乳房坏死性筋膜炎的细菌协同作用:诊断困境,治疗挑战和重建管理的病例报告。

IF 0.8 Q4 INFECTIOUS DISEASES
Case Reports in Infectious Diseases Pub Date : 2025-08-07 eCollection Date: 2025-01-01 DOI:10.1155/crdi/3731779
Leila Essid, Leslie Ann See, Georges Tarris, Narcisse Zwetyenga, Vivien Moris
{"title":"乳房坏死性筋膜炎的细菌协同作用:诊断困境,治疗挑战和重建管理的病例报告。","authors":"Leila Essid, Leslie Ann See, Georges Tarris, Narcisse Zwetyenga, Vivien Moris","doi":"10.1155/crdi/3731779","DOIUrl":null,"url":null,"abstract":"<p><p><b>Introduction:</b> Necrotizing fasciitis (NF) is a rapidly progressive, life-threatening soft tissue infection that primarily involves the fascia and subcutaneous tissues. While it typically affects the extremities, perineum, or trunk, NF of the breast remains an exceptionally rare and underdiagnosed entity, often leading to delayed intervention and high morbidity. <b>Case Presentation:</b> We report the case of a 57-year-old woman with poorly controlled Type 2 diabetes who presented to the emergency department with diabetic ketoacidosis and erythema of the left breast. Initial arterial blood gas analysis revealed profound metabolic acidosis (pH 6.89, PaCO<sub>2</sub> 12.8 mmHg, bicarbonate 2.5 mmol/L, and base excess -31.5 mmol/L). Despite initial antibiotic therapy, the breast symptoms worsened, raising concern for inflammatory breast cancer. Imaging revealed subcutaneous emphysema and extensive soft tissue inflammation. A diagnosis of NF was confirmed, prompting emergency surgical intervention. A left mastectomy was performed, with resection of necrotic fascia and pectoralis major. Microbiological cultures identified a polymicrobial infection with <i>Escherichia coli</i>, <i>Citrobacter</i>, and <i>Actinotignum schaalii</i>. The patient received targeted antibiotic therapy and supportive care, including pain management and fluid-electrolyte balance. Reconstruction was initiated 8 months later with contralateral breast reduction and fat grafting. <b>Discussion:</b> Breast NF poses significant diagnostic challenges due to the organ's unique vascular anatomy and the rarity of the condition. Delays in diagnosis can be fatal. This case underscores the importance of clinical vigilance, prompt imaging, and early surgical debridement. The synergistic effect of polymicrobial infections was evident in the rapid progression. Reconstruction remains an essential component of care, with satisfactory outcomes achievable through fat grafting and symmetry procedures. <b>Conclusion:</b> Breast NF requires rapid diagnosis and aggressive multidisciplinary management. This case illustrates the need for increased awareness to reduce diagnostic delays and improve survival and reconstructive outcomes.</p>","PeriodicalId":9608,"journal":{"name":"Case Reports in Infectious Diseases","volume":"2025 ","pages":"3731779"},"PeriodicalIF":0.8000,"publicationDate":"2025-08-07","publicationTypes":"Journal Article","fieldsOfStudy":null,"isOpenAccess":false,"openAccessPdf":"https://www.ncbi.nlm.nih.gov/pmc/articles/PMC12353006/pdf/","citationCount":"0","resultStr":"{\"title\":\"Bacterial Synergism in Breast Necrotizing Fasciitis: A Case Report on Diagnostic Dilemmas, Therapeutic Challenges, and Reconstructive Management.\",\"authors\":\"Leila Essid, Leslie Ann See, Georges Tarris, Narcisse Zwetyenga, Vivien Moris\",\"doi\":\"10.1155/crdi/3731779\",\"DOIUrl\":null,\"url\":null,\"abstract\":\"<p><p><b>Introduction:</b> Necrotizing fasciitis (NF) is a rapidly progressive, life-threatening soft tissue infection that primarily involves the fascia and subcutaneous tissues. While it typically affects the extremities, perineum, or trunk, NF of the breast remains an exceptionally rare and underdiagnosed entity, often leading to delayed intervention and high morbidity. <b>Case Presentation:</b> We report the case of a 57-year-old woman with poorly controlled Type 2 diabetes who presented to the emergency department with diabetic ketoacidosis and erythema of the left breast. Initial arterial blood gas analysis revealed profound metabolic acidosis (pH 6.89, PaCO<sub>2</sub> 12.8 mmHg, bicarbonate 2.5 mmol/L, and base excess -31.5 mmol/L). Despite initial antibiotic therapy, the breast symptoms worsened, raising concern for inflammatory breast cancer. Imaging revealed subcutaneous emphysema and extensive soft tissue inflammation. A diagnosis of NF was confirmed, prompting emergency surgical intervention. A left mastectomy was performed, with resection of necrotic fascia and pectoralis major. Microbiological cultures identified a polymicrobial infection with <i>Escherichia coli</i>, <i>Citrobacter</i>, and <i>Actinotignum schaalii</i>. The patient received targeted antibiotic therapy and supportive care, including pain management and fluid-electrolyte balance. Reconstruction was initiated 8 months later with contralateral breast reduction and fat grafting. <b>Discussion:</b> Breast NF poses significant diagnostic challenges due to the organ's unique vascular anatomy and the rarity of the condition. Delays in diagnosis can be fatal. This case underscores the importance of clinical vigilance, prompt imaging, and early surgical debridement. The synergistic effect of polymicrobial infections was evident in the rapid progression. Reconstruction remains an essential component of care, with satisfactory outcomes achievable through fat grafting and symmetry procedures. <b>Conclusion:</b> Breast NF requires rapid diagnosis and aggressive multidisciplinary management. This case illustrates the need for increased awareness to reduce diagnostic delays and improve survival and reconstructive outcomes.</p>\",\"PeriodicalId\":9608,\"journal\":{\"name\":\"Case Reports in Infectious Diseases\",\"volume\":\"2025 \",\"pages\":\"3731779\"},\"PeriodicalIF\":0.8000,\"publicationDate\":\"2025-08-07\",\"publicationTypes\":\"Journal Article\",\"fieldsOfStudy\":null,\"isOpenAccess\":false,\"openAccessPdf\":\"https://www.ncbi.nlm.nih.gov/pmc/articles/PMC12353006/pdf/\",\"citationCount\":\"0\",\"resultStr\":null,\"platform\":\"Semanticscholar\",\"paperid\":null,\"PeriodicalName\":\"Case Reports in Infectious Diseases\",\"FirstCategoryId\":\"1085\",\"ListUrlMain\":\"https://doi.org/10.1155/crdi/3731779\",\"RegionNum\":0,\"RegionCategory\":null,\"ArticlePicture\":[],\"TitleCN\":null,\"AbstractTextCN\":null,\"PMCID\":null,\"EPubDate\":\"2025/1/1 0:00:00\",\"PubModel\":\"eCollection\",\"JCR\":\"Q4\",\"JCRName\":\"INFECTIOUS DISEASES\",\"Score\":null,\"Total\":0}","platform":"Semanticscholar","paperid":null,"PeriodicalName":"Case Reports in Infectious Diseases","FirstCategoryId":"1085","ListUrlMain":"https://doi.org/10.1155/crdi/3731779","RegionNum":0,"RegionCategory":null,"ArticlePicture":[],"TitleCN":null,"AbstractTextCN":null,"PMCID":null,"EPubDate":"2025/1/1 0:00:00","PubModel":"eCollection","JCR":"Q4","JCRName":"INFECTIOUS DISEASES","Score":null,"Total":0}
引用次数: 0

