以氟喹诺酮为基础的挽救性治疗成功保守治疗顽固性心绞痛链球菌引起的难治性心内膜炎1例报告。

IF 0.4 Q3 MEDICINE, GENERAL & INTERNAL
Oxford Medical Case Reports Pub Date : 2025-08-11 eCollection Date: 2025-08-01 DOI:10.1093/omcr/omaf127
Kana Inami, Ryuta Sugihara, Masahiro Kumada, Takaharu Hayashi, Yuji Nishimoto, Tsutomu Nakagawa, Yasushi Sakata
{"title":"以氟喹诺酮为基础的挽救性治疗成功保守治疗顽固性心绞痛链球菌引起的难治性心内膜炎1例报告。","authors":"Kana Inami, Ryuta Sugihara, Masahiro Kumada, Takaharu Hayashi, Yuji Nishimoto, Tsutomu Nakagawa, Yasushi Sakata","doi":"10.1093/omcr/omaf127","DOIUrl":null,"url":null,"abstract":"<p><p>Infective endocarditis (IE) is a life-threatening condition, often requiring surgical intervention; however, in cases where surgery is contraindicated, conservative management relies on appropriate antibiotic therapy. Moreover, modification of antibiotics can be critical, as certain agents may be superior in resolving infection and associated complications. We present the case of an 88-year-old woman with IE due to <i>Streptococcus anginosus</i>, successfully treated with oral antibiotics. Transthoracic echocardiography revealed vegetations on the mitral and aortic valves, along with moderate-to-severe valvular dysfunction. Despite 6-week treatment with intravenous ampicillin, her condition showed limited improvement. A strategic switch to levofloxacin led to remarkable clinical progress, with significantly reduced vegetation size and normalized inflammatory markers. The effectiveness of levofloxacin, due to its biofilm penetration and bactericidal activity, indicates the potential for customized antibiotic regimens to achieve positive outcomes. This case illustrates that even when standard treatment is unsuccessful, careful antibiotic adjustment can significantly impact the therapeutic course.</p>","PeriodicalId":45318,"journal":{"name":"Oxford Medical Case Reports","volume":"2025 8","pages":"omaf127"},"PeriodicalIF":0.4000,"publicationDate":"2025-08-11","publicationTypes":"Journal Article","fieldsOfStudy":null,"isOpenAccess":false,"openAccessPdf":"https://www.ncbi.nlm.nih.gov/pmc/articles/PMC12342888/pdf/","citationCount":"0","resultStr":"{\"title\":\"Successful fluoroquinolone-based salvage therapy in the conservative management of refractory infective endocarditis caused by <i>Streptococcus anginosus</i> in an elderly patient: a case report.\",\"authors\":\"Kana Inami, Ryuta Sugihara, Masahiro Kumada, Takaharu Hayashi, Yuji Nishimoto, Tsutomu Nakagawa, Yasushi Sakata\",\"doi\":\"10.1093/omcr/omaf127\",\"DOIUrl\":null,\"url\":null,\"abstract\":\"<p><p>Infective endocarditis (IE) is a life-threatening condition, often requiring surgical intervention; however, in cases where surgery is contraindicated, conservative management relies on appropriate antibiotic therapy. Moreover, modification of antibiotics can be critical, as certain agents may be superior in resolving infection and associated complications. We present the case of an 88-year-old woman with IE due to <i>Streptococcus anginosus</i>, successfully treated with oral antibiotics. Transthoracic echocardiography revealed vegetations on the mitral and aortic valves, along with moderate-to-severe valvular dysfunction. Despite 6-week treatment with intravenous ampicillin, her condition showed limited improvement. A strategic switch to levofloxacin led to remarkable clinical progress, with significantly reduced vegetation size and normalized inflammatory markers. The effectiveness of levofloxacin, due to its biofilm penetration and bactericidal activity, indicates the potential for customized antibiotic regimens to achieve positive outcomes. This case illustrates that even when standard treatment is unsuccessful, careful antibiotic adjustment can significantly impact the therapeutic course.</p>\",\"PeriodicalId\":45318,\"journal\":{\"name\":\"Oxford Medical Case Reports\",\"volume\":\"2025 8\",\"pages\":\"omaf127\"},\"PeriodicalIF\":0.4000,\"publicationDate\":\"2025-08-11\",\"publicationTypes\":\"Journal Article\",\"fieldsOfStudy\":null,\"isOpenAccess\":false,\"openAccessPdf\":\"https://www.ncbi.nlm.nih.gov/pmc/articles/PMC12342888/pdf/\",\"citationCount\":\"0\",\"resultStr\":null,\"platform\":\"Semanticscholar\",\"paperid\":null,\"PeriodicalName\":\"Oxford Medical Case Reports\",\"FirstCategoryId\":\"1085\",\"ListUrlMain\":\"https://doi.org/10.1093/omcr/omaf127\",\"RegionNum\":0,\"RegionCategory\":null,\"ArticlePicture\":[],\"TitleCN\":null,\"AbstractTextCN\":null,\"PMCID\":null,\"EPubDate\":\"2025/8/1 0:00:00\",\"PubModel\":\"eCollection\",\"JCR\":\"Q3\",\"JCRName\":\"MEDICINE, GENERAL & INTERNAL\",\"Score\":null,\"Total\":0}","platform":"Semanticscholar","paperid":null,"PeriodicalName":"Oxford Medical Case Reports","FirstCategoryId":"1085","ListUrlMain":"https://doi.org/10.1093/omcr/omaf127","RegionNum":0,"RegionCategory":null,"ArticlePicture":[],"TitleCN":null,"AbstractTextCN":null,"PMCID":null,"EPubDate":"2025/8/1 0:00:00","PubModel":"eCollection","JCR":"Q3","JCRName":"MEDICINE, GENERAL & INTERNAL","Score":null,"Total":0}
引用次数: 0

