从口腔糜烂到淋巴瘤:副肿瘤天疱疮伴隐匿性淋巴瘤1例。

IF 0.4 Q3 MEDICINE, GENERAL & INTERNAL
Oxford Medical Case Reports Pub Date : 2025-08-11 eCollection Date: 2025-08-01 DOI:10.1093/omcr/omaf124
Kumari Monalisa, Tanvi Dev, Vaishnavi Modi, Akarshi Gupta, Varuna Mallya, Rashmi Dixit
{"title":"从口腔糜烂到淋巴瘤:副肿瘤天疱疮伴隐匿性淋巴瘤1例。","authors":"Kumari Monalisa, Tanvi Dev, Vaishnavi Modi, Akarshi Gupta, Varuna Mallya, Rashmi Dixit","doi":"10.1093/omcr/omaf124","DOIUrl":null,"url":null,"abstract":"<p><p>A 67-year-old female with type-2 diabetes mellitus presented with recalcitrant painful oral erosions and violaceous chest lesions, that responded minimally to oral corticosteroids. Due to history of decreased appetite, weight loss and poor therapeutic response, further evaluation was performed, revealing elevated C-Reactive Peptide, Desmoglein-3 antibody, Carbohydrate Antigen 19-9, and intraperitoneal lobulated homogeneously enhancing nodal mass, the latter indicating lymphoma. Histopathology from oral mucosa was suggestive of paraneoplastic pemphigus. The patient was referred to oncology department for further management. This case underscores the importance of thorough evaluation in elderly patients with recalcitrant mucocutaneous lesions with atypical histopathology.</p>","PeriodicalId":45318,"journal":{"name":"Oxford Medical Case Reports","volume":"2025 8","pages":"omaf124"},"PeriodicalIF":0.4000,"publicationDate":"2025-08-11","publicationTypes":"Journal Article","fieldsOfStudy":null,"isOpenAccess":false,"openAccessPdf":"https://www.ncbi.nlm.nih.gov/pmc/articles/PMC12342874/pdf/","citationCount":"0","resultStr":"{\"title\":\"From oral erosions to lymphoma: a case of paraneoplastic pemphigus with occult lymphoma.\",\"authors\":\"Kumari Monalisa, Tanvi Dev, Vaishnavi Modi, Akarshi Gupta, Varuna Mallya, Rashmi Dixit\",\"doi\":\"10.1093/omcr/omaf124\",\"DOIUrl\":null,\"url\":null,\"abstract\":\"<p><p>A 67-year-old female with type-2 diabetes mellitus presented with recalcitrant painful oral erosions and violaceous chest lesions, that responded minimally to oral corticosteroids. Due to history of decreased appetite, weight loss and poor therapeutic response, further evaluation was performed, revealing elevated C-Reactive Peptide, Desmoglein-3 antibody, Carbohydrate Antigen 19-9, and intraperitoneal lobulated homogeneously enhancing nodal mass, the latter indicating lymphoma. Histopathology from oral mucosa was suggestive of paraneoplastic pemphigus. The patient was referred to oncology department for further management. This case underscores the importance of thorough evaluation in elderly patients with recalcitrant mucocutaneous lesions with atypical histopathology.</p>\",\"PeriodicalId\":45318,\"journal\":{\"name\":\"Oxford Medical Case Reports\",\"volume\":\"2025 8\",\"pages\":\"omaf124\"},\"PeriodicalIF\":0.4000,\"publicationDate\":\"2025-08-11\",\"publicationTypes\":\"Journal Article\",\"fieldsOfStudy\":null,\"isOpenAccess\":false,\"openAccessPdf\":\"https://www.ncbi.nlm.nih.gov/pmc/articles/PMC12342874/pdf/\",\"citationCount\":\"0\",\"resultStr\":null,\"platform\":\"Semanticscholar\",\"paperid\":null,\"PeriodicalName\":\"Oxford Medical Case Reports\",\"FirstCategoryId\":\"1085\",\"ListUrlMain\":\"https://doi.org/10.1093/omcr/omaf124\",\"RegionNum\":0,\"RegionCategory\":null,\"ArticlePicture\":[],\"TitleCN\":null,\"AbstractTextCN\":null,\"PMCID\":null,\"EPubDate\":\"2025/8/1 0:00:00\",\"PubModel\":\"eCollection\",\"JCR\":\"Q3\",\"JCRName\":\"MEDICINE, GENERAL & INTERNAL\",\"Score\":null,\"Total\":0}","platform":"Semanticscholar","paperid":null,"PeriodicalName":"Oxford Medical Case Reports","FirstCategoryId":"1085","ListUrlMain":"https://doi.org/10.1093/omcr/omaf124","RegionNum":0,"RegionCategory":null,"ArticlePicture":[],"TitleCN":null,"AbstractTextCN":null,"PMCID":null,"EPubDate":"2025/8/1 0:00:00","PubModel":"eCollection","JCR":"Q3","JCRName":"MEDICINE, GENERAL & INTERNAL","Score":null,"Total":0}
引用次数: 0

