关节镜下前交叉韧带重建后生物可吸收胫骨干扰螺钉断裂1例。

IF 1 4区 医学 Q3 MEDICINE, GENERAL & INTERNAL
Mainak Roy, Suhas Aradhya Bhikshavarthi Math, Deepanjan Das, Samir Dwidmuthe
{"title":"关节镜下前交叉韧带重建后生物可吸收胫骨干扰螺钉断裂1例。","authors":"Mainak Roy, Suhas Aradhya Bhikshavarthi Math, Deepanjan Das, Samir Dwidmuthe","doi":"10.12998/wjcc.v13.i23.105003","DOIUrl":null,"url":null,"abstract":"<p><strong>Background: </strong>Bioabsorbable interference screws are a widely used option for graft fixation in anterior cruciate ligament (ACL) reconstruction. Their ability to degrade over time and avoid secondary hardware removal makes them advantageous. However, complications such as breakage and intra-articular migration of screws can cause significant clinical issues, including joint pain, swelling, and cartilage damage. Early diagnosis and management are critical in such cases.</p><p><strong>Case summary: </strong>A 26-year-old male presented with knee pain and swelling one year after ACL reconstruction using a hamstring graft and bioabsorbable tibial interference screw. The patient had been engaged in rigorous physical activity as part of military training. Clinical examination revealed mild effusion without instability, and imaging showed screw breakage with intra-articular migration. Therapeutic arthroscopy confirmed intact graft tension, and broken screw fragments were removed successfully. The patient resumed normal activity two weeks after surgery.</p><p><strong>Conclusion: </strong>This case highlights the potential complications associated with bioabsorbable screws, emphasizing the need for meticulous surgical technique, postoperative monitoring, and timely intervention. A comprehensive review of the literature illustrates the mechanisms, risk factors, and preventive strategies associated with screw-related complications.</p>","PeriodicalId":23912,"journal":{"name":"World Journal of Clinical Cases","volume":"13 23","pages":"105003"},"PeriodicalIF":1.0000,"publicationDate":"2025-08-16","publicationTypes":"Journal Article","fieldsOfStudy":null,"isOpenAccess":false,"openAccessPdf":"https://www.ncbi.nlm.nih.gov/pmc/articles/PMC12188783/pdf/","citationCount":"0","resultStr":"{\"title\":\"Broken bioabsorbable tibial interference screw post-arthroscopic anterior cruciate ligament reconstruction: A case report.\",\"authors\":\"Mainak Roy, Suhas Aradhya Bhikshavarthi Math, Deepanjan Das, Samir Dwidmuthe\",\"doi\":\"10.12998/wjcc.v13.i23.105003\",\"DOIUrl\":null,\"url\":null,\"abstract\":\"<p><strong>Background: </strong>Bioabsorbable interference screws are a widely used option for graft fixation in anterior cruciate ligament (ACL) reconstruction. Their ability to degrade over time and avoid secondary hardware removal makes them advantageous. However, complications such as breakage and intra-articular migration of screws can cause significant clinical issues, including joint pain, swelling, and cartilage damage. Early diagnosis and management are critical in such cases.</p><p><strong>Case summary: </strong>A 26-year-old male presented with knee pain and swelling one year after ACL reconstruction using a hamstring graft and bioabsorbable tibial interference screw. The patient had been engaged in rigorous physical activity as part of military training. Clinical examination revealed mild effusion without instability, and imaging showed screw breakage with intra-articular migration. Therapeutic arthroscopy confirmed intact graft tension, and broken screw fragments were removed successfully. The patient resumed normal activity two weeks after surgery.</p><p><strong>Conclusion: </strong>This case highlights the potential complications associated with bioabsorbable screws, emphasizing the need for meticulous surgical technique, postoperative monitoring, and timely intervention. A comprehensive review of the literature illustrates the mechanisms, risk factors, and preventive strategies associated with screw-related complications.</p>\",\"PeriodicalId\":23912,\"journal\":{\"name\":\"World Journal of Clinical Cases\",\"volume\":\"13 23\",\"pages\":\"105003\"},\"PeriodicalIF\":1.0000,\"publicationDate\":\"2025-08-16\",\"publicationTypes\":\"Journal Article\",\"fieldsOfStudy\":null,\"isOpenAccess\":false,\"openAccessPdf\":\"https://www.ncbi.nlm.nih.gov/pmc/articles/PMC12188783/pdf/\",\"citationCount\":\"0\",\"resultStr\":null,\"platform\":\"Semanticscholar\",\"paperid\":null,\"PeriodicalName\":\"World Journal of Clinical Cases\",\"FirstCategoryId\":\"3\",\"ListUrlMain\":\"https://doi.org/10.12998/wjcc.v13.i23.105003\",\"RegionNum\":4,\"RegionCategory\":\"医学\",\"ArticlePicture\":[],\"TitleCN\":null,\"AbstractTextCN\":null,\"PMCID\":null,\"EPubDate\":\"\",\"PubModel\":\"\",\"JCR\":\"Q3\",\"JCRName\":\"MEDICINE, GENERAL & INTERNAL\",\"Score\":null,\"Total\":0}","platform":"Semanticscholar","paperid":null,"PeriodicalName":"World Journal of Clinical Cases","FirstCategoryId":"3","ListUrlMain":"https://doi.org/10.12998/wjcc.v13.i23.105003","RegionNum":4,"RegionCategory":"医学","ArticlePicture":[],"TitleCN":null,"AbstractTextCN":null,"PMCID":null,"EPubDate":"","PubModel":"","JCR":"Q3","JCRName":"MEDICINE, GENERAL & INTERNAL","Score":null,"Total":0}
引用次数: 0

