以头痛为首发表现的肺隐球菌病1例。

IF 1.7 4区 生物学 Q3 BIOLOGY
Open Life Sciences Pub Date : 2025-08-12 eCollection Date: 2025-01-01 DOI:10.1515/biol-2025-1119
Ting Xu, Shuai Luo
{"title":"以头痛为首发表现的肺隐球菌病1例。","authors":"Ting Xu, Shuai Luo","doi":"10.1515/biol-2025-1119","DOIUrl":null,"url":null,"abstract":"<p><p>Pulmonary cryptococcosis (PC) is an invasive fungal infection caused by <i>Cryptococcus neoformans</i> or <i>Cryptococcus gattii</i>. Its clinical presentation and radiological findings are often non-specific, making early diagnosis challenging. Herein, the case of a 44-year-old male who presented with dizziness and headache is reported. Initial cranial magnetic resonance imaging and chest computed tomography (plain and contrast-enhanced) suggested lung cancer with brain metastasis. A definitive diagnosis was established only after a lung mass biopsy, followed by a cytological smear and histopathological analysis, confirmed PC. The patient was treated with antifungal therapy postoperatively and responded well. This case underscores the importance of considering PC in differential diagnoses to enable prompt diagnosis and treatment, potentially reducing associated mortality.</p>","PeriodicalId":19605,"journal":{"name":"Open Life Sciences","volume":"20 1","pages":"20251119"},"PeriodicalIF":1.7000,"publicationDate":"2025-08-12","publicationTypes":"Journal Article","fieldsOfStudy":null,"isOpenAccess":false,"openAccessPdf":"https://www.ncbi.nlm.nih.gov/pmc/articles/PMC12355356/pdf/","citationCount":"0","resultStr":"{\"title\":\"Pulmonary cryptococcosis with headache as the first presentation: A case report.\",\"authors\":\"Ting Xu, Shuai Luo\",\"doi\":\"10.1515/biol-2025-1119\",\"DOIUrl\":null,\"url\":null,\"abstract\":\"<p><p>Pulmonary cryptococcosis (PC) is an invasive fungal infection caused by <i>Cryptococcus neoformans</i> or <i>Cryptococcus gattii</i>. Its clinical presentation and radiological findings are often non-specific, making early diagnosis challenging. Herein, the case of a 44-year-old male who presented with dizziness and headache is reported. Initial cranial magnetic resonance imaging and chest computed tomography (plain and contrast-enhanced) suggested lung cancer with brain metastasis. A definitive diagnosis was established only after a lung mass biopsy, followed by a cytological smear and histopathological analysis, confirmed PC. The patient was treated with antifungal therapy postoperatively and responded well. This case underscores the importance of considering PC in differential diagnoses to enable prompt diagnosis and treatment, potentially reducing associated mortality.</p>\",\"PeriodicalId\":19605,\"journal\":{\"name\":\"Open Life Sciences\",\"volume\":\"20 1\",\"pages\":\"20251119\"},\"PeriodicalIF\":1.7000,\"publicationDate\":\"2025-08-12\",\"publicationTypes\":\"Journal Article\",\"fieldsOfStudy\":null,\"isOpenAccess\":false,\"openAccessPdf\":\"https://www.ncbi.nlm.nih.gov/pmc/articles/PMC12355356/pdf/\",\"citationCount\":\"0\",\"resultStr\":null,\"platform\":\"Semanticscholar\",\"paperid\":null,\"PeriodicalName\":\"Open Life Sciences\",\"FirstCategoryId\":\"99\",\"ListUrlMain\":\"https://doi.org/10.1515/biol-2025-1119\",\"RegionNum\":4,\"RegionCategory\":\"生物学\",\"ArticlePicture\":[],\"TitleCN\":null,\"AbstractTextCN\":null,\"PMCID\":null,\"EPubDate\":\"2025/1/1 0:00:00\",\"PubModel\":\"eCollection\",\"JCR\":\"Q3\",\"JCRName\":\"BIOLOGY\",\"Score\":null,\"Total\":0}","platform":"Semanticscholar","paperid":null,"PeriodicalName":"Open Life Sciences","FirstCategoryId":"99","ListUrlMain":"https://doi.org/10.1515/biol-2025-1119","RegionNum":4,"RegionCategory":"生物学","ArticlePicture":[],"TitleCN":null,"AbstractTextCN":null,"PMCID":null,"EPubDate":"2025/1/1 0:00:00","PubModel":"eCollection","JCR":"Q3","JCRName":"BIOLOGY","Score":null,"Total":0}
引用次数: 0

