推进基于深度学习的真实多中心CT扫描中多个肺癌病灶的分割。

IF 3.6 Q1 RADIOLOGY, NUCLEAR MEDICINE & MEDICAL IMAGING
Xavier Rafael-Palou, Ana Jimenez-Pastor, Luis Martí-Bonmatí, Carlos F Muñoz-Nuñez, Mario Laudazi, Ángel Alberich-Bayarri
{"title":"推进基于深度学习的真实多中心CT扫描中多个肺癌病灶的分割。","authors":"Xavier Rafael-Palou, Ana Jimenez-Pastor, Luis Martí-Bonmatí, Carlos F Muñoz-Nuñez, Mario Laudazi, Ángel Alberich-Bayarri","doi":"10.1186/s41747-025-00617-7","DOIUrl":null,"url":null,"abstract":"<p><strong>Background: </strong>Accurate segmentation of lung cancer lesions in computed tomography (CT) is essential for precise diagnosis, personalized therapy planning, and treatment response assessment. While automatic segmentation of the primary lung lesion has been widely studied, the ability to segment multiple lesions per patient remains underexplored. In this study, we address this gap by introducing a novel, automated approach for multi-instance segmentation of lung cancer lesions, leveraging a heterogeneous cohort with real-world multicenter data.</p><p><strong>Materials and methods: </strong>We analyzed 1,081 retrospectively collected CT scans with 5,322 annotated lesions (4.92 ± 13.05 lesions per scan). The cohort was stratified into training (n = 868) and testing (n = 213) subsets. We developed an automated three-step pipeline, including thoracic bounding box extraction, multi-instance lesion segmentation, and false positive reduction via a novel multiscale cascade classifier to filter spurious and non-lesion candidates.</p><p><strong>Results: </strong>On the independent test set, our method achieved a Dice similarity coefficient of 76% for segmentation and a lesion detection sensitivity of 85%. When evaluated on an external dataset of 188 real-world cases, it achieved a Dice similarity coefficient of 73%, and a lesion detection sensitivity of 85%.</p><p><strong>Conclusion: </strong>Our approach accurately detected and segmented multiple lung cancer lesions per patient on CT scans, demonstrating robustness across an independent test set and an external real-world dataset.</p><p><strong>Relevance statement: </strong>AI-driven segmentation comprehensively captures lesion burden, enhancing lung cancer assessment and disease monitoring KEY POINTS: Automatic multi-instance lung cancer lesion segmentation is underexplored yet crucial for disease assessment. Developed a deep learning-based segmentation pipeline trained on multi-center real-world data, which reached 85% sensitivity at external validation. Thoracic bounding box and false positive reduction techniques improved the pipeline's segmentation performance.</p>","PeriodicalId":36926,"journal":{"name":"European Radiology Experimental","volume":"9 1","pages":"78"},"PeriodicalIF":3.6000,"publicationDate":"2025-08-18","publicationTypes":"Journal Article","fieldsOfStudy":null,"isOpenAccess":false,"openAccessPdf":"https://www.ncbi.nlm.nih.gov/pmc/articles/PMC12361585/pdf/","citationCount":"0","resultStr":"{\"title\":\"Advancing deep learning-based segmentation for multiple lung cancer lesions in real-world multicenter CT scans.\",\"authors\":\"Xavier Rafael-Palou, Ana Jimenez-Pastor, Luis Martí-Bonmatí, Carlos F Muñoz-Nuñez, Mario Laudazi, Ángel Alberich-Bayarri\",\"doi\":\"10.1186/s41747-025-00617-7\",\"DOIUrl\":null,\"url\":null,\"abstract\":\"<p><strong>Background: </strong>Accurate segmentation of lung cancer lesions in computed tomography (CT) is essential for precise diagnosis, personalized therapy planning, and treatment response assessment. While automatic segmentation of the primary lung lesion has been widely studied, the ability to segment multiple lesions per patient remains underexplored. In this study, we address this gap by introducing a novel, automated approach for multi-instance segmentation of lung cancer lesions, leveraging a heterogeneous cohort with real-world multicenter data.</p><p><strong>Materials and methods: </strong>We analyzed 1,081 retrospectively collected CT scans with 5,322 annotated lesions (4.92 ± 13.05 lesions per scan). The cohort was stratified into training (n = 868) and testing (n = 213) subsets. We developed an automated three-step pipeline, including thoracic bounding box extraction, multi-instance lesion segmentation, and false positive reduction via a novel multiscale cascade classifier to filter spurious and non-lesion candidates.</p><p><strong>Results: </strong>On the independent test set, our method achieved a Dice similarity coefficient of 76% for segmentation and a lesion detection sensitivity of 85%. When evaluated on an external dataset of 188 real-world cases, it achieved a Dice similarity coefficient of 73%, and a lesion detection sensitivity of 85%.</p><p><strong>Conclusion: </strong>Our approach accurately detected and segmented multiple lung cancer lesions per patient on CT scans, demonstrating robustness across an independent test set and an external real-world dataset.</p><p><strong>Relevance statement: </strong>AI-driven segmentation comprehensively captures lesion burden, enhancing lung cancer assessment and disease monitoring KEY POINTS: Automatic multi-instance lung cancer lesion segmentation is underexplored yet crucial for disease assessment. Developed a deep learning-based segmentation pipeline trained on multi-center real-world data, which reached 85% sensitivity at external validation. Thoracic bounding box and false positive reduction techniques improved the pipeline's segmentation performance.</p>\",\"PeriodicalId\":36926,\"journal\":{\"name\":\"European Radiology Experimental\",\"volume\":\"9 1\",\"pages\":\"78\"},\"PeriodicalIF\":3.6000,\"publicationDate\":\"2025-08-18\",\"publicationTypes\":\"Journal Article\",\"fieldsOfStudy\":null,\"isOpenAccess\":false,\"openAccessPdf\":\"https://www.ncbi.nlm.nih.gov/pmc/articles/PMC12361585/pdf/\",\"citationCount\":\"0\",\"resultStr\":null,\"platform\":\"Semanticscholar\",\"paperid\":null,\"PeriodicalName\":\"European Radiology Experimental\",\"FirstCategoryId\":\"1085\",\"ListUrlMain\":\"https://doi.org/10.1186/s41747-025-00617-7\",\"RegionNum\":0,\"RegionCategory\":null,\"ArticlePicture\":[],\"TitleCN\":null,\"AbstractTextCN\":null,\"PMCID\":null,\"EPubDate\":\"\",\"PubModel\":\"\",\"JCR\":\"Q1\",\"JCRName\":\"RADIOLOGY, NUCLEAR MEDICINE & MEDICAL IMAGING\",\"Score\":null,\"Total\":0}","platform":"Semanticscholar","paperid":null,"PeriodicalName":"European Radiology Experimental","FirstCategoryId":"1085","ListUrlMain":"https://doi.org/10.1186/s41747-025-00617-7","RegionNum":0,"RegionCategory":null,"ArticlePicture":[],"TitleCN":null,"AbstractTextCN":null,"PMCID":null,"EPubDate":"","PubModel":"","JCR":"Q1","JCRName":"RADIOLOGY, NUCLEAR MEDICINE & MEDICAL IMAGING","Score":null,"Total":0}
引用次数: 0

