原发性睾丸淋巴瘤伴胃结外受累。病例报告)。

Huber Díaz-Fuentes
{"title":"原发性睾丸淋巴瘤伴胃结外受累。病例报告)。","authors":"Huber Díaz-Fuentes","doi":"10.5281/zenodo.16748281","DOIUrl":null,"url":null,"abstract":"<p><strong>Background: </strong>Primary testicular lymphoma is a rare disease that usually occurs in men over 50 years of age. It is considered a highly aggressive disease with a poor prognosis due to the high rate of relapse in different extranodal sites. In this report, we present a case of primary testicular lymphoma with extranodal involvement in the stomach.</p><p><strong>Clinical case: </strong>57-year-old male patient with a right testicular enlargement of one month which was treated as right epididymitis-orchiditis without improvement, for which an ultrasound was requested with the finding of a tumor in the right testicle. He came to the National Medical Center's Oncology Hospital where a plain and contrast thoraco-abdominopelvic computed tomography scan was requested with no evidence of metastasis in the retroperitoneum and with negative tumor markers. Patient underwent a right radical orchiectomy via the inguinal route, with a pathology report of testicular lymphoma. The following postoperative day, the patient presented data of lower digestive tract bleeding, so a panendoscopy with biopsy was requested, finding a 6 cm bleeding gastric ulcer compatible with gastric lymphoma by immunohistochemistry.</p><p><strong>Conclusions: </strong>The early diagnosis of a probable testicular lymphoma is crucial, since, although germ cell tumors are the main etiology, in patients over 50 years of age there should always be suspicion of a testicular lymphoma that may benefit from chemotherapy treatment.</p>","PeriodicalId":94200,"journal":{"name":"Revista medica del Instituto Mexicano del Seguro Social","volume":"63 5","pages":"e6709"},"PeriodicalIF":0.0000,"publicationDate":"2025-08-14","publicationTypes":"Journal Article","fieldsOfStudy":null,"isOpenAccess":false,"openAccessPdf":"https://www.ncbi.nlm.nih.gov/pmc/articles/PMC12380315/pdf/","citationCount":"0","resultStr":"{\"title\":\"[Primary testicular lymphoma with extranodal involvement in the stomach. Case report].\",\"authors\":\"Huber Díaz-Fuentes\",\"doi\":\"10.5281/zenodo.16748281\",\"DOIUrl\":null,\"url\":null,\"abstract\":\"<p><strong>Background: </strong>Primary testicular lymphoma is a rare disease that usually occurs in men over 50 years of age. It is considered a highly aggressive disease with a poor prognosis due to the high rate of relapse in different extranodal sites. In this report, we present a case of primary testicular lymphoma with extranodal involvement in the stomach.</p><p><strong>Clinical case: </strong>57-year-old male patient with a right testicular enlargement of one month which was treated as right epididymitis-orchiditis without improvement, for which an ultrasound was requested with the finding of a tumor in the right testicle. He came to the National Medical Center's Oncology Hospital where a plain and contrast thoraco-abdominopelvic computed tomography scan was requested with no evidence of metastasis in the retroperitoneum and with negative tumor markers. Patient underwent a right radical orchiectomy via the inguinal route, with a pathology report of testicular lymphoma. The following postoperative day, the patient presented data of lower digestive tract bleeding, so a panendoscopy with biopsy was requested, finding a 6 cm bleeding gastric ulcer compatible with gastric lymphoma by immunohistochemistry.</p><p><strong>Conclusions: </strong>The early diagnosis of a probable testicular lymphoma is crucial, since, although germ cell tumors are the main etiology, in patients over 50 years of age there should always be suspicion of a testicular lymphoma that may benefit from chemotherapy treatment.</p>\",\"PeriodicalId\":94200,\"journal\":{\"name\":\"Revista medica del Instituto Mexicano del Seguro Social\",\"volume\":\"63 5\",\"pages\":\"e6709\"},\"PeriodicalIF\":0.0000,\"publicationDate\":\"2025-08-14\",\"publicationTypes\":\"Journal Article\",\"fieldsOfStudy\":null,\"isOpenAccess\":false,\"openAccessPdf\":\"https://www.ncbi.nlm.nih.gov/pmc/articles/PMC12380315/pdf/\",\"citationCount\":\"0\",\"resultStr\":null,\"platform\":\"Semanticscholar\",\"paperid\":null,\"PeriodicalName\":\"Revista medica del Instituto Mexicano del Seguro Social\",\"FirstCategoryId\":\"1085\",\"ListUrlMain\":\"https://doi.org/10.5281/zenodo.16748281\",\"RegionNum\":0,\"RegionCategory\":null,\"ArticlePicture\":[],\"TitleCN\":null,\"AbstractTextCN\":null,\"PMCID\":null,\"EPubDate\":\"\",\"PubModel\":\"\",\"JCR\":\"\",\"JCRName\":\"\",\"Score\":null,\"Total\":0}","platform":"Semanticscholar","paperid":null,"PeriodicalName":"Revista medica del Instituto Mexicano del Seguro Social","FirstCategoryId":"1085","ListUrlMain":"https://doi.org/10.5281/zenodo.16748281","RegionNum":0,"RegionCategory":null,"ArticlePicture":[],"TitleCN":null,"AbstractTextCN":null,"PMCID":null,"EPubDate":"","PubModel":"","JCR":"","JCRName":"","Score":null,"Total":0}
引用次数: 0