摘要

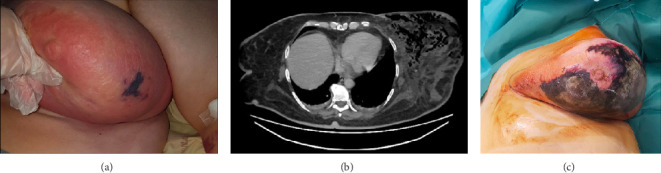
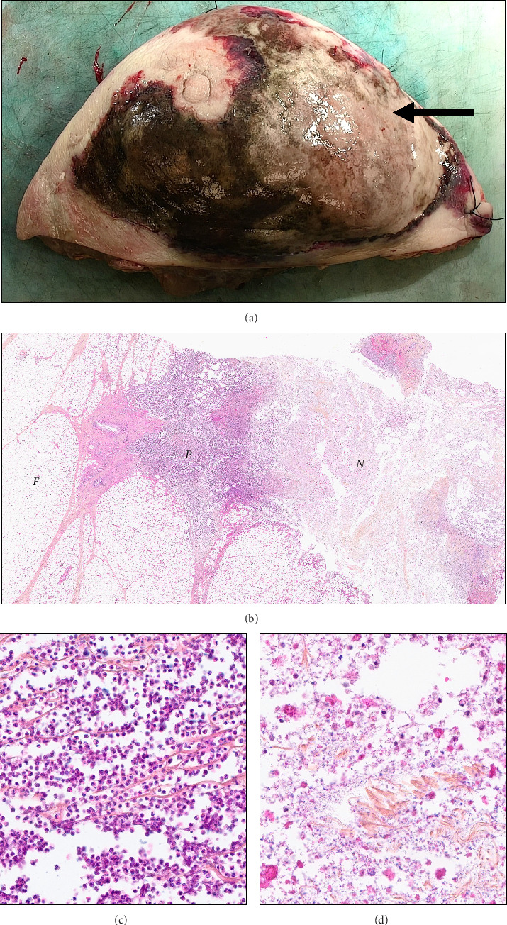
坏死性筋膜炎(NF)是一种进展迅速、危及生命的软组织感染,主要累及筋膜和皮下组织。虽然它通常影响四肢、会阴或躯干,但乳房的NF仍然是一种非常罕见和未被诊断的实体,经常导致延迟干预和高发病率。病例介绍:我们报告一名57岁的2型糖尿病女性患者,因糖尿病酮症酸中毒和左乳红斑而被送往急诊科。初始动脉血气分析显示深度代谢性酸中毒(pH 6.89, PaCO2 12.8 mmHg,碳酸氢盐2.5 mmol/L,碱过量-31.5 mmol/L)。尽管最初进行了抗生素治疗,但乳房症状恶化,引起了人们对炎症性乳腺癌的关注。影像学显示皮下肺气肿和广泛的软组织炎症。确诊为NF,采取紧急手术治疗。左乳房切除术,切除坏死筋膜和胸大肌。微生物培养鉴定为大肠杆菌、柠檬酸杆菌和沙利放线菌的多微生物感染。患者接受了靶向抗生素治疗和支持性护理,包括疼痛管理和液体电解质平衡。8个月后开始重建,对侧乳房缩小和脂肪移植。讨论:由于该器官独特的血管解剖结构和罕见的情况,乳腺NF提出了重大的诊断挑战。诊断延误可能是致命的。这个病例强调了临床警惕、及时成像和早期手术清创的重要性。多微生物感染的协同作用在快速进展中是明显的。重建仍然是护理的重要组成部分,通过脂肪移植和对称手术可以获得满意的结果。结论:乳腺NF需要快速诊断和积极的多学科治疗。本病例说明需要提高认识,以减少诊断延误,提高生存率和重建结果。
本文章由计算机程序翻译,如有差异,请以英文原文为准。

