双副肿瘤综合征伴前列腺癌:抗利尿激素分泌不当伴恶性肿瘤体液性高钙血症综合征1例。

IF 0.4 Q4 UROLOGY & NEPHROLOGY
Urology Case Reports Pub Date : 2025-08-06 eCollection Date: 2025-09-01 DOI:10.1016/j.eucr.2025.103148
Junya Abe, Takashi Muranaka, Yasuharu Kunishima
{"title":"双副肿瘤综合征伴前列腺癌:抗利尿激素分泌不当伴恶性肿瘤体液性高钙血症综合征1例。","authors":"Junya Abe, Takashi Muranaka, Yasuharu Kunishima","doi":"10.1016/j.eucr.2025.103148","DOIUrl":null,"url":null,"abstract":"<p><p>We report the case of an 85-year-old man diagnosed with metastatic prostate cancer three years earlier. While on combined androgen blockade, he developed hematuria, hematochezia, and fatigue. These symptoms were attributed to local progression of prostate cancer and syndrome of inappropriate antidiuretic hormone secretion (SIADH). Water restriction, palliative radiation, and tolvaptan alleviated the symptoms. Four months later, he experienced appetite loss and fatigue due to hypercalcemia, ultimately leading to a diagnosis of humoral hypercalcemia of malignancy (HHM).</p>","PeriodicalId":38188,"journal":{"name":"Urology Case Reports","volume":"62 ","pages":"103148"},"PeriodicalIF":0.4000,"publicationDate":"2025-08-06","publicationTypes":"Journal Article","fieldsOfStudy":null,"isOpenAccess":false,"openAccessPdf":"https://www.ncbi.nlm.nih.gov/pmc/articles/PMC12356318/pdf/","citationCount":"0","resultStr":"{\"title\":\"Dual paraneoplastic syndrome with prostate cancer: A case of syndrome of inappropriate secretion of antidiuretic hormone (SIADH) and humoral hypercalcemia of malignancy (HHM).\",\"authors\":\"Junya Abe, Takashi Muranaka, Yasuharu Kunishima\",\"doi\":\"10.1016/j.eucr.2025.103148\",\"DOIUrl\":null,\"url\":null,\"abstract\":\"<p><p>We report the case of an 85-year-old man diagnosed with metastatic prostate cancer three years earlier. While on combined androgen blockade, he developed hematuria, hematochezia, and fatigue. These symptoms were attributed to local progression of prostate cancer and syndrome of inappropriate antidiuretic hormone secretion (SIADH). Water restriction, palliative radiation, and tolvaptan alleviated the symptoms. Four months later, he experienced appetite loss and fatigue due to hypercalcemia, ultimately leading to a diagnosis of humoral hypercalcemia of malignancy (HHM).</p>\",\"PeriodicalId\":38188,\"journal\":{\"name\":\"Urology Case Reports\",\"volume\":\"62 \",\"pages\":\"103148\"},\"PeriodicalIF\":0.4000,\"publicationDate\":\"2025-08-06\",\"publicationTypes\":\"Journal Article\",\"fieldsOfStudy\":null,\"isOpenAccess\":false,\"openAccessPdf\":\"https://www.ncbi.nlm.nih.gov/pmc/articles/PMC12356318/pdf/\",\"citationCount\":\"0\",\"resultStr\":null,\"platform\":\"Semanticscholar\",\"paperid\":null,\"PeriodicalName\":\"Urology Case Reports\",\"FirstCategoryId\":\"1085\",\"ListUrlMain\":\"https://doi.org/10.1016/j.eucr.2025.103148\",\"RegionNum\":0,\"RegionCategory\":null,\"ArticlePicture\":[],\"TitleCN\":null,\"AbstractTextCN\":null,\"PMCID\":null,\"EPubDate\":\"2025/9/1 0:00:00\",\"PubModel\":\"eCollection\",\"JCR\":\"Q4\",\"JCRName\":\"UROLOGY & NEPHROLOGY\",\"Score\":null,\"Total\":0}","platform":"Semanticscholar","paperid":null,"PeriodicalName":"Urology Case Reports","FirstCategoryId":"1085","ListUrlMain":"https://doi.org/10.1016/j.eucr.2025.103148","RegionNum":0,"RegionCategory":null,"ArticlePicture":[],"TitleCN":null,"AbstractTextCN":null,"PMCID":null,"EPubDate":"2025/9/1 0:00:00","PubModel":"eCollection","JCR":"Q4","JCRName":"UROLOGY & NEPHROLOGY","Score":null,"Total":0}
引用次数: 0

