包虫性肝囊肿并发急性胰腺炎。

IF 0.5 Q4 GASTROENTEROLOGY & HEPATOLOGY
Case Reports in Gastrointestinal Medicine Pub Date : 2025-08-08 eCollection Date: 2025-01-01 DOI:10.1155/crgm/1244948
Charbel Saad, Shaza Mortada, Ali Dakroub, Makram Abou Ghaida, Lory Hage, Radwan Zahreddine, Abdallah Slim, Rodrigue Chemaly, Georges Al Hajj
{"title":"包虫性肝囊肿并发急性胰腺炎。","authors":"Charbel Saad, Shaza Mortada, Ali Dakroub, Makram Abou Ghaida, Lory Hage, Radwan Zahreddine, Abdallah Slim, Rodrigue Chemaly, Georges Al Hajj","doi":"10.1155/crgm/1244948","DOIUrl":null,"url":null,"abstract":"<p><p><b>Introduction and Importance:</b> Cystic echinococcosis is a common cystic infection in endemic areas. Solitary lesions are commonly found in the liver and are primarily caused by <i>Echinococcus granulosus</i>. Other organs can be involved as well but to a lesser degree. This paper presents a rare manifestation of a hydatid liver cyst causing acute pancreatitis. <b>Case Presentation:</b> A 67-year-old female presented with right upper quadrant pain, nausea, and vomiting. She was found to have a large hepatic cystic echinococcosis occupying the right lobe of the liver with associated acute pancreatitis. After endoscopic retrograde cholangiopancreatography (ERCP), three small yellow membrane fragments-presumed to be daughter cyst membranes-were found obstructing the common bile duct at the ampulla of Vater. The patient underwent laparoscopic unroofing of the hepatic cystic echinococcosis and laparoscopic cholecystectomy with an uneventful postoperative course. <b>Clinical Discussion:</b> Treatment modalities for hepatic cystic echinococcosis depend on the size of the cyst, imaging findings, cyst activity status, and associated complications. In nonendemic countries, where demographic changes occur due to travel from endemic regions, a high index of suspicion is necessary for timely diagnosis. A laparoscopic approach was chosen for its benefits related to minimally invasive surgery. While laparoscopic management of hepatic cystic echinococcosis is well described, its use in cases complicated by acute pancreatitis remains infrequently reported. <b>Conclusion:</b> Cystic echinococcosis most commonly presents in the liver. When associated with acute pancreatitis, a combined approach involving albendazole, ERCP, and sphincterotomy is typically required, with surgical resection depending on cyst classification.</p>","PeriodicalId":45645,"journal":{"name":"Case Reports in Gastrointestinal Medicine","volume":"2025 ","pages":"1244948"},"PeriodicalIF":0.5000,"publicationDate":"2025-08-08","publicationTypes":"Journal Article","fieldsOfStudy":null,"isOpenAccess":false,"openAccessPdf":"https://www.ncbi.nlm.nih.gov/pmc/articles/PMC12356676/pdf/","citationCount":"0","resultStr":"{\"title\":\"Acute Pancreatitis as a Complication of a Hydatid Liver Cyst.