原发性皮肤CD4+小/中型t细胞淋巴增生性疾病:40例成人患者的回顾性队列研究

IF 1 4区 医学 Q4 DERMATOLOGY
Xing Li, Cynthia M Magro
{"title":"原发性皮肤CD4+小/中型t细胞淋巴增生性疾病:40例成人患者的回顾性队列研究","authors":"Xing Li, Cynthia M Magro","doi":"10.1097/DAD.0000000000002981","DOIUrl":null,"url":null,"abstract":"<p><strong>Abstract: </strong>Primary cutaneous CD4+ small/medium-sized T-cell lymphoproliferative disorder (CD4+ PCSM-LPD) is distinguished from other peripheral T-cell lymphomas, particularly multifocal variants, by its indolent clinical behavior and favorable prognosis. Recent studies have suggested a T follicular helper (TFH) cell origin for these lesions; however, further studies are warranted to substantiate this hypothesis and clarify their pathogenesis. A retrospective review was conducted of all adult cases of CD4+ PCSM-LPD diagnosed at Weill Cornell Medicine between 2018 and 2024. The aim of this study was to evaluate the clinical, pathological, and molecular characteristics of these cases, with a specific focus on exploring the hypothesis of a follicular helper T-cell origin in CD4+ PCSM-LPD. Forty patients (26 men, 14 women) were encountered (age 25-83 years at presentation). Except for 1 oligolesional case, all others presented with solitary lesions, most frequently involving the head and neck region (26 of 37 cases, 72.2%). Treatment included surgical excision or radiation alone, with 1 lesion resolving spontaneously following the initial biopsy. Recurrence occurred only in 1 oligolesional case. All cases displayed characteristic histopathology of CD4+ PCSM-LPD. Varying positivity for nonspecific TFH markers (PD-1, BCL-6 and ICOS) was observed; both PD1 and ICOS can be expressed by activated T cells. Specific markers, CD10 and CXCL13, were predominantly negative the staining profile of CD4+ PCSM-LPD therefore suggests a partially developed TFH phenotype, reflecting the dynamic acquisition of these markers by neoplastic T cells in a conducive monocyte derived CD11c dendritic cell enriched microenvironment. Light chain restriction for plasma cells was observed in a qaurter of the cases and reflects the role of plasma cells as a countercheck population controlling follicular helper T cell expansion. Finally the lack of a follicular helper T cell phenotype in select cases that are otherwise typical for CD4+ PCSM-LPD should not exclude the diagnosis.</p>","PeriodicalId":50967,"journal":{"name":"American Journal of Dermatopathology","volume":"47 9","pages":"657-673"},"PeriodicalIF":1.0000,"publicationDate":"2025-07-31","publicationTypes":"Journal Article","fieldsOfStudy":null,"isOpenAccess":false,"openAccessPdf":"https://www.ncbi.nlm.nih.gov/pmc/articles/PMC12360188/pdf/","citationCount":"0","resultStr":"{\"title\":\"Primary Cutaneous CD4+ Small/Medium-Sized T-Cell Lymphoproliferative Disorder: A Retrospective Cohort Study of 40 Adult Patients.\",\"authors\":\"Xing Li, Cynthia M Magro\",\"doi\":\"10.1097/DAD.0000000000002981\",\"DOIUrl\":null,\"url\":null,\"abstract\":\"<p><strong>Abstract: </strong>Primary cutaneous CD4+ small/medium-sized T-cell lymphoproliferative disorder (CD4+ PCSM-LPD) is distinguished from other peripheral T-cell lymphomas, particularly multifocal variants, by its indolent clinical behavior and favorable prognosis. Recent studies have suggested a T follicular helper (TFH) cell origin for these lesions; however, further studies are warranted to substantiate this hypothesis and clarify their pathogenesis. A retrospective review was conducted of all adult cases of CD4+ PCSM-LPD diagnosed at Weill Cornell Medicine between 2018 and 2024. The aim of this study was to evaluate the clinical, pathological, and molecular characteristics of these cases, with a specific focus on exploring the hypothesis of a follicular helper T-cell origin in CD4+ PCSM-LPD. Forty patients (26 men, 14 women) were encountered (age 25-83 years at presentation). Except for 1 oligolesional case, all others presented with solitary lesions, most frequently involving the head and neck region (26 of 37 cases, 72.2%). Treatment included surgical excision or radiation alone, with 1 lesion resolving spontaneously following the initial biopsy. Recurrence occurred only in 1 oligolesional case. All cases displayed characteristic histopathology of CD4+ PCSM-LPD. Varying positivity for nonspecific TFH markers (PD-1, BCL-6 and ICOS) was observed; both PD1 and ICOS can be expressed by activated T cells. Specific markers, CD10 and CXCL13, were predominantly negative the staining profile of CD4+ PCSM-LPD therefore suggests a partially developed TFH phenotype, reflecting the dynamic acquisition of these markers by neoplastic T cells in a conducive monocyte derived CD11c dendritic cell enriched microenvironment. Light chain restriction for plasma cells was observed in a qaurter of the cases and reflects the role of plasma cells as a countercheck population controlling follicular helper T cell expansion. Finally the lack of a follicular helper T cell phenotype in select cases that are otherwise typical for CD4+ PCSM-LPD should not exclude the diagnosis.</p>\",\"PeriodicalId\":50967,\"journal\":{\"name\":\"American Journal of Dermatopathology\",\"volume\":\"47 9\",\"pages\":\"657-673\"},\"PeriodicalIF\":1.0000,\"publicationDate\":\"2025-07-31\",\"publicationTypes\":\"Journal Article\",\"fieldsOfStudy\":null,\"isOpenAccess\":false,\"openAccessPdf\":\"https://www.ncbi.nlm.nih.gov/pmc/articles/PMC12360188/pdf/\",\"citationCount\":\"0\",\"resultStr\":null,\"platform\":\"Semanticscholar\",\"paperid\":null,\"PeriodicalName\":\"American Journal of Dermatopathology\",\"FirstCategoryId\":\"3\",\"ListUrlMain\":\"https://doi.org/10.1097/DAD.0000000000002981\",\"RegionNum\":4,\"RegionCategory\":\"医学\",\"ArticlePicture\":[],\"TitleCN\":null,\"AbstractTextCN\":null,\"PMCID\":null,\"EPubDate\":\"\",\"PubModel\":\"\",\"JCR\":\"Q4\",\"JCRName\":\"DERMATOLOGY\",\"Score\":null,\"Total\":0}","platform":"Semanticscholar","paperid":null,"PeriodicalName":"American Journal of Dermatopathology","FirstCategoryId":"3","ListUrlMain":"https://doi.org/10.1097/DAD.0000000000002981","RegionNum":4,"RegionCategory":"医学","ArticlePicture":[],"TitleCN":null,"AbstractTextCN":null,"PMCID":null,"EPubDate":"","PubModel":"","JCR":"Q4","JCRName":"DERMATOLOGY","Score":null,"Total":0}
引用次数: 0