摘要

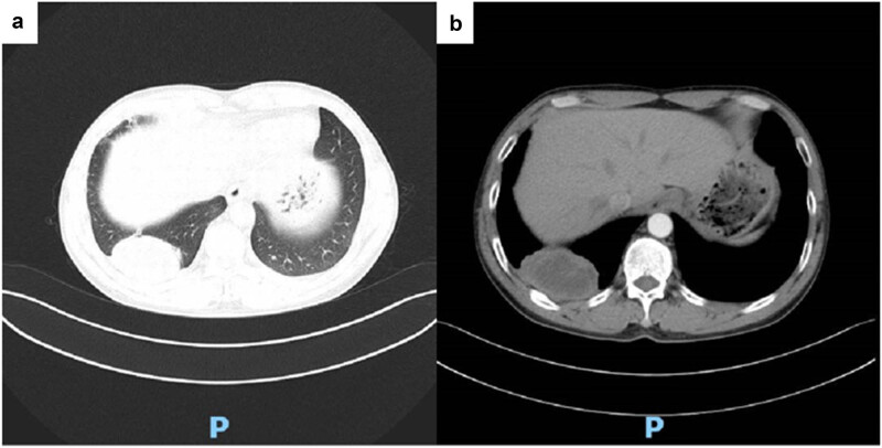
肺隐球菌病是一种由新型隐球菌或加蒂隐球菌引起的侵袭性真菌感染。它的临床表现和放射学表现通常是非特异性的,使得早期诊断具有挑战性。在这里,一个44岁的男性谁提出头晕和头痛的情况下,报告。最初的颅脑磁共振成像和胸部计算机断层扫描(平扫和增强扫描)提示肺癌伴脑转移。只有在肺肿块活检、细胞学涂片和组织病理学分析证实PC后,才确定了明确的诊断。术后给予抗真菌治疗,效果良好。本病例强调了在鉴别诊断中考虑PC的重要性,以便及时诊断和治疗,潜在地降低相关死亡率。
本文章由计算机程序翻译,如有差异,请以英文原文为准。

Pulmonary cryptococcosis with headache as the first presentation: A case report.

Pulmonary cryptococcosis with headache as the first presentation: A case report.

Pulmonary cryptococcosis with headache as the first presentation: A case report.

Pulmonary cryptococcosis with headache as the first presentation: A case report.

Pulmonary cryptococcosis (PC) is an invasive fungal infection caused by Cryptococcus neoformans or Cryptococcus gattii. Its clinical presentation and radiological findings are often non-specific, making early diagnosis challenging. Herein, the case of a 44-year-old male who presented with dizziness and headache is reported. Initial cranial magnetic resonance imaging and chest computed tomography (plain and contrast-enhanced) suggested lung cancer with brain metastasis. A definitive diagnosis was established only after a lung mass biopsy, followed by a cytological smear and histopathological analysis, confirmed PC. The patient was treated with antifungal therapy postoperatively and responded well. This case underscores the importance of considering PC in differential diagnoses to enable prompt diagnosis and treatment, potentially reducing associated mortality.

求助全文
通过发布文献求助,成功后即可免费获取论文全文。 去求助
来源期刊
CiteScore
2.50
自引率
4.50%
发文量
131
审稿时长
43 weeks
期刊介绍: Open Life Sciences (previously Central European Journal of Biology) is a fast growing peer-reviewed journal, devoted to scholarly research in all areas of life sciences, such as molecular biology, plant science, biotechnology, cell biology, biochemistry, biophysics, microbiology and virology, ecology, differentiation and development, genetics and many others. Open Life Sciences assures top quality of published data through critical peer review and editorial involvement throughout the whole publication process. Thanks to the Open Access model of publishing, it also offers unrestricted access to published articles for all users.
×
引用
GB/T 7714-2015
复制
MLA
复制
APA
复制
导出至
BibTeX EndNote RefMan NoteFirst NoteExpress
×
提示
您的信息不完整,为了账户安全,请先补充。
现在去补充
×
提示
您因"违规操作"
具体请查看互助需知
我知道了
×
提示
确定
请完成安全验证×
copy
已复制链接
快去分享给好友吧!
我知道了
右上角分享
点击右上角分享
0
联系我们:info@booksci.cn Book学术提供免费学术资源搜索服务,方便国内外学者检索中英文文献。致力于提供最便捷和优质的服务体验。 Copyright © 2023 布克学术 All rights reserved.
京ICP备2023020795号-1
ghs 京公网安备 11010802042870号
Book学术文献互助
Book学术文献互助群
群 号:604180095
Book学术官方微信