盆腔立体定向消融体放疗(SABR)再照射:英国SABR联盟用于常规临床护理的指南。

IF 2.8 Q1 Nursing
Elena Moreno-Olmedo, Kasia Owczarczyk, Eliot Chadwick, Peter Dickinson, Aileen Duffton, Bleddyn Jones, James S Good, Fiona McDonald, Louise J Murray, Thomas Rackley, Maxwell Robinson, Judith Sinclair, Thomas Strawson-Smith, Alison Tree, Yat Man Tsang, Anjali Zarkar, Christopher Dean, Patricia Díez, Matt Williams, Nicholas Andratschke, Rebecca Muirhead
{"title":"盆腔立体定向消融体放疗(SABR)再照射:英国SABR联盟用于常规临床护理的指南。","authors":"Elena Moreno-Olmedo, Kasia Owczarczyk, Eliot Chadwick, Peter Dickinson, Aileen Duffton, Bleddyn Jones, James S Good, Fiona McDonald, Louise J Murray, Thomas Rackley, Maxwell Robinson, Judith Sinclair, Thomas Strawson-Smith, Alison Tree, Yat Man Tsang, Anjali Zarkar, Christopher Dean, Patricia Díez, Matt Williams, Nicholas Andratschke, Rebecca Muirhead","doi":"10.1016/j.tipsro.2025.100326","DOIUrl":null,"url":null,"abstract":"<p><p>Stereotactic ablative body radiotherapy (SABR) is routinely used for the management of oligometastatic disease. Increasingly, there is overlap of targets or organs at risk with previous radiotherapy fields. As substantial variation in delivery of clinical practice exists, the UK SABR Consortium worked with a collaborative national group to develop pelvic SABR re-irradiation consensus guidelines. The scope of the guidance includes patient selection criteria, pre-treatment considerations, delineation guidelines, dose prescription, calculations of cumulative dose constraints, and optimal planning technique. This guidance is part of an ongoing national prospective audit in collaboration with the Royal College of Radiologists and EORTC ReCare.</p>","PeriodicalId":36328,"journal":{"name":"Technical Innovations and Patient Support in Radiation Oncology","volume":"35 ","pages":"100326"},"PeriodicalIF":2.8000,"publicationDate":"2025-08-05","publicationTypes":"Journal Article","fieldsOfStudy":null,"isOpenAccess":false,"openAccessPdf":"https://www.ncbi.nlm.nih.gov/pmc/articles/PMC12356378/pdf/","citationCount":"0","resultStr":"{\"title\":\"Pelvic stereotactic ablative body radiotherapy (SABR) reirradiation: UK SABR consortium guidance for use in routine clinical care.\",\"authors\":\"Elena Moreno-Olmedo, Kasia Owczarczyk, Eliot Chadwick, Peter Dickinson, Aileen Duffton, Bleddyn Jones, James S Good, Fiona McDonald, Louise J Murray, Thomas Rackley, Maxwell Robinson, Judith Sinclair, Thomas Strawson-Smith, Alison Tree, Yat Man Tsang, Anjali Zarkar, Christopher Dean, Patricia Díez, Matt Williams, Nicholas Andratschke, Rebecca Muirhead\",\"doi\":\"10.1016/j.tipsro.2025.100326\",\"DOIUrl\":null,\"url\":null,\"abstract\":\"<p><p>Stereotactic ablative body radiotherapy (SABR) is routinely used for the management of oligometastatic disease. Increasingly, there is overlap of targets or organs at risk with previous radiotherapy fields. As substantial variation in delivery of clinical practice exists, the UK SABR Consortium worked with a collaborative national group to develop pelvic SABR re-irradiation consensus guidelines. The scope of the guidance includes patient selection criteria, pre-treatment considerations, delineation guidelines, dose prescription, calculations of cumulative dose constraints, and optimal planning technique. This guidance is part of an ongoing national prospective audit in collaboration with the Royal College of Radiologists and EORTC ReCare.</p>\",\"PeriodicalId\":36328,\"journal\":{\"name\":\"Technical Innovations and Patient Support in Radiation Oncology\",\"volume\":\"35 \",\"pages\":\"100326\"},\"PeriodicalIF\":2.8000,\"publicationDate\":\"2025-08-05\",\"publicationTypes\":\"Journal Article\",\"fieldsOfStudy\":null,\"isOpenAccess\":false,\"openAccessPdf\":\"https://www.ncbi.nlm.nih.gov/pmc/articles/PMC12356378/pdf/\",\"citationCount\":\"0\",\"resultStr\":null,\"platform\":\"Semanticscholar\",\"paperid\":null,\"PeriodicalName\":\"Technical Innovations and Patient Support in Radiation Oncology\",\"FirstCategoryId\":\"1085\",\"ListUrlMain\":\"https://doi.org/10.1016/j.tipsro.2025.100326\",\"RegionNum\":0,\"RegionCategory\":null,\"ArticlePicture\":[],\"TitleCN\":null,\"AbstractTextCN\":null,\"PMCID\":null,\"EPubDate\":\"2025/9/1 0:00:00\",\"PubModel\":\"eCollection\",\"JCR\":\"Q1\",\"JCRName\":\"Nursing\",\"Score\":null,\"Total\":0}","platform":"Semanticscholar","paperid":null,"PeriodicalName":"Technical Innovations and Patient Support in Radiation Oncology","FirstCategoryId":"1085","ListUrlMain":"https://doi.org/10.1016/j.tipsro.2025.100326","RegionNum":0,"RegionCategory":null,"ArticlePicture":[],"TitleCN":null,"AbstractTextCN":null,"PMCID":null,"EPubDate":"2025/9/1 0:00:00","PubModel":"eCollection","JCR":"Q1","JCRName":"Nursing","Score":null,"Total":0}
引用次数: 0

