三种中亚牧羊犬的复杂小眼症。

IF 1.7 3区 农林科学 Q2 VETERINARY SCIENCES
Reza Azargoun, Seyed Mohammad Hashemi-Asl, Shokoufa Deldar
{"title":"三种中亚牧羊犬的复杂小眼症。","authors":"Reza Azargoun, Seyed Mohammad Hashemi-Asl, Shokoufa Deldar","doi":"10.1002/vms3.70494","DOIUrl":null,"url":null,"abstract":"<p><p>Congenital eye malformations are uncommon and in some dog breeds, there is no evidence of their occurrence. This report aimed to describe the clinical and ultrasonographic findings of complex microphthalmia in Central Asian Shepherd dogs. Three 2-month-old female Central Asian Shepherd puppies from two litters were referred to our teaching hospital with the owner's complaint of eye abnormalities since birth. The puppies were alert on clinical examination, the vital signs were normal, and no other structural abnormalities were observed. In the ophthalmological assessments of all three dogs, the globe appeared bilaterally small and sunken in the orbit. In the ultrasound of the puppies' eyes, the lens thickness and axial length of the globe were greater and less than the values measured in the eyes of a healthy puppy of the same age and breed, respectively. Moreover, in all three puppies, the lenses were located in the vitreous chamber and displaced perpendicular to their natural axis. On the basis of this, bilateral complex microphthalmia and congenital ectopia lentis, two ocular malformations of unclear etiology, were diagnosed. Due to the possibility of an association between such malformations and a high grade of inbreeding in kennels, as well as environmental and genetic factors, these conditions can be limited by breeding efforts and pre-breeding screening plans.</p>","PeriodicalId":23543,"journal":{"name":"Veterinary Medicine and Science","volume":"11 5","pages":"e70494"},"PeriodicalIF":1.7000,"publicationDate":"2025-09-01","publicationTypes":"Journal Article","fieldsOfStudy":null,"isOpenAccess":false,"openAccessPdf":"https://www.ncbi.nlm.nih.gov/pmc/articles/PMC12363404/pdf/","citationCount":"0","resultStr":"{\"title\":\"Complex Microphthalmia in Three Central Asian Shepherd Dogs.\",\"authors\":\"Reza Azargoun, Seyed Mohammad Hashemi-Asl, Shokoufa Deldar\",\"doi\":\"10.1002/vms3.70494\",\"DOIUrl\":null,\"url\":null,\"abstract\":\"<p><p>Congenital eye malformations are uncommon and in some dog breeds, there is no evidence of their occurrence. This report aimed to describe the clinical and ultrasonographic findings of complex microphthalmia in Central Asian Shepherd dogs. Three 2-month-old female Central Asian Shepherd puppies from two litters were referred to our teaching hospital with the owner's complaint of eye abnormalities since birth. The puppies were alert on clinical examination, the vital signs were normal, and no other structural abnormalities were observed. In the ophthalmological assessments of all three dogs, the globe appeared bilaterally small and sunken in the orbit. In the ultrasound of the puppies' eyes, the lens thickness and axial length of the globe were greater and less than the values measured in the eyes of a healthy puppy of the same age and breed, respectively. Moreover, in all three puppies, the lenses were located in the vitreous chamber and displaced perpendicular to their natural axis. On the basis of this, bilateral complex microphthalmia and congenital ectopia lentis, two ocular malformations of unclear etiology, were diagnosed. Due to the possibility of an association between such malformations and a high grade of inbreeding in kennels, as well as environmental and genetic factors, these conditions can be limited by breeding efforts and pre-breeding screening plans.</p>\",\"PeriodicalId\":23543,\"journal\":{\"name\":\"Veterinary Medicine and Science\",\"volume\":\"11 5\",\"pages\":\"e70494\"},\"PeriodicalIF\":1.7000,\"publicationDate\":\"2025-09-01\",\"publicationTypes\":\"Journal Article\",\"fieldsOfStudy\":null,\"isOpenAccess\":false,\"openAccessPdf\":\"https://www.ncbi.nlm.nih.gov/pmc/articles/PMC12363404/pdf/\",\"citationCount\":\"0\",\"resultStr\":null,\"platform\":\"Semanticscholar\",\"paperid\":null,\"PeriodicalName\":\"Veterinary Medicine and Science\",\"FirstCategoryId\":\"97\",\"ListUrlMain\":\"https://doi.org/10.1002/vms3.70494\",\"RegionNum\":3,\"RegionCategory\":\"农林科学\",\"ArticlePicture\":[],\"TitleCN\":null,\"AbstractTextCN\":null,\"PMCID\":null,\"EPubDate\":\"\",\"PubModel\":\"\",\"JCR\":\"Q2\",\"JCRName\":\"VETERINARY SCIENCES\",\"Score\":null,\"Total\":0}","platform":"Semanticscholar","paperid":null,"PeriodicalName":"Veterinary Medicine and Science","FirstCategoryId":"97","ListUrlMain":"https://doi.org/10.1002/vms3.70494","RegionNum":3,"RegionCategory":"农林科学","ArticlePicture":[],"TitleCN":null,"AbstractTextCN":null,"PMCID":null,"EPubDate":"","PubModel":"","JCR":"Q2","JCRName":"VETERINARY SCIENCES","Score":null,"Total":0}
引用次数: 0

