一例80岁女性多发性单神经病变:神经白血病是慢性淋巴细胞白血病的罕见并发症。

IF 0.4 Q3 MEDICINE, GENERAL & INTERNAL
Oxford Medical Case Reports Pub Date : 2025-08-11 eCollection Date: 2025-08-01 DOI:10.1093/omcr/omaf131
Caroline Morgan, Venkataramanan Srinivasan, Ute Pohl, Benjamin R Wakerley
{"title":"一例80岁女性多发性单神经病变:神经白血病是慢性淋巴细胞白血病的罕见并发症。","authors":"Caroline Morgan, Venkataramanan Srinivasan, Ute Pohl, Benjamin R Wakerley","doi":"10.1093/omcr/omaf131","DOIUrl":null,"url":null,"abstract":"<p><p>We report the case of an 80-year-old lady with chronic lymphocytic leukaemia who presented with painful footdrop. Nerve conduction studies and electromyography confirmed the presence of multiple mononeuropathy. Left superficial radial nerve biopsy revealed small lymphocytes infiltrating the epineurium and perineurium and confirmed a diagnosis of neuroleukemiosis.</p>","PeriodicalId":45318,"journal":{"name":"Oxford Medical Case Reports","volume":"2025 8","pages":"omaf131"},"PeriodicalIF":0.4000,"publicationDate":"2025-08-11","publicationTypes":"Journal Article","fieldsOfStudy":null,"isOpenAccess":false,"openAccessPdf":"https://www.ncbi.nlm.nih.gov/pmc/articles/PMC12342899/pdf/","citationCount":"0","resultStr":"{\"title\":\"An 80-year-old female with multiple mononeuropathy: neuroleukemiosis a rare complication of chronic lymphocytic leukaemia.\",\"authors\":\"Caroline Morgan, Venkataramanan Srinivasan, Ute Pohl, Benjamin R Wakerley\",\"doi\":\"10.1093/omcr/omaf131\",\"DOIUrl\":null,\"url\":null,\"abstract\":\"<p><p>We report the case of an 80-year-old lady with chronic lymphocytic leukaemia who presented with painful footdrop. Nerve conduction studies and electromyography confirmed the presence of multiple mononeuropathy. Left superficial radial nerve biopsy revealed small lymphocytes infiltrating the epineurium and perineurium and confirmed a diagnosis of neuroleukemiosis.</p>\",\"PeriodicalId\":45318,\"journal\":{\"name\":\"Oxford Medical Case Reports\",\"volume\":\"2025 8\",\"pages\":\"omaf131\"},\"PeriodicalIF\":0.4000,\"publicationDate\":\"2025-08-11\",\"publicationTypes\":\"Journal Article\",\"fieldsOfStudy\":null,\"isOpenAccess\":false,\"openAccessPdf\":\"https://www.ncbi.nlm.nih.gov/pmc/articles/PMC12342899/pdf/\",\"citationCount\":\"0\",\"resultStr\":null,\"platform\":\"Semanticscholar\",\"paperid\":null,\"PeriodicalName\":\"Oxford Medical Case Reports\",\"FirstCategoryId\":\"1085\",\"ListUrlMain\":\"https://doi.org/10.1093/omcr/omaf131\",\"RegionNum\":0,\"RegionCategory\":null,\"ArticlePicture\":[],\"TitleCN\":null,\"AbstractTextCN\":null,\"PMCID\":null,\"EPubDate\":\"2025/8/1 0:00:00\",\"PubModel\":\"eCollection\",\"JCR\":\"Q3\",\"JCRName\":\"MEDICINE, GENERAL & INTERNAL\",\"Score\":null,\"Total\":0}","platform":"Semanticscholar","paperid":null,"PeriodicalName":"Oxford Medical Case Reports","FirstCategoryId":"1085","ListUrlMain":"https://doi.org/10.1093/omcr/omaf131","RegionNum":0,"RegionCategory":null,"ArticlePicture":[],"TitleCN":null,"AbstractTextCN":null,"PMCID":null,"EPubDate":"2025/8/1 0:00:00","PubModel":"eCollection","JCR":"Q3","JCRName":"MEDICINE, GENERAL & INTERNAL","Score":null,"Total":0}
引用次数: 0