摘要

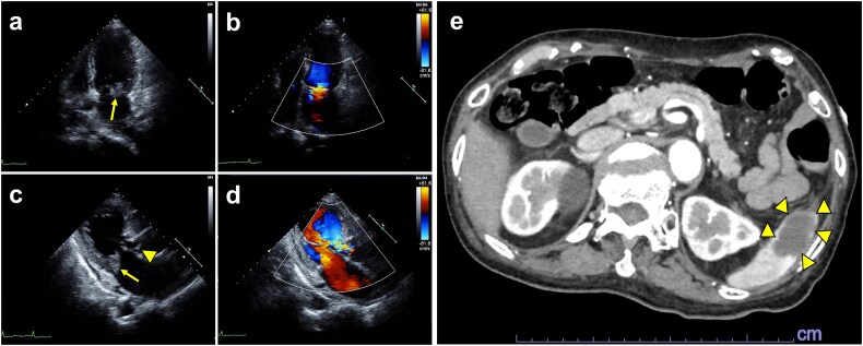
感染性心内膜炎(IE)是一种危及生命的疾病,通常需要手术干预;然而,在手术禁忌的情况下,保守治疗依赖于适当的抗生素治疗。此外,抗生素的修改可能是关键,因为某些药物在解决感染和相关并发症方面可能更优越。我们提出的情况下,一个88岁的妇女与IE由于血管链球菌,成功地治疗口服抗生素。经胸超声心动图显示二尖瓣和主动脉瓣赘生物,伴有中度至重度瓣膜功能障碍。尽管静脉注射氨苄西林6周,她的病情改善有限。策略性地改用左氧氟沙星导致了显著的临床进展,显著减少了植被大小和正常的炎症标志物。左氧氟沙星的有效性,由于其生物膜渗透和杀菌活性,表明定制抗生素方案有可能取得积极的结果。这个病例说明,即使标准治疗不成功,仔细的抗生素调整也会显著影响治疗过程。
本文章由计算机程序翻译,如有差异,请以英文原文为准。

Successful fluoroquinolone-based salvage therapy in the conservative management of refractory infective endocarditis caused by <i>Streptococcus anginosus</i> in an elderly patient: a case report.

