR":"Q3","JCRName":"MEDICINE, GENERAL & INTERNAL","Score":null,"Total":0}
引用次数: 0

摘要

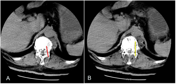
背景:GeneX®允许分子和蛋白质的吸附和聚集,以促进骨形成。据文献报道,它被用于骨缺损重建和经皮椎体成形术,以促进骨形成。病例报告:我们设计了一项前瞻性队列研究来评估使用GeneX经皮椎体成形术治疗骨质疏松性椎体压缩性骨折患者的结果。在前7例患者中,对7个椎体进行了椎体成形术。总体而言,7例患者中有4例(57%)出现4例渗漏。在接受治疗的椎体水平,3例(43%)患者观察到GeneX材料无症状地泄漏到椎间盘内和椎旁结构。然而,第7例患者(14%)的材料泄漏到硬膜内和硬膜外间隙,造成严重的神经功能缺损。初步诊断为骨水泥植入综合征。术后1个月内患者神经系统状况逐渐好转。术后3个月,患者恢复了日常生活活动和泌尿功能。结论:由于GeneX的理化特性,即使使用复杂的手术技术,也不能推荐用于OVCF的经皮椎体成形术。GeneX的长期安全性和有效性需要通过II期临床试验进一步验证。腰椎池引流可显著改善GeneX植入综合征患者的神经功能缺损。
本文章由计算机程序翻译,如有差异,请以英文原文为准。

Percutaneous Vertebroplasty Using GeneX<sup>®</sup> in Osteoporotic Vertebral Compression Fractures: A Case Report.

Percutaneous Vertebroplasty Using GeneX<sup>®</sup> in Osteoporotic Vertebral Compression Fractures: A Case Report.

Percutaneous Vertebroplasty Using GeneX<sup>®</sup> in Osteoporotic Vertebral Compression Fractures: A Case Report.

Percutaneous Vertebroplasty Using GeneX® in Osteoporotic Vertebral Compression Fractures: A Case Report.

Background: GeneX® allows adsorption and aggregation of molecules and proteins to promote bone formation. According to reports in the literature, it is used in bone defect reconstruction and percutaneous vertebroplasty to promote bone formation.

Case report: We designed a prospective cohort study to evaluate the outcomes following of percutaneous vertebroplasty using GeneX in patients with osteoporotic vertebral compression fractures. Vertebroplasty was performed at seven vertebrae in the first seven patients. Overall, there were four leaks in four (57%) of the seven patients. Asymptomatic leak of the GeneX material into the intradiscal and paravertebral structures at the treated vertebral level was observed in three patients (43%). However, the material leaked into the intradural and epidural space in the seventh patient (14%), causing severe neurological deficits. Primary diagnosis was bone cement implantation syndrome. The patient's neurological status improved gradually during the month after surgery. She was able to resume her activities of daily living and had regained her urinary function by 3 months after surgery.

Conclusion: Owing to its physicochemical characteristics, even with sophisticated surgical techniques, GeneX cannot be recommended for use in percutaneous vertebroplasty for OVCF. The long-term safety and efficacy of GeneX need to be further validated through Phase II clinical trials. Lumbar cistern drainage can significantly improve neurological deficits in patients caused by GeneX implantation syndrome.

求助全文
通过发布文献求助,成功后即可免费获取论文全文。 去求助
来源期刊
International Medical Case Reports Journal
International Medical Case Reports Journal MEDICINE, GENERAL & INTERNAL-
CiteScore
1.40
自引率
0.00%
发文量
135
审稿时长
16 weeks
期刊介绍: International Medical Case Reports Journal is an international, peer-reviewed, open access, online journal publishing original case reports from all medical specialties. Submissions should not normally exceed 3,000 words or 4 published pages including figures, diagrams and references. As of 1st April 2019, the International Medical Case Reports Journal will no longer consider meta-analyses for publication.
×
引用
GB/T 7714-2015
复制
MLA
复制
APA
复制
导出至
BibTeX EndNote RefMan NoteFirst NoteExpress
×
提示
您的信息不完整,为了账户安全,请先补充。
现在去补充
×
提示
您因"违规操作"
具体请查看互助需知
我知道了
×
提示
确定
请完成安全验证×
copy
已复制链接
快去分享给好友吧!
我知道了
右上角分享
点击右上角分享
0
联系我们:info@booksci.cn Book学术提供免费学术资源搜索服务,方便国内外学者检索中英文文献。致力于提供最便捷和优质的服务体验。 Copyright © 2023 布克学术 All rights reserved.
京ICP备2023020795号-1
ghs 京公网安备 11010802042870号
Book学术文献互助
Book学术文献互助群
群 号:604180095
Book学术官方微信