\",\"authors\":\"Charbel Saad, Shaza Mortada, Ali Dakroub, Makram Abou Ghaida, Lory Hage, Radwan Zahreddine, Abdallah Slim, Rodrigue Chemaly, Georges Al Hajj\",\"doi\":\"10.1155/crgm/1244948\",\"DOIUrl\":null,\"url\":null,\"abstract\":\"<p><p><b>Introduction and Importance:</b> Cystic echinococcosis is a common cystic infection in endemic areas. Solitary lesions are commonly found in the liver and are primarily caused by <i>Echinococcus granulosus</i>. Other organs can be involved as well but to a lesser degree. This paper presents a rare manifestation of a hydatid liver cyst causing acute pancreatitis. <b>Case Presentation:</b> A 67-year-old female presented with right upper quadrant pain, nausea, and vomiting. She was found to have a large hepatic cystic echinococcosis occupying the right lobe of the liver with associated acute pancreatitis. After endoscopic retrograde cholangiopancreatography (ERCP), three small yellow membrane fragments-presumed to be daughter cyst membranes-were found obstructing the common bile duct at the ampulla of Vater. The patient underwent laparoscopic unroofing of the hepatic cystic echinococcosis and laparoscopic cholecystectomy with an uneventful postoperative course. <b>Clinical Discussion:</b> Treatment modalities for hepatic cystic echinococcosis depend on the size of the cyst, imaging findings, cyst activity status, and associated complications. In nonendemic countries, where demographic changes occur due to travel from endemic regions, a high index of suspicion is necessary for timely diagnosis. A laparoscopic approach was chosen for its benefits related to minimally invasive surgery. While laparoscopic management of hepatic cystic echinococcosis is well described, its use in cases complicated by acute pancreatitis remains infrequently reported. <b>Conclusion:</b> Cystic echinococcosis most commonly presents in the liver. When associated with acute pancreatitis, a combined approach involving albendazole, ERCP, and sphincterotomy is typically required, with surgical resection depending on cyst classification.</p>\",\"PeriodicalId\":45645,\"journal\":{\"name\":\"Case Reports in Gastrointestinal Medicine\",\"volume\":\"2025 \",\"pages\":\"1244948\"},\"PeriodicalIF\":0.5000,\"publicationDate\":\"2025-08-08\",\"publicationTypes\":\"Journal Article\",\"fieldsOfStudy\":null,\"isOpenAccess\":false,\"openAccessPdf\":\"https://www.ncbi.nlm.nih.gov/pmc/articles/PMC12356676/pdf/\",\"citationCount\":\"0\",\"resultStr\":null,\"platform\":\"Semanticscholar\",\"paperid\":null,\"PeriodicalName\":\"Case Reports in Gastrointestinal Medicine\",\"FirstCategoryId\":\"1085\",\"ListUrlMain\":\"https://doi.org/10.1155/crgm/1244948\",\"RegionNum\":0,\"RegionCategory\":null,\"ArticlePicture\":[],\"TitleCN\":null,\"AbstractTextCN\":null,\"PMCID\":null,\"EPubDate\":\"2025/1/1 0:00:00\",\"PubModel\":\"eCollection\",\"JCR\":\"Q4\",\"JCRName\":\"GASTROENTEROLOGY & HEPATOLOGY\",\"Score\":null,\"Total\":0}","platform":"Semanticscholar","paperid":null,"PeriodicalName":"Case Reports in Gastrointestinal Medicine","FirstCategoryId":"1085","ListUrlMain":"https://doi.org/10.1155/crgm/1244948","RegionNum":0,"RegionCategory":null,"ArticlePicture":[],"TitleCN":null,"AbstractTextCN":null,"PMCID":null,"EPubDate":"2025/1/1 0:00:00","PubModel":"eCollection","JCR":"Q4","JCRName":"GASTROENTEROLOGY & HEPATOLOGY","Score":null,"Total":0}
引用次数: 0

