液泡分选受体协调溶解性液泡和自噬运输,实现植物效应触发免疫。

IF 13.6 1区 生物学 Q1 PLANT SCIENCES
Dongmei Zhu, Shuai Hu, Wenhan Cao, Yanli Gao, Yan Li, Juan Xu, Baiying Li, Liwen Jiang, Enrique Rojo, Jinbo Shen
{"title":"液泡分选受体协调溶解性液泡和自噬运输,实现植物效应触发免疫。","authors":"Dongmei Zhu, Shuai Hu, Wenhan Cao, Yanli Gao, Yan Li, Juan Xu, Baiying Li, Liwen Jiang, Enrique Rojo, Jinbo Shen","doi":"10.1038/s41477-025-02077-8","DOIUrl":null,"url":null,"abstract":"Vacuolar sorting receptors (VSRs) are involved in sorting soluble vacuolar proteins during normal plant growth and development, but their role in plant stress responses remains largely unexplored. Here we report that a subgroup of the Arabidopsis thaliana VSR genes are transcriptionally induced during infection with avirulent Pseudomonas syringae strains, leading to higher VSR protein accumulation. We demonstrate that the pathogen-responsive VSR1, VSR5, VSR6 and VSR7 genes function redundantly in sorting vacuolar death-related enzymes induced during bacterial infection. Moreover, VSRs are required for fusion of the tonoplast with the plasma membrane and the subsequent release of vacuolar contents into the apoplast, where bacterial pathogens reside. Indeed, dysfunction of this subgroup of VSRs blocks hypersensitive cell death and leads to stronger disease symptoms and higher bacterial loads, revealing their essential role in defence against avirulent bacterial infection. Intriguingly, their disruption also leads to defects in autophagy, impairing autophagosome-mediated degradation of bacterial effector proteins. Collectively, our results show that VSR1, VSR5, VSR6 and VSR7 are key regulators of plant effector-triggered immunity (ETI) by orchestrating receptor-mediated vacuolar sorting of immunity-related proteins, tonoplast to plasma membrane fusion, and autophagic degradation of effector proteins. Vacuolar sorting receptors (VSRs) play crucial roles in plant stress responses. This study reveals that VSRs orchestrate the vacuolar sorting of immune-related proteins and autophagic degradation of bacterial effectors in effector-triggered immunity.","PeriodicalId":18904,"journal":{"name":"Nature Plants","volume":"11 9","pages":"1827-1846"},"PeriodicalIF":13.6000,"publicationDate":"2025-08-18","publicationTypes":"Journal Article","fieldsOfStudy":null,"isOpenAccess":false,"openAccessPdf":"","citationCount":"0","resultStr":"{\"title\":\"Vacuolar sorting receptors coordinate lytic vacuolar and autophagic transport for plant effector-triggered immunity\",\"authors\":\"Dongmei Zhu, Shuai Hu, Wenhan Cao, Yanli Gao, Yan Li, Juan Xu, Baiying Li, Liwen Jiang, Enrique Rojo, Jinbo Shen\",\"doi\":\"10.1038/s41477-025-02077-8\",\"DOIUrl\":null,\"url\":null,\"abstract\":\"Vacuolar sorting receptors (VSRs) are involved in sorting soluble vacuolar proteins during normal plant growth and development, but their role in plant stress responses remains largely unexplored. Here we report that a subgroup of the Arabidopsis thaliana VSR genes are transcriptionally induced during infection with avirulent Pseudomonas syringae strains, leading to higher VSR protein accumulation. We demonstrate that the pathogen-responsive VSR1, VSR5, VSR6 and VSR7 genes function redundantly in sorting vacuolar death-related enzymes induced during bacterial infection. Moreover, VSRs are required for fusion of the tonoplast with the plasma membrane and the subsequent release of vacuolar contents into the apoplast, where bacterial pathogens reside. Indeed, dysfunction of this subgroup of VSRs blocks hypersensitive cell death and leads to stronger disease symptoms and higher bacterial loads, revealing their essential role in defence against avirulent bacterial infection. Intriguingly, their disruption also leads to defects in autophagy, impairing autophagosome-mediated degradation of bacterial effector proteins. Collectively, our results show that VSR1, VSR5, VSR6 and VSR7 are key regulators of plant effector-triggered immunity (ETI) by orchestrating receptor-mediated vacuolar sorting of immunity-related proteins, tonoplast to plasma membrane fusion, and autophagic degradation of effector proteins. Vacuolar sorting receptors (VSRs) play crucial roles in plant stress responses. This study reveals that VSRs orchestrate the vacuolar sorting of immune-related proteins and autophagic degradation of bacterial effectors in effector-triggered immunity.\",\"PeriodicalId\":18904,\"journal\":{\"name\":\"Nature Plants\",\"volume\":\"11 9\",\"pages\":\"1827-1846\"},\"PeriodicalIF\":13.6000,\"publicationDate\":\"2025-08-18\",\"publicationTypes\":\"Journal Article\",\"fieldsOfStudy\":null,\"isOpenAccess\":false,\"openAccessPdf\":\"\",\"citationCount\":\"0\",\"resultStr\":null,\"platform\":\"Semanticscholar\",\"paperid\":null,\"PeriodicalName\":\"Nature Plants\",\"FirstCategoryId\":\"99\",\"ListUrlMain\":\"https://www.nature.com/articles/s41477-025-02077-8\",\"RegionNum\":1,\"RegionCategory\":\"生物学\",\"ArticlePicture\":[],\"TitleCN\":null,\"AbstractTextCN\":null,\"PMCID\":null,\"EPubDate\":\"\",\"PubModel\":\"\",\"JCR\":\"Q1\",\"JCRName\":\"PLANT SCIENCES\",\"Score\":null,\"Total\":0}","platform":"Semanticscholar","paperid":null,"PeriodicalName":"Nature Plants","FirstCategoryId":"99","ListUrlMain":"https://www.nature.com/articles/s41477-025-02077-8","RegionNum":1,"RegionCategory":"生物学","ArticlePicture":[],"TitleCN":null,"AbstractTextCN":null,"PMCID":null,"EPubDate":"","PubModel":"","JCR":"Q1","JCRName":"PLANT SCIENCES","Score":null,"Total":0}
引用次数: 0