摘要

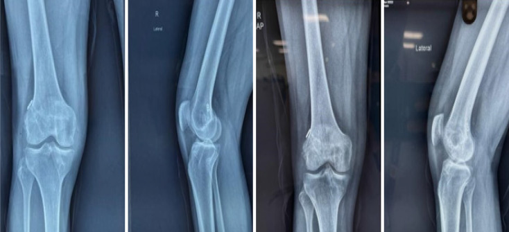
背景:生物可吸收干涉螺钉是前交叉韧带(ACL)重建中广泛使用的植骨固定选择。它们随着时间的推移而退化的能力和避免二次硬件移除的能力使它们具有优势。然而,螺钉断裂和关节内移位等并发症可引起严重的临床问题,包括关节疼痛、肿胀和软骨损伤。在这种情况下,早期诊断和处理至关重要。病例总结:一位26岁的男性患者在使用腘绳肌腱移植和生物可吸收胫骨干扰螺钉重建前交叉韧带一年后出现膝关节疼痛和肿胀。作为军事训练的一部分,病人一直在进行严格的体育锻炼。临床检查显示轻度积液,无不稳定性,影像学显示螺钉断裂伴关节内移位。治疗性关节镜检查证实植骨张力完整,骨折螺钉碎片成功取出。手术后两周,病人恢复了正常活动。结论:本病例强调了生物可吸收螺钉相关的潜在并发症,强调了细致的手术技术、术后监测和及时干预的必要性。一篇全面的文献综述阐述了螺钉相关并发症的机制、危险因素和预防策略。
本文章由计算机程序翻译,如有差异,请以英文原文为准。

Broken bioabsorbable tibial interference screw post-arthroscopic anterior cruciate ligament reconstruction: A case report.

Broken bioabsorbable tibial interference screw post-arthroscopic anterior cruciate ligament reconstruction: A case report.

Broken bioabsorbable tibial interference screw post-arthroscopic anterior cruciate ligament reconstruction: A case report.

Broken bioabsorbable tibial interference screw post-arthroscopic anterior cruciate ligament reconstruction: A case report.

Background: Bioabsorbable interference screws are a widely used option for graft fixation in anterior cruciate ligament (ACL) reconstruction. Their ability to degrade over time and avoid secondary hardware removal makes them advantageous. However, complications such as breakage and intra-articular migration of screws can cause significant clinical issues, including joint pain, swelling, and cartilage damage. Early diagnosis and management are critical in such cases.

Case summary: A 26-year-old male presented with knee pain and swelling one year after ACL reconstruction using a hamstring graft and bioabsorbable tibial interference screw. The patient had been engaged in rigorous physical activity as part of military training. Clinical examination revealed mild effusion without instability, and imaging showed screw breakage with intra-articular migration. Therapeutic arthroscopy confirmed intact graft tension, and broken screw fragments were removed successfully. The patient resumed normal activity two weeks after surgery.

Conclusion: This case highlights the potential complications associated with bioabsorbable screws, emphasizing the need for meticulous surgical technique, postoperative monitoring, and timely intervention. A comprehensive review of the literature illustrates the mechanisms, risk factors, and preventive strategies associated with screw-related complications.

求助全文
通过发布文献求助,成功后即可免费获取论文全文。 去求助
来源期刊
World Journal of Clinical Cases
World Journal of Clinical Cases Medicine-General Medicine
自引率
0.00%
发文量
3384
期刊介绍: The World Journal of Clinical Cases (WJCC) is a high-quality, peer reviewed, open-access journal. The primary task of WJCC is to rapidly publish high-quality original articles, reviews, editorials, and case reports in the field of clinical cases. In order to promote productive academic communication, the peer review process for the WJCC is transparent; to this end, all published manuscripts are accompanied by the anonymized reviewers’ comments as well as the authors’ responses. The primary aims of the WJCC are to improve diagnostic, therapeutic and preventive modalities and the skills of clinicians and to guide clinical practice in clinical cases.
×
引用
GB/T 7714-2015
复制
MLA
复制
APA
复制
导出至
BibTeX EndNote RefMan NoteFirst NoteExpress
×
提示
您的信息不完整,为了账户安全,请先补充。
现在去补充
×
提示
您因"违规操作"
具体请查看互助需知
我知道了
×
提示
确定
请完成安全验证×
copy
已复制链接
快去分享给好友吧!
我知道了
右上角分享
点击右上角分享
0
联系我们:info@booksci.cn Book学术提供免费学术资源搜索服务,方便国内外学者检索中英文文献。致力于提供最便捷和优质的服务体验。 Copyright © 2023 布克学术 All rights reserved.
京ICP备2023020795号-1
ghs 京公网安备 11010802042870号
Book学术文献互助
Book学术文献互助群
群 号:604180095
Book学术官方微信