内切葡聚糖酶基因LOC_Os09g23084参与水稻的发育和对鞘腐病的易感性。

IF 5 1区 农林科学 Q1 AGRONOMY
Rice Pub Date : 2025-08-19 DOI:10.1186/s12284-025-00836-x
Ping Wan, Chi-Kuan Tu, Kai-Jie Jang, Su-May Yu, Shuen-Fang Lo, Meng-Yi Lin, Zun-Jie Syu, Yu-Hsuan Chiu, Tuan-Hua David Ho, Miin-Huey Lee
{"title":"内切葡聚糖酶基因LOC_Os09g23084参与水稻的发育和对鞘腐病的易感性。","authors":"Ping Wan, Chi-Kuan Tu, Kai-Jie Jang, Su-May Yu, Shuen-Fang Lo, Meng-Yi Lin, Zun-Jie Syu, Yu-Hsuan Chiu, Tuan-Hua David Ho, Miin-Huey Lee","doi":"10.1186/s12284-025-00836-x","DOIUrl":null,"url":null,"abstract":"<p><p>Sheath rot disease, caused by Sarocladium oryzae, is a severe problem in rice cultivation and can result in significant yield loss worldwide. In this study, we analyzed the function of LOC_Os09G23084, encoding an endoglucanase-1 precursor, through gene overexpression. Two single T-DNA insertion homozygous overexpression lines, 1-16 S and 4-10 S, derived from Oryza sativa cv. TNG67, were used for functional characterization. In field conditions, overexpression of LOC_Os09g23084 resulted in a decrease in rice development and an increase in susceptibility to sheath rot disease at the harvest stage. The overexpression lines showed delayed maturation, reduced internode and panicle neck length, deformed and less protruded vascular bundles, lower lignin content, and decreased yield. To verify the susceptibility of the overexpression lines to sheath rot disease, we set up a leaf-cutting inoculation method on seedlings. Lesion length was used to assess disease severity and was confirmed by fungal colonization using a GFP-tagged S. oryzae transgenic strain. The data confirmed that the overexpression lines were more susceptible to S. oryzae than wild-type lines. The reduced internode length and panicle neck length, less protruded peripheral vascular bundles, and low lignin content might contribute to the susceptibility to sheath rot. In this study, we provide insights into the potential function and mechanism of the endoglucanase gene LOC_Os09g23084 in rice susceptibility to sheath rot disease. Additionally, we demonstrated that LOC_Os09G23084 plays a crucial role in rice growth and development.</p>","PeriodicalId":21408,"journal":{"name":"Rice","volume":"18 1","pages":"78"},"PeriodicalIF":5.0000,"publicationDate":"2025-08-19","publicationTypes":"Journal Article","fieldsOfStudy":null,"isOpenAccess":false,"openAccessPdf":"https://www.ncbi.nlm.nih.gov/pmc/articles/PMC12361039/pdf/","citationCount":"0","resultStr":"{\"title\":\"The endoglucanase gene LOC_Os09g23084 is involved in rice development and susceptibility to sheath rot disease.\",\"authors\":\"Ping Wan, Chi-Kuan Tu, Kai-Jie Jang, Su-May Yu, Shuen-Fang Lo, Meng-Yi Lin, Zun-Jie Syu, Yu-Hsuan Chiu, Tuan-Hua David Ho, Miin-Huey Lee\",\"doi\":\"10.1186/s12284-025-00836-x\",\"DOIUrl\":null,\"url\":null,\"abstract\":\"<p><p>Sheath rot disease, caused by Sarocladium oryzae, is a severe problem in rice cultivation and can result in significant yield loss worldwide. In this study, we analyzed the function of LOC_Os09G23084, encoding an endoglucanase-1 precursor, through gene overexpression. Two single T-DNA insertion homozygous overexpression lines, 1-16 S and 4-10 S, derived from Oryza sativa cv. TNG67, were used for functional characterization. In field conditions, overexpression of LOC_Os09g23084 resulted in a decrease in rice development and an increase in susceptibility to sheath rot disease at the harvest stage. The overexpression lines showed delayed maturation, reduced internode and panicle neck length, deformed and less protruded vascular bundles, lower lignin content, and decreased yield. To verify the susceptibility of the overexpression lines to sheath rot disease, we set up a leaf-cutting inoculation method on seedlings. Lesion length was used to assess disease severity and was confirmed by fungal colonization using a GFP-tagged S. oryzae transgenic strain. The data confirmed that the overexpression lines were more susceptible to S. oryzae than wild-type lines. The reduced internode length and panicle neck length, less protruded peripheral vascular bundles, and low lignin content might contribute to the susceptibility to sheath rot. In this study, we provide insights into the potential function and mechanism of the endoglucanase gene LOC_Os09g23084 in rice susceptibility to sheath rot disease. Additionally, we demonstrated that LOC_Os09G23084 plays a crucial role in rice growth and development.</p>\",\"PeriodicalId\":21408,\"journal\":{\"name\":\"Rice\",\"volume\":\"18 1\",\"pages\":\"78\"},\"PeriodicalIF\":5.0000,\"publicationDate\":\"2025-08-19\",\"publicationTypes\":\"Journal Article\",\"fieldsOfStudy\":null,\"isOpenAccess\":false,\"openAccessPdf\":\"https://www.ncbi.nlm.nih.gov/pmc/articles/PMC12361039/pdf/\",\"citationCount\":\"0\",\"resultStr\":null,\"platform\":\"Semanticscholar\",\"paperid\":null,\"PeriodicalName\":\"Rice\",\"FirstCategoryId\":\"97\",\"ListUrlMain\":\"https://doi.org/10.1186/s12284-025-00836-x\",\"RegionNum\":1,\"RegionCategory\":\"农林科学\",\"ArticlePicture\":[],\"TitleCN\":null,\"AbstractTextCN\":null,\"PMCID\":null,\"EPubDate\":\"\",\"PubModel\":\"\",\"JCR\":\"Q1\",\"JCRName\":\"AGRONOMY\",\"Score\":null,\"Total\":0}","platform":"Semanticscholar","paperid":null,"PeriodicalName":"Rice","FirstCategoryId":"97","ListUrlMain":"https://doi.org/10.1186/s12284-025-00836-x","RegionNum":1,"RegionCategory":"农林科学","ArticlePicture":[],"TitleCN":null,"AbstractTextCN":null,"PMCID":null,"EPubDate":"","PubModel":"","JCR":"Q1","JCRName":"AGRONOMY","Score":null,"Total":0}
引用次数: 0