摘要

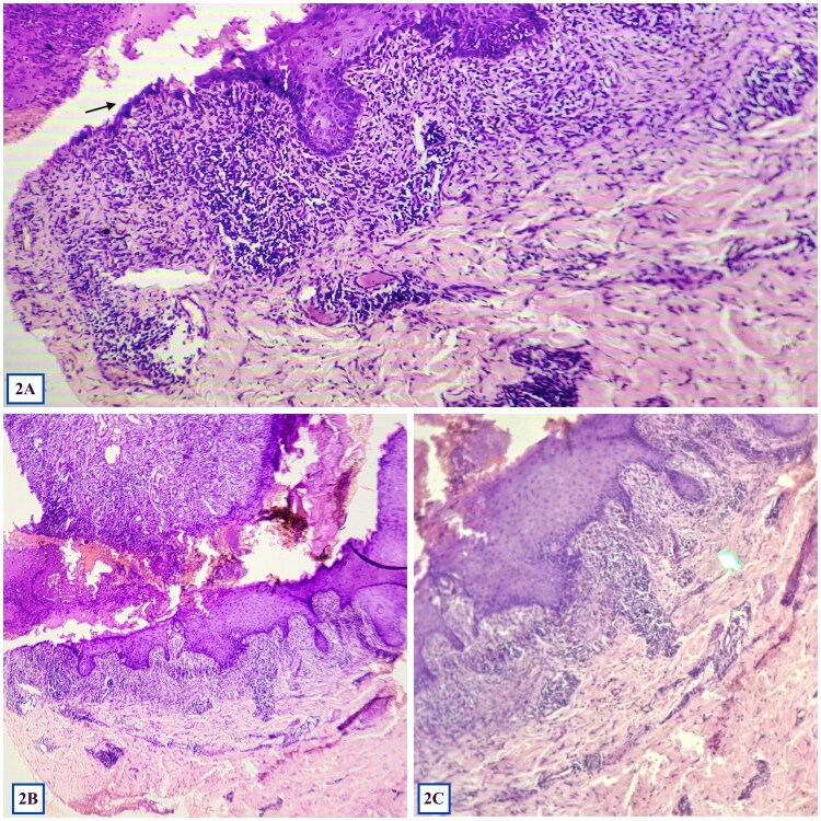
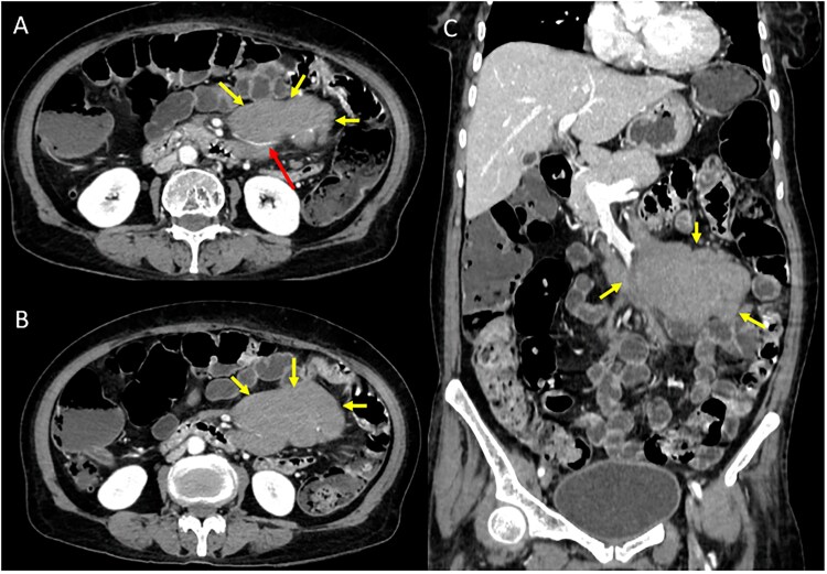
67岁女性2型糖尿病患者表现为顽固性疼痛口腔糜烂和胸部紫色病变,口服皮质类固醇反应最小。由于既往食欲下降、体重减轻且治疗效果不佳,进一步评估发现c反应肽、desmoglin -3抗体、碳水化合物抗原19-9升高,腹膜内分叶状均匀增强的淋巴结肿块,后者提示淋巴瘤。口腔黏膜组织病理学提示副肿瘤性天疱疮。患者转至肿瘤科接受进一步治疗。该病例强调了对具有非典型组织病理学的顽固性皮肤粘膜病变的老年患者进行彻底评估的重要性。
本文章由计算机程序翻译,如有差异,请以英文原文为准。