摘要

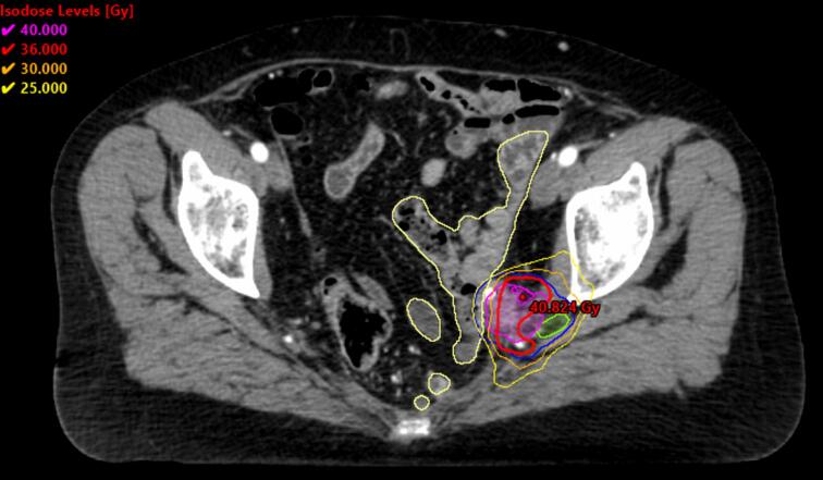
立体定向消融体放射治疗(SABR)通常用于治疗少转移性疾病。越来越多的有危险的目标或器官与以前的放射治疗领域重叠。由于临床实践中存在实质性的差异,英国SABR联盟与一个合作的国家小组合作制定了骨盆SABR再照射共识指南。指南的范围包括患者选择标准、治疗前注意事项、划定指南、剂量处方、累积剂量限制的计算和最佳规划技术。该指南是与皇家放射科医师学院和EORTC ReCare合作进行的国家前瞻性审计的一部分。
本文章由计算机程序翻译,如有差异,请以英文原文为准。

Pelvic stereotactic ablative body radiotherapy (SABR) reirradiation: UK SABR consortium guidance for use in routine clinical care.

Pelvic stereotactic ablative body radiotherapy (SABR) reirradiation: UK SABR consortium guidance for use in routine clinical care.

Pelvic stereotactic ablative body radiotherapy (SABR) reirradiation: UK SABR consortium guidance for use in routine clinical care.

Stereotactic ablative body radiotherapy (SABR) is routinely used for the management of oligometastatic disease. Increasingly, there is overlap of targets or organs at risk with previous radiotherapy fields. As substantial variation in delivery of clinical practice exists, the UK SABR Consortium worked with a collaborative national group to develop pelvic SABR re-irradiation consensus guidelines. The scope of the guidance includes patient selection criteria, pre-treatment considerations, delineation guidelines, dose prescription, calculations of cumulative dose constraints, and optimal planning technique. This guidance is part of an ongoing national prospective audit in collaboration with the Royal College of Radiologists and EORTC ReCare.

求助全文
通过发布文献求助,成功后即可免费获取论文全文。 去求助
来源期刊
CiteScore
4.10
自引率
0.00%
发文量
48
审稿时长
67 days
×
引用
GB/T 7714-2015
复制
MLA
复制
APA
复制
导出至
BibTeX EndNote RefMan NoteFirst NoteExpress
×
提示
您的信息不完整,为了账户安全,请先补充。
现在去补充
×
提示
您因"违规操作"
具体请查看互助需知
我知道了
×
提示
确定
请完成安全验证×
copy
已复制链接
快去分享给好友吧!
我知道了
右上角分享
点击右上角分享
0
联系我们:info@booksci.cn Book学术提供免费学术资源搜索服务,方便国内外学者检索中英文文献。致力于提供最便捷和优质的服务体验。 Copyright © 2023 布克学术 All rights reserved.
京ICP备2023020795号-1
ghs 京公网安备 11010802042870号
Book学术文献互助
Book学术文献互助群
群 号:604180095
Book学术官方微信