糖尿病酮症酸中毒、急性胰腺炎和疟疾的汇合:1例报告。

IF 1 4区 医学 Q3 MEDICINE, GENERAL & INTERNAL
Koffi Isidore Kouame, Paterne Michael N'kan Mobio, Judith Kouesseu Bouh, Jean Kouassi Konan, Theodore Klinnan Coulibaly, Cyrille Wallamitien Toure, Lauraine Armande Assoh Diebi, Jose Ndjassipli Homawoo Kouakou, Bable Essuy Koffi, Paul Yapo Yapo
{"title":"糖尿病酮症酸中毒、急性胰腺炎和疟疾的汇合:1例报告。","authors":"Koffi Isidore Kouame, Paterne Michael N'kan Mobio, Judith Kouesseu Bouh, Jean Kouassi Konan, Theodore Klinnan Coulibaly, Cyrille Wallamitien Toure, Lauraine Armande Assoh Diebi, Jose Ndjassipli Homawoo Kouakou, Bable Essuy Koffi, Paul Yapo Yapo","doi":"10.12998/wjcc.v13.i23.106321","DOIUrl":null,"url":null,"abstract":"<p><strong>Background: </strong>Type 1 diabetes is an autoimmune disease leading to insulin deficiency, and it is mainly diagnosed in young adults. One of the major acute complications of type 1 diabetes is diabetic ketoacidosis (DKA), which is a metabolic emergency that can be triggered by stress, infection, or poor blood glucose control. The association of DKA with conditions such as acute pancreatitis and malaria is rare and therefore represents a major diagnostic and therapeutic challenge.</p><p><strong>Case summary: </strong>A 20-year-old female was admitted to the emergency room for abdominal pelvic pain, fever, asthenia, polyuria, and polydipsia with a progressive deterioration of her state of consciousness. At admission, she was in a mild coma (Glasgow score: 9), had a fever of 38.5 °C, and had hyperglycemia (6 g/dL). The tests revealed severe DKA, hypertriglyceridemia, hyperamylasemia, and hyperlipasemia as well as malaria parasite density. The computed tomography scan confirmed acute stage E pancreatitis. The diagnosis was that of inaugural ketoacidosis of type 1 diabetes unbalanced by pancreatitis and malaria. Treatment included insulin therapy, rehydration, and antimalarial and analgesic treatment. After 10 days, the outcome was favorable with a normalization of the blood sugar, and an endocrine follow-up was recommend.</p><p><strong>Conclusion: </strong>Rapid and multidisciplinary management of DKA, pancreatitis, and malaria led to a favorable and stable prognosis.</p>","PeriodicalId":23912,"journal":{"name":"World Journal of Clinical Cases","volume":"13 23","pages":"106321"},"PeriodicalIF":1.0000,"publicationDate":"2025-08-16","publicationTypes":"Journal Article","fieldsOfStudy":null,"isOpenAccess":false,"openAccessPdf":"https://www.ncbi.nlm.nih.gov/pmc/articles/PMC12188763/pdf/","citationCount":"0","resultStr":"{\"title\":\"Convergence of diabetic ketoacidosis, acute pancreatitis, and malaria: A case report.\",\"authors\":\"Koffi Isidore Kouame, Paterne Michael N'kan Mobio, Judith Kouesseu Bouh, Jean Kouassi Konan, Theodore Klinnan Coulibaly, Cyrille Wallamitien Toure, Lauraine Armande Assoh Diebi, Jose Ndjassipli Homawoo Kouakou, Bable Essuy Koffi, Paul Yapo Yapo\",\"doi\":\"10.12998/wjcc.v13.i23.106321\",\"DOIUrl\":null,\"url\":null,\"abstract\":\"<p><strong>Background: </strong>Type 1 diabetes is an autoimmune disease leading to insulin deficiency, and it is mainly diagnosed in young adults. One of the major acute complications of type 1 diabetes is diabetic ketoacidosis (DKA), which is a metabolic emergency that can be triggered by stress, infection, or poor blood glucose control. The association of DKA with conditions such as acute pancreatitis and malaria is rare and therefore represents a major diagnostic and therapeutic challenge.</p><p><strong>Case summary: </strong>A 20-year-old female was admitted to the emergency room for abdominal pelvic pain, fever, asthenia, polyuria, and polydipsia with a progressive deterioration of her state of consciousness. At admission, she was in a mild coma (Glasgow score: 9), had a fever of 38.5 °C, and had hyperglycemia (6 g/dL). The tests revealed severe DKA, hypertriglyceridemia, hyperamylasemia, and hyperlipasemia as well as malaria parasite density. The computed tomography scan confirmed acute stage E pancreatitis. The diagnosis was that of inaugural ketoacidosis of type 1 diabetes unbalanced by pancreatitis and malaria. Treatment included insulin therapy, rehydration, and antimalarial and analgesic treatment. After 10 days, the outcome was favorable with a normalization of the blood sugar, and an endocrine follow-up was recommend.</p><p><strong>Conclusion: </strong>Rapid and multidisciplinary management of DKA, pancreatitis, and malaria led to a favorable and stable prognosis.</p>\",\"PeriodicalId\":23912,\"journal\":{\"name\":\"World Journal of Clinical Cases\",\"volume\":\"13 23\",\"pages\":\"106321\"},\"PeriodicalIF\":1.0000,\"publicationDate\":\"2025-08-16\",\"publicationTypes\":\"Journal Article\",\"fieldsOfStudy\":null,\"isOpenAccess\":false,\"openAccessPdf\":\"https://www.ncbi.nlm.nih.gov/pmc/articles/PMC12188763/pdf/\",\"citationCount\":\"0\",\"resultStr\":null,\"platform\":\"Semanticscholar\",\"paperid\":null,\"PeriodicalName\":\"World Journal of Clinical Cases\",\"FirstCategoryId\":\"3\",\"ListUrlMain\":\"https://doi.org/10.12998/wjcc.v13.i23.106321\",\"RegionNum\":4,\"RegionCategory\":\"医学\",\"ArticlePicture\":[],\"TitleCN\":null,\"AbstractTextCN\":null,\"PMCID\":null,\"EPubDate\":\"\",\"PubModel\":\"\",\"JCR\":\"Q3\",\"JCRName\":\"MEDICINE, GENERAL & INTERNAL\",\"Score\":null,\"Total\":0}","platform":"Semanticscholar","paperid":null,"PeriodicalName":"World Journal of Clinical Cases","FirstCategoryId":"3","ListUrlMain":"https://doi.org/10.12998/wjcc.v13.i23.106321","RegionNum":4,"RegionCategory":"医学","ArticlePicture":[],"TitleCN":null,"AbstractTextCN":null,"PMCID":null,"EPubDate":"","PubModel":"","JCR":"Q3","JCRName":"MEDICINE, GENERAL & INTERNAL","Score":null,"Total":0}
引用次数: 0