摘要

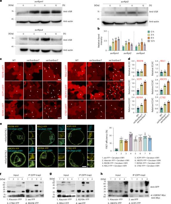
液泡分选受体(Vacuolar sorting receptor, VSRs)参与植物生长发育过程中可溶性液泡蛋白的分选,但其在植物逆境响应中的作用尚未得到充分研究。在这里,我们报道了拟南芥VSR基因的一个亚群在感染无毒丁香假单胞菌菌株时被转录诱导,导致更高的VSR蛋白积累。我们证明病原应答基因VSR1、VSR5、VSR6和VSR7在细菌感染诱导的空泡死亡相关酶的分选中具有冗余功能。此外,对于细胞质与质膜的融合以及随后将液泡内容物释放到细菌病原体所在的外质体中,VSRs是必需的。事实上,这个VSRs亚群的功能障碍阻断了超敏细胞死亡,导致更强的疾病症状和更高的细菌负荷,揭示了它们在防御无毒细菌感染方面的重要作用。有趣的是,它们的破坏也会导致自噬缺陷,损害自噬体介导的细菌效应蛋白降解。总之,我们的研究结果表明,VSR1、VSR5、VSR6和VSR7是植物效应触发免疫(ETI)的关键调控因子,通过协调受体介导的免疫相关蛋白的空泡分选、细胞质与质膜融合以及效应蛋白的自噬降解。
本文章由计算机程序翻译,如有差异,请以英文原文为准。

Vacuolar sorting receptors coordinate lytic vacuolar and autophagic transport for plant effector-triggered immunity

Vacuolar sorting receptors coordinate lytic vacuolar and autophagic transport for plant effector-triggered immunity
Vacuolar sorting receptors (VSRs) are involved in sorting soluble vacuolar proteins during normal plant growth and development, but their role in plant stress responses remains largely unexplored. Here we report that a subgroup of the Arabidopsis thaliana VSR genes are transcriptionally induced during infection with avirulent Pseudomonas syringae strains, leading to higher VSR protein accumulation. We demonstrate that the pathogen-responsive VSR1, VSR5, VSR6 and VSR7 genes function redundantly in sorting vacuolar death-related enzymes induced during bacterial infection. Moreover, VSRs are required for fusion of the tonoplast with the plasma membrane and the subsequent release of vacuolar contents into the apoplast, where bacterial pathogens reside. Indeed, dysfunction of this subgroup of VSRs blocks hypersensitive cell death and leads to stronger disease symptoms and higher bacterial loads, revealing their essential role in defence against avirulent bacterial infection. Intriguingly, their disruption also leads to defects in autophagy, impairing autophagosome-mediated degradation of bacterial effector proteins. Collectively, our results show that VSR1, VSR5, VSR6 and VSR7 are key regulators of plant effector-triggered immunity (ETI) by orchestrating receptor-mediated vacuolar sorting of immunity-related proteins, tonoplast to plasma membrane fusion, and autophagic degradation of effector proteins. Vacuolar sorting receptors (VSRs) play crucial roles in plant stress responses. This study reveals that VSRs orchestrate the vacuolar sorting of immune-related proteins and autophagic degradation of bacterial effectors in effector-triggered immunity.
求助全文
通过发布文献求助,成功后即可免费获取论文全文。 去求助
来源期刊
Nature Plants
Nature Plants PLANT SCIENCES-
CiteScore
25.30
自引率
2.20%
发文量
196
期刊介绍: Nature Plants is an online-only, monthly journal publishing the best research on plants — from their evolution, development, metabolism and environmental interactions to their societal significance.
×
引用
GB/T 7714-2015
复制
MLA
复制
APA
复制
导出至
BibTeX EndNote RefMan NoteFirst NoteExpress
×
提示
您的信息不完整,为了账户安全,请先补充。
现在去补充
×
提示
您因"违规操作"
具体请查看互助需知
我知道了
×
提示
确定
请完成安全验证×
copy
已复制链接
快去分享给好友吧!
我知道了
右上角分享
点击右上角分享
0
联系我们:info@booksci.cn Book学术提供免费学术资源搜索服务,方便国内外学者检索中英文文献。致力于提供最便捷和优质的服务体验。 Copyright © 2023 布克学术 All rights reserved.
京ICP备2023020795号-1
ghs 京公网安备 11010802042870号
Book学术文献互助
Book学术文献互助群
群 号:604180095
Book学术官方微信