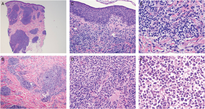
摘要

摘要原发性皮肤CD4+小/中型t细胞淋巴增生性疾病(CD4+ PCSM-LPD)与其他外周t细胞淋巴瘤,特别是多灶性t细胞淋巴瘤的区别在于其临床表现缓慢,预后良好。最近的研究表明,T滤泡辅助细胞(TFH)起源于这些病变;然而,需要进一步的研究来证实这一假设并阐明其发病机制。回顾性分析了2018年至2024年在威尔康奈尔医学中心诊断的所有CD4+ PCSM-LPD成人病例。本研究的目的是评估这些病例的临床、病理和分子特征,特别关注于探索CD4+ PCSM-LPD中卵泡辅助t细胞起源的假设。40例患者(男性26例,女性14例)(发病时年龄25-83岁)。除1例寡瘤外,其余均表现为孤立性病变,最常累及头颈部(37例中26例,72.2%)。治疗包括手术切除或单独放疗,1个病变在初次活检后自发消退。复发仅发生在1例寡瘤病例。所有病例均表现出CD4+ PCSM-LPD的组织学特征。非特异性TFH标志物(PD-1、BCL-6和ICOS)呈不同阳性;PD1和ICOS均可通过活化的T细胞表达。特异性标记CD10和CXCL13在CD4+ PCSM-LPD染色中主要呈阴性,因此提示部分发展的TFH表型,反映了肿瘤T细胞在有利于单核细胞来源的CD11c树突状细胞富集微环境中动态获取这些标记。在四分之一的病例中观察到浆细胞的轻链限制,这反映了浆细胞作为抑制滤泡辅助性T细胞扩增的种群的作用。最后,在CD4+ PCSM-LPD的典型病例中,缺乏滤泡辅助性T细胞表型不应排除诊断。
本文章由计算机程序翻译,如有差异,请以英文原文为准。

Primary Cutaneous CD4+ Small/Medium-Sized T-Cell Lymphoproliferative Disorder: A Retrospective Cohort Study of 40 Adult Patients.