摘要

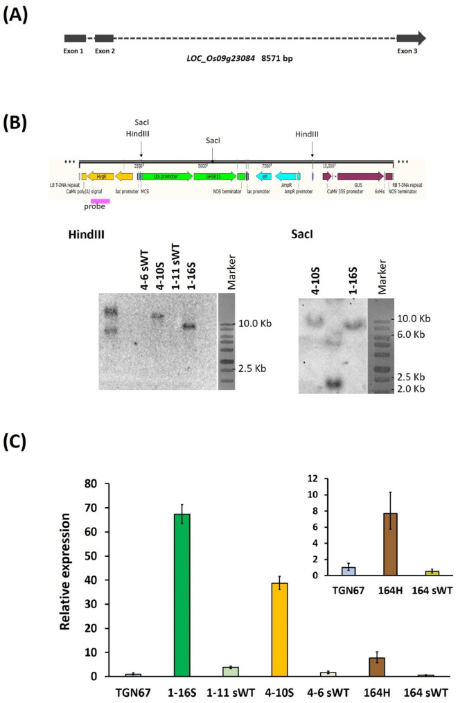
水稻鞘腐病是水稻栽培中的一个严重问题,由稻瘟弧菌引起,可在世界范围内造成重大的产量损失。在本研究中,我们通过基因过表达分析了编码内切葡聚糖酶-1前体的LOC_Os09G23084的功能。两个单T-DNA插入纯合子过表达系,1- 16s和4- 10s。TNG67,用于功能表征。在田间条件下,过表达LOC_Os09g23084导致水稻在收获期发育迟缓,对鞘腐病的易感性增加。过表达品系表现为成熟延迟、节间和穗颈长度缩短、维管束变形且不突出、木质素含量降低、产量下降。为了验证过表达系对鞘腐病的易感性,我们建立了幼苗切叶接种方法。病变长度用于评估疾病的严重程度,并通过使用gfp标记的转基因稻瘟病菌株进行真菌定植来证实。结果表明,过表达系比野生型更易感染稻瘟病菌。节间长度和穗颈长度减少、外周维管束较少突出、木素含量低可能是水稻对鞘腐病易感性的原因。本研究揭示了内切葡萄糖酶基因LOC_Os09g23084在水稻对鞘腐病易感性中的潜在作用和机制。此外,我们证明LOC_Os09G23084在水稻生长发育中起着至关重要的作用。
本文章由计算机程序翻译,如有差异,请以英文原文为准。

