气管支气管肿大误诊为慢性阻塞性肺病1例报告并文献复习。

IF 2.8 3区 医学 Q2 RESPIRATORY SYSTEM
Sai Yuan, Weiran Li, Mao Hua
{"title":"气管支气管肿大误诊为慢性阻塞性肺病1例报告并文献复习。","authors":"Sai Yuan, Weiran Li, Mao Hua","doi":"10.1186/s12890-025-03866-9","DOIUrl":null,"url":null,"abstract":"<p><strong>Background: </strong>Tracheobronchomegaly, also known as Mounier-Kuhn syndrome (MKS), is a rare congenital condition characterized by significant dilation of the trachea and main bronchi along with an abnormal wall structure. Diagnosis can be confirmed through computed tomography, pulmonary function tests, and diagnostic bronchoscopy. Currently, there is no curative treatment for MKS; thus, symptomatic and supportive care remain the primary therapeutic approaches. Early diagnosis, effective infection control, and individualized management are crucial for improving patient outcomes.</p><p><strong>Methods: </strong>This case report describes a middle-aged woman who presented with chronic cough, expectoration, and wheezing. She had been misdiagnosed with chronic obstructive pulmonary disease (COPD) at a local hospital for an extended period and was subsequently referred to our institution for fiberoptic bronchoscopy, which confirmed the diagnosis of MKS. By reviewing the literature via PubMed, we conducted a retrospective analysis of 29 previously reported cases of MKS, including the present case, totaling 30 cases (21 males and 9 females), predominantly middle-aged and elderly individuals.</p><p><strong>Conclusions: </strong>Based on our literature review, the misdiagnosis rate of MKS remains high, often accompanied by significant diagnostic delays. Additionally, the proportion of secondary MKS cases has increased, challenging the traditional notion that MKS is exclusively congenital. Despite its rarity, clinicians should consider MKS in patients presenting with recurrent lower respiratory tract infections, abnormal tracheobronchial morphology., poor response to antibiotic therapy, or refractory COPD-like symptoms. Early imaging and bronchoscopic evaluations are essential to confirm the diagnosis and prevent delayed treatment.</p>","PeriodicalId":9148,"journal":{"name":"BMC Pulmonary Medicine","volume":"25 1","pages":"392"},"PeriodicalIF":2.8000,"publicationDate":"2025-08-14","publicationTypes":"Journal Article","fieldsOfStudy":null,"isOpenAccess":false,"openAccessPdf":"https://www.ncbi.nlm.nih.gov/pmc/articles/PMC12355859/pdf/","citationCount":"0","resultStr":"{\"title\":\"A case of tracheobronchomegaly misdiagnosed as COPD: case report and literature review.\",\"authors\":\"Sai Yuan, Weiran Li, Mao Hua\",\"doi\":\"10.1186/s12890-025-03866-9\",\"DOIUrl\":null,\"url\":null,\"abstract\":\"<p><strong>Background: </strong>Tracheobronchomegaly, also known as Mounier-Kuhn syndrome (MKS), is a rare congenital condition characterized by significant dilation of the trachea and main bronchi along with an abnormal wall structure. Diagnosis can be confirmed through computed tomography, pulmonary function tests, and diagnostic bronchoscopy. Currently, there is no curative treatment for MKS; thus, symptomatic and supportive care remain the primary therapeutic approaches. Early diagnosis, effective infection control, and individualized management are crucial for improving patient outcomes.</p><p><strong>Methods: </strong>This case report describes a middle-aged woman who presented with chronic cough, expectoration, and wheezing. She had been misdiagnosed with chronic obstructive pulmonary disease (COPD) at a local hospital for an extended period and was subsequently referred to our institution for fiberoptic bronchoscopy, which confirmed the diagnosis of MKS. By reviewing the literature via PubMed, we conducted a retrospective analysis of 29 previously reported cases of MKS, including the present case, totaling 30 cases (21 males and 9 females), predominantly middle-aged and elderly individuals.</p><p><strong>Conclusions: </strong>Based on our literature review, the misdiagnosis rate of MKS remains high, often accompanied by significant diagnostic delays. Additionally, the proportion of secondary MKS cases has increased, challenging the traditional notion that MKS is exclusively congenital. Despite its rarity, clinicians should consider MKS in patients presenting with recurrent lower respiratory tract infections, abnormal tracheobronchial morphology., poor response to antibiotic therapy, or refractory COPD-like symptoms. Early imaging and bronchoscopic evaluations are essential to confirm the diagnosis and prevent delayed treatment.</p>\",\"PeriodicalId\":9148,\"journal\":{\"name\":\"BMC Pulmonary Medicine\",\"volume\":\"25 1\",\"pages\":\"392\"},\"PeriodicalIF\":2.8000,\"publicationDate\":\"2025-08-14\",\"publicationTypes\":\"Journal Article\",\"fieldsOfStudy\":null,\"isOpenAccess\":false,\"openAccessPdf\":\"https://www.ncbi.nlm.nih.gov/pmc/articles/PMC12355859/pdf/\",\"citationCount\":\"0\",\"resultStr\":null,\"platform\":\"Semanticscholar\",\"paperid\":null,\"PeriodicalName\":\"BMC Pulmonary Medicine\",\"FirstCategoryId\":\"3\",\"ListUrlMain\":\"https://doi.org/10.1186/s12890-025-03866-9\",\"RegionNum\":3,\"RegionCategory\":\"医学\",\"ArticlePicture\":[],\"TitleCN\":null,\"AbstractTextCN\":null,\"PMCID\":null,\"EPubDate\":\"\",\"PubModel\":\"\",\"JCR\":\"Q2\",\"JCRName\":\"RESPIRATORY SYSTEM\",\"Score\":null,\"Total\":0}","platform":"Semanticscholar","paperid":null,"PeriodicalName":"BMC Pulmonary Medicine","FirstCategoryId":"3","ListUrlMain":"https://doi.org/10.1186/s12890-025-03866-9","RegionNum":3,"RegionCategory":"医学","ArticlePicture":[],"TitleCN":null,"AbstractTextCN":null,"PMCID":null,"EPubDate":"","PubModel":"","JCR":"Q2","JCRName":"RESPIRATORY SYSTEM","Score":null,"Total":0}
引用次数: 0