Primary Cutaneous CD4+ Small/Medium-Sized T-Cell Lymphoproliferative Disorder: A Retrospective Cohort Study of 40 Adult Patients.

Primary Cutaneous CD4+ Small/Medium-Sized T-Cell Lymphoproliferative Disorder: A Retrospective Cohort Study of 40 Adult Patients.

Primary Cutaneous CD4+ Small/Medium-Sized T-Cell Lymphoproliferative Disorder: A Retrospective Cohort Study of 40 Adult Patients.

Abstract: Primary cutaneous CD4+ small/medium-sized T-cell lymphoproliferative disorder (CD4+ PCSM-LPD) is distinguished from other peripheral T-cell lymphomas, particularly multifocal variants, by its indolent clinical behavior and favorable prognosis. Recent studies have suggested a T follicular helper (TFH) cell origin for these lesions; however, further studies are warranted to substantiate this hypothesis and clarify their pathogenesis. A retrospective review was conducted of all adult cases of CD4+ PCSM-LPD diagnosed at Weill Cornell Medicine between 2018 and 2024. The aim of this study was to evaluate the clinical, pathological, and molecular characteristics of these cases, with a specific focus on exploring the hypothesis of a follicular helper T-cell origin in CD4+ PCSM-LPD. Forty patients (26 men, 14 women) were encountered (age 25-83 years at presentation). Except for 1 oligolesional case, all others presented with solitary lesions, most frequently involving the head and neck region (26 of 37 cases, 72.2%). Treatment included surgical excision or radiation alone, with 1 lesion resolving spontaneously following the initial biopsy. Recurrence occurred only in 1 oligolesional case. All cases displayed characteristic histopathology of CD4+ PCSM-LPD. Varying positivity for nonspecific TFH markers (PD-1, BCL-6 and ICOS) was observed; both PD1 and ICOS can be expressed by activated T cells. Specific markers, CD10 and CXCL13, were predominantly negative the staining profile of CD4+ PCSM-LPD therefore suggests a partially developed TFH phenotype, reflecting the dynamic acquisition of these markers by neoplastic T cells in a conducive monocyte derived CD11c dendritic cell enriched microenvironment. Light chain restriction for plasma cells was observed in a qaurter of the cases and reflects the role of plasma cells as a countercheck population controlling follicular helper T cell expansion. Finally the lack of a follicular helper T cell phenotype in select cases that are otherwise typical for CD4+ PCSM-LPD should not exclude the diagnosis.

求助全文
通过发布文献求助,成功后即可免费获取论文全文。 去求助
来源期刊
CiteScore
1.80
自引率
9.10%
发文量
453
审稿时长
3 months
期刊介绍: The American Journal of Dermatopathology offers outstanding coverage of the latest diagnostic approaches and laboratory techniques, as well as insights into contemporary social, legal, and ethical concerns. Each issue features review articles on clinical, technical, and basic science advances and illuminating, detailed case reports. With the The American Journal of Dermatopathology you''ll be able to: -Incorporate step-by-step coverage of new or difficult-to-diagnose conditions from their earliest histopathologic signs to confirmatory immunohistochemical and molecular studies. -Apply the latest basic science findings and clinical approaches to your work right away. -Tap into the skills and expertise of your peers and colleagues the world over peer-reviewed original articles, "Extraordinary cases reports", coverage of practical guidelines, and graphic presentations. -Expand your horizons through the Journal''s idea-generating forum for debating controversial issues and learning from preeminent researchers and clinicians
×
引用
GB/T 7714-2015
复制
MLA
复制
APA
复制
导出至
BibTeX EndNote RefMan NoteFirst NoteExpress
×
提示
您的信息不完整,为了账户安全,请先补充。
现在去补充
×
提示
您因"违规操作"
具体请查看互助需知
我知道了
×
提示
确定
请完成安全验证×
copy
已复制链接
快去分享给好友吧!
我知道了
右上角分享
点击右上角分享
0
联系我们:info@booksci.cn Book学术提供免费学术资源搜索服务,方便国内外学者检索中英文文献。致力于提供最便捷和优质的服务体验。 Copyright © 2023 布克学术 All rights reserved.
京ICP备2023020795号-1
ghs 京公网安备 11010802042870号
Book学术文献互助
Book学术文献互助群
群 号:604180095
Book学术官方微信