球茎非横断尿道成形术中腹侧入路的组织学原因。

IF 1.1 0 UROLOGY & NEPHROLOGY
Andrey Borisovich Bogdanov, Magomed Islambegovich Katibov, Evgeny Ibadovich, Alexander Evgenievich Sokolov, Inga Vladimirovna Kosova, Vladimir Arshakovich Vardanyan, Yulia Yurievna Andreeva, Olga Alexandrovna Kuznetsova, Genady Inanovich Nichiporuk, Ivan Vasilievich Gayvoronskiy, Badri Roinovich Gvasalia, Francisco Martins, Oleg Borisovich Loran, Dmitry Yurievich Pushkar
{"title":"球茎非横断尿道成形术中腹侧入路的组织学原因。","authors":"Andrey Borisovich Bogdanov, Magomed Islambegovich Katibov, Evgeny Ibadovich, Alexander Evgenievich Sokolov, Inga Vladimirovna Kosova, Vladimir Arshakovich Vardanyan, Yulia Yurievna Andreeva, Olga Alexandrovna Kuznetsova, Genady Inanovich Nichiporuk, Ivan Vasilievich Gayvoronskiy, Badri Roinovich Gvasalia, Francisco Martins, Oleg Borisovich Loran, Dmitry Yurievich Pushkar","doi":"10.5152/tud.2025.25003","DOIUrl":null,"url":null,"abstract":"<p><p>Objective: A histotopographic research study was performed to justify the ventral approach for nontransecting anastomotic bulbar urethroplasty. Methods: The study included 10 preparations of the male penis, including the bulbous sections of the urethra with no signs of structural damage. The material was obtained during autopsy from men aged 36-60 years old. The features of the blood supply and innervation of the bulbous urethra were carefully examined, revealing the advantages of the proposed method. Results: The authors obtained data providing sufficient evidence for the safety and histotopographic validity of the ventral approach with preservation of the dorsal and lateral parts of the corpus spongiosum of the urethra. Conclusion: The choice of urethroplasty for bulbous urethral strictures less than 2 cm in length requires in-depth knowledge of the anatomy of the vascular and autonomic nerve fibers of the spongious body of the bulbous urethra, as well as the course of the cavernous nerves along its dorsal semicircle. In carefully selected patients with short (<2 cm in length) strictures of the bulbous urethra without spongiofibrosis, it is possible to avoid anastomotic urethroplasty with total transection of the spongious body by choosing nontransecting excision and primary anastomosis (ntEPA), which allows to preserve innervation and blood supply in the urethra to a greater extent. In this regard, the ventral ntEPA technique seems promising, as it is likely that the neurovascular structures in the urethra are mostly located outside the area of this zone-in the lateral frequent. However, definitive conclusions are possible after further scientific research in this area.</p>","PeriodicalId":101337,"journal":{"name":"Urology research & practice","volume":"51 4","pages":"141-145"},"PeriodicalIF":1.1000,"publicationDate":"2025-07-29","publicationTypes":"Journal Article","fieldsOfStudy":null,"isOpenAccess":false,"openAccessPdf":"https://www.ncbi.nlm.nih.gov/pmc/articles/PMC12362531/pdf/","citationCount":"0","resultStr":"{\"title\":\"Histotopographic Reasons for Ventral Approach in Bulbous Non-Transecting Urethroplasty.