摘要

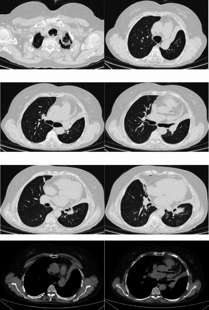
背景:气管支气管扩张,也被称为Mounier-Kuhn综合征(MKS),是一种罕见的先天性疾病,其特征是气管和主支气管明显扩张并伴有壁结构异常。诊断可通过计算机断层扫描、肺功能检查和诊断性支气管镜检查来证实。目前,没有治疗MKS的方法;因此,对症治疗和支持性治疗仍然是主要的治疗方法。早期诊断、有效的感染控制和个性化管理是改善患者预后的关键。方法:这个病例报告描述了一个中年妇女谁提出慢性咳嗽,咳痰,喘息。她在当地医院被误诊为慢性阻塞性肺疾病(COPD)很长一段时间,随后被转介到我机构进行纤维支气管镜检查,证实了MKS的诊断。通过PubMed查阅文献,我们对包括本病例在内的29例既往报道的MKS病例进行了回顾性分析,共30例(男21例,女9例),以中老年患者为主。结论:根据我们的文献综述,MKS的误诊率仍然很高,通常伴有明显的诊断延迟。此外,继发性MKS病例的比例有所增加,挑战了MKS完全是先天性的传统观念。尽管其罕见,临床医生应考虑MKS患者表现为复发性下呼吸道感染,气管支气管形态异常。对抗生素治疗反应不佳或难治性copd样症状。早期影像学和支气管镜检查对于确认诊断和防止延误治疗至关重要。
本文章由计算机程序翻译,如有差异,请以英文原文为准。

A case of tracheobronchomegaly misdiagnosed as COPD: case report and literature review.

A case of tracheobronchomegaly misdiagnosed as COPD: case report and literature review.

A case of tracheobronchomegaly misdiagnosed as COPD: case report and literature review.

A case of tracheobronchomegaly misdiagnosed as COPD: case report and literature review.

Background: Tracheobronchomegaly, also known as Mounier-Kuhn syndrome (MKS), is a rare congenital condition characterized by significant dilation of the trachea and main bronchi along with an abnormal wall structure. Diagnosis can be confirmed through computed tomography, pulmonary function tests, and diagnostic bronchoscopy. Currently, there is no curative treatment for MKS; thus, symptomatic and supportive care remain the primary therapeutic approaches. Early diagnosis, effective infection control, and individualized management are crucial for improving patient outcomes.

Methods: This case report describes a middle-aged woman who presented with chronic cough, expectoration, and wheezing. She had been misdiagnosed with chronic obstructive pulmonary disease (COPD) at a local hospital for an extended period and was subsequently referred to our institution for fiberoptic bronchoscopy, which confirmed the diagnosis of MKS. By reviewing the literature via PubMed, we conducted a retrospective analysis of 29 previously reported cases of MKS, including the present case, totaling 30 cases (21 males and 9 females), predominantly middle-aged and elderly individuals.

Conclusions: Based on our literature review, the misdiagnosis rate of MKS remains high, often accompanied by significant diagnostic delays. Additionally, the proportion of secondary MKS cases has increased, challenging the traditional notion that MKS is exclusively congenital. Despite its rarity, clinicians should consider MKS in patients presenting with recurrent lower respiratory tract infections, abnormal tracheobronchial morphology., poor response to antibiotic therapy, or refractory COPD-like symptoms. Early imaging and bronchoscopic evaluations are essential to confirm the diagnosis and prevent delayed treatment.

求助全文
通过发布文献求助,成功后即可免费获取论文全文。 去求助
来源期刊
BMC Pulmonary Medicine
BMC Pulmonary Medicine RESPIRATORY SYSTEM-
CiteScore
4.40
自引率
3.20%
发文量
423
审稿时长
6-12 weeks
期刊介绍: BMC Pulmonary Medicine is an open access, peer-reviewed journal that considers articles on all aspects of the prevention, diagnosis and management of pulmonary and associated disorders, as well as related molecular genetics, pathophysiology, and epidemiology.
×
引用
GB/T 7714-2015
复制
MLA
复制
APA
复制
导出至
BibTeX EndNote RefMan NoteFirst NoteExpress
×
提示
您的信息不完整,为了账户安全,请先补充。
现在去补充
×
提示
您因"违规操作"
具体请查看互助需知
我知道了
×
提示
确定
请完成安全验证×
copy
已复制链接
快去分享给好友吧!
我知道了
右上角分享
点击右上角分享
0
联系我们:info@booksci.cn Book学术提供免费学术资源搜索服务,方便国内外学者检索中英文文献。致力于提供最便捷和优质的服务体验。 Copyright © 2023 布克学术 All rights reserved.
京ICP备2023020795号-1
ghs 京公网安备 11010802042870号
Book学术文献互助
Book学术文献互助群
群 号:604180095
Book学术官方微信