摘要

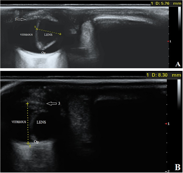
先天性眼睛畸形是不常见的,在一些犬种,没有证据表明他们的发生。本报告旨在描述中亚牧羊犬复杂小眼症的临床和超声表现。本文介绍了两窝3只2个月大的雌性中亚牧羊犬幼犬,因其主人自诉出生后眼睛异常而被转介至我院教学医院。临床检查幼犬反应灵敏,生命体征正常,未见其他结构异常。在所有三只狗的眼科评估中,球体出现双侧小且凹陷在眼眶中。在幼犬眼睛的超声波中,晶状体厚度和眼球轴向长度分别大于和小于同一年龄和品种的健康幼犬的眼睛测量值。此外,在所有三只小狗中,晶状体位于玻璃体腔内,并垂直于其自然轴移位。在此基础上,诊断为双侧复杂性小眼和先天性晶状体异位两种病因不明的眼部畸形。由于这种畸形可能与犬舍内的高度近亲繁殖以及环境和遗传因素有关,这些情况可以通过育种努力和育种前筛选计划加以限制。
本文章由计算机程序翻译,如有差异,请以英文原文为准。

Complex Microphthalmia in Three Central Asian Shepherd Dogs.

Complex Microphthalmia in Three Central Asian Shepherd Dogs.

Complex Microphthalmia in Three Central Asian Shepherd Dogs.

Complex Microphthalmia in Three Central Asian Shepherd Dogs.

Congenital eye malformations are uncommon and in some dog breeds, there is no evidence of their occurrence. This report aimed to describe the clinical and ultrasonographic findings of complex microphthalmia in Central Asian Shepherd dogs. Three 2-month-old female Central Asian Shepherd puppies from two litters were referred to our teaching hospital with the owner's complaint of eye abnormalities since birth. The puppies were alert on clinical examination, the vital signs were normal, and no other structural abnormalities were observed. In the ophthalmological assessments of all three dogs, the globe appeared bilaterally small and sunken in the orbit. In the ultrasound of the puppies' eyes, the lens thickness and axial length of the globe were greater and less than the values measured in the eyes of a healthy puppy of the same age and breed, respectively. Moreover, in all three puppies, the lenses were located in the vitreous chamber and displaced perpendicular to their natural axis. On the basis of this, bilateral complex microphthalmia and congenital ectopia lentis, two ocular malformations of unclear etiology, were diagnosed. Due to the possibility of an association between such malformations and a high grade of inbreeding in kennels, as well as environmental and genetic factors, these conditions can be limited by breeding efforts and pre-breeding screening plans.

求助全文
通过发布文献求助,成功后即可免费获取论文全文。 去求助
来源期刊
Veterinary Medicine and Science
Veterinary Medicine and Science Veterinary-General Veterinary
CiteScore
3.00
自引率
0.00%
发文量
296
期刊介绍: Veterinary Medicine and Science is the peer-reviewed journal for rapid dissemination of research in all areas of veterinary medicine and science. The journal aims to serve the research community by providing a vehicle for authors wishing to publish interesting and high quality work in both fundamental and clinical veterinary medicine and science. Veterinary Medicine and Science publishes original research articles, systematic reviews, meta-analyses, and research methods papers, along with invited editorials and commentaries. Original research papers must report well-conducted research with conclusions supported by the data presented in the paper. We aim to be a truly global forum for high-quality research in veterinary medicine and science, and believe that the best research should be published and made widely accessible as quickly as possible. Veterinary Medicine and Science publishes papers submitted directly to the journal and those referred from a select group of prestigious journals published by Wiley-Blackwell. Veterinary Medicine and Science is a Wiley Open Access journal, one of a new series of peer-reviewed titles publishing quality research with speed and efficiency. For further information visit the Wiley Open Access website.
×
引用
GB/T 7714-2015
复制
MLA
复制
APA
复制
导出至
BibTeX EndNote RefMan NoteFirst NoteExpress
×
提示
您的信息不完整,为了账户安全,请先补充。
现在去补充
×
提示
您因"违规操作"
具体请查看互助需知
我知道了
×
提示
确定
请完成安全验证×
copy
已复制链接
快去分享给好友吧!
我知道了
右上角分享
点击右上角分享
0
联系我们:info@booksci.cn Book学术提供免费学术资源搜索服务,方便国内外学者检索中英文文献。致力于提供最便捷和优质的服务体验。 Copyright © 2023 布克学术 All rights reserved.
京ICP备2023020795号-1
ghs 京公网安备 11010802042870号
Book学术文献互助
Book学术文献互助群
群 号:604180095
Book学术官方微信