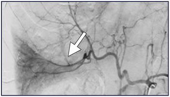
经颈静脉肝活检引起的动脉损伤伴迟发性出血

IF 2.6 3区 医学 Q2 PERIPHERAL VASCULAR DISEASE
Anthony Pham BS , Daniel Alvarez MD , David Leon MD , Mohammad Ghasemi-Rad MD , David Wynne MD
{"title":"经颈静脉肝活检引起的动脉损伤伴迟发性出血","authors":"Anthony Pham BS , Daniel Alvarez MD , David Leon MD , Mohammad Ghasemi-Rad MD , David Wynne MD","doi":"10.1016/j.jvir.2025.05.021","DOIUrl":null,"url":null,"abstract":"","PeriodicalId":49962,"journal":{"name":"Journal of Vascular and Interventional Radiology","volume":"36 9","pages":"Pages 1468-1470"},"PeriodicalIF":2.6000,"publicationDate":"2025-08-20","publicationTypes":"Journal Article","fieldsOfStudy":null,"isOpenAccess":false,"openAccessPdf":"","citationCount":"0","resultStr":"{\"title\":\"Arterial Injury from Transjugular Liver Biopsy with Delayed Hemorrhage\",\"authors\":\"Anthony Pham BS , Daniel Alvarez MD , David Leon MD , Mohammad Ghasemi-Rad MD , David Wynne MD\",\"doi\":\"10.1016/j.jvir.2025.05.021\",\"DOIUrl\":null,\"url\":null,\"abstract\":\"\",\"PeriodicalId\":49962,\"journal\":{\"name\":\"Journal of Vascular and Interventional Radiology\",\"volume\":\"36 9\",\"pages\":\"Pages 1468-1470\"},\"PeriodicalIF\":2.6000,\"publicationDate\":\"2025-08-20\",\"publicationTypes\":\"Journal Article\",\"fieldsOfStudy\":null,\"isOpenAccess\":false,\"openAccessPdf\":\"\",\"citationCount\":\"0\",\"resultStr\":null,\"platform\":\"Semanticscholar\",\"paperid\":null,\"PeriodicalName\":\"Journal of Vascular and Interventional Radiology\",\"FirstCategoryId\":\"3\",\"ListUrlMain\":\"https://www.sciencedirect.com/science/article/pii/S1051044325003823\",\"RegionNum\":3,\"RegionCategory\":\"医学\",\"ArticlePicture\":[],\"TitleCN\":null,\"AbstractTextCN\":null,\"PMCID\":null,\"EPubDate\":\"\",\"PubModel\":\"\",\"JCR\":\"Q2\",\"JCRName\":\"PERIPHERAL VASCULAR DISEASE\",\"Score\":null,\"Total\":0}","platform":"Semanticscholar","paperid":null,"PeriodicalName":"Journal of Vascular and Interventional Radiology","FirstCategoryId":"3","ListUrlMain":"https://www.sciencedirect.com/science/article/pii/S1051044325003823","RegionNum":3,"RegionCategory":"医学","ArticlePicture":[],"TitleCN":null,"AbstractTextCN":null,"PMCID":null,"EPubDate":"","PubModel":"","JCR":"Q2","JCRName":"PERIPHERAL VASCULAR DISEASE","Score":null,"Total":0}
引用次数: 0

摘要

本文章由计算机程序翻译,如有差异,请以英文原文为准。

Arterial Injury from Transjugular Liver Biopsy with Delayed Hemorrhage

Arterial Injury from Transjugular Liver Biopsy with Delayed Hemorrhage
求助全文
通过发布文献求助,成功后即可免费获取论文全文。 去求助
来源期刊
CiteScore
4.30
自引率
10.30%
发文量
942
审稿时长
90 days
期刊介绍: JVIR, published continuously since 1990, is an international, monthly peer-reviewed interventional radiology journal. As the official journal of the Society of Interventional Radiology, JVIR is the peer-reviewed journal of choice for interventional radiologists, radiologists, cardiologists, vascular surgeons, neurosurgeons, and other clinicians who seek current and reliable information on every aspect of vascular and interventional radiology. Each issue of JVIR covers critical and cutting-edge medical minimally invasive, clinical, basic research, radiological, pathological, and socioeconomic issues of importance to the field.
×
引用
GB/T 7714-2015
复制
MLA
复制
APA
复制
导出至
BibTeX EndNote RefMan NoteFirst NoteExpress
×
提示
您的信息不完整,为了账户安全,请先补充。
现在去补充
×
提示
您因"违规操作"
具体请查看互助需知
我知道了
×
提示
确定
请完成安全验证×
copy
已复制链接
快去分享给好友吧!
我知道了
右上角分享
点击右上角分享
0
联系我们:info@booksci.cn Book学术提供免费学术资源搜索服务,方便国内外学者检索中英文文献。致力于提供最便捷和优质的服务体验。 Copyright © 2023 布克学术 All rights reserved.
京ICP备2023020795号-1
ghs 京公网安备 11010802042870号
Book学术文献互助
Book学术文献互助群
群 号:604180095
Book学术官方微信