From oral erosions to lymphoma: a case of paraneoplastic pemphigus with occult lymphoma.

From oral erosions to lymphoma: a case of paraneoplastic pemphigus with occult lymphoma.

From oral erosions to lymphoma: a case of paraneoplastic pemphigus with occult lymphoma.

From oral erosions to lymphoma: a case of paraneoplastic pemphigus with occult lymphoma.

A 67-year-old female with type-2 diabetes mellitus presented with recalcitrant painful oral erosions and violaceous chest lesions, that responded minimally to oral corticosteroids. Due to history of decreased appetite, weight loss and poor therapeutic response, further evaluation was performed, revealing elevated C-Reactive Peptide, Desmoglein-3 antibody, Carbohydrate Antigen 19-9, and intraperitoneal lobulated homogeneously enhancing nodal mass, the latter indicating lymphoma. Histopathology from oral mucosa was suggestive of paraneoplastic pemphigus. The patient was referred to oncology department for further management. This case underscores the importance of thorough evaluation in elderly patients with recalcitrant mucocutaneous lesions with atypical histopathology.

求助全文
通过发布文献求助,成功后即可免费获取论文全文。 去求助
来源期刊
Oxford Medical Case Reports
Oxford Medical Case Reports MEDICINE, GENERAL & INTERNAL-
CiteScore
0.90
自引率
0.00%
发文量
125
审稿时长
19 weeks
期刊介绍: Oxford Medical Case Reports (OMCR) is an open access, peer-reviewed online journal publishing original and educationally valuable case reports that expand the field of medicine. The journal covers all medical specialities including cardiology, rheumatology, nephrology, oncology, neurology, and reproduction, comprising a comprehensive resource for physicians in all fields and at all stages of training. Oxford Medical Case Reports deposits all articles in PubMed Central (PMC). Physicians and researchers can find your work through PubMed , helping you reach the widest possible audience. The journal is also indexed in the Web of Science Core Collection . Oxford Medical Case Reports publishes case reports under the following categories: Allergy Audiovestibular medicine Cardiology and cardiovascular systems Critical care medicine Dermatology Emergency medicine Endocrinology and metabolism Gastroenterology and hepatology Geriatrics and gerontology Haematology Immunology Infectious diseases and tropical medicine Medical disorders in pregnancy Medical ophthalmology Nephrology Neurology Oncology Paediatrics Pain Palliative medicine Pharmacology and pharmacy Psychiatry Radiology, nuclear medicine, and medical imaging Respiratory disorders Rheumatology Sexual and reproductive health Sports Medicine Substance abuse.
×
引用
GB/T 7714-2015
复制
MLA
复制
APA
复制
导出至
BibTeX EndNote RefMan NoteFirst NoteExpress
×
提示
您的信息不完整,为了账户安全,请先补充。
现在去补充
×
提示
您因"违规操作"
具体请查看互助需知
我知道了
×
提示
确定
请完成安全验证×
copy
已复制链接
快去分享给好友吧!
我知道了
右上角分享
点击右上角分享
0
联系我们:info@booksci.cn Book学术提供免费学术资源搜索服务,方便国内外学者检索中英文文献。致力于提供最便捷和优质的服务体验。 Copyright © 2023 布克学术 All rights reserved.
京ICP备2023020795号-1
ghs 京公网安备 11010802042870号
Book学术文献互助
Book学术文献互助群
群 号:604180095
Book学术官方微信