锂离子使用引起的部分中枢性尿崩症1例报告及文献复习。

IF 0.9
PCN reports : psychiatry and clinical neurosciences Pub Date : 2025-08-13 eCollection Date: 2025-09-01 DOI:10.1002/pcn5.70182
Mizue Ichinose, Yuri Kobayashi, Yuhei Suzuki, Yoichiro Hirata, Masayuki Goto, Sho Horikoshi, Keiko Kanno-Nozaki, Kenya Watanabe, Satoshi Takeuchi, Itaru Miura
{"title":"锂离子使用引起的部分中枢性尿崩症1例报告及文献复习。","authors":"Mizue Ichinose, Yuri Kobayashi, Yuhei Suzuki, Yoichiro Hirata, Masayuki Goto, Sho Horikoshi, Keiko Kanno-Nozaki, Kenya Watanabe, Satoshi Takeuchi, Itaru Miura","doi":"10.1002/pcn5.70182","DOIUrl":null,"url":null,"abstract":"<p><strong>Background: </strong>Nephrogenic diabetes insipidus (NDI) is a well-known adverse effect of lithium, which occurs in approximately 20%-40% of long-term lithium users. Although rare, there have been reports of central diabetes insipidus (CDI) associated with lithium use. Herein, we report a patient with suspected CDI associated with chronic lithium therapy. Furthermore, we conducted a literature search for cases with CDI and discuss the pathogenesis of this case based on previous reports.</p><p><strong>Case presentation: </strong>The patient was a 73-year-old man with bipolar disorder Type I. His psychiatric symptoms had been stable for many years. However, polyuria and weakness began to appear at the age of 73. Initially, lithium-induced NDI was suspected, but in the end, partial CDI was suspected because urinary osmolality did not exceed 300 mOsm/L even after water restriction, and administration of nasal arginine vasopressin solution partially increased urinary osmolality.</p><p><strong>Conclusion: </strong>We have experienced a case in which CDI may have been induced by lithium. Although the effects of ageing and infection cannot be ruled out, it should be noted that when lithium-induced diabetes insipidus is suspected, CDI may also occur depending on the clinical context.</p>","PeriodicalId":74405,"journal":{"name":"PCN reports : psychiatry and clinical neurosciences","volume":"4 3","pages":"e70182"},"PeriodicalIF":0.9000,"publicationDate":"2025-08-13","publicationTypes":"Journal Article","fieldsOfStudy":null,"isOpenAccess":false,"openAccessPdf":"https://www.ncbi.nlm.nih.gov/pmc/articles/PMC12350187/pdf/","citationCount":"0","resultStr":"{\"title\":\"Partial central diabetes insipidus during lithium use: A case report and literature review.\",\"authors\":\"Mizue Ichinose, Yuri Kobayashi, Yuhei Suzuki, Yoichiro Hirata, Masayuki Goto, Sho Horikoshi, Keiko Kanno-Nozaki, Kenya Watanabe, Satoshi Takeuchi, Itaru Miura\",\"doi\":\"10.1002/pcn5.70182\",\"DOIUrl\":null,\"url\":null,\"abstract\":\"<p><strong>Background: </strong>Nephrogenic diabetes insipidus (NDI) is a well-known adverse effect of lithium, which occurs in approximately 20%-40% of long-term lithium users. Although rare, there have been reports of central diabetes insipidus (CDI) associated with lithium use. Herein, we report a patient with suspected CDI associated with chronic lithium therapy. Furthermore, we conducted a literature search for cases with CDI and discuss the pathogenesis of this case based on previous reports.</p><p><strong>Case presentation: </strong>The patient was a 73-year-old man with bipolar disorder Type I. His psychiatric symptoms had been stable for many years. However, polyuria and weakness began to appear at the age of 73. Initially, lithium-induced NDI was suspected, but in the end, partial CDI was suspected because urinary osmolality did not exceed 300 mOsm/L even after water restriction, and administration of nasal arginine vasopressin solution partially increased urinary osmolality.</p><p><strong>Conclusion: </strong>We have experienced a case in which CDI may have been induced by lithium. Although the effects of ageing and infection cannot be ruled out, it should be noted that when lithium-induced diabetes insipidus is suspected, CDI may also occur depending on the clinical context.</p>\",\"PeriodicalId\":74405,\"journal\":{\"name\":\"PCN reports : psychiatry and clinical neurosciences\",\"volume\":\"4 3\",\"pages\":\"e70182\"},\"PeriodicalIF\":0.9000,\"publicationDate\":\"2025-08-13\",\"publicationTypes\":\"Journal Article\",\"fieldsOfStudy\":null,\"isOpenAccess\":false,\"openAccessPdf\":\"https://www.ncbi.nlm.nih.gov/pmc/articles/PMC12350187/pdf/\",\"citationCount\":\"0\",\"resultStr\":null,\"platform\":\"Semanticscholar\",\"paperid\":null,\"PeriodicalName\":\"PCN reports : psychiatry and clinical neurosciences\",\"FirstCategoryId\":\"1085\",\"ListUrlMain\":\"https://doi.org/10.1002/pcn5.70182\",\"RegionNum\":0,\"RegionCategory\":null,\"ArticlePicture\":[],\"TitleCN\":null,\"AbstractTextCN\":null,\"PMCID\":null,\"EPubDate\":\"2025/9/1 0:00:00\",\"PubModel\":\"eCollection\",\"JCR\":\"\",\"JCRName\":\"\",\"Score\":null,\"Total\":0}","platform":"Semanticscholar","paperid":null,"PeriodicalName":"PCN reports : psychiatry and clinical neurosciences","FirstCategoryId":"1085","ListUrlMain":"https://doi.org/10.1002/pcn5.70182","RegionNum":0,"RegionCategory":null,"ArticlePicture":[],"TitleCN":null,"AbstractTextCN":null,"PMCID":null,"EPubDate":"2025/9/1 0:00:00","PubModel":"eCollection","JCR":"","JCRName":"","Score":null,"Total":0}
引用次数: 0

