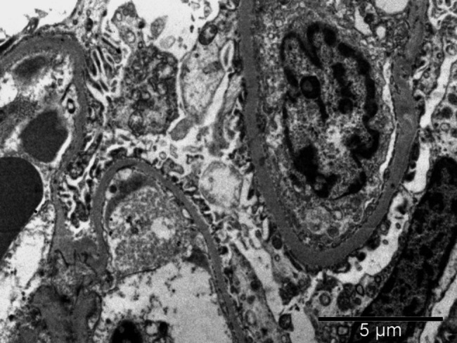
LAMB2是如何导致肾脏疾病的?来自一个儿科病例的见解。

IF 2.4 4区 医学 Q2 UROLOGY & NEPHROLOGY
I Trutin, L Oletić, D Galešić Ljubanović, D Krgović, Tamara Nikuševa Martić
{"title":"LAMB2是如何导致肾脏疾病的?来自一个儿科病例的见解。","authors":"I Trutin, L Oletić, D Galešić Ljubanović, D Krgović, Tamara Nikuševa Martić","doi":"10.1186/s12882-025-04396-6","DOIUrl":null,"url":null,"abstract":"","PeriodicalId":9089,"journal":{"name":"BMC Nephrology","volume":"26 1","pages":"465"},"PeriodicalIF":2.4000,"publicationDate":"2025-08-18","publicationTypes":"Journal Article","fieldsOfStudy":null,"isOpenAccess":false,"openAccessPdf":"https://www.ncbi.nlm.nih.gov/pmc/articles/PMC12359885/pdf/","citationCount":"0","resultStr":"{\"title\":\"How does LAMB2 contribute to kidney disease? Insights from a pediatric case.\",\"authors\":\"I Trutin, L Oletić, D Galešić Ljubanović, D Krgović, Tamara Nikuševa Martić\",\"doi\":\"10.1186/s12882-025-04396-6\",\"DOIUrl\":null,\"url\":null,\"abstract\":\"\",\"PeriodicalId\":9089,\"journal\":{\"name\":\"BMC Nephrology\",\"volume\":\"26 1\",\"pages\":\"465\"},\"PeriodicalIF\":2.4000,\"publicationDate\":\"2025-08-18\",\"publicationTypes\":\"Journal Article\",\"fieldsOfStudy\":null,\"isOpenAccess\":false,\"openAccessPdf\":\"https://www.ncbi.nlm.nih.gov/pmc/articles/PMC12359885/pdf/\",\"citationCount\":\"0\",\"resultStr\":null,\"platform\":\"Semanticscholar\",\"paperid\":null,\"PeriodicalName\":\"BMC Nephrology\",\"FirstCategoryId\":\"3\",\"ListUrlMain\":\"https://doi.org/10.1186/s12882-025-04396-6\",\"RegionNum\":4,\"RegionCategory\":\"医学\",\"ArticlePicture\":[],\"TitleCN\":null,\"AbstractTextCN\":null,\"PMCID\":null,\"EPubDate\":\"\",\"PubModel\":\"\",\"JCR\":\"Q2\",\"JCRName\":\"UROLOGY & NEPHROLOGY\",\"Score\":null,\"Total\":0}","platform":"Semanticscholar","paperid":null,"PeriodicalName":"BMC Nephrology","FirstCategoryId":"3","ListUrlMain":"https://doi.org/10.1186/s12882-025-04396-6","RegionNum":4,"RegionCategory":"医学","ArticlePicture":[],"TitleCN":null,"AbstractTextCN":null,"PMCID":null,"EPubDate":"","PubModel":"","JCR":"Q2","JCRName":"UROLOGY & NEPHROLOGY","Score":null,"Total":0}
引用次数: 0

摘要

本文章由计算机程序翻译,如有差异,请以英文原文为准。

How does LAMB2 contribute to kidney disease? Insights from a pediatric case.

How does LAMB2 contribute to kidney disease? Insights from a pediatric case.
求助全文
通过发布文献求助,成功后即可免费获取论文全文。 去求助
来源期刊
BMC Nephrology
BMC Nephrology UROLOGY & NEPHROLOGY-
CiteScore
4.30
自引率
0.00%
发文量
375
审稿时长
3-8 weeks
期刊介绍: BMC Nephrology is an open access journal publishing original peer-reviewed research articles in all aspects of the prevention, diagnosis and management of kidney and associated disorders, as well as related molecular genetics, pathophysiology, and epidemiology.
×
引用
GB/T 7714-2015
复制
MLA
复制
APA
复制
导出至
BibTeX EndNote RefMan NoteFirst NoteExpress
×
提示
您的信息不完整,为了账户安全,请先补充。
现在去补充
×
提示
您因"违规操作"
具体请查看互助需知
我知道了
×
提示
确定
请完成安全验证×
copy
已复制链接
快去分享给好友吧!
我知道了
右上角分享
点击右上角分享
0
联系我们:info@booksci.cn Book学术提供免费学术资源搜索服务,方便国内外学者检索中英文文献。致力于提供最便捷和优质的服务体验。 Copyright © 2023 布克学术 All rights reserved.
京ICP备2023020795号-1
ghs 京公网安备 11010802042870号
Book学术文献互助
Book学术文献互助群
群 号:604180095
Book学术官方微信