摘要

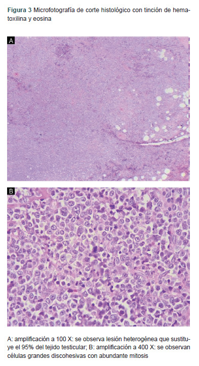
背景:原发性睾丸淋巴瘤是一种罕见的疾病,通常发生在50岁以上的男性。由于结外不同部位的复发率高,它被认为是一种具有高度侵袭性的疾病,预后差。在此报告中,我们报告一例原发性睾丸淋巴瘤伴结外浸润胃。临床病例:男性,57岁,右侧睾丸肿大1个月,治疗为右侧附睾-睾丸炎,未见好转,行超声检查发现右侧睾丸肿瘤。他来到国家医学中心肿瘤医院,要求进行胸腹骨盆ct平扫和对比扫描,未发现腹膜后转移的证据,肿瘤标志物阴性。患者经腹股沟行右侧根治性睾丸切除术,病理报告为睾丸淋巴瘤。术后第2天患者出现下消化道出血,要求行全内镜活检,经免疫组化发现6 cm出血性胃溃疡伴胃淋巴瘤。结论:早期诊断可能的睾丸淋巴瘤是至关重要的,因为,尽管生殖细胞肿瘤是主要的病因,但在50岁以上的患者中,应该始终怀疑睾丸淋巴瘤可能受益于化疗。
本文章由计算机程序翻译,如有差异,请以英文原文为准。

[Primary testicular lymphoma with extranodal involvement in the stomach. Case report].

[Primary testicular lymphoma with extranodal involvement in the stomach. Case report].

[Primary testicular lymphoma with extranodal involvement in the stomach. Case report].

[Primary testicular lymphoma with extranodal involvement in the stomach. Case report].

Background: Primary testicular lymphoma is a rare disease that usually occurs in men over 50 years of age. It is considered a highly aggressive disease with a poor prognosis due to the high rate of relapse in different extranodal sites. In this report, we present a case of primary testicular lymphoma with extranodal involvement in the stomach.

Clinical case: 57-year-old male patient with a right testicular enlargement of one month which was treated as right epididymitis-orchiditis without improvement, for which an ultrasound was requested with the finding of a tumor in the right testicle. He came to the National Medical Center's Oncology Hospital where a plain and contrast thoraco-abdominopelvic computed tomography scan was requested with no evidence of metastasis in the retroperitoneum and with negative tumor markers. Patient underwent a right radical orchiectomy via the inguinal route, with a pathology report of testicular lymphoma. The following postoperative day, the patient presented data of lower digestive tract bleeding, so a panendoscopy with biopsy was requested, finding a 6 cm bleeding gastric ulcer compatible with gastric lymphoma by immunohistochemistry.

Conclusions: The early diagnosis of a probable testicular lymphoma is crucial, since, although germ cell tumors are the main etiology, in patients over 50 years of age there should always be suspicion of a testicular lymphoma that may benefit from chemotherapy treatment.

求助全文
通过发布文献求助,成功后即可免费获取论文全文。 去求助
来源期刊
自引率
0.00%
发文量
0
×
引用
GB/T 7714-2015
复制
MLA
复制
APA
复制
导出至
BibTeX EndNote RefMan NoteFirst NoteExpress
×
提示
您的信息不完整,为了账户安全,请先补充。
现在去补充
×
提示
您因"违规操作"
具体请查看互助需知
我知道了
×
提示
确定
请完成安全验证×
copy
已复制链接
快去分享给好友吧!
我知道了
右上角分享
点击右上角分享
0
联系我们:info@booksci.cn Book学术提供免费学术资源搜索服务,方便国内外学者检索中英文文献。致力于提供最便捷和优质的服务体验。 Copyright © 2023 布克学术 All rights reserved.
京ICP备2023020795号-1
ghs 京公网安备 11010802042870号
Book学术文献互助
Book学术文献互助群
群 号:604180095
Book学术官方微信