摘要

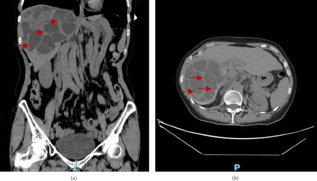
简介及重要性:囊性包虫病是流行地区常见的囊性感染。孤立性病变常见于肝脏,主要由细粒棘球绦虫引起。其他器官也可能受累,但程度较轻。本文报告一罕见的包虫性肝囊肿引起急性胰腺炎的表现。病例介绍:一名67岁女性,表现为右上腹疼痛、恶心和呕吐。她被发现有一个大的肝囊性包虫病占据肝脏右叶,并伴有急性胰腺炎。内窥镜逆行胆管造影(ERCP)后,发现三个小的黄色膜碎片(推测为子囊肿膜)阻塞了Vater壶腹处的胆总管。患者接受了腹腔镜下肝囊性包虫病开颅和腹腔镜胆囊切除术,术后过程平稳。临床讨论:肝囊性包虫病的治疗方式取决于囊肿的大小、影像学表现、囊肿活动状态和相关并发症。在非流行国家,由于来自流行地区的旅行而发生人口变化,因此需要高度的怀疑指数才能及时诊断。选择腹腔镜方法是因为其与微创手术相关的好处。虽然腹腔镜治疗肝囊性包虫病已有很好的报道,但其在急性胰腺炎合并病例中的应用仍然很少报道。结论:囊性包虫病最常见于肝脏。当合并急性胰腺炎时,通常需要阿苯达唑、ERCP和括约肌切开术联合入路,并根据囊肿分类进行手术切除。
本文章由计算机程序翻译,如有差异,请以英文原文为准。

Acute Pancreatitis as a Complication of a Hydatid Liver Cyst.

Acute Pancreatitis as a Complication of a Hydatid Liver Cyst.

Acute Pancreatitis as a Complication of a Hydatid Liver Cyst.

Acute Pancreatitis as a Complication of a Hydatid Liver Cyst.

Introduction and Importance: Cystic echinococcosis is a common cystic infection in endemic areas. Solitary lesions are commonly found in the liver and are primarily caused by Echinococcus granulosus. Other organs can be involved as well but to a lesser degree. This paper presents a rare manifestation of a hydatid liver cyst causing acute pancreatitis. Case Presentation: A 67-year-old female presented with right upper quadrant pain, nausea, and vomiting. She was found to have a large hepatic cystic echinococcosis occupying the right lobe of the liver with associated acute pancreatitis. After endoscopic retrograde cholangiopancreatography (ERCP), three small yellow membrane fragments-presumed to be daughter cyst membranes-were found obstructing the common bile duct at the ampulla of Vater. The patient underwent laparoscopic unroofing of the hepatic cystic echinococcosis and laparoscopic cholecystectomy with an uneventful postoperative course. Clinical Discussion: Treatment modalities for hepatic cystic echinococcosis depend on the size of the cyst, imaging findings, cyst activity status, and associated complications. In nonendemic countries, where demographic changes occur due to travel from endemic regions, a high index of suspicion is necessary for timely diagnosis. A laparoscopic approach was chosen for its benefits related to minimally invasive surgery. While laparoscopic management of hepatic cystic echinococcosis is well described, its use in cases complicated by acute pancreatitis remains infrequently reported. Conclusion: Cystic echinococcosis most commonly presents in the liver. When associated with acute pancreatitis, a combined approach involving albendazole, ERCP, and sphincterotomy is typically required, with surgical resection depending on cyst classification.

求助全文
通过发布文献求助,成功后即可免费获取论文全文。 去求助
来源期刊
Case Reports in Gastrointestinal Medicine
Case Reports in Gastrointestinal Medicine GASTROENTEROLOGY & HEPATOLOGY-
自引率
0.00%
发文量
33
审稿时长
14 weeks
×
引用
GB/T 7714-2015
复制
MLA
复制
APA
复制
导出至
BibTeX EndNote RefMan NoteFirst NoteExpress
×
提示
您的信息不完整,为了账户安全,请先补充。
现在去补充
×
提示
您因"违规操作"
具体请查看互助需知
我知道了
×
提示
确定
请完成安全验证×
copy
已复制链接
快去分享给好友吧!
我知道了
右上角分享
点击右上角分享
0
联系我们:info@booksci.cn Book学术提供免费学术资源搜索服务,方便国内外学者检索中英文文献。致力于提供最便捷和优质的服务体验。 Copyright © 2023 布克学术 All rights reserved.
京ICP备2023020795号-1
ghs 京公网安备 11010802042870号
Book学术文献互助
Book学术文献互助群
群 号:604180095
Book学术官方微信