摘要

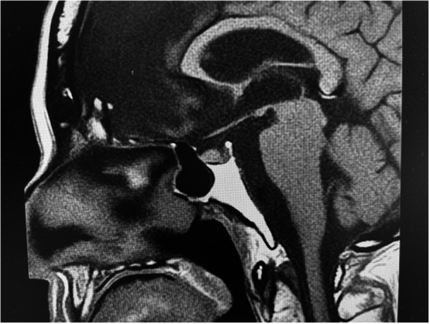
背景:肾源性尿崩症(NDI)是众所周知的锂的不良反应,发生在大约20%-40%的长期锂使用者中。虽然罕见,但也有与锂使用相关的中枢性尿崩症(CDI)的报道。在此,我们报告一例疑似CDI与慢性锂治疗相关的患者。此外,我们对CDI病例进行了文献检索,并根据以往的报道讨论了该病例的发病机制。病例介绍:患者是一名73岁男性双相情感障碍i型患者,其精神症状多年来一直稳定。然而,73岁时开始出现多尿和虚弱。最初怀疑是锂离子引起的NDI,但最终怀疑是部分CDI,因为即使在限水后尿渗透压也没有超过300 mOsm/L,并且鼻用精氨酸加压素溶液部分增加了尿渗透压。结论:我们有一例CDI可能是由锂引起的。虽然不能排除衰老和感染的影响,但需要注意的是,当怀疑锂诱发尿崩症时,也可能根据临床情况发生CDI。
本文章由计算机程序翻译,如有差异,请以英文原文为准。

Partial central diabetes insipidus during lithium use: A case report and literature review.

Partial central diabetes insipidus during lithium use: A case report and literature review.

Background: Nephrogenic diabetes insipidus (NDI) is a well-known adverse effect of lithium, which occurs in approximately 20%-40% of long-term lithium users. Although rare, there have been reports of central diabetes insipidus (CDI) associated with lithium use. Herein, we report a patient with suspected CDI associated with chronic lithium therapy. Furthermore, we conducted a literature search for cases with CDI and discuss the pathogenesis of this case based on previous reports.

Case presentation: The patient was a 73-year-old man with bipolar disorder Type I. His psychiatric symptoms had been stable for many years. However, polyuria and weakness began to appear at the age of 73. Initially, lithium-induced NDI was suspected, but in the end, partial CDI was suspected because urinary osmolality did not exceed 300 mOsm/L even after water restriction, and administration of nasal arginine vasopressin solution partially increased urinary osmolality.

Conclusion: We have experienced a case in which CDI may have been induced by lithium. Although the effects of ageing and infection cannot be ruled out, it should be noted that when lithium-induced diabetes insipidus is suspected, CDI may also occur depending on the clinical context.

求助全文
通过发布文献求助,成功后即可免费获取论文全文。 去求助
来源期刊
CiteScore
0.70
自引率
0.00%
发文量
0
×
引用
GB/T 7714-2015
复制
MLA
复制
APA
复制
导出至
BibTeX EndNote RefMan NoteFirst NoteExpress
×
提示
您的信息不完整,为了账户安全,请先补充。
现在去补充
×
提示
您因"违规操作"
具体请查看互助需知
我知道了
×
提示
确定
请完成安全验证×
copy
已复制链接
快去分享给好友吧!
我知道了
右上角分享
点击右上角分享
0
联系我们:info@booksci.cn Book学术提供免费学术资源搜索服务,方便国内外学者检索中英文文献。致力于提供最便捷和优质的服务体验。 Copyright © 2023 布克学术 All rights reserved.
京ICP备2023020795号-1
ghs 京公网安备 11010802042870号
Book学术文献互助
Book学术文献互助群
群 号:604180095
Book学术官方微信