The endoglucanase gene LOC_Os09g23084 is involved in rice development and susceptibility to sheath rot disease.

The endoglucanase gene LOC_Os09g23084 is involved in rice development and susceptibility to sheath rot disease.

The endoglucanase gene LOC_Os09g23084 is involved in rice development and susceptibility to sheath rot disease.

The endoglucanase gene LOC_Os09g23084 is involved in rice development and susceptibility to sheath rot disease.

Sheath rot disease, caused by Sarocladium oryzae, is a severe problem in rice cultivation and can result in significant yield loss worldwide. In this study, we analyzed the function of LOC_Os09G23084, encoding an endoglucanase-1 precursor, through gene overexpression. Two single T-DNA insertion homozygous overexpression lines, 1-16 S and 4-10 S, derived from Oryza sativa cv. TNG67, were used for functional characterization. In field conditions, overexpression of LOC_Os09g23084 resulted in a decrease in rice development and an increase in susceptibility to sheath rot disease at the harvest stage. The overexpression lines showed delayed maturation, reduced internode and panicle neck length, deformed and less protruded vascular bundles, lower lignin content, and decreased yield. To verify the susceptibility of the overexpression lines to sheath rot disease, we set up a leaf-cutting inoculation method on seedlings. Lesion length was used to assess disease severity and was confirmed by fungal colonization using a GFP-tagged S. oryzae transgenic strain. The data confirmed that the overexpression lines were more susceptible to S. oryzae than wild-type lines. The reduced internode length and panicle neck length, less protruded peripheral vascular bundles, and low lignin content might contribute to the susceptibility to sheath rot. In this study, we provide insights into the potential function and mechanism of the endoglucanase gene LOC_Os09g23084 in rice susceptibility to sheath rot disease. Additionally, we demonstrated that LOC_Os09G23084 plays a crucial role in rice growth and development.

求助全文
通过发布文献求助,成功后即可免费获取论文全文。 去求助
来源期刊
Rice
Rice AGRONOMY-
CiteScore
10.10
自引率
3.60%
发文量
60
审稿时长
>12 weeks
期刊介绍: Rice aims to fill a glaring void in basic and applied plant science journal publishing. This journal is the world''s only high-quality serial publication for reporting current advances in rice genetics, structural and functional genomics, comparative genomics, molecular biology and physiology, molecular breeding and comparative biology. Rice welcomes review articles and original papers in all of the aforementioned areas and serves as the primary source of newly published information for researchers and students in rice and related research.
×
引用
GB/T 7714-2015
复制
MLA
复制
APA
复制
导出至
BibTeX EndNote RefMan NoteFirst NoteExpress
×
提示
您的信息不完整,为了账户安全,请先补充。
现在去补充
×
提示
您因"违规操作"
具体请查看互助需知
我知道了
×
提示
确定
请完成安全验证×
copy
已复制链接
快去分享给好友吧!
我知道了
右上角分享
点击右上角分享
0
联系我们:info@booksci.cn Book学术提供免费学术资源搜索服务,方便国内外学者检索中英文文献。致力于提供最便捷和优质的服务体验。 Copyright © 2023 布克学术 All rights reserved.
京ICP备2023020795号-1
ghs 京公网安备 11010802042870号
Book学术文献互助
Book学术文献互助群
群 号:604180095
Book学术官方微信