摘要

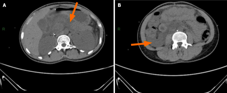
背景:1型糖尿病是一种导致胰岛素缺乏的自身免疫性疾病,主要诊断于年轻人。1型糖尿病的主要急性并发症之一是糖尿病酮症酸中毒(DKA),这是一种代谢紧急情况,可由压力、感染或血糖控制不良引发。DKA与急性胰腺炎和疟疾等疾病的关联是罕见的,因此是一项重大的诊断和治疗挑战。病例总结:一名20岁女性因腹部骨盆疼痛、发热、虚弱、多尿和烦渴而入院急诊室,并伴有意识状态的进行性恶化。入院时,患者轻度昏迷(格拉斯哥评分:9),发热38.5°C,高血糖(6 g/dL)。检测结果显示严重的DKA、高甘油三酯血症、高淀粉酶血症和高脂血症以及疟原虫密度。计算机断层扫描证实急性E期胰腺炎。诊断为伴有胰腺炎和疟疾的1型糖尿病酮症酸中毒。治疗包括胰岛素治疗、补液、抗疟和镇痛治疗。10天后,结果良好,血糖恢复正常,建议进行内分泌随访。结论:DKA、胰腺炎和疟疾的快速多学科治疗可获得良好稳定的预后。
本文章由计算机程序翻译,如有差异,请以英文原文为准。

Convergence of diabetic ketoacidosis, acute pancreatitis, and malaria: A case report.

Convergence of diabetic ketoacidosis, acute pancreatitis, and malaria: A case report.

Convergence of diabetic ketoacidosis, acute pancreatitis, and malaria: A case report.

Background: Type 1 diabetes is an autoimmune disease leading to insulin deficiency, and it is mainly diagnosed in young adults. One of the major acute complications of type 1 diabetes is diabetic ketoacidosis (DKA), which is a metabolic emergency that can be triggered by stress, infection, or poor blood glucose control. The association of DKA with conditions such as acute pancreatitis and malaria is rare and therefore represents a major diagnostic and therapeutic challenge.

Case summary: A 20-year-old female was admitted to the emergency room for abdominal pelvic pain, fever, asthenia, polyuria, and polydipsia with a progressive deterioration of her state of consciousness. At admission, she was in a mild coma (Glasgow score: 9), had a fever of 38.5 °C, and had hyperglycemia (6 g/dL). The tests revealed severe DKA, hypertriglyceridemia, hyperamylasemia, and hyperlipasemia as well as malaria parasite density. The computed tomography scan confirmed acute stage E pancreatitis. The diagnosis was that of inaugural ketoacidosis of type 1 diabetes unbalanced by pancreatitis and malaria. Treatment included insulin therapy, rehydration, and antimalarial and analgesic treatment. After 10 days, the outcome was favorable with a normalization of the blood sugar, and an endocrine follow-up was recommend.

Conclusion: Rapid and multidisciplinary management of DKA, pancreatitis, and malaria led to a favorable and stable prognosis.

求助全文
通过发布文献求助,成功后即可免费获取论文全文。 去求助
来源期刊
World Journal of Clinical Cases
World Journal of Clinical Cases Medicine-General Medicine
自引率
0.00%
发文量
3384
期刊介绍: The World Journal of Clinical Cases (WJCC) is a high-quality, peer reviewed, open-access journal. The primary task of WJCC is to rapidly publish high-quality original articles, reviews, editorials, and case reports in the field of clinical cases. In order to promote productive academic communication, the peer review process for the WJCC is transparent; to this end, all published manuscripts are accompanied by the anonymized reviewers’ comments as well as the authors’ responses. The primary aims of the WJCC are to improve diagnostic, therapeutic and preventive modalities and the skills of clinicians and to guide clinical practice in clinical cases.
×
引用
GB/T 7714-2015
复制
MLA
复制
APA
复制
导出至
BibTeX EndNote RefMan NoteFirst NoteExpress
×
提示
您的信息不完整,为了账户安全,请先补充。
现在去补充
×
提示
您因"违规操作"
具体请查看互助需知
我知道了
×
提示
确定
请完成安全验证×
copy
已复制链接
快去分享给好友吧!
我知道了
右上角分享
点击右上角分享
0
联系我们:info@booksci.cn Book学术提供免费学术资源搜索服务,方便国内外学者检索中英文文献。致力于提供最便捷和优质的服务体验。 Copyright © 2023 布克学术 All rights reserved.
京ICP备2023020795号-1
ghs 京公网安备 11010802042870号
Book学术文献互助
Book学术文献互助群
群 号:604180095
Book学术官方微信