多囊性脂膜性骨发育不良伴硬化性脑白质病2例报告。

Q3 Medicine
Dementia e Neuropsychologia Pub Date : 2025-08-04 eCollection Date: 2025-01-01 DOI:10.1590/1980-5764-DN-2024-0198
Joanisson Rubens Gomes Diniz, Katie Moraes de Almondes, Clécio Godeiro, Rodrigo Alencar E Silva
{"title":"多囊性脂膜性骨发育不良伴硬化性脑白质病2例报告。","authors":"Joanisson Rubens Gomes Diniz, Katie Moraes de Almondes, Clécio Godeiro, Rodrigo Alencar E Silva","doi":"10.1590/1980-5764-DN-2024-0198","DOIUrl":null,"url":null,"abstract":"<p><p>The polycystic lipomembranous osteodysplasia with sclerosing leukoencephalopathy-Nasu-Hakola disease-is a hereditary and progressive pathology, which is mainly associated with pre-senile dementia and changes in bone architecture.</p><p><strong>Objective: </strong>To report two rare cases of sibling patients treated with early-onset dementia syndrome with genetic etiology, and to review the literature on the topic.</p><p><strong>Methods: </strong>Review of medical records, interviews and recording of the diagnostic methods to which patients were subjected. From this, a report was prepared of two cases who began behavioral changes in the third decade of life, who developed, at different times, symptoms of similar cognitive impairment. Bibliographic research carried out in the United States National Library of Medicine (PubMed), Medical Literature Analysis and Retrieval System Online (MEDLINE), Latin American and Caribbean Health Sciences Literature (LILACS), UpToDate and Scientific Electronic Library Online (SciELO) databases for bibliographic review.</p><p><strong>Results: </strong>Two clinical cases with genetic confirmation of Nasu-Hakola disease and a brief literature review were described.</p><p><strong>Conclusion: </strong>These cases illustrate a presentation of pre-senile dementia syndrome and reinforce the importance of adequate diagnosis for timely treatment, humanized multidisciplinary follow-up aiming to improve quality of life, as well as genetic and family counseling.</p>","PeriodicalId":39167,"journal":{"name":"Dementia e Neuropsychologia","volume":"19 ","pages":"e20240198"},"PeriodicalIF":0.0000,"publicationDate":"2025-08-04","publicationTypes":"Journal Article","fieldsOfStudy":null,"isOpenAccess":false,"openAccessPdf":"https://www.ncbi.nlm.nih.gov/pmc/articles/PMC12352599/pdf/","citationCount":"0","resultStr":"{\"title\":\"Polycystic lipomembranous osteodysplasia with sclerosing leukoencephalopathy: report of two cases.\",\"authors\":\"Joanisson Rubens Gomes Diniz, Katie Moraes de Almondes, Clécio Godeiro, Rodrigo Alencar E Silva\",\"doi\":\"10.1590/1980-5764-DN-2024-0198\",\"DOIUrl\":null,\"url\":null,\"abstract\":\"<p><p>The polycystic lipomembranous osteodysplasia with sclerosing leukoencephalopathy-Nasu-Hakola disease-is a hereditary and progressive pathology, which is mainly associated with pre-senile dementia and changes in bone architecture.</p><p><strong>Objective: </strong>To report two rare cases of sibling patients treated with early-onset dementia syndrome with genetic etiology, and to review the literature on the topic.</p><p><strong>Methods: </strong>Review of medical records, interviews and recording of the diagnostic methods to which patients were subjected. From this, a report was prepared of two cases who began behavioral changes in the third decade of life, who developed, at different times, symptoms of similar cognitive impairment. Bibliographic research carried out in the United States National Library of Medicine (PubMed), Medical Literature Analysis and Retrieval System Online (MEDLINE), Latin American and Caribbean Health Sciences Literature (LILACS), UpToDate and Scientific Electronic Library Online (SciELO) databases for bibliographic review.</p><p><strong>Results: </strong>Two clinical cases with genetic confirmation of Nasu-Hakola disease and a brief literature review were described.</p><p><strong>Conclusion: </strong>These cases illustrate a presentation of pre-senile dementia syndrome and reinforce the importance of adequate diagnosis for timely treatment, humanized multidisciplinary follow-up aiming to improve quality of life, as well as genetic and family counseling.</p>\",\"PeriodicalId\":39167,\"journal\":{\"name\":\"Dementia e Neuropsychologia\",\"volume\":\"19 \",\"pages\":\"e20240198\"},\"PeriodicalIF\":0.0000,\"publicationDate\":\"2025-08-04\",\"publicationTypes\":\"Journal Article\",\"fieldsOfStudy\":null,\"isOpenAccess\":false,\"openAccessPdf\":\"https://www.ncbi.nlm.nih.gov/pmc/articles/PMC12352599/pdf/\",\"citationCount\":\"0\",\"resultStr\":null,\"platform\":\"Semanticscholar\",\"paperid\":null,\"PeriodicalName\":\"Dementia e Neuropsychologia\",\"FirstCategoryId\":\"1085\",\"ListUrlMain\":\"https://doi.org/10.1590/1980-5764-DN-2024-0198\",\"RegionNum\":0,\"RegionCategory\":null,\"ArticlePicture\":[],\"TitleCN\":null,\"AbstractTextCN\":null,\"PMCID\":null,\"EPubDate\":\"2025/1/1 0:00:00\",\"PubModel\":\"eCollection\",\"JCR\":\"Q3\",\"JCRName\":\"Medicine\",\"Score\":null,\"Total\":0}","platform":"Semanticscholar","paperid":null,"PeriodicalName":"Dementia e Neuropsychologia","FirstCategoryId":"1085","ListUrlMain":"https://doi.org/10.1590/1980-5764-DN-2024-0198","RegionNum":0,"RegionCategory":null,"ArticlePicture":[],"TitleCN":null,"AbstractTextCN":null,"PMCID":null,"EPubDate":"2025/1/1 0:00:00","PubModel":"eCollection","JCR":"Q3","JCRName":"Medicine","Score":null,"Total":0}
引用次数: 0

