复发霍奇金淋巴瘤患者自体造血干细胞移植后的移植后综合征。

IF 0.8 Q4 RESPIRATORY SYSTEM
Respirology Case Reports Pub Date : 2025-08-17 eCollection Date: 2025-08-01 DOI:10.1002/rcr2.70321
Bader J Alghamdi, Maha A Safhi, Reuof M Almakati
{"title":"复发霍奇金淋巴瘤患者自体造血干细胞移植后的移植后综合征。","authors":"Bader J Alghamdi, Maha A Safhi, Reuof M Almakati","doi":"10.1002/rcr2.70321","DOIUrl":null,"url":null,"abstract":"<p><p>Post-engraftment syndrome (PES) is a significant and potentially life-threatening complication of autologous haematopoietic stem cell transplantation (AHSCT) that presents with fever, skin rash and pulmonary involvement. Despite its clinical relevance, PES remains a diagnostic challenge and is often misidentified as an infectious process, leading to a delay in the appropriate treatment. We report the case of a 38-year-old man with relapsed Hodgkin's lymphoma and glucose-6-phosphate dehydrogenase (G6PD) deficiency who developed severe PES following AHSCT. The patient experienced severe respiratory distress and an altered mental status, necessitating intubation and intensive care unit admission. Despite broad-spectrum antimicrobial coverage, his condition deteriorated until intravenous corticosteroids were administered, with a subsequent remarkable clinical response. This case highlights the importance of the early recognition and appropriate management of PES.</p>","PeriodicalId":45846,"journal":{"name":"Respirology Case Reports","volume":"13 8","pages":"e70321"},"PeriodicalIF":0.8000,"publicationDate":"2025-08-17","publicationTypes":"Journal Article","fieldsOfStudy":null,"isOpenAccess":false,"openAccessPdf":"https://www.ncbi.nlm.nih.gov/pmc/articles/PMC12358217/pdf/","citationCount":"0","resultStr":"{\"title\":\"Post-Engraftment Syndrome Following Autologous Haematopoietic Stem Cell Transplantation in a Patient With Relapsed Hodgkin Lymphoma.\",\"authors\":\"Bader J Alghamdi, Maha A Safhi, Reuof M Almakati\",\"doi\":\"10.1002/rcr2.70321\",\"DOIUrl\":null,\"url\":null,\"abstract\":\"<p><p>Post-engraftment syndrome (PES) is a significant and potentially life-threatening complication of autologous haematopoietic stem cell transplantation (AHSCT) that presents with fever, skin rash and pulmonary involvement. Despite its clinical relevance, PES remains a diagnostic challenge and is often misidentified as an infectious process, leading to a delay in the appropriate treatment. We report the case of a 38-year-old man with relapsed Hodgkin's lymphoma and glucose-6-phosphate dehydrogenase (G6PD) deficiency who developed severe PES following AHSCT. The patient experienced severe respiratory distress and an altered mental status, necessitating intubation and intensive care unit admission. Despite broad-spectrum antimicrobial coverage, his condition deteriorated until intravenous corticosteroids were administered, with a subsequent remarkable clinical response. This case highlights the importance of the early recognition and appropriate management of PES.</p>\",\"PeriodicalId\":45846,\"journal\":{\"name\":\"Respirology Case Reports\",\"volume\":\"13 8\",\"pages\":\"e70321\"},\"PeriodicalIF\":0.8000,\"publicationDate\":\"2025-08-17\",\"publicationTypes\":\"Journal Article\",\"fieldsOfStudy\":null,\"isOpenAccess\":false,\"openAccessPdf\":\"https://www.ncbi.nlm.nih.gov/pmc/articles/PMC12358217/pdf/\",\"citationCount\":\"0\",\"resultStr\":null,\"platform\":\"Semanticscholar\",\"paperid\":null,\"PeriodicalName\":\"Respirology Case Reports\",\"FirstCategoryId\":\"1085\",\"ListUrlMain\":\"https://doi.org/10.1002/rcr2.70321\",\"RegionNum\":0,\"RegionCategory\":null,\"ArticlePicture\":[],\"TitleCN\":null,\"AbstractTextCN\":null,\"PMCID\":null,\"EPubDate\":\"2025/8/1 0:00:00\",\"PubModel\":\"eCollection\",\"JCR\":\"Q4\",\"JCRName\":\"RESPIRATORY SYSTEM\",\"Score\":null,\"Total\":0}","platform":"Semanticscholar","paperid":null,"PeriodicalName":"Respirology Case Reports","FirstCategoryId":"1085","ListUrlMain":"https://doi.org/10.1002/rcr2.70321","RegionNum":0,"RegionCategory":null,"ArticlePicture":[],"TitleCN":null,"AbstractTextCN":null,"PMCID":null,"EPubDate":"2025/8/1 0:00:00","PubModel":"eCollection","JCR":"Q4","JCRName":"RESPIRATORY SYSTEM","Score":null,"Total":0}
引用次数: 0