摘要

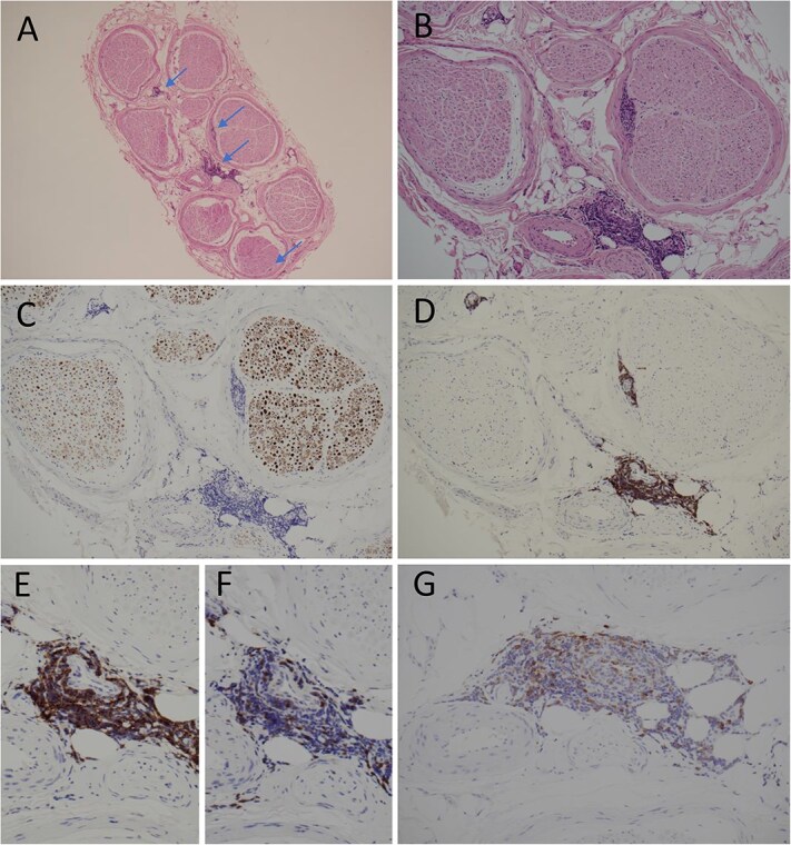
我们报告的情况下,80岁的妇女慢性淋巴细胞白血病谁提出了痛苦的脚滴。神经传导检查和肌电图证实多发性单神经病变的存在。左桡浅神经活检显示小淋巴细胞浸润神经外膜和神经周围,证实神经白血病的诊断。
本文章由计算机程序翻译,如有差异,请以英文原文为准。

An 80-year-old female with multiple mononeuropathy: neuroleukemiosis a rare complication of chronic lymphocytic leukaemia.

An 80-year-old female with multiple mononeuropathy: neuroleukemiosis a rare complication of chronic lymphocytic leukaemia.

We report the case of an 80-year-old lady with chronic lymphocytic leukaemia who presented with painful footdrop. Nerve conduction studies and electromyography confirmed the presence of multiple mononeuropathy. Left superficial radial nerve biopsy revealed small lymphocytes infiltrating the epineurium and perineurium and confirmed a diagnosis of neuroleukemiosis.

求助全文
通过发布文献求助,成功后即可免费获取论文全文。 去求助
来源期刊
Oxford Medical Case Reports
Oxford Medical Case Reports MEDICINE, GENERAL & INTERNAL-
CiteScore
0.90
自引率
0.00%
发文量
125
审稿时长
19 weeks
期刊介绍: Oxford Medical Case Reports (OMCR) is an open access, peer-reviewed online journal publishing original and educationally valuable case reports that expand the field of medicine. The journal covers all medical specialities including cardiology, rheumatology, nephrology, oncology, neurology, and reproduction, comprising a comprehensive resource for physicians in all fields and at all stages of training. Oxford Medical Case Reports deposits all articles in PubMed Central (PMC). Physicians and researchers can find your work through PubMed , helping you reach the widest possible audience. The journal is also indexed in the Web of Science Core Collection . Oxford Medical Case Reports publishes case reports under the following categories: Allergy Audiovestibular medicine Cardiology and cardiovascular systems Critical care medicine Dermatology Emergency medicine Endocrinology and metabolism Gastroenterology and hepatology Geriatrics and gerontology Haematology Immunology Infectious diseases and tropical medicine Medical disorders in pregnancy Medical ophthalmology Nephrology Neurology Oncology Paediatrics Pain Palliative medicine Pharmacology and pharmacy Psychiatry Radiology, nuclear medicine, and medical imaging Respiratory disorders Rheumatology Sexual and reproductive health Sports Medicine Substance abuse.
×
引用
GB/T 7714-2015
复制
MLA
复制
APA
复制
导出至
BibTeX EndNote RefMan NoteFirst NoteExpress
×
提示
您的信息不完整,为了账户安全,请先补充。
现在去补充
×
提示
您因"违规操作"
具体请查看互助需知
我知道了
×
提示
确定
请完成安全验证×
copy
已复制链接
快去分享给好友吧!
我知道了
右上角分享
点击右上角分享
0
联系我们:info@booksci.cn Book学术提供免费学术资源搜索服务,方便国内外学者检索中英文文献。致力于提供最便捷和优质的服务体验。 Copyright © 2023 布克学术 All rights reserved.
京ICP备2023020795号-1
ghs 京公网安备 11010802042870号
Book学术文献互助
Book学术文献互助群
群 号:604180095
Book学术官方微信