Successful fluoroquinolone-based salvage therapy in the conservative management of refractory infective endocarditis caused by <i>Streptococcus anginosus</i> in an elderly patient: a case report.

Successful fluoroquinolone-based salvage therapy in the conservative management of refractory infective endocarditis caused by <i>Streptococcus anginosus</i> in an elderly patient: a case report.

Successful fluoroquinolone-based salvage therapy in the conservative management of refractory infective endocarditis caused by Streptococcus anginosus in an elderly patient: a case report.

Infective endocarditis (IE) is a life-threatening condition, often requiring surgical intervention; however, in cases where surgery is contraindicated, conservative management relies on appropriate antibiotic therapy. Moreover, modification of antibiotics can be critical, as certain agents may be superior in resolving infection and associated complications. We present the case of an 88-year-old woman with IE due to Streptococcus anginosus, successfully treated with oral antibiotics. Transthoracic echocardiography revealed vegetations on the mitral and aortic valves, along with moderate-to-severe valvular dysfunction. Despite 6-week treatment with intravenous ampicillin, her condition showed limited improvement. A strategic switch to levofloxacin led to remarkable clinical progress, with significantly reduced vegetation size and normalized inflammatory markers. The effectiveness of levofloxacin, due to its biofilm penetration and bactericidal activity, indicates the potential for customized antibiotic regimens to achieve positive outcomes. This case illustrates that even when standard treatment is unsuccessful, careful antibiotic adjustment can significantly impact the therapeutic course.

求助全文
通过发布文献求助,成功后即可免费获取论文全文。 去求助
来源期刊
Oxford Medical Case Reports
Oxford Medical Case Reports MEDICINE, GENERAL & INTERNAL-
CiteScore
0.90
自引率
0.00%
发文量
125
审稿时长
19 weeks
期刊介绍: Oxford Medical Case Reports (OMCR) is an open access, peer-reviewed online journal publishing original and educationally valuable case reports that expand the field of medicine. The journal covers all medical specialities including cardiology, rheumatology, nephrology, oncology, neurology, and reproduction, comprising a comprehensive resource for physicians in all fields and at all stages of training. Oxford Medical Case Reports deposits all articles in PubMed Central (PMC). Physicians and researchers can find your work through PubMed , helping you reach the widest possible audience. The journal is also indexed in the Web of Science Core Collection . Oxford Medical Case Reports publishes case reports under the following categories: Allergy Audiovestibular medicine Cardiology and cardiovascular systems Critical care medicine Dermatology Emergency medicine Endocrinology and metabolism Gastroenterology and hepatology Geriatrics and gerontology Haematology Immunology Infectious diseases and tropical medicine Medical disorders in pregnancy Medical ophthalmology Nephrology Neurology Oncology Paediatrics Pain Palliative medicine Pharmacology and pharmacy Psychiatry Radiology, nuclear medicine, and medical imaging Respiratory disorders Rheumatology Sexual and reproductive health Sports Medicine Substance abuse.
×
引用
GB/T 7714-2015
复制
MLA
复制
APA
复制
导出至
BibTeX EndNote RefMan NoteFirst NoteExpress
×
提示
您的信息不完整,为了账户安全,请先补充。
现在去补充
×
提示
您因"违规操作"
具体请查看互助需知
我知道了
×
提示
确定
请完成安全验证×
copy
已复制链接
快去分享给好友吧!
我知道了
右上角分享
点击右上角分享
0
联系我们:info@booksci.cn Book学术提供免费学术资源搜索服务,方便国内外学者检索中英文文献。致力于提供最便捷和优质的服务体验。 Copyright © 2023 布克学术 All rights reserved.
京ICP备2023020795号-1
ghs 京公网安备 11010802042870号
Book学术文献互助
Book学术文献互助群
群 号:604180095
Book学术官方微信