摘要

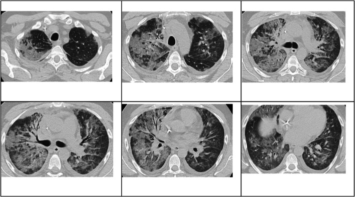
移植后综合征(PES)是自体造血干细胞移植(AHSCT)的一种重要且可能危及生命的并发症,表现为发热、皮疹和肺部受累。尽管具有临床意义,PES仍然是一个诊断挑战,经常被误认为是一种感染过程,导致适当治疗的延误。我们报告一例38岁男性复发霍奇金淋巴瘤和葡萄糖-6-磷酸脱氢酶(G6PD)缺乏症患者在AHSCT后发展为严重的PES。患者经历了严重的呼吸窘迫和精神状态的改变,需要插管和重症监护病房住院。尽管使用了广谱抗菌药物,他的病情仍在恶化,直到静脉注射皮质类固醇,随后出现了显著的临床反应。本病例强调了早期识别和适当管理PES的重要性。
本文章由计算机程序翻译,如有差异,请以英文原文为准。

Post-Engraftment Syndrome Following Autologous Haematopoietic Stem Cell Transplantation in a Patient With Relapsed Hodgkin Lymphoma.

Post-Engraftment Syndrome Following Autologous Haematopoietic Stem Cell Transplantation in a Patient With Relapsed Hodgkin Lymphoma.

Post-Engraftment Syndrome Following Autologous Haematopoietic Stem Cell Transplantation in a Patient With Relapsed Hodgkin Lymphoma.

Post-Engraftment Syndrome Following Autologous Haematopoietic Stem Cell Transplantation in a Patient With Relapsed Hodgkin Lymphoma.

Post-engraftment syndrome (PES) is a significant and potentially life-threatening complication of autologous haematopoietic stem cell transplantation (AHSCT) that presents with fever, skin rash and pulmonary involvement. Despite its clinical relevance, PES remains a diagnostic challenge and is often misidentified as an infectious process, leading to a delay in the appropriate treatment. We report the case of a 38-year-old man with relapsed Hodgkin's lymphoma and glucose-6-phosphate dehydrogenase (G6PD) deficiency who developed severe PES following AHSCT. The patient experienced severe respiratory distress and an altered mental status, necessitating intubation and intensive care unit admission. Despite broad-spectrum antimicrobial coverage, his condition deteriorated until intravenous corticosteroids were administered, with a subsequent remarkable clinical response. This case highlights the importance of the early recognition and appropriate management of PES.

求助全文
通过发布文献求助,成功后即可免费获取论文全文。 去求助
来源期刊
Respirology Case Reports
Respirology Case Reports RESPIRATORY SYSTEM-
CiteScore
1.40
自引率
0.00%
发文量
178
审稿时长
8 weeks
期刊介绍: Respirology Case Reports is an open-access online journal dedicated to the publication of original clinical case reports, case series, clinical images and clinical videos in all fields of respiratory medicine. The Journal encourages the international exchange between clinicians and researchers of experiences in diagnosing and treating uncommon diseases or diseases with unusual presentations. All manuscripts are peer-reviewed through a streamlined process that aims at providing a rapid turnaround time from submission to publication.
×
引用
GB/T 7714-2015
复制
MLA
复制
APA
复制
导出至
BibTeX EndNote RefMan NoteFirst NoteExpress
×
提示
您的信息不完整,为了账户安全,请先补充。
现在去补充
×
提示
您因"违规操作"
具体请查看互助需知
我知道了
×
提示
确定
请完成安全验证×
copy
已复制链接
快去分享给好友吧!
我知道了
右上角分享
点击右上角分享
0
联系我们:info@booksci.cn Book学术提供免费学术资源搜索服务,方便国内外学者检索中英文文献。致力于提供最便捷和优质的服务体验。 Copyright © 2023 布克学术 All rights reserved.
京ICP备2023020795号-1
ghs 京公网安备 11010802042870号
Book学术文献互助
Book学术文献互助群
群 号:604180095
Book学术官方微信