\",\"authors\":\"Andrey Borisovich Bogdanov, Magomed Islambegovich Katibov, Evgeny Ibadovich, Alexander Evgenievich Sokolov, Inga Vladimirovna Kosova, Vladimir Arshakovich Vardanyan, Yulia Yurievna Andreeva, Olga Alexandrovna Kuznetsova, Genady Inanovich Nichiporuk, Ivan Vasilievich Gayvoronskiy, Badri Roinovich Gvasalia, Francisco Martins, Oleg Borisovich Loran, Dmitry Yurievich Pushkar\",\"doi\":\"10.5152/tud.2025.25003\",\"DOIUrl\":null,\"url\":null,\"abstract\":\"<p><p>Objective: A histotopographic research study was performed to justify the ventral approach for nontransecting anastomotic bulbar urethroplasty. Methods: The study included 10 preparations of the male penis, including the bulbous sections of the urethra with no signs of structural damage. The material was obtained during autopsy from men aged 36-60 years old. The features of the blood supply and innervation of the bulbous urethra were carefully examined, revealing the advantages of the proposed method. Results: The authors obtained data providing sufficient evidence for the safety and histotopographic validity of the ventral approach with preservation of the dorsal and lateral parts of the corpus spongiosum of the urethra. Conclusion: The choice of urethroplasty for bulbous urethral strictures less than 2 cm in length requires in-depth knowledge of the anatomy of the vascular and autonomic nerve fibers of the spongious body of the bulbous urethra, as well as the course of the cavernous nerves along its dorsal semicircle. In carefully selected patients with short (<2 cm in length) strictures of the bulbous urethra without spongiofibrosis, it is possible to avoid anastomotic urethroplasty with total transection of the spongious body by choosing nontransecting excision and primary anastomosis (ntEPA), which allows to preserve innervation and blood supply in the urethra to a greater extent. In this regard, the ventral ntEPA technique seems promising, as it is likely that the neurovascular structures in the urethra are mostly located outside the area of this zone-in the lateral frequent. However, definitive conclusions are possible after further scientific research in this area.</p>\",\"PeriodicalId\":101337,\"journal\":{\"name\":\"Urology research & practice\",\"volume\":\"51 4\",\"pages\":\"141-145\"},\"PeriodicalIF\":1.1000,\"publicationDate\":\"2025-07-29\",\"publicationTypes\":\"Journal Article\",\"fieldsOfStudy\":null,\"isOpenAccess\":false,\"openAccessPdf\":\"https://www.ncbi.nlm.nih.gov/pmc/articles/PMC12362531/pdf/\",\"citationCount\":\"0\",\"resultStr\":null,\"platform\":\"Semanticscholar\",\"paperid\":null,\"PeriodicalName\":\"Urology research & practice\",\"FirstCategoryId\":\"1085\",\"ListUrlMain\":\"https://doi.org/10.5152/tud.2025.25003\",\"RegionNum\":0,\"RegionCategory\":null,\"ArticlePicture\":[],\"TitleCN\":null,\"AbstractTextCN\":null,\"PMCID\":null,\"EPubDate\":\"\",\"PubModel\":\"\",\"JCR\":\"0\",\"JCRName\":\"UROLOGY & NEPHROLOGY\",\"Score\":null,\"Total\":0}","platform":"Semanticscholar","paperid":null,"PeriodicalName":"Urology research & practice","FirstCategoryId":"1085","ListUrlMain":"https://doi.org/10.5152/tud.2025.25003","RegionNum":0,"RegionCategory":null,"ArticlePicture":[],"TitleCN":null,"AbstractTextCN":null,"PMCID":null,"EPubDate":"","PubModel":"","JCR":"0","JCRName":"UROLOGY & NEPHROLOGY","Score":null,"Total":0}
引用次数: 0