摘要

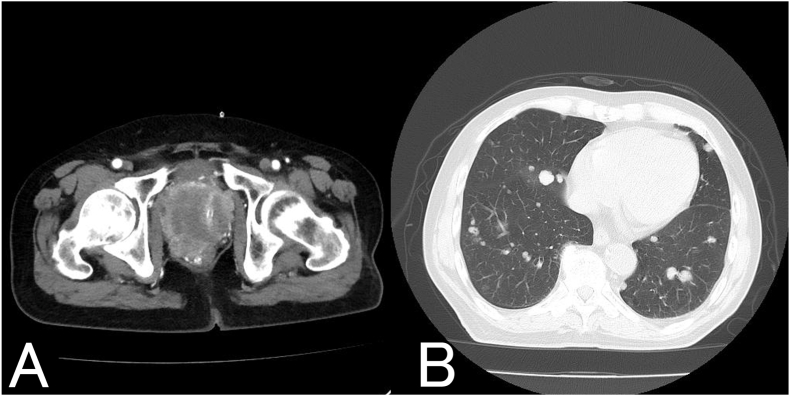
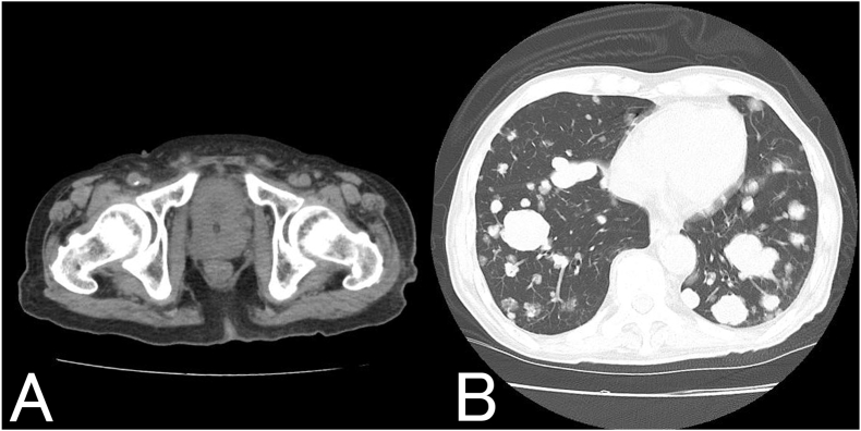
我们报告的情况下,85岁的男子诊断为转移性前列腺癌三年前。在联合雄激素阻断治疗期间,他出现了血尿、便血和疲劳。这些症状归因于前列腺癌的局部进展和不适当的抗利尿激素分泌综合征(SIADH)。限水、姑息性放疗和托伐普坦均可缓解症状。4个月后,由于高钙血症,他出现食欲不振和疲劳,最终被诊断为恶性体液性高钙血症(HHM)。
本文章由计算机程序翻译,如有差异,请以英文原文为准。

Dual paraneoplastic syndrome with prostate cancer: A case of syndrome of inappropriate secretion of antidiuretic hormone (SIADH) and humoral hypercalcemia of malignancy (HHM).

Dual paraneoplastic syndrome with prostate cancer: A case of syndrome of inappropriate secretion of antidiuretic hormone (SIADH) and humoral hypercalcemia of malignancy (HHM).

Dual paraneoplastic syndrome with prostate cancer: A case of syndrome of inappropriate secretion of antidiuretic hormone (SIADH) and humoral hypercalcemia of malignancy (HHM).

Dual paraneoplastic syndrome with prostate cancer: A case of syndrome of inappropriate secretion of antidiuretic hormone (SIADH) and humoral hypercalcemia of malignancy (HHM).

We report the case of an 85-year-old man diagnosed with metastatic prostate cancer three years earlier. While on combined androgen blockade, he developed hematuria, hematochezia, and fatigue. These symptoms were attributed to local progression of prostate cancer and syndrome of inappropriate antidiuretic hormone secretion (SIADH). Water restriction, palliative radiation, and tolvaptan alleviated the symptoms. Four months later, he experienced appetite loss and fatigue due to hypercalcemia, ultimately leading to a diagnosis of humoral hypercalcemia of malignancy (HHM).

求助全文
通过发布文献求助,成功后即可免费获取论文全文。 去求助
来源期刊
Urology Case Reports
Urology Case Reports Medicine-Urology
CiteScore
0.90
自引率
20.00%
发文量
325
审稿时长
37 days
×
引用
GB/T 7714-2015
复制
MLA
复制
APA
复制
导出至
BibTeX EndNote RefMan NoteFirst NoteExpress
×
提示
您的信息不完整,为了账户安全,请先补充。
现在去补充
×
提示
您因"违规操作"
具体请查看互助需知
我知道了
×
提示
确定
请完成安全验证×
copy
已复制链接
快去分享给好友吧!
我知道了
右上角分享
点击右上角分享
0
联系我们:info@booksci.cn Book学术提供免费学术资源搜索服务,方便国内外学者检索中英文文献。致力于提供最便捷和优质的服务体验。 Copyright © 2023 布克学术 All rights reserved.
京ICP备2023020795号-1
ghs 京公网安备 11010802042870号
Book学术文献互助
Book学术文献互助群
群 号:604180095
Book学术官方微信