摘要

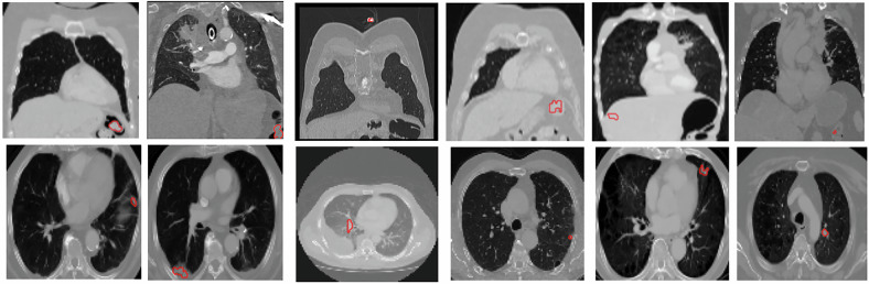
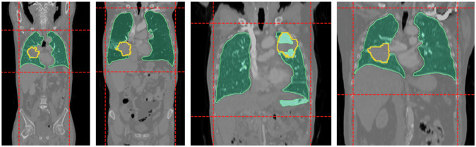
背景:计算机断层扫描(CT)对肺癌病变的准确分割对于精确诊断、个性化治疗计划和治疗反应评估至关重要。虽然对原发性肺病变的自动分割已经得到了广泛的研究,但对每个患者的多个病变进行分割的能力仍未得到充分的探索。在这项研究中,我们通过引入一种新颖的自动化方法来解决这一差距,该方法用于肺癌病变的多实例分割,利用具有真实世界多中心数据的异质队列。材料和方法:我们回顾性分析了1,081份CT扫描,其中包含5,322个注释病灶(每次扫描4.92±13.05个病灶)。该队列被分为训练组(n = 868)和测试组(n = 213)。我们开发了一个自动化的三步流水线,包括胸围框提取,多实例病变分割,以及通过一种新的多尺度级联分类器过滤虚假和非病变候选物来减少假阳性。结果:在独立测试集上,我们的方法实现了分割的Dice相似系数为76%,病灶检测灵敏度为85%。当在188个真实案例的外部数据集上进行评估时,它的Dice相似系数为73%,病变检测灵敏度为85%。结论:我们的方法在CT扫描上准确地检测和分割了每位患者的多个肺癌病变,在独立测试集和外部真实数据集上显示了稳健性。相关声明:人工智能驱动的病灶分割全面捕捉病灶负担,增强肺癌评估和疾病监测。重点:多实例肺癌病灶自动分割尚未被充分探索,但对疾病评估至关重要。开发了一种基于深度学习的分割管道,训练了多中心真实世界的数据,在外部验证中灵敏度达到85%。胸廓边界盒和假阳性减少技术提高了管道的分割性能。
本文章由计算机程序翻译,如有差异,请以英文原文为准。