摘要

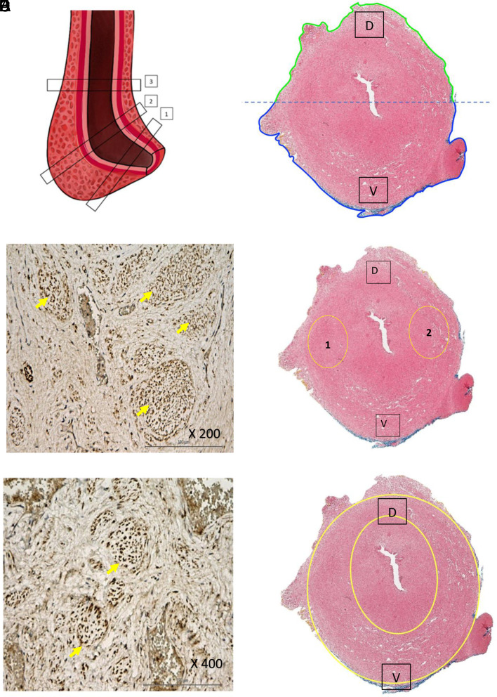
目的:通过组织形态学研究证明腹侧入路行非横断吻合口球囊尿道成形术的合理性。方法:本研究包括10个男性阴茎的准备,包括尿道的球根部分,没有结构性损伤的迹象。这些材料是在尸检过程中从36-60岁的男性身上获得的。对球根尿道的血供和神经支配特征进行了仔细的研究,揭示了该方法的优越性。结果:作者获得的数据为腹侧入路的安全性和组织形态学有效性提供了充分的证据,并保留了尿道海绵体的背侧部分。结论:长度小于2 cm的球根性尿道狭窄选择尿道成形术时,需要深入了解球根性尿道海绵体的血管和自主神经纤维的解剖结构,以及海绵神经沿其背半圆的走行。在精心挑选的短(
本文章由计算机程序翻译,如有差异,请以英文原文为准。

Histotopographic Reasons for Ventral Approach in Bulbous Non-Transecting Urethroplasty.

Histotopographic Reasons for Ventral Approach in Bulbous Non-Transecting Urethroplasty.

Histotopographic Reasons for Ventral Approach in Bulbous Non-Transecting Urethroplasty.

Histotopographic Reasons for Ventral Approach in Bulbous Non-Transecting Urethroplasty.

Objective: A histotopographic research study was performed to justify the ventral approach for nontransecting anastomotic bulbar urethroplasty. Methods: The study included 10 preparations of the male penis, including the bulbous sections of the urethra with no signs of structural damage. The material was obtained during autopsy from men aged 36-60 years old. The features of the blood supply and innervation of the bulbous urethra were carefully examined, revealing the advantages of the proposed method. Results: The authors obtained data providing sufficient evidence for the safety and histotopographic validity of the ventral approach with preservation of the dorsal and lateral parts of the corpus spongiosum of the urethra. Conclusion: The choice of urethroplasty for bulbous urethral strictures less than 2 cm in length requires in-depth knowledge of the anatomy of the vascular and autonomic nerve fibers of the spongious body of the bulbous urethra, as well as the course of the cavernous nerves along its dorsal semicircle. In carefully selected patients with short (<2 cm in length) strictures of the bulbous urethra without spongiofibrosis, it is possible to avoid anastomotic urethroplasty with total transection of the spongious body by choosing nontransecting excision and primary anastomosis (ntEPA), which allows to preserve innervation and blood supply in the urethra to a greater extent. In this regard, the ventral ntEPA technique seems promising, as it is likely that the neurovascular structures in the urethra are mostly located outside the area of this zone-in the lateral frequent. However, definitive conclusions are possible after further scientific research in this area.

求助全文
通过发布文献求助,成功后即可免费获取论文全文。 去求助
来源期刊
CiteScore
2.60
自引率
0.00%
发文量
0
×
引用
GB/T 7714-2015
复制
MLA
复制
APA
复制
导出至
BibTeX EndNote RefMan NoteFirst NoteExpress
×
提示
您的信息不完整,为了账户安全,请先补充。
现在去补充
×
提示
您因"违规操作"
具体请查看互助需知
我知道了
×
提示
确定
请完成安全验证×
copy
已复制链接
快去分享给好友吧!
我知道了
右上角分享
点击右上角分享
0
联系我们:info@booksci.cn Book学术提供免费学术资源搜索服务,方便国内外学者检索中英文文献。致力于提供最便捷和优质的服务体验。 Copyright © 2023 布克学术 All rights reserved.
京ICP备2023020795号-1
ghs 京公网安备 11010802042870号
Book学术文献互助
Book学术文献互助群
群 号:604180095
Book学术官方微信