摘要

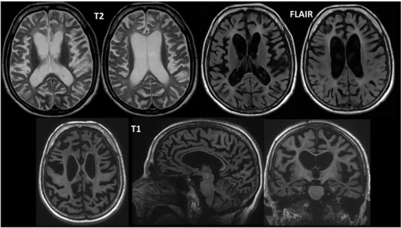
多囊性脂膜性骨发育不良伴硬化性白质脑病(nasu - hakola病)是一种遗传性进行性病理,主要与老年前痴呆和骨结构改变有关。目的:报告两例罕见的兄弟姐妹早发性痴呆综合征的遗传病因治疗,并回顾相关文献。方法:查阅病历、访谈和记录患者所采用的诊断方法。据此,研究人员准备了一份报告,其中包括两名在生命第三个十年开始行为改变的患者,他们在不同的时间出现了类似认知障碍的症状。在美国国家医学图书馆(PubMed)、医学文献分析和在线检索系统(MEDLINE)、拉丁美洲和加勒比卫生科学文献(LILACS)、UpToDate和科学电子在线图书馆(SciELO)数据库中进行书目研究,以进行书目审查。结果:本文报告2例遗传确证的纳苏-哈科拉病临床病例,并复习了相关文献。结论:这些病例说明了老年前痴呆综合征的表现,并强调了充分的诊断和及时治疗的重要性,人性化的多学科随访旨在提高生活质量,以及遗传和家庭咨询。
本文章由计算机程序翻译,如有差异,请以英文原文为准。

Polycystic lipomembranous osteodysplasia with sclerosing leukoencephalopathy: report of two cases.

Polycystic lipomembranous osteodysplasia with sclerosing leukoencephalopathy: report of two cases.

Polycystic lipomembranous osteodysplasia with sclerosing leukoencephalopathy: report of two cases.

Polycystic lipomembranous osteodysplasia with sclerosing leukoencephalopathy: report of two cases.

The polycystic lipomembranous osteodysplasia with sclerosing leukoencephalopathy-Nasu-Hakola disease-is a hereditary and progressive pathology, which is mainly associated with pre-senile dementia and changes in bone architecture.

Objective: To report two rare cases of sibling patients treated with early-onset dementia syndrome with genetic etiology, and to review the literature on the topic.

Methods: Review of medical records, interviews and recording of the diagnostic methods to which patients were subjected. From this, a report was prepared of two cases who began behavioral changes in the third decade of life, who developed, at different times, symptoms of similar cognitive impairment. Bibliographic research carried out in the United States National Library of Medicine (PubMed), Medical Literature Analysis and Retrieval System Online (MEDLINE), Latin American and Caribbean Health Sciences Literature (LILACS), UpToDate and Scientific Electronic Library Online (SciELO) databases for bibliographic review.

Results: Two clinical cases with genetic confirmation of Nasu-Hakola disease and a brief literature review were described.

Conclusion: These cases illustrate a presentation of pre-senile dementia syndrome and reinforce the importance of adequate diagnosis for timely treatment, humanized multidisciplinary follow-up aiming to improve quality of life, as well as genetic and family counseling.

求助全文
通过发布文献求助,成功后即可免费获取论文全文。 去求助
来源期刊
Dementia e Neuropsychologia
Dementia e Neuropsychologia Medicine-Geriatrics and Gerontology
CiteScore
2.20
自引率
0.00%
发文量
58
审稿时长
8 weeks
期刊介绍: Dementia top Neuropsychologia the official scientific journal of the Cognitive Neurology and Ageing Department of the Brazilian Academy of Neurology and of the Brazilian Association of Geriatric Neuropsychiatry, is published by the "Associação Neurologia Cognitiva e do Comportamento", a nonprofit Brazilian association. Regularly published on March, June, September, and December since 2007.
×
引用
GB/T 7714-2015
复制
MLA
复制
APA
复制
导出至
BibTeX EndNote RefMan NoteFirst NoteExpress
×
提示
您的信息不完整,为了账户安全,请先补充。
现在去补充
×
提示
您因"违规操作"
具体请查看互助需知
我知道了
×
提示
确定
请完成安全验证×
copy
已复制链接
快去分享给好友吧!
我知道了
右上角分享
点击右上角分享
0
联系我们:info@booksci.cn Book学术提供免费学术资源搜索服务,方便国内外学者检索中英文文献。致力于提供最便捷和优质的服务体验。 Copyright © 2023 布克学术 All rights reserved.
京ICP备2023020795号-1
ghs 京公网安备 11010802042870号
Book学术文献互助
Book学术文献互助群
群 号:604180095
Book学术官方微信