Bacterial Synergism in Breast Necrotizing Fasciitis: A Case Report on Diagnostic Dilemmas, Therapeutic Challenges, and Reconstructive Management.

Bacterial Synergism in Breast Necrotizing Fasciitis: A Case Report on Diagnostic Dilemmas, Therapeutic Challenges, and Reconstructive Management.

Bacterial Synergism in Breast Necrotizing Fasciitis: A Case Report on Diagnostic Dilemmas, Therapeutic Challenges, and Reconstructive Management.

Bacterial Synergism in Breast Necrotizing Fasciitis: A Case Report on Diagnostic Dilemmas, Therapeutic Challenges, and Reconstructive Management.

Introduction: Necrotizing fasciitis (NF) is a rapidly progressive, life-threatening soft tissue infection that primarily involves the fascia and subcutaneous tissues. While it typically affects the extremities, perineum, or trunk, NF of the breast remains an exceptionally rare and underdiagnosed entity, often leading to delayed intervention and high morbidity. Case Presentation: We report the case of a 57-year-old woman with poorly controlled Type 2 diabetes who presented to the emergency department with diabetic ketoacidosis and erythema of the left breast. Initial arterial blood gas analysis revealed profound metabolic acidosis (pH 6.89, PaCO2 12.8 mmHg, bicarbonate 2.5 mmol/L, and base excess -31.5 mmol/L). Despite initial antibiotic therapy, the breast symptoms worsened, raising concern for inflammatory breast cancer. Imaging revealed subcutaneous emphysema and extensive soft tissue inflammation. A diagnosis of NF was confirmed, prompting emergency surgical intervention. A left mastectomy was performed, with resection of necrotic fascia and pectoralis major. Microbiological cultures identified a polymicrobial infection with Escherichia coli, Citrobacter, and Actinotignum schaalii. The patient received targeted antibiotic therapy and supportive care, including pain management and fluid-electrolyte balance. Reconstruction was initiated 8 months later with contralateral breast reduction and fat grafting. Discussion: Breast NF poses significant diagnostic challenges due to the organ's unique vascular anatomy and the rarity of the condition. Delays in diagnosis can be fatal. This case underscores the importance of clinical vigilance, prompt imaging, and early surgical debridement. The synergistic effect of polymicrobial infections was evident in the rapid progression. Reconstruction remains an essential component of care, with satisfactory outcomes achievable through fat grafting and symmetry procedures. Conclusion: Breast NF requires rapid diagnosis and aggressive multidisciplinary management. This case illustrates the need for increased awareness to reduce diagnostic delays and improve survival and reconstructive outcomes.

求助全文
通过发布文献求助,成功后即可免费获取论文全文。 去求助
来源期刊
自引率
0.00%
发文量
64
审稿时长
13 weeks
×
引用
GB/T 7714-2015
复制
MLA
复制
APA
复制
导出至
BibTeX EndNote RefMan NoteFirst NoteExpress
×
提示
您的信息不完整,为了账户安全,请先补充。
现在去补充
×
提示
您因"违规操作"
具体请查看互助需知
我知道了
×
提示
确定
请完成安全验证×
copy
已复制链接
快去分享给好友吧!
我知道了
右上角分享
点击右上角分享
0
联系我们:info@booksci.cn Book学术提供免费学术资源搜索服务,方便国内外学者检索中英文文献。致力于提供最便捷和优质的服务体验。 Copyright © 2023 布克学术 All rights reserved.
京ICP备2023020795号-1
ghs 京公网安备 11010802042870号
Book学术文献互助
Book学术文献互助群
群 号:604180095
Book学术官方微信