Advancing deep learning-based segmentation for multiple lung cancer lesions in real-world multicenter CT scans.

Advancing deep learning-based segmentation for multiple lung cancer lesions in real-world multicenter CT scans.

Advancing deep learning-based segmentation for multiple lung cancer lesions in real-world multicenter CT scans.

Advancing deep learning-based segmentation for multiple lung cancer lesions in real-world multicenter CT scans.

Background: Accurate segmentation of lung cancer lesions in computed tomography (CT) is essential for precise diagnosis, personalized therapy planning, and treatment response assessment. While automatic segmentation of the primary lung lesion has been widely studied, the ability to segment multiple lesions per patient remains underexplored. In this study, we address this gap by introducing a novel, automated approach for multi-instance segmentation of lung cancer lesions, leveraging a heterogeneous cohort with real-world multicenter data.

Materials and methods: We analyzed 1,081 retrospectively collected CT scans with 5,322 annotated lesions (4.92 ± 13.05 lesions per scan). The cohort was stratified into training (n = 868) and testing (n = 213) subsets. We developed an automated three-step pipeline, including thoracic bounding box extraction, multi-instance lesion segmentation, and false positive reduction via a novel multiscale cascade classifier to filter spurious and non-lesion candidates.

Results: On the independent test set, our method achieved a Dice similarity coefficient of 76% for segmentation and a lesion detection sensitivity of 85%. When evaluated on an external dataset of 188 real-world cases, it achieved a Dice similarity coefficient of 73%, and a lesion detection sensitivity of 85%.

Conclusion: Our approach accurately detected and segmented multiple lung cancer lesions per patient on CT scans, demonstrating robustness across an independent test set and an external real-world dataset.

Relevance statement: AI-driven segmentation comprehensively captures lesion burden, enhancing lung cancer assessment and disease monitoring KEY POINTS: Automatic multi-instance lung cancer lesion segmentation is underexplored yet crucial for disease assessment. Developed a deep learning-based segmentation pipeline trained on multi-center real-world data, which reached 85% sensitivity at external validation. Thoracic bounding box and false positive reduction techniques improved the pipeline's segmentation performance.

求助全文
通过发布文献求助,成功后即可免费获取论文全文。 去求助
来源期刊
European Radiology Experimental
European Radiology Experimental Medicine-Radiology, Nuclear Medicine and Imaging
CiteScore
6.70
自引率
2.60%
发文量
56
审稿时长
18 weeks
×
引用
GB/T 7714-2015
复制
MLA
复制
APA
复制
导出至
BibTeX EndNote RefMan NoteFirst NoteExpress
×
提示
您的信息不完整,为了账户安全,请先补充。
现在去补充
×
提示
您因"违规操作"
具体请查看互助需知
我知道了
×
提示
确定
请完成安全验证×
copy
已复制链接
快去分享给好友吧!
我知道了
右上角分享
点击右上角分享
0
联系我们:info@booksci.cn Book学术提供免费学术资源搜索服务,方便国内外学者检索中英文文献。致力于提供最便捷和优质的服务体验。 Copyright © 2023 布克学术 All rights reserved.
京ICP备2023020795号-1
ghs 京公网安备 11010802042870号
Book学术文献互助
Book学术文献互助群